JavaScript is disabled in your browser. Please enable JavaScript to view this website.
AB192864

Anti-SNF5/SMARCB1 antibody [EPR12014-77]

Be the first to review this product! Submit a review

|

(3 Publications)

Rabbit Recombinant Monoclonal SNF5/SMARCB1 antibody. Suitable for IP, WB, ICC/IF, Flow Cyt (Intra), IHC-P and reacts with Human samples. Cited in 3 publications.

View Alternative Names

BAF47, INI1, SNF5L1, SMARCB1, SWI/SNF-related matrix-associated actin-dependent regulator of chromatin subfamily B member 1, BRG1-associated factor 47, Integrase interactor 1 protein, SNF5 homolog, hSNF5

7 Images
Immunocytochemistry/ Immunofluorescence - Anti-SNF5/SMARCB1 antibody [EPR12014-77] (AB192864)
  • ICC/IF

Supplier Data

Immunocytochemistry/ Immunofluorescence - Anti-SNF5/SMARCB1 antibody [EPR12014-77] (AB192864)

Immunofluorescent analysis of 4% paraformaldehyde fixed HeLa cells labeling SNF5/SMARCB1 using ab192864 at a 1/500 dilution. A Goat anti rabbit IgG (Alexa Fluor®488) (ab150077) was used as the secondary at a 1/400 dilution. Counterstain DAPI. Cells were permeabilized using 0.1% Triton X-100.

Immunohistochemistry (Formalin/PFA-fixed paraffin-embedded sections) - Anti-SNF5/SMARCB1 antibody [EPR12014-77] (AB192864)
  • IHC-P

Supplier Data

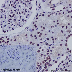
Immunohistochemistry (Formalin/PFA-fixed paraffin-embedded sections) - Anti-SNF5/SMARCB1 antibody [EPR12014-77] (AB192864)

Immunohistochemical analysis of paraffin embedded Human kidney tissue sections labeling SNF5/SMARCB1 using ab192864 at a 1/1000 dilution. A prediluted HRP Polymer for Rabbit IgG was used as the secondary. Hematoxylin counterstain.

Perform heat mediated antigen retrieval with Tris/EDTA buffer pH 9.0 before commencing with IHC staining protocol.

Flow Cytometry (Intracellular) - Anti-SNF5/SMARCB1 antibody [EPR12014-77] (AB192864)
  • Flow Cyt (Intra)

Supplier Data

Flow Cytometry (Intracellular) - Anti-SNF5/SMARCB1 antibody [EPR12014-77] (AB192864)

Intracellular flow cytometric analysis of Jurkat cells labeling SNF5/SMARCB1 using ab192864 at a 1/110 dilution (red). Goat anti rabbit IgG (FITC) used as the secondary antibody at a 1/150 dilution. Isotype control Rabbit monoclonal IgG (black). Unlabeled/control cells without incubation with primary and secondary antibody (blue). Cells were fixed in 2% paraformaldehyde.

Immunohistochemistry (Formalin/PFA-fixed paraffin-embedded sections) - Anti-SNF5/SMARCB1 antibody [EPR12014-77] (AB192864)
  • IHC-P

Supplier Data

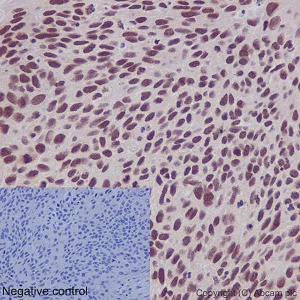
Immunohistochemistry (Formalin/PFA-fixed paraffin-embedded sections) - Anti-SNF5/SMARCB1 antibody [EPR12014-77] (AB192864)

Immunohistochemical analysis of paraffin embedded Human squamous cell carcinoma of cervix tissue sections labeling SNF5/SMARCB1 using ab192864 at a 1/1000 dilution. A predilutedHRP Polymer for Rabbit IgG was used as the secondary. Hematoxylin counterstain.

Perform heat mediated antigen retrieval with Tris/EDTA buffer pH 9.0 before commencing with IHC staining protocol.

Immunoprecipitation - Anti-SNF5/SMARCB1 antibody [EPR12014-77] (AB192864)
  • IP

Supplier Data

Immunoprecipitation - Anti-SNF5/SMARCB1 antibody [EPR12014-77] (AB192864)

Western blot analysis of K562 cell lysate immunoprecipitated using ab192864 at a 1/30 dilution (lane 1).

