JavaScript is disabled in your browser. Please enable JavaScript to view this website.
AB322053

Anti-SND1 antibody [EPR28903-23]

Be the first to review this product! Submit a review

|

(0 Publication)

Rabbit Recombinant Monoclonal SND1 antibody. Suitable for I-ELISA, IHC-P, WB and reacts with Recombinant fragment - Human, Human, Mouse, Rat samples.

View Alternative Names

TDRD11, SND1, Staphylococcal nuclease domain-containing protein 1, 100 kDa coactivator, EBNA2 coactivator p100, Tudor domain-containing protein 11, p100 co-activator

13 Images
Immunohistochemistry (Formalin/PFA-fixed paraffin-embedded sections) - Anti-SND1 antibody [EPR28903-23] (AB322053)
  • IHC-P

Supplier Data

Immunohistochemistry (Formalin/PFA-fixed paraffin-embedded sections) - Anti-SND1 antibody [EPR28903-23] (AB322053)

Immunohistochemical analysis of paraffin-embedded Human skeletal muscle tissue labeling SND1 with ab322053 at 1/2000 (0.262 ug/ml) dilution, followed by a ready to use LeicaDS9800 (Bond™ Polymer Refine Detection).

Low expression tissue : No staining in human skeletal muscle.
The section was incubated with ab322053 for 30 mins at room temperature.
The immunostaining was performed on a Leica Biosystems BOND® RX instrument

Counterstained with Hematoxylin.

Secondary antibody only control : Secondary antibody is a ready to use LeicaDS9800 (Bond™ Polymer Refine Detection).

Heat mediated antigen retrieval was performed with Tris-EDTA buffer (pH 9.0, Epitope Retrieval Solution2) for 20 mins

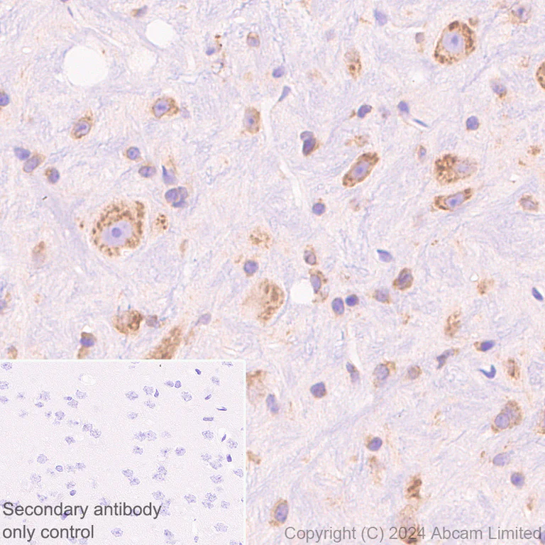
Immunohistochemistry (Formalin/PFA-fixed paraffin-embedded sections) - Anti-SND1 antibody [EPR28903-23] (AB322053)
  • IHC-P

Supplier Data

Immunohistochemistry (Formalin/PFA-fixed paraffin-embedded sections) - Anti-SND1 antibody [EPR28903-23] (AB322053)

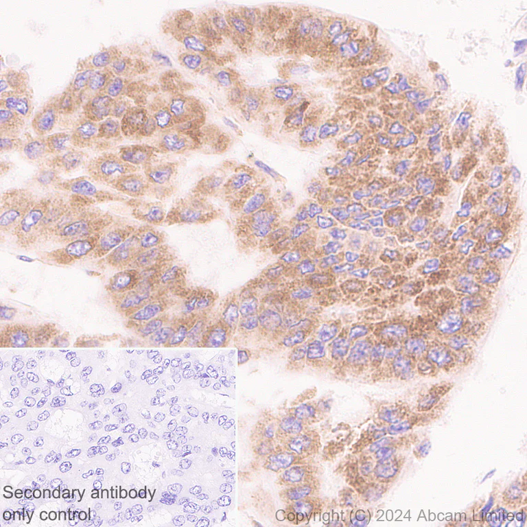
Immunohistochemical analysis of paraffin-embedded Human cerebrum tissue labeling SND1 with ab322053 at 1/2000 (0.262 ug/ml) dilution, followed by a ready to use LeicaDS9800 (Bond™ Polymer Refine Detection).

