JavaScript is disabled in your browser. Please enable JavaScript to view this website.
AB222519

Anti-SNF5/SMARCB1 antibody [EPR20189]

Be the first to review this product! Submit a review

|

(5 Publications)

Anti-SNF5/SMARCB1 antibody [EPR20189] (ab222519) is a rabbit monoclonal antibody detecting SNF5/SMARCB1 in Western Blot, Flow Cytometry (Intra), Flow Cytometry, IP, IHC-P, ICC/IF. Suitable for Human, Mouse, Rat.

- Biophysical QC for unrivalled batch-batch consistency

View Alternative Names

BAF47, INI1, SNF5L1, SMARCB1, SWI/SNF-related matrix-associated actin-dependent regulator of chromatin subfamily B member 1, BRG1-associated factor 47, Integrase interactor 1 protein, SNF5 homolog, hSNF5

8 Images
Flow Cytometry (Intracellular) - Anti-SNF5/SMARCB1 antibody [EPR20189] (AB222519)
  • Flow Cyt (Intra)

Supplier Data

Flow Cytometry (Intracellular) - Anti-SNF5/SMARCB1 antibody [EPR20189] (AB222519)

Intracellular flow cytometric analysis of 4% paraformaldehyde-fixed, 90% methanol-permeablizedG-401 (Human rhabdoid tumor kidney epithelial cell line, Left) and HeLa (Human epithelial cell line from cervix adenocarcinoma, Right) cells labeling SNF5/SMARCB1 with ab222519 at 1/500 dilution (red) compared with a Rabbit IgG, monoclonal [EPR25A] - Isotype Control (ab172730) (black) and an unlabeled control (cells without incubation with primary antibody and secondary antibody) (blue). Goat Anti-Rabbit IgG H&L (Alexa Fluor® 488) (ab150077) at 1/2000 dilution was used as the secondary antibody.

Negative control : G-401 (PMID : 19789351)

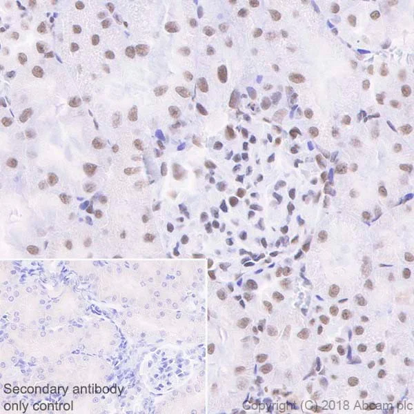
Immunohistochemistry (Formalin/PFA-fixed paraffin-embedded sections) - Anti-SNF5/SMARCB1 antibody [EPR20189] (AB222519)
  • IHC-P

Supplier Data

Immunohistochemistry (Formalin/PFA-fixed paraffin-embedded sections) - Anti-SNF5/SMARCB1 antibody [EPR20189] (AB222519)

Immunohistochemical analysis of paraffin-embedded human kidney tissue labeling SNF5/SMARCB1 with ab222519 at 1/500 dilution, followed by Goat Anti-Rabbit IgG H&L (HRP), Ready to use. Nuclear staining in human kidney is observed. Counter stained with hematoxylin.

Secondary antibody only control : Used PBS instead of primary antibody, secondary antibody is Goat Anti-Rabbit IgG H&L (HRP) Ready to use.

Heat mediated antigen retrieval was performed with Tris/EDTA buffer pH 9.0 before commencing with IHC staining protocol.

Immunocytochemistry/ Immunofluorescence - Anti-SNF5/SMARCB1 antibody [EPR20189] (AB222519)
  • ICC/IF

Supplier Data

Immunocytochemistry/ Immunofluorescence - Anti-SNF5/SMARCB1 antibody [EPR20189] (AB222519)

Immunofluorescent analysis of 4% paraformaldehyde-fixed, 0.1% Triton X-100 permeabilized HeLa (human epithelial cell line from cervix adenocarcinoma) cells labeling SNF5/SMARCB1 with ab222519 at 1/100 dilution, followed by Goat Anti-Rabbit IgG H&L (Alexa Fluor® 488) (ab150077) secondary antibody at 1/1000 dilution (green). Confocal image showing nuclear staining in HeLa cell line.

