JavaScript is disabled in your browser. Please enable JavaScript to view this website.
AB65078

Anti-SND1 antibody

4

(3 Reviews)

|

(17 Publications)

Rabbit Polyclonal SND1 antibody. Suitable for IP, WB, ICC/IF, IHC-P and reacts with Human samples. Cited in 17 publications.

View Alternative Names

TDRD11, SND1, Staphylococcal nuclease domain-containing protein 1, 100 kDa coactivator, EBNA2 coactivator p100, Tudor domain-containing protein 11, p100 co-activator

4 Images
Immunocytochemistry/ Immunofluorescence - Anti-SND1 antibody (AB65078)
  • ICC/IF

Unknown

Immunocytochemistry/ Immunofluorescence - Anti-SND1 antibody (AB65078)

ICC/IF image of ab65078 stained Hek293 cells. The cells were 4% PFA fixed (10 min) and then incubated in 1%BSA / 10% normal Goat serum / 0.3M glycine in 0.1% PBS-Tween for 1h to permeabilise the cells and block non-specific protein-protein interactions. The cells were then incubated with the antibody (ab65078, 1µg/ml) overnight at +4°C. The secondary antibody (green) was Alexa Fluor® 488 Goat anti-Rabbit IgG (H+L) used at a 1/1000 dilution for 1h. Alexa Fluor® 594 WGA was used to label plasma membranes (red) at a 1/200 dilution for 1h. DAPI was used to stain the cell nuclei (blue) at a concentration of 1.43µM. This antibody also gave a positive result in 4% PFA fixed (10 min) HeLa, HepG2, and MCF-7 cells at 1µg/ml, and in 100% Methanol fixed (5 min) HeLa, Hek293, HepG2, and MCF-7 cells at 1µg/ml.

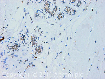
Immunohistochemistry (Formalin/PFA-fixed paraffin-embedded sections) - Anti-SND1 antibody (AB65078)
  • IHC-P

Unknown

Immunohistochemistry (Formalin/PFA-fixed paraffin-embedded sections) - Anti-SND1 antibody (AB65078)

IHC image of ab65078 staining SND1 in Human normal breast formalin fixed paraffin embedded tissue section, performed on a Leica BondTM system using the standard protocol F. The section was pre-treated using heat mediated antigen retrieval with sodium citrate buffer (pH6, epitope retrieval solution 1) for 20 mins. The section was then incubated with ab65078, 5µg/ml, for 15 mins at room temperature and detected using an HRP conjugated compact polymer system. DAB was used as the chromogen. The section was then counterstained with haematoxylin and mounted with DPX.

For other IHC staining systems (automated and non-automated) customers should optimize variable parameters such as antigen retrieval conditions, primary antibody concentration and antibody incubation times.

Immunoprecipitation - Anti-SND1 antibody (AB65078)
  • IP

Unknown

Immunoprecipitation - Anti-SND1 antibody (AB65078)

SND1 was immunoprecipitated using 0.5mg Ramos whole cell extract, 5µg of Rabbit polyclonal to SND1 and 50µl of protein G magnetic beads (+). No antibody was added to the control (-).
The antibody was incubated under agitation with Protein G beads for 10min, Ramos whole cell extract lysate diluted in RIPA buffer was added to each sample and incubated for a further 10min under agitation.
Proteins were eluted by addition of 40µl SDS loading buffer and incubated for 10min at 70oC; 10µl of each sample was separated on a SDS PAGE gel, transferred to a nitrocellulose membrane, blocked with 5% BSA and probed with ab65078.
Secondary : Mouse monoclonal [SB62a] Secondary Antibody to Rabbit IgG light chain (HRP) (ab99697).
Band : 102kDa : SND1.