Positive staining in human cerebrum (PMID : 30214229).
The section was incubated with ab322053 for 30 mins at room temperature.
The immunostaining was performed on a Leica Biosystems BOND® RX instrument

Counterstained with Hematoxylin.

Secondary antibody only control : Secondary antibody is a ready to use LeicaDS9800 (Bond™ Polymer Refine Detection).

Heat mediated antigen retrieval was performed with Tris-EDTA buffer (pH 9.0, Epitope Retrieval Solution2) for 20 mins

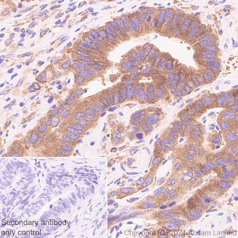
Immunohistochemistry (Formalin/PFA-fixed paraffin-embedded sections) - Anti-SND1 antibody [EPR28903-23] (AB322053)
  • IHC-P

Supplier Data

Immunohistochemistry (Formalin/PFA-fixed paraffin-embedded sections) - Anti-SND1 antibody [EPR28903-23] (AB322053)

Immunohistochemical analysis of paraffin-embedded Human colon carcinoma tissue labeling SND1 with ab322053 at 1/2000 (0.262 ug/ml) dilution, followed by a ready to use LeicaDS9800 (Bond™ Polymer Refine Detection).

Positive staining in human colon carcinoma (PMID : 25965817).
The section was incubated with ab322053 for 30 mins at room temperature.
The immunostaining was performed on a Leica Biosystems BOND® RX instrument

Counterstained with Hematoxylin.

Secondary antibody only control : Secondary antibody is a ready to use LeicaDS9800 (Bond™ Polymer Refine Detection).

Heat mediated antigen retrieval was performed with Tris-EDTA buffer (pH 9.0, Epitope Retrieval Solution2) for 20 mins

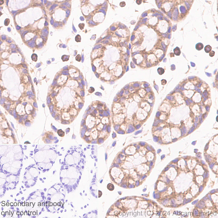
Immunohistochemistry (Formalin/PFA-fixed paraffin-embedded sections) - Anti-SND1 antibody [EPR28903-23] (AB322053)
  • IHC-P

Supplier Data

Immunohistochemistry (Formalin/PFA-fixed paraffin-embedded sections) - Anti-SND1 antibody [EPR28903-23] (AB322053)

Immunohistochemical analysis of paraffin-embedded Human colon tissue labeling SND1 with ab322053 at 1/2000 (0.262 ug/ml) dilution, followed by a ready to use LeicaDS9800 (Bond™ Polymer Refine Detection).

Positive staining in human colon.
The section was incubated with ab322053 for 30 mins at room temperature.
The immunostaining was performed on a Leica Biosystems BOND® RX instrument

Counterstained with Hematoxylin.

Secondary antibody only control : Secondary antibody is a ready to use LeicaDS9800 (Bond™ Polymer Refine Detection).

Heat mediated antigen retrieval was performed with Tris-EDTA buffer (pH 9.0, Epitope Retrieval Solution2) for 20 mins