The nuclear counter stain is DAPI (blue). Tubulin is detected with Anti-alpha Tubulin antibody [DM1A] - Microtubule Marker (Alexa Fluor® 594) (ab195889) (red) at 1/200 dilution.

Secondary antibody only control : Used PBS instead of primary antibody, secondary antibody is Goat Anti-Rabbit IgG H&L (Alexa Fluor® 488) (ab150077) secondary antibody at 1/1000 dilution.

Negative control : G-401 cell line (PMID : 19789351).

Immunoprecipitation - Anti-SNF5/SMARCB1 antibody [EPR20189] (AB222519)
  • IP

Supplier Data

Immunoprecipitation - Anti-SNF5/SMARCB1 antibody [EPR20189] (AB222519)

SNF5/SMARCB1 was immunoprecipitated from 0.35 mg of HeLa (human epithelial cell line from cervix adenocarcinoma) whole cell lysate with ab222519 at 1/30 dilution. Western blot was performed from the immunoprecipitate using ab222519 at 1/1000 dilution. VeriBlot for IP Detection Reagent (HRP) (ab131366), was used for detection at 1/10,000 dilution.

Lane 1 : HeLa whole cell lysate 10 μg (input).
Lane 2 : ab222519 IP in HeLa whole cell lysate,
Lane 3 : Rabbit monoclonal IgG (ab172730) instead of ab222519 in HeLa whole cell lysate.

Blocking and dilution buffer and concentration : 5% NFDM/TBST
Exposure time : 10 seconds.

All lanes:

Immunoprecipitation - Anti-SNF5/SMARCB1 antibody [EPR20189] (ab222519)

Predicted band size: 44 kDa

false

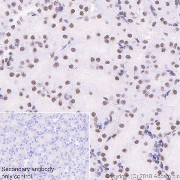
Immunohistochemistry (Formalin/PFA-fixed paraffin-embedded sections) - Anti-SNF5/SMARCB1 antibody [EPR20189] (AB222519)
  • IHC-P

Supplier Data

Immunohistochemistry (Formalin/PFA-fixed paraffin-embedded sections) - Anti-SNF5/SMARCB1 antibody [EPR20189] (AB222519)

Immunohistochemical analysis of paraffin-embedded rat kidney tissue labeling SNF5/SMARCB1 with ab222519 at 1/500 dilution, followed by Goat Anti-Rabbit IgG H&L (HRP), Ready to use. Nuclear staining in rat kidney is observed. Counter stained with hematoxylin.

Secondary antibody only control : Used PBS instead of primary antibody, secondary antibody is Goat Anti-Rabbit IgG H&L (HRP) Ready to use.

Heat mediated antigen retrieval was performed with Tris/EDTA buffer pH 9.0 before commencing with IHC staining protocol.

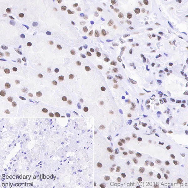
Immunohistochemistry (Formalin/PFA-fixed paraffin-embedded sections) - Anti-SNF5/SMARCB1 antibody [EPR20189] (AB222519)
  • IHC-P

Supplier Data

Immunohistochemistry (Formalin/PFA-fixed paraffin-embedded sections) - Anti-SNF5/SMARCB1 antibody [EPR20189] (AB222519)

Immunohistochemical analysis of paraffin-embedded mouse kidney tissue labeling SNF5/SMARCB1 with ab222519 at 1/500 dilution, followed by Goat Anti-Rabbit IgG H&L (HRP), Ready to use. Nuclear staining in mouse kidney is observed. Counter stained with hematoxylin.

Secondary antibody only control : Used PBS instead of primary antibody, secondary antibody is Goat Anti-Rabbit IgG H&L (HRP) Ready to use.

Heat mediated antigen retrieval was performed with Tris/EDTA buffer pH 9.0 before commencing with IHC staining protocol.

Western blot - Anti-SNF5/SMARCB1 antibody [EPR20189] (AB222519)
  • WB

Supplier Data

Western blot - Anti-SNF5/SMARCB1 antibody [EPR20189] (AB222519)

Blocking/Dilution buffer : 5% NFDM/TBST.

Negative control : G-401 (PMID : 19789351).