Lane 2 : PBS instead of K562 lysate

Secondary antibody was anti-rabbit IgG (HRP) specific to the non-reduced form of IgG at a 1/1500 dilution.

All lanes:

Immunoprecipitation - Anti-SNF5/SMARCB1 antibody [EPR12014-77] (ab192864)

Predicted band size: 44 kDa

false

Western blot - Anti-SNF5/SMARCB1 antibody [EPR12014-77] (AB192864)
  • WB

Lab

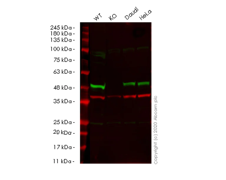
Western blot - Anti-SNF5/SMARCB1 antibody [EPR12014-77] (AB192864)

Lanes 1-4 : Merged signal (red and green). Green - ab192864 observed at 50 kDa. Red - loading control ab8245 observed at 36 kDa.

ab192864 Anti-SNF5/SMARCB1 antibody [EPR12014-77] was shown to specifically react with SNF5/SMARCB1 in wild-type HEK293T cells. Loss of signal was observed when knockout cell line ab267269 (knockout cell lysate ab257688) was used. Wild-type and SNF5/SMARCB1 knockout samples were subjected to SDS-PAGE. ab192864 and Anti-GAPDH antibody [6C5] - Loading Control (ab8245) were incubated overnight at 4°C at 1 in 1000 dilution and 1 in 20000 dilution respectively. Blots were developed with Goat anti-Rabbit IgG H&L (IRDye® 800CW) preadsorbed (ab216773) and Goat anti-Mouse IgG H&L (IRDye® 680RD) preadsorbed (ab216776) secondary antibodies at 1 in 20000 dilution for 1 hour at room temperature before imaging.

All lanes:

Western blot - Anti-SNF5/SMARCB1 antibody [EPR12014-77] (ab192864) at 1/1000 dilution

Lane 1:

Wild-type HEK293T cell lysate at 20 µg

Lane 2:

SMARCB1 knockout HEK293T cell lysate at 20 µg

Lane 2:

Western blot - Human SMARCB1 (SNF5) knockout HEK-293T cell line (<a href='/en-us/products/cell-lines/human-smarcb1-snf5-knockout-hek-293t-cell-line-ab267269'>ab267269</a>)

Lane 3:

Daudi cell lysate at 20 µg

Lane 4:

HeLa cell lysate at 20 µg

Secondary

All lanes:

Western blot - Goat anti-Rabbit IgG H&L (IRDye® 800CW) preadsorbed (<a href='/en-us/products/secondary-antibodies/goat-rabbit-igg-h-l-irdye-800cw-preadsorbed-ab216773'>ab216773</a>) at 1/10000 dilution

Predicted band size: 44 kDa

Observed band size: 50 kDa

false

Western blot - Anti-SNF5/SMARCB1 antibody [EPR12014-77] (AB192864)
  • WB

Supplier Data

Western blot - Anti-SNF5/SMARCB1 antibody [EPR12014-77] (AB192864)

All lanes:

Western blot - Anti-SNF5/SMARCB1 antibody [EPR12014-77] (ab192864) at 1/50000 dilution

Lane 1:

293 cell lysate at 20 µg

Lane 2:

HeLa cell lysate at 20 µg

Lane 3:

Jurkat cell lysate at 20 µg

Lane 4:

K562 cell lysate at 20 µg

Secondary

All lanes:

Goat Anti-Rabbit IgG, (H+L), Peroxidase conjugated at 1/1000 dilution

Predicted band size: 44 kDa

false

  • Carrier free

    Anti-SNF5/SMARCB1 antibody [EPR12014-77] - BSA and Azide free

Key facts

Host species

Rabbit

Clonality

Monoclonal

Clone number

EPR12014-77

Isotype

IgG

Carrier free

No

Reacts with

Human

Applications

ICC/IF, WB, IP, Flow Cyt (Intra), IHC-P

applications

Immunogen

The exact immunogen used to generate this antibody is proprietary information.