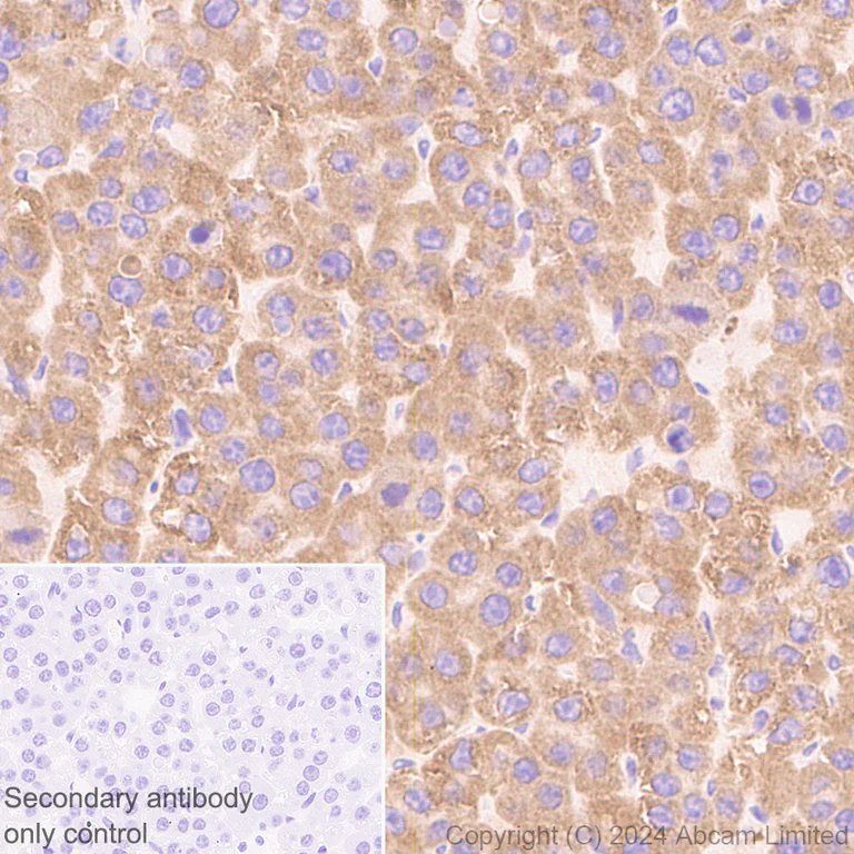
Immunohistochemistry (Formalin/PFA-fixed paraffin-embedded sections) - Anti-SND1 antibody [EPR28903-23] (AB322053)
  • IHC-P

Supplier Data

Immunohistochemistry (Formalin/PFA-fixed paraffin-embedded sections) - Anti-SND1 antibody [EPR28903-23] (AB322053)

Immunohistochemical analysis of paraffin-embedded Human hepatocellular carcinoma tissue labeling SND1 with ab322053 at 1/2000 (0.262 ug/ml) dilution, followed by a ready to use LeicaDS9800 (Bond™ Polymer Refine Detection).

Positive staining in human hepatocellular carcinoma (PMID : 30321081).
The section was incubated with ab322053 for 30 mins at room temperature.
The immunostaining was performed on a Leica Biosystems BOND® RX instrument

Counterstained with Hematoxylin.

Secondary antibody only control : Secondary antibody is a ready to use LeicaDS9800 (Bond™ Polymer Refine Detection).

Heat mediated antigen retrieval was performed with Tris-EDTA buffer (pH 9.0, Epitope Retrieval Solution2) for 20 mins

Immunohistochemistry (Formalin/PFA-fixed paraffin-embedded sections) - Anti-SND1 antibody [EPR28903-23] (AB322053)
  • IHC-P

Supplier Data

Immunohistochemistry (Formalin/PFA-fixed paraffin-embedded sections) - Anti-SND1 antibody [EPR28903-23] (AB322053)

Immunohistochemical analysis of paraffin-embedded Mouse skeletal muscle tissue labeling SND1 with ab322053 at 1/2000 (0.262 ug/ml) dilution, followed by a ready to use LeicaDS9800 (Bond™ Polymer Refine Detection).

Low expression tissue : No staining in mouse skeletal muscle.
The section was incubated with ab322053 for 30 mins at room temperature.
The immunostaining was performed on a Leica Biosystems BOND® RX instrument

Counterstained with Hematoxylin.

Secondary antibody only control : Secondary antibody is a ready to use LeicaDS9800 (Bond™ Polymer Refine Detection).