All lanes:

Immunoprecipitation - Anti-SND1 antibody (ab65078)

Predicted band size: 102 kDa

false

Western blot - Anti-SND1 antibody (AB65078)
  • WB

Project5391****

Western blot - Anti-SND1 antibody (AB65078)

All lanes:

Western blot - Anti-SND1 antibody (ab65078) at 1 µg/mL

Lane 1:

Ramos (Human Burkitt's lymphoma cell line) Whole Cell Lysate at 10 µg

Lane 2:

HeLa Whole Cell Lysate - Hydroxyurea Treated (48hr, 2µM) at 10 µg

Lane 3:

HeLa Whole Cell Lysate - Staurosporine Treated (24hr, 500nM) at 10 µg

Lane 4:

TE 671 (Human Rhabdomyosarcoma) Whole Cell Lysate at 10 µg

Lane 5:

HeLa (Human epithelial carcinoma cell line) Whole Cell Lysate at 10 µg

Lane 6:

JEG-3 (Human placental choriocarcinoma cell line) Whole Cell Lysate at 10 µg

Lane 7:

Jurkat (Human T cell lymphoblast-like cell line) Whole Cell Lysate at 10 µg

Secondary

All lanes:

Goat polyclonal to Rabbit IgG - H&L - Pre-Adsorbed (HRP) at 1/3000 dilution

Predicted band size: 102 kDa

Observed band size: 102 kDa

false

Key facts

Host species

Rabbit

Clonality

Polyclonal

Isotype

IgG

Carrier free

No

Reacts with

Human

Applications

IP, IHC-P, WB, ICC/IF

applications

Immunogen

The exact immunogen used to generate this antibody is proprietary information.

Reactivity data

{ "title": "Reactivity Data", "filters": { "stats": ["", "Species", "Dilution Info", "Notes"], "tabs": { "all-applications": {"fullname" : "All Applications", "shortname": "All Applications"}, "IP" : {"fullname" : "Immunoprecipitation", "shortname":"IP"}, "WB" : {"fullname" : "Western blot", "shortname":"WB"}, "ICCIF" : {"fullname" : "Immunocytochemistry/ Immunofluorescence", "shortname":"ICC/IF"}, "IHCP" : {"fullname" : "Immunohistochemistry (Formalin/PFA-fixed paraffin-embedded sections)", "shortname":"IHC-P"} }, "product-promise": { "all": "all", "testedAndGuaranteed": "tested", "guaranteed": "expected", "predicted": "predicted", "notRecommended": "not-recommended" } }, "values": { "Human": { "IP-species-checked": "testedAndGuaranteed", "IP-species-dilution-info": "", "IP-species-notes": "<p></p>", "WB-species-checked": "testedAndGuaranteed", "WB-species-dilution-info": "1 µg/mL", "WB-species-notes": "<p></p>", "ICCIF-species-checked": "testedAndGuaranteed", "ICCIF-species-dilution-info": "1 µg/mL", "ICCIF-species-notes": "<p></p>", "IHCP-species-checked": "testedAndGuaranteed", "IHCP-species-dilution-info": "5 µg/mL", "IHCP-species-notes": "<p></p>" }, "Mouse": { "IP-species-checked": "predicted", "IP-species-dilution-info": "", "IP-species-notes": "", "WB-species-checked": "predicted", "WB-species-dilution-info": "", "WB-species-notes": "", "ICCIF-species-checked": "predicted", "ICCIF-species-dilution-info": "", "ICCIF-species-notes": "", "IHCP-species-checked": "predicted", "IHCP-species-dilution-info": "", "IHCP-species-notes": "" }, "Rat": { "IP-species-checked": "predicted", "IP-species-dilution-info": "", "IP-species-notes": "", "WB-species-checked": "predicted", "WB-species-dilution-info": "", "WB-species-notes": "", "ICCIF-species-checked": "predicted", "ICCIF-species-dilution-info": "", "ICCIF-species-notes": "", "IHCP-species-checked": "predicted", "IHCP-species-dilution-info": "", "IHCP-species-notes": "" }, "Chimpanzee": { "IP-species-checked": "predicted", "IP-species-dilution-info": "", "IP-species-notes": "", "WB-species-checked": "predicted", "WB-species-dilution-info": "", "WB-species-notes": "", "ICCIF-species-checked": "predicted", "ICCIF-species-dilution-info": "", "ICCIF-species-notes": "", "IHCP-species-checked": "predicted", "IHCP-species-dilution-info": "", "IHCP-species-notes": "" }, "Orangutan": { "IP-species-checked": "predicted", "IP-species-dilution-info": "", "IP-species-notes": "", "WB-species-checked": "predicted", "WB-species-dilution-info": "", "WB-species-notes": "", "ICCIF-species-checked": "predicted", "ICCIF-species-dilution-info": "", "ICCIF-species-notes": "", "IHCP-species-checked": "predicted", "IHCP-species-dilution-info": "", "IHCP-species-notes": "" }, "Rhesus monkey": { "IP-species-checked": "predicted", "IP-species-dilution-info": "", "IP-species-notes": "", "WB-species-checked": "predicted", "WB-species-dilution-info": "", "WB-species-notes": "", "ICCIF-species-checked": "predicted", "ICCIF-species-dilution-info": "", "ICCIF-species-notes": "", "IHCP-species-checked": "predicted", "IHCP-species-dilution-info": "", "IHCP-species-notes": "" } } }