All lanes:

Western blot - Anti-SNF5/SMARCB1 antibody [EPR20189] (ab222519) at 1/1000 dilution

Lane 1:

HeLa (human epithelial cell line from cervix adenocarcinoma) whole cell lysate at 20 µg

Lane 2:

G-401 (Human rhabdoid tumor kidney epithelial cell line) whole cell lysate at 20 µg

Secondary

All lanes:

Western blot - Goat Anti-Rabbit IgG H&L (HRP) (<a href='/en-us/products/secondary-antibodies/goat-rabbit-igg-h-l-hrp-ab97051'>ab97051</a>) at 1/100000 dilution

Predicted band size: 44 kDa

Observed band size: 44 kDa

false

Exposure time: 10s

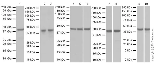
Western blot - Anti-SNF5/SMARCB1 antibody [EPR20189] (AB222519)
  • WB

Supplier Data

Western blot - Anti-SNF5/SMARCB1 antibody [EPR20189] (AB222519)

Blocking/Dilution buffer : 5% NFDM/TBST.

Exposure times : Lane 1-3 : 2 seconds; Lanes 4-5/7 : 15 seconds; Lane 6/8-9 : 4 seconds; Lane 10 : 1 minute.

All lanes:

Western blot - Anti-SNF5/SMARCB1 antibody [EPR20189] (ab222519) at 1/1000 dilution

Lane 1:

Jurkat (Human T cell leukemia cell line from peripheral blood) whole cell lysate at 20 µg

Lane 2:

PC-12 (rat adrenal gland pheochromocytoma cell line) whole cell lysate at 10 µg

Lane 3:

NIH/3T3 (mouse embryo fibroblast cell line) whole cell lysate at 10 µg

Lane 4:

Human fetal brain lysate at 10 µg

Lane 5:

Human fetal heart lysate at 10 µg

Lane 6:

Human fetal spleen lysate at 10 µg

Lane 7:

Mouse brain lysate at 10 µg

Lane 8:

Mouse spleen lysate at 10 µg

Lane 9:

Rat brain lysate at 10 µg

Lane 10:

Rat spleen lysate at 10 µg

Secondary

Lanes 1, 2, 3, 7, 8, 9 and 10:

Western blot - Goat Anti-Rabbit IgG H&L (HRP) (<a href='/en-us/products/secondary-antibodies/goat-rabbit-igg-h-l-hrp-ab97051'>ab97051</a>) at 1/100000 dilution

Lanes 4 - 6:

Goat Anti-Rabbit IgG Peroxidase Conjugate, specific to the non-reduced form of IgG at 1/10000 dilution

Predicted band size: 44 kDa

Observed band size: 44 kDa

false

  • Carrier free

    Anti-SNF5/SMARCB1 antibody [EPR20189] - BSA and Azide free

  • 578 PE

    PE Anti-SNF5 antibody [EPR20189]

  • 660 APC

    APC Anti-SNF5 antibody [EPR20189]

  • HRP

    HRP Anti-SNF5 antibody [EPR20189]

  • 617 Alexa Fluor® 594

    Alexa Fluor® 594 Anti-SNF5 antibody [EPR20189]

  • 603 Alexa Fluor® 568

    Alexa Fluor® 568 Anti-SNF5/SMARCB1 antibody [EPR20189]

  • 565 Alexa Fluor® 555

    Alexa Fluor® 555 Anti-SNF5 antibody [EPR20189]

  • 519 Alexa Fluor® 488

    Alexa Fluor® 488 Anti-SNF5 antibody [EPR20189]

  • 665 Alexa Fluor® 647

    Alexa Fluor® 647 Anti-SNF5 antibody [EPR20189]

  • 775 Alexa Fluor® 750

    Alexa Fluor® 750 Anti-SNF5/SMARCB1 antibody [EPR20189]

Key facts

Host species

Rabbit

Clonality

Monoclonal

Clone number

EPR20189

Isotype

IgG

Carrier free

No

Reacts with

Mouse, Rat, Human

Applications

IP, Flow Cyt (Intra), WB, IHC-P, ICC/IF

applications

Immunogen

The exact immunogen used to generate this antibody is proprietary information.