Heat mediated antigen retrieval was performed with Tris-EDTA buffer (pH 9.0, Epitope Retrieval Solution2) for 20 mins

Immunohistochemistry (Formalin/PFA-fixed paraffin-embedded sections) - Anti-SND1 antibody [EPR28903-23] (AB322053)
  • IHC-P

Supplier Data

Immunohistochemistry (Formalin/PFA-fixed paraffin-embedded sections) - Anti-SND1 antibody [EPR28903-23] (AB322053)

Immunohistochemical analysis of paraffin-embedded Mouse cerebrum tissue labeling SND1 with ab322053 at 1/2000 (0.262 ug/ml) dilution, followed by a ready to use LeicaDS9800 (Bond™ Polymer Refine Detection).

Positive staining in mouse cerebrum.
The section was incubated with ab322053 for 30 mins at room temperature.
The immunostaining was performed on a Leica Biosystems BOND® RX instrument

Counterstained with Hematoxylin.

Secondary antibody only control : Secondary antibody is a ready to use LeicaDS9800 (Bond™ Polymer Refine Detection).

Heat mediated antigen retrieval was performed with Tris-EDTA buffer (pH 9.0, Epitope Retrieval Solution2) for 20 mins

Immunohistochemistry (Formalin/PFA-fixed paraffin-embedded sections) - Anti-SND1 antibody [EPR28903-23] (AB322053)
  • IHC-P

Supplier Data

Immunohistochemistry (Formalin/PFA-fixed paraffin-embedded sections) - Anti-SND1 antibody [EPR28903-23] (AB322053)

Immunohistochemical analysis of paraffin-embedded Mouse colon tissue labeling SND1 with ab322053 at 1/2000 (0.262 ug/ml) dilution, followed by a ready to use LeicaDS9800 (Bond™ Polymer Refine Detection).

Positive staining in mouse colon.
The section was incubated with ab322053 for 30 mins at room temperature.
The immunostaining was performed on a Leica Biosystems BOND® RX instrument

Counterstained with Hematoxylin.

Secondary antibody only control : Secondary antibody is a ready to use LeicaDS9800 (Bond™ Polymer Refine Detection).

Heat mediated antigen retrieval was performed with Tris-EDTA buffer (pH 9.0, Epitope Retrieval Solution2) for 20 mins

Immunohistochemistry (Formalin/PFA-fixed paraffin-embedded sections) - Anti-SND1 antibody [EPR28903-23] (AB322053)
  • IHC-P

Supplier Data

Immunohistochemistry (Formalin/PFA-fixed paraffin-embedded sections) - Anti-SND1 antibody [EPR28903-23] (AB322053)

Immunohistochemical analysis of paraffin-embedded Mouse liver tumor tissue labeling SND1 with ab322053 at 1/2000 (0.262 ug/ml) dilution, followed by a ready to use LeicaDS9800 (Bond™ Polymer Refine Detection).

Positive staining in mouse liver tumor.
The section was incubated with ab322053 for 30 mins at room temperature.
The immunostaining was performed on a Leica Biosystems BOND® RX instrument

Counterstained with Hematoxylin.

Secondary antibody only control : Secondary antibody is a ready to use LeicaDS9800 (Bond™ Polymer Refine Detection).

Heat mediated antigen retrieval was performed with Tris-EDTA buffer (pH 9.0, Epitope Retrieval Solution2) for 20 mins

Western blot - Anti-SND1 antibody [EPR28903-23] (AB322053)
  • WB

Supplier Data

Western blot - Anti-SND1 antibody [EPR28903-23] (AB322053)

Blocking and diluting buffer and concentration : 5% NFDM/TBST.

This antibody was tested on frozen and fresh NIH/3T3 whole cell lysates and it was concluded that SND1 is the easy target for degradation.

To minimize protein degradation, cells (lane6-9) were lysed immediately after harvest and then applied to a gel and transfer membrane for Western blotting as soon as possible.

The band(around 60 kd) beneath the target band is likely to be degraded target fragment.

The band be lower MW band around 50 kDa is supposed to be non-specific binding.