Reactivity data

{ "title": "Reactivity Data", "filters": { "stats": ["", "Species", "Dilution Info", "Notes"], "tabs": { "all-applications": {"fullname" : "All Applications", "shortname": "All Applications"}, "IP" : {"fullname" : "Immunoprecipitation", "shortname":"IP"}, "WB" : {"fullname" : "Western blot", "shortname":"WB"}, "ICCIF" : {"fullname" : "Immunocytochemistry/ Immunofluorescence", "shortname":"ICC/IF"}, "FlowCytIntra" : {"fullname" : "Flow Cytometry (Intracellular)", "shortname":"Flow Cyt (Intra)"}, "IHCP" : {"fullname" : "Immunohistochemistry (Formalin/PFA-fixed paraffin-embedded sections)", "shortname":"IHC-P"} }, "product-promise": { "all": "all", "testedAndGuaranteed": "tested", "guaranteed": "expected", "predicted": "predicted", "notRecommended": "not-recommended" } }, "values": { "Human": { "IP-species-checked": "testedAndGuaranteed", "IP-species-dilution-info": "1/30", "IP-species-notes": "<p></p>", "WB-species-checked": "testedAndGuaranteed", "WB-species-dilution-info": "1/10000 - 1/50000", "WB-species-notes": "<p></p>", "ICCIF-species-checked": "testedAndGuaranteed", "ICCIF-species-dilution-info": "1/100", "ICCIF-species-notes": "<p></p>", "FlowCytIntra-species-checked": "testedAndGuaranteed", "FlowCytIntra-species-dilution-info": "1/110", "FlowCytIntra-species-notes": "<p><a href='/en-us/products/primary-antibodies/rabbit-igg-monoclonal-epr25a-isotype-control-ab172730'>ab172730</a> - Rabbit monoclonal IgG, is suitable for use as an isotype control with this antibody.</p>", "IHCP-species-checked": "testedAndGuaranteed", "IHCP-species-dilution-info": "1/500 - 1/1000", "IHCP-species-notes": "<p></p> Perform heat-mediated antigen retrieval with Tris/EDTA buffer pH 9.0 before commencing with IHC staining protocol." } } }

Product details

Patented technology
Our RabMAb® technology is a patented hybridoma-based technology for making rabbit monoclonal antibodies. For details on our patents, please refer to RabMAb® patents.

What are the advantages of a recombinant monoclonal antibody?
This product is a recombinant monoclonal antibody, which offers several advantages including:

  • - High batch-to-batch consistency and reproducibility
  • - Improved sensitivity and specificity
  • - Long-term security of supply
  • - Animal-free batch production

For more information, read more on recombinant antibodies.

Properties and storage information

Form
Liquid
Purification technique
Affinity purification Protein A
Storage buffer
pH: 7.2 - 7.4 Preservative: 0.01% Sodium azide Constituents: PBS, 40% Glycerol (glycerin, glycerine), 0.05% BSA
Shipped at conditions
Blue Ice
Appropriate short-term storage duration
1-2 weeks
Appropriate short-term storage conditions
+4°C
Appropriate long-term storage conditions
-20°C
Aliquoting information
Upon delivery aliquot
Storage information
Avoid freeze / thaw cycle

Supplementary information

This supplementary information is collated from multiple sources and compiled automatically.

SNF5/SMARCB1 also known as INI1 or BAF47 is a member of the SWI/SNF chromatin remodeling complex. It acts in modifying chromatin structure to regulate gene expression. SNF5/SMARCB1 possesses a mass of approximately 47 kDa. The protein expresses ubiquitously in various tissues with notable presence in the nucleus. Through its mechanical activity in chromatin remodeling SNF5/SMARCB1 facilitates transcriptional regulation and chromosomal stability.
Biological function summary

SNF5/SMARCB1 acts as an integral component of the SWI/SNF complex. This complex functions in altering nucleosome positioning on DNA impacting gene expression linked to cell cycle regulation differentiation and DNA repair. By working within this complex SNF5/SMARCB1 helps in the activation or repression of specific gene sets based on cellular requirements displaying an essential role in maintaining normal cellular function. The interplay of SNF5/SMARCB1 with other chromatin-modifying enzymes extends its influence across various genetic pathways.