Properties and storage information

Form
Liquid
Purification technique
Affinity purification Immunogen
Storage buffer
pH: 7.4 Preservative: 0.02% Sodium azide Constituents: PBS, 1% BSA
Shipped at conditions
Blue Ice
Appropriate short-term storage duration
1-2 weeks
Appropriate short-term storage conditions
+4°C
Appropriate long-term storage conditions
-20°C
Aliquoting information
Upon delivery aliquot
Storage information
Avoid freeze / thaw cycle

Supplementary information

This supplementary information is collated from multiple sources and compiled automatically.

Staphylococcal nuclease and Tudor domain-containing protein 1 (SND1) also known as Tudor-SN is a multifunctional protein with a molecular mass of approximately 100 kDa. SND1 acts as a coactivator in transcription and has nucleolytic activity tied to RNA processing and degradation. Researchers observe its wide expression in various tissues with higher levels in the liver brain and heart. Functionally significant SND1 binds to several molecules including double-stranded RNA which provides it with broad regulatory roles.
Biological function summary

SND1 engages in several cellular functions such as mRNA editing and splicing. It is a component of the RNA-induced silencing complex (RISC) which is essential in gene regulation through RNA interference. Within this complex SND1 interacts with other proteins and nucleic acids to contribute to post-transcriptional gene silencing. SND1 also influences transcriptional activation by interacting with transcription factors enhancing the expression of specific genes.

Pathways

SND1 plays roles in two important areas: RNA interference (RNAi) and lipid metabolism. In the RNAi pathway it facilitates gene silencing by being part of RISC collaborating with proteins such as Argonaute to mediate target mRNA degradation. In lipid metabolism SND1 interacts with proteins like sterol regulatory element-binding proteins (SREBPs) linking it to cholesterol homeostasis and fatty acid biosynthesis.

SND1 is linked to several cancer types including liver cancer and breast cancer. Its overexpression has been associated with tumor progression and poor prognosis in these conditions. SND1's interaction with oncogenic proteins such as Myc supports its role in cancer development. Additionally researchers have identified a connection between SND1 and Alzheimer's disease where it may influence neurodegenerative processes through interactions with amyloid precursor protein (APP) and other proteins involved in neuronal health.

Product protocols

For this product, it's our understanding that no specific protocols are required. You can visit:

Target data

Endonuclease that mediates miRNA decay of both protein-free and AGO2-loaded miRNAs (PubMed : 18453631, PubMed : 28546213). As part of its function in miRNA decay, regulates mRNAs involved in G1-to-S phase transition (PubMed : 28546213). Functions as a bridging factor between STAT6 and the basal transcription factor (PubMed : 12234934). Plays a role in PIM1 regulation of MYB activity (PubMed : 9809063). Functions as a transcriptional coactivator for STAT5 (By similarity).. (Microbial infection) Functions as a transcriptional coactivator for the Epstein-Barr virus nuclear antigen 2 (EBNA2).. (Microbial infection) Promotes SARS-CoV-2 RNA synthesis by binding to negative-sense RNA and the viral protein nsp9.
See full target information SND1

Publications (17)

Recent publications for all applications. Explore the full list and refine your search

Cell death discovery 11:34 PubMed39885142

2025

The crosstalk between SND1 and PDCD4 is associated with chemoresistance of non-small cell lung carcinoma cells.