All lanes:

Western blot - Anti-SND1 antibody [EPR28903-23] (ab322053) at 1/1000 dilution

Lane 1:

A549 (human lung carcinoma epithelial cell) whole cell lysate at 20 µg

Lane 2:

Jurkat (human T cell leukemia T lymphocyte from peripheral blood) whole cell lysate at 20 µg

Lane 3:

HepG2 (human hepatocellular carcinoma epithelial cell) whole cell lysate at 20 µg

Lane 4:

MEF (mouse embryo fibroblast) whole cell lysate at 20 µg

Lanes 5 and 8:

NIH/3T3 (mouse embryonic fibroblast) whole cell lysate at 20 µg

Lane 6:

HeLa (human cervical adenocarcinoma epithelial cell) whole cell lysate at 20 µg

Lane 7:

293T (human embryonic kidney epithelial cell) whole cell lysate at 20 µg

Lane 9:

PC-12 (rat adrenal gland pheochromocytoma cell) whole cell lysate at 20 µg

Secondary

All lanes:

Western blot - Goat Anti-Rabbit IgG H&L (HRP) (<a href='/en-us/products/secondary-antibodies/goat-rabbit-igg-h-l-hrp-ab97051'>ab97051</a>) at 1/100000 dilution

Observed band size: 101 kDa

false

Exposure time: 10s

Western blot - Anti-SND1 antibody [EPR28903-23] (AB322053)
  • WB

Supplier Data

Western blot - Anti-SND1 antibody [EPR28903-23] (AB322053)

Blocking and diluting buffer and concentration : 5% NFDM/TBST.

The identity of the lower MW band around 50 kDa is supposed to be non-specific binding.

In Western blot, Anti-GAPDH antibody [EPR16891] - Loading Control (ab181602) staining at 1/200000 dilution.

All lanes:

Western blot - Anti-SND1 antibody [EPR28903-23] (ab322053) at 1/1000 dilution

Lane 1:

HeLa (human cervical adenocarcinoma epithelial cell) transfected with scrambled siRNA control whole cell lysate at 20 µg

Lane 2:

HeLa transfected with siRNA specifically targeting SND1 whole cell lysate at 20 µg

Secondary

All lanes:

Western blot - Goat Anti-Rabbit IgG H&L (HRP) (<a href='/en-us/products/secondary-antibodies/goat-rabbit-igg-h-l-hrp-ab97051'>ab97051</a>) at 1/100000 dilution

Observed band size: 101 kDa,36 kDa

false

Exposure time: 10s

Western blot - Anti-SND1 antibody [EPR28903-23] (AB322053)
  • WB

Supplier Data

Western blot - Anti-SND1 antibody [EPR28903-23] (AB322053)

Blocking and diluting buffer and concentration : 5% NFDM/TBST.

Low expression : skeletal muscle

In Western blot, Anti-GAPDH antibody [EPR16891] - Loading Control (ab181602) staining at 1/200000 dilution.

All lanes:

Western blot - Anti-SND1 antibody [EPR28903-23] (ab322053) at 1/1000 dilution

Lane 1:

Mouse liver tissue lysate at 20 µg

Lane 2:

Mouse pancreas tissue lysate at 20 µg

Lane 3:

Mouse skeletal muscle tissue lysate at 20 µg

Lane 4:

Rat liver tissue lysate at 20 µg

Lane 5:

Rat skeletal muscle tissue lysate at 20 µg

Secondary

All lanes:

Western blot - Goat Anti-Rabbit IgG H&L (HRP) (<a href='/en-us/products/secondary-antibodies/goat-rabbit-igg-h-l-hrp-ab97051'>ab97051</a>) at 1/100000 dilution

Observed band size: 101 kDa,36 kDa

false

Exposure time: 6s

Indirect ELISA - Anti-SND1 antibody [EPR28903-23] (AB322053)
  • I-ELISA

Supplier Data

Indirect ELISA - Anti-SND1 antibody [EPR28903-23] (AB322053)

Indirect ELISA analysis of ab322053 at 1000-0 ng/ml. The Secondary antibody used was Alkaline Phosphatase-conjugated AffiniPure Goat Anti-Rabbit IgG (H+L) at 1 : 2500 dilution.

Antigen : Human SND1.