Pathways

The involvement of SNF5/SMARCB1 in the cell cycle and transcription regulation pathways is acknowledged. It participates intimately in the p53 signaling pathway which is critical for cell cycle checkpoints and apoptotic responses. SNF5/SMARCB1 engages with other proteins such as p53 and RB1 coordinating to maintain genomic integrity and proper transcriptional programming. These pathways spotlight the protein's influence in important cell fate decisions.

SNF5/SMARCB1 mutations or deletions associate closely with malignant rhabdoid tumors an aggressive pediatric cancer and schwannomatosis a disorder involving benign nerve sheath tumors. The loss of SNF5/SMARCB1 disrupts the SWI/SNF complex's function triggering unregulated cell proliferation and cancer progression. Within these disorders the SWI/SNF complex itself which contains other subunits like BRG1 and BRM is also impacted highlighting SMARCB1's critical role in tumor suppression.

Product protocols

For this product, it's our understanding that no specific protocols are required. You can visit:

Target data

Core component of the BAF (hSWI/SNF) complex. This ATP-dependent chromatin-remodeling complex plays important roles in cell proliferation and differentiation, in cellular antiviral activities and inhibition of tumor formation. The BAF complex is able to create a stable, altered form of chromatin that constrains fewer negative supercoils than normal. This change in supercoiling would be due to the conversion of up to one-half of the nucleosomes on polynucleosomal arrays into asymmetric structures, termed altosomes, each composed of 2 histones octamers. Stimulates in vitro the remodeling activity of SMARCA4/BRG1/BAF190A. Involved in activation of CSF1 promoter. Belongs to the neural progenitors-specific chromatin remodeling complex (npBAF complex) and the neuron-specific chromatin remodeling complex (nBAF complex). During neural development a switch from a stem/progenitor to a postmitotic chromatin remodeling mechanism occurs as neurons exit the cell cycle and become committed to their adult state. The transition from proliferating neural stem/progenitor cells to postmitotic neurons requires a switch in subunit composition of the npBAF and nBAF complexes. As neural progenitors exit mitosis and differentiate into neurons, npBAF complexes which contain ACTL6A/BAF53A and PHF10/BAF45A, are exchanged for homologous alternative ACTL6B/BAF53B and DPF1/BAF45B or DPF3/BAF45C subunits in neuron-specific complexes (nBAF). The npBAF complex is essential for the self-renewal/proliferative capacity of the multipotent neural stem cells. The nBAF complex along with CREST plays a role regulating the activity of genes essential for dendrite growth (By similarity). Plays a key role in cell-cycle control and causes cell cycle arrest in G0/G1.
See full target information SMARCB1

Publications (3)

Recent publications for all applications. Explore the full list and refine your search

Science advances 11:eadr6166 PubMed39888996

2025

VPS18 contributes to phagosome membrane integrity in -infected macrophages.

Applications

Unspecified application

Species

Unspecified reactive species

Charul Jani,Neha Jain,Amanda K Marsh,Pooja Uchil,Triet Doan,Meggie Hudspith,Owen T Glover,Zach R Baskir,Julie Boucau,David E Root,Nicole N van der Wel,John G Doench,Amy K Barczak

Head & neck 42:374-384 PubMed31729110

2019

SMARCB1 (INI-1) and NUT immunoexpression in a large series of head and neck carcinomas in a Brazilian reference center.

Applications

Unspecified application

Species

Unspecified reactive species

Rodrigo Neves-Silva,Luciana Y Almeida,Heitor A Silveira,Carla B N Colturato,Andressa Duarte,Tulio M Ferrisse,Evânio V Silva,Bárbara F Vanzolin,Andreia Bufalino,Alfredo Ribeiro-Silva,Jorge E León

Nature genetics 51:26-29 PubMed30510238

2018

SWI/SNF remains localized to chromatin in the presence of SCHLAP1.

Applications

Unspecified application

Species

Unspecified reactive species

Jesse R Raab,Keriayn N Smith,Camarie C Spear,Carl J Manner,J Mauro Calabrese,Terry Magnuson
View all publications

Product promise

We are committed to supporting your work with high-quality reagents, and we're here for you every step of the way. In the unlikely event that one of our products does not perform as expected, you're protected by our Product Promise.
For full details, please see our Terms & Conditions

Please note: All products are 'FOR RESEARCH USE ONLY. NOT FOR USE IN DIAGNOSTIC OR THERAPEUTIC PROCEDURES'.

For licensing inquiries, please contact partnerships@abcam.com