Reactivity data

{ "title": "Reactivity Data", "filters": { "stats": ["", "Species", "Dilution Info", "Notes"], "tabs": { "all-applications": {"fullname" : "All Applications", "shortname": "All Applications"}, "IP" : {"fullname" : "Immunoprecipitation", "shortname":"IP"}, "WB" : {"fullname" : "Western blot", "shortname":"WB"}, "ICCIF" : {"fullname" : "Immunocytochemistry/ Immunofluorescence", "shortname":"ICC/IF"}, "FlowCytIntra" : {"fullname" : "Flow Cytometry (Intracellular)", "shortname":"Flow Cyt (Intra)"}, "IHCP" : {"fullname" : "Immunohistochemistry (Formalin/PFA-fixed paraffin-embedded sections)", "shortname":"IHC-P"} }, "product-promise": { "all": "all", "testedAndGuaranteed": "tested", "guaranteed": "expected", "predicted": "predicted", "notRecommended": "not-recommended" } }, "values": { "Human": { "IP-species-checked": "testedAndGuaranteed", "IP-species-dilution-info": "1/30", "IP-species-notes": "<p></p>", "WB-species-checked": "testedAndGuaranteed", "WB-species-dilution-info": "1/1000", "WB-species-notes": "<p></p>", "ICCIF-species-checked": "testedAndGuaranteed", "ICCIF-species-dilution-info": "1/100", "ICCIF-species-notes": "<p></p>", "FlowCytIntra-species-checked": "testedAndGuaranteed", "FlowCytIntra-species-dilution-info": "1/500", "FlowCytIntra-species-notes": "<p></p>", "IHCP-species-checked": "testedAndGuaranteed", "IHCP-species-dilution-info": "1/500", "IHCP-species-notes": "<p></p>" }, "Mouse": { "IP-species-checked": "guaranteed", "IP-species-dilution-info": "", "IP-species-notes": "", "WB-species-checked": "testedAndGuaranteed", "WB-species-dilution-info": "1/1000", "WB-species-notes": "<p></p>", "ICCIF-species-checked": "guaranteed", "ICCIF-species-dilution-info": "", "ICCIF-species-notes": "", "FlowCytIntra-species-checked": "guaranteed", "FlowCytIntra-species-dilution-info": "", "FlowCytIntra-species-notes": "", "IHCP-species-checked": "testedAndGuaranteed", "IHCP-species-dilution-info": "1/500", "IHCP-species-notes": "<p></p>" }, "Rat": { "IP-species-checked": "guaranteed", "IP-species-dilution-info": "", "IP-species-notes": "", "WB-species-checked": "testedAndGuaranteed", "WB-species-dilution-info": "1/1000", "WB-species-notes": "<p></p>", "ICCIF-species-checked": "guaranteed", "ICCIF-species-dilution-info": "", "ICCIF-species-notes": "", "FlowCytIntra-species-checked": "guaranteed", "FlowCytIntra-species-dilution-info": "", "FlowCytIntra-species-notes": "", "IHCP-species-checked": "testedAndGuaranteed", "IHCP-species-dilution-info": "1/500", "IHCP-species-notes": "<p></p>" } } }

Product details

What is this antibody validated in?
Anti-SNF5/SMARCB1 antibody [EPR20189] (ab222519) is a rabbit recombinant monoclonal antibody and is validated for use in Western Blot (WB), Flow Cytometry (Intra), Flow Cytometry (Flow Cyt), Immunoprecipitation (IP), Immunohistochemistry (IHC-P), Immunocytochemistry/immunofluorescence (ICC/IF) in Human, Mouse, Rat samples.

What is the molecular weight of SNF5/SMARCB1?
Anti-SNF5/SMARCB1 [EPR20189] (ab222519) specifically detects a band for SNF5/SMARCB1 (UniProt: Q12824) at a molecular weight of 44kDa.

Trial sizes available!
Test your antibody or perform pre-screening before committing to a larger quantity. Sold in 10µl. Discover our selection of trial-size antibodies.