Antigen concentration : 1000 ng/ml

Key facts

Host species

Rabbit

Clonality

Monoclonal

Clone number

EPR28903-23

Isotype

IgG

Carrier free

No

Reacts with

Human, Mouse, Rat

Applications

WB, IHC-P, I-ELISA

applications

Immunogen

The exact immunogen used to generate this antibody is proprietary information.

Reactivity data

{ "title": "Reactivity Data", "filters": { "stats": ["", "Species", "Dilution Info", "Notes"], "tabs": { "all-applications": {"fullname" : "All Applications", "shortname": "All Applications"}, "IELISA" : {"fullname" : "Indirect ELISA", "shortname":"I-ELISA"}, "IHCP" : {"fullname" : "Immunohistochemistry (Formalin/PFA-fixed paraffin-embedded sections)", "shortname":"IHC-P"}, "WB" : {"fullname" : "Western blot", "shortname":"WB"}, "IP" : {"fullname" : "Immunoprecipitation", "shortname":"IP"}, "ICCIF" : {"fullname" : "Immunocytochemistry/ Immunofluorescence", "shortname":"ICC/IF"} }, "product-promise": { "all": "all", "testedAndGuaranteed": "tested", "guaranteed": "expected", "predicted": "predicted", "notRecommended": "not-recommended" } }, "values": { "Human": { "IELISA-species-checked": "guaranteed", "IELISA-species-dilution-info": "", "IELISA-species-notes": "", "IHCP-species-checked": "testedAndGuaranteed", "IHCP-species-dilution-info": "1/2000", "IHCP-species-notes": "<p></p> Perform heat-mediated antigen retrieval with Tris/EDTA buffer pH 9.0 before commencing with IHC staining protocol.", "WB-species-checked": "testedAndGuaranteed", "WB-species-dilution-info": "1/1000", "WB-species-notes": "<p></p>", "IP-species-checked": "notRecommended", "IP-species-dilution-info": "", "IP-species-notes": "<p></p>", "ICCIF-species-checked": "notRecommended", "ICCIF-species-dilution-info": "", "ICCIF-species-notes": "<p></p>" }, "Mouse": { "IELISA-species-checked": "guaranteed", "IELISA-species-dilution-info": "", "IELISA-species-notes": "", "IHCP-species-checked": "testedAndGuaranteed", "IHCP-species-dilution-info": "1/2000", "IHCP-species-notes": "<p></p> Perform heat-mediated antigen retrieval with Tris/EDTA buffer pH 9.0 before commencing with IHC staining protocol.", "WB-species-checked": "testedAndGuaranteed", "WB-species-dilution-info": "1/1000", "WB-species-notes": "<p></p>", "IP-species-checked": "notRecommended", "IP-species-dilution-info": "", "IP-species-notes": "<p></p>", "ICCIF-species-checked": "notRecommended", "ICCIF-species-dilution-info": "", "ICCIF-species-notes": "" }, "Rat": { "IELISA-species-checked": "guaranteed", "IELISA-species-dilution-info": "", "IELISA-species-notes": "", "IHCP-species-checked": "guaranteed", "IHCP-species-dilution-info": "", "IHCP-species-notes": "", "WB-species-checked": "testedAndGuaranteed", "WB-species-dilution-info": "1/1000", "WB-species-notes": "<p></p>", "IP-species-checked": "notRecommended", "IP-species-dilution-info": "", "IP-species-notes": "", "ICCIF-species-checked": "notRecommended", "ICCIF-species-dilution-info": "", "ICCIF-species-notes": "" }, "Recombinant fragment - Human": { "IELISA-species-checked": "testedAndGuaranteed", "IELISA-species-dilution-info": "1000 ng/mL", "IELISA-species-notes": "<p></p>", "IHCP-species-checked": "notRecommended", "IHCP-species-dilution-info": "", "IHCP-species-notes": "", "WB-species-checked": "notRecommended", "WB-species-dilution-info": "", "WB-species-notes": "", "IP-species-checked": "notRecommended", "IP-species-dilution-info": "", "IP-species-notes": "", "ICCIF-species-checked": "notRecommended", "ICCIF-species-dilution-info": "", "ICCIF-species-notes": "" } } }

Product details

Patented technology
Our RabMAb® technology is a patented hybridoma-based technology for making rabbit monoclonal antibodies. For details on our patents, please refer to RabMAb® patents.