Applications

Unspecified application

Species

Unspecified reactive species

Yun Zhao,Shanel Dhani,Vladimir Gogvadze,Boris Zhivotovsky

Molecular carcinogenesis 63:1260-1274 PubMed38607240

2024

Hypomethylation-associated LINC00987 downregulation induced lung adenocarcinoma progression by inhibiting the phosphorylation-mediated degradation of SND1.

Applications

Unspecified application

Species

Unspecified reactive species

Qi Lai,Yulin Wan,Yingqian Zhang,Yingzhao Huang,Qiuyue Tang,Mei Chen,Qian Li,Ke Ma,Ping Xiao,Cheng Luo,Xiang Zhuang

Zhongguo fei ai za zhi = Chinese journal of lung cancer 27:25-37 PubMed38296623

2024

[Identification and Analysis of SND1 as an Oncogene and Prognostic Biomarker 
for Lung Adenocarcinoma].

Applications

Unspecified application

Species

Unspecified reactive species

Ruihao Zhang,Hua Huang,Guangsheng Zhu,Di Wu,Chen Chen,Peijun Cao,Chen Ding,Hongyu Liu,Jun Chen,Yongwen Li

Environmental toxicology 39:1269-1282 PubMed37927237

2023

SNHG1, interacting with SND1, contributes to sorafenib resistance of liver cancer cells by increasing m6A-mediated SLC7A11 expression and promoting aerobic glycolysis.

Applications

Unspecified application

Species

Unspecified reactive species

Rong Li,Shunle Li,Lin Shen,Junhui Li,Di Zhang,Jinmin Yu,Lanxuan Huang,Na Liu,Hongwei Lu,Meng Xu

Islets 15:2267725 PubMed37838950

2023

Dynamic regulation of pancreatic β cell function and gene expression by the SND1 coregulator .

Applications

Unspecified application

Species

Unspecified reactive species

Sukrati Kanojia,Rebecca K Davidson,Jason M Conley,Jerry Xu,Meredith Osmulski,Emily K Sims,Hongxia Ren,Jason M Spaeth

The FEBS journal 290:5759-5772 PubMed37622244

2023

SND1, a novel co-activator of HIF1α, promotes tumor initiation in PyMT-induced breast tumor.

Applications

Unspecified application

Species

Unspecified reactive species

Lihong Hu,Yufeng Zeng,Lingbiao Xin,Jie Yang

Oncology reports 49: PubMed36453257

2022

Inhibition of SND1 overcomes chemoresistance in bladder cancer cells by promoting ferroptosis.

Applications

Unspecified application

Species

Unspecified reactive species

Yu Zhao,Pengpeng Ren,Zhiqin Yang,Lei Wang,Changhua Hu

Frontiers in oncology 12:857968 PubMed35433434

2022

Mitochondrion-Localized SND1 Promotes Mitophagy and Liver Cancer Progression Through PGAM5.

Applications

Unspecified application

Species

Unspecified reactive species

Shiwei Liang,Chuxu Zhu,Caixia Suo,Haoran Wei,Yingxuan Yu,Xuemei Gu,Liang Chen,Mengqiu Yuan,Shengqi Shen,Shiting Li,Linchong Sun,Ping Gao

Chinese medical journal 134:564-572 PubMed33652459

2021

miRNA-296-5p functions as a potential tumor suppressor in human osteosarcoma by targeting SND1.

Applications

Unspecified application

Species

Unspecified reactive species

Ya-Zeng Huang,Jun Zhang,Jian-Jian Shen,Ting-Xiao Zhao,You-Jia Xu

Cancer biomarkers : section A of Disease markers 28:91-100 PubMed32176628

2020

The interactome of the prostate-specific protein Anoctamin 7.

Applications

Unspecified application

Species

Unspecified reactive species

Elina Kaikkonen,Aliisa Takala,Juha-Pekka Pursiheimo,Gudrun Wahlström,Johanna Schleutker
View all publications

Product promise

We are committed to supporting your work with high-quality reagents, and we're here for you every step of the way. In the unlikely event that one of our products does not perform as expected, you're protected by our Product Promise.
For full details, please see our Terms & Conditions

Please note: All products are 'FOR RESEARCH USE ONLY. NOT FOR USE IN DIAGNOSTIC OR THERAPEUTIC PROCEDURES'.

For licensing inquiries, please contact partnerships@abcam.com