Other related products
We have a range of other formats of antibody clone [EPR20189] also available for your convenience: ab222519, Carrier free - ab233399, PE - ab306033, APC - ab306034, HRP - ab306035, Alkaline Phosphatase - ab308748, Alexa Fluor® 488 - ab309700, Alexa Fluor® 647 - ab310067, Alexa Fluor® 594 - ab310463, Alexa Fluor® 555 - ab311993, Alexa Fluor® 568 - ab312469, Alexa Fluor® 750 - ab321411

Patented technology
Our RabMAb® technology is a patented hybridoma-based technology for making rabbit monoclonal antibodies. For details on our patents, please refer to RabMAb® patents.

What are the advantages of a recombinant monoclonal antibody?
This product is a recombinant monoclonal antibody, which offers several advantages including:

  • - High batch-to-batch consistency and reproducibility
  • - Improved sensitivity and specificity
  • - Long-term security of supply
  • - Animal-free batch production

For more information, read more on recombinant antibodies.

Properties and storage information

Form
Liquid
Purification technique
Affinity purification Protein A
Storage buffer
pH: 7.2 - 7.4 Preservative: 0.01% Sodium azide Constituents: PBS, 40% Glycerol (glycerin, glycerine), 0.05% BSA
Shipped at conditions
Blue Ice
Appropriate short-term storage duration
1-2 weeks
Appropriate short-term storage conditions
+4°C
Appropriate long-term storage conditions
-20°C
Aliquoting information
Upon delivery aliquot
Storage information
Avoid freeze / thaw cycle

Supplementary information

This supplementary information is collated from multiple sources and compiled automatically.

SNF5/SMARCB1 also known as INI1 or BAF47 is a member of the SWI/SNF chromatin remodeling complex. It acts in modifying chromatin structure to regulate gene expression. SNF5/SMARCB1 possesses a mass of approximately 47 kDa. The protein expresses ubiquitously in various tissues with notable presence in the nucleus. Through its mechanical activity in chromatin remodeling SNF5/SMARCB1 facilitates transcriptional regulation and chromosomal stability.
Biological function summary

SNF5/SMARCB1 acts as an integral component of the SWI/SNF complex. This complex functions in altering nucleosome positioning on DNA impacting gene expression linked to cell cycle regulation differentiation and DNA repair. By working within this complex SNF5/SMARCB1 helps in the activation or repression of specific gene sets based on cellular requirements displaying an essential role in maintaining normal cellular function. The interplay of SNF5/SMARCB1 with other chromatin-modifying enzymes extends its influence across various genetic pathways.

Pathways

The involvement of SNF5/SMARCB1 in the cell cycle and transcription regulation pathways is acknowledged. It participates intimately in the p53 signaling pathway which is critical for cell cycle checkpoints and apoptotic responses. SNF5/SMARCB1 engages with other proteins such as p53 and RB1 coordinating to maintain genomic integrity and proper transcriptional programming. These pathways spotlight the protein's influence in important cell fate decisions.

SNF5/SMARCB1 mutations or deletions associate closely with malignant rhabdoid tumors an aggressive pediatric cancer and schwannomatosis a disorder involving benign nerve sheath tumors. The loss of SNF5/SMARCB1 disrupts the SWI/SNF complex's function triggering unregulated cell proliferation and cancer progression. Within these disorders the SWI/SNF complex itself which contains other subunits like BRG1 and BRM is also impacted highlighting SMARCB1's critical role in tumor suppression.

Product protocols

For this product, it's our understanding that no specific protocols are required. You can visit:

Target data

Core component of the BAF (hSWI/SNF) complex. This ATP-dependent chromatin-remodeling complex plays important roles in cell proliferation and differentiation, in cellular antiviral activities and inhibition of tumor formation. The BAF complex is able to create a stable, altered form of chromatin that constrains fewer negative supercoils than normal. This change in supercoiling would be due to the conversion of up to one-half of the nucleosomes on polynucleosomal arrays into asymmetric structures, termed altosomes, each composed of 2 histones octamers. Stimulates in vitro the remodeling activity of SMARCA4/BRG1/BAF190A. Involved in activation of CSF1 promoter. Belongs to the neural progenitors-specific chromatin remodeling complex (npBAF complex) and the neuron-specific chromatin remodeling complex (nBAF complex). During neural development a switch from a stem/progenitor to a postmitotic chromatin remodeling mechanism occurs as neurons exit the cell cycle and become committed to their adult state. The transition from proliferating neural stem/progenitor cells to postmitotic neurons requires a switch in subunit composition of the npBAF and nBAF complexes. As neural progenitors exit mitosis and differentiate into neurons, npBAF complexes which contain ACTL6A/BAF53A and PHF10/BAF45A, are exchanged for homologous alternative ACTL6B/BAF53B and DPF1/BAF45B or DPF3/BAF45C subunits in neuron-specific complexes (nBAF). The npBAF complex is essential for the self-renewal/proliferative capacity of the multipotent neural stem cells. The nBAF complex along with CREST plays a role regulating the activity of genes essential for dendrite growth (By similarity). Plays a key role in cell-cycle control and causes cell cycle arrest in G0/G1.
See full target information SMARCB1