What are the advantages of a recombinant monoclonal antibody?
This product is a recombinant monoclonal antibody, which offers several advantages including:

  • - High batch-to-batch consistency and reproducibility
  • - Improved sensitivity and specificity
  • - Long-term security of supply
  • - Animal-free batch production

For more information, read more on recombinant antibodies.

Properties and storage information

Form
Liquid
Purification technique
Affinity purification Protein A
Storage buffer
pH: 7.2 - 7.4 Preservative: 0.01% Sodium azide Constituents: PBS, 40% Glycerol (glycerin, glycerine), 0.05% BSA
Shipped at conditions
Blue Ice
Appropriate short-term storage duration
1-2 weeks
Appropriate short-term storage conditions
+4°C
Appropriate long-term storage conditions
-20°C
Aliquoting information
Upon delivery aliquot
Storage information
Avoid freeze / thaw cycle

Supplementary information

This supplementary information is collated from multiple sources and compiled automatically.

Staphylococcal nuclease and Tudor domain-containing protein 1 (SND1) also known as Tudor-SN is a multifunctional protein with a molecular mass of approximately 100 kDa. SND1 acts as a coactivator in transcription and has nucleolytic activity tied to RNA processing and degradation. Researchers observe its wide expression in various tissues with higher levels in the liver brain and heart. Functionally significant SND1 binds to several molecules including double-stranded RNA which provides it with broad regulatory roles.
Biological function summary

SND1 engages in several cellular functions such as mRNA editing and splicing. It is a component of the RNA-induced silencing complex (RISC) which is essential in gene regulation through RNA interference. Within this complex SND1 interacts with other proteins and nucleic acids to contribute to post-transcriptional gene silencing. SND1 also influences transcriptional activation by interacting with transcription factors enhancing the expression of specific genes.

Pathways

SND1 plays roles in two important areas: RNA interference (RNAi) and lipid metabolism. In the RNAi pathway it facilitates gene silencing by being part of RISC collaborating with proteins such as Argonaute to mediate target mRNA degradation. In lipid metabolism SND1 interacts with proteins like sterol regulatory element-binding proteins (SREBPs) linking it to cholesterol homeostasis and fatty acid biosynthesis.

SND1 is linked to several cancer types including liver cancer and breast cancer. Its overexpression has been associated with tumor progression and poor prognosis in these conditions. SND1's interaction with oncogenic proteins such as Myc supports its role in cancer development. Additionally researchers have identified a connection between SND1 and Alzheimer's disease where it may influence neurodegenerative processes through interactions with amyloid precursor protein (APP) and other proteins involved in neuronal health.

Product protocols

For this product, it's our understanding that no specific protocols are required. You can visit:

Target data

Endonuclease that mediates miRNA decay of both protein-free and AGO2-loaded miRNAs (PubMed : 18453631, PubMed : 28546213). As part of its function in miRNA decay, regulates mRNAs involved in G1-to-S phase transition (PubMed : 28546213). Functions as a bridging factor between STAT6 and the basal transcription factor (PubMed : 12234934). Plays a role in PIM1 regulation of MYB activity (PubMed : 9809063). Functions as a transcriptional coactivator for STAT5 (By similarity).. (Microbial infection) Functions as a transcriptional coactivator for the Epstein-Barr virus nuclear antigen 2 (EBNA2).. (Microbial infection) Promotes SARS-CoV-2 RNA synthesis by binding to negative-sense RNA and the viral protein nsp9.
See full target information SND1

Product promise

We are committed to supporting your work with high-quality reagents, and we're here for you every step of the way. In the unlikely event that one of our products does not perform as expected, you're protected by our Product Promise.
For full details, please see our Terms & Conditions

Please note: All products are 'FOR RESEARCH USE ONLY. NOT FOR USE IN DIAGNOSTIC OR THERAPEUTIC PROCEDURES'.

For licensing inquiries, please contact partnerships@abcam.com