Publications (5)

Recent publications for all applications. Explore the full list and refine your search

Nature 607:135-141 PubMed35732731

2022

cBAF complex components and MYC cooperate early in CD8 T cell fate.

Applications

Unspecified application

Species

Unspecified reactive species

Ao Guo,Hongling Huang,Zhexin Zhu,Mark J Chen,Hao Shi,Sujing Yuan,Piyush Sharma,Jon P Connelly,Swantje Liedmann,Yogesh Dhungana,Zhenrui Li,Dalia Haydar,Mao Yang,Helen Beere,Jason T Yustein,Christopher DeRenzo,Shondra M Pruett-Miller,Jeremy Chase Crawford,Giedre Krenciute,Charles W M Roberts,Hongbo Chi,Douglas R Green

Nature metabolism 3:1202-1216 PubMed34552271

2021

Diet-induced alteration of intestinal stem cell function underlies obesity and prediabetes in mice.

Applications

Unspecified application

Species

Unspecified reactive species

Alexandra Aliluev,Sophie Tritschler,Michael Sterr,Lena Oppenländer,Julia Hinterdobler,Tobias Greisle,Martin Irmler,Johannes Beckers,Na Sun,Axel Walch,Kerstin Stemmer,Alida Kindt,Jan Krumsiek,Matthias H Tschöp,Malte D Luecken,Fabian J Theis,Heiko Lickert,Anika Böttcher

Acta neuropathologica 142:361-374 PubMed34003336

2021

Inhibition of nuclear export restores nuclear localization and residual tumor suppressor function of truncated SMARCB1/INI1 protein in a molecular subset of atypical teratoid/rhabdoid tumors.

Applications

Unspecified application

Species

Unspecified reactive species

Rajiv Pathak,Francesca Zin,Christian Thomas,Susanne Bens,Tenzin Gayden,Jason Karamchandani,Roy W Dudley,Karolina Nemes,Pascal D Johann,Florian Oyen,Uwe Kordes,Nada Jabado,Reiner Siebert,Werner Paulus,Marcel Kool,Michael C Frühwald,Steffen Albrecht,Ganjam V Kalpana,Martin Hasselblatt

Oxidative medicine and cellular longevity 2020:2048210 PubMed33163142

2020

SMARCB1 Promotes Ubiquitination and Degradation of NR4A3 via Direct Interaction Driven by ROS in Vascular Endothelial Cell Injury.

Applications

Unspecified application

Species

Unspecified reactive species

Bingzheng Lu,Zhu Zhu,Longxiang Sheng,Yuan Li,Yang Yang,Yupin Chen,Dongdong Xue,Yuwei Zhou,Wei Cai,Chen Chen,Cailv Wei,Dong Xu,Min Yan,Suizhen Lin,Guangmei Yan,Wei Yin

BioMed research international 2020:4309161 PubMed32420340

2020

Tumor-Suppressive Function of lncRNA-MEG3 in Glioma Cells by Regulating miR-6088/SMARCB1 Axis.

Applications

Unspecified application

Species

Unspecified reactive species

Xin Gong,Meng-Yi Huang
View all publications

Product promise

We are committed to supporting your work with high-quality reagents, and we're here for you every step of the way. In the unlikely event that one of our products does not perform as expected, you're protected by our Product Promise.
For full details, please see our Terms & Conditions

Please note: All products are 'FOR RESEARCH USE ONLY. NOT FOR USE IN DIAGNOSTIC OR THERAPEUTIC PROCEDURES'.

For licensing inquiries, please contact partnerships@abcam.com