JavaScript is disabled in your browser. Please enable JavaScript to view this website.
AB198296

Anti-SNRPD2 antibody [EPR16762]

Be the first to review this product! Submit a review

|

(5 Publications)

Rabbit Recombinant Monoclonal SNRPD2 antibody. Suitable for IP, WB, Flow Cyt (Intra), IHC-P and reacts with Human, Mouse, Rat samples. Cited in 5 publications.

View Alternative Names

SNRPD1, SNRPD2, Small nuclear ribonucleoprotein Sm D2, Sm-D2, snRNP core protein D2

6 Images
Immunohistochemistry (Formalin/PFA-fixed paraffin-embedded sections) - Anti-SNRPD2 antibody [EPR16762] (AB198296)
  • IHC-P

Supplier Data

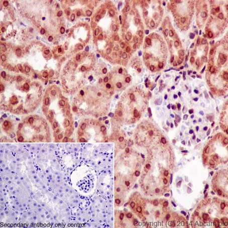
Immunohistochemistry (Formalin/PFA-fixed paraffin-embedded sections) - Anti-SNRPD2 antibody [EPR16762] (AB198296)

Immunohistochemical analysis of paraffin-embedded Human kidney tissue labeling SNRPD2 with ab198296 at 1/600 dilution followed by Goat Anti-Rabbit IgG H&L (HRP) (ab97051) at 1/500 dilution. Cytoplasm and nucleus staining on Human kidney tissue is observed. Counter stained with Hematoxylin.

Negative control Using PBS instead of primary antbody secondary ab is Goat Anti-Rabbit IgG H&L (HRP)

Perform heat mediated antigen retrieval with Tris/EDTA buffer pH 9.0 before commencing with IHC staining protocol.

Flow Cytometry (Intracellular) - Anti-SNRPD2 antibody [EPR16762] (AB198296)
  • Flow Cyt (Intra)

Lab

Flow Cytometry (Intracellular) - Anti-SNRPD2 antibody [EPR16762] (AB198296)

Intracellular Flow Cytometry analysis of HeLa cells labelling SNRPD2 (red) with purified ab198296 at dilution of 1/150. The secondary antibody used was Alexa Fluorr® 488 goat-anti-rabbit IgG (1/2000). Cells were fixed with 4% paraformaldehyde and permeabilised with 90% methanol. Isotype control antibody was Rabbit monoclonal IgG (black). The blue line shows cells without incubation with primary antibody and secondary antibody.

Immunoprecipitation - Anti-SNRPD2 antibody [EPR16762] (AB198296)
  • IP

Supplier Data

Immunoprecipitation - Anti-SNRPD2 antibody [EPR16762] (AB198296)

NRPD2 protein was immunoprecipitation from 1mg of MCF-7 (Human breast adenocarcinoma) whole cell lysate with ab198296 at 1/100 dilution. Western blot was performed from the immunoprecipitate using ab198296 at 1/1000 dilution. Anti-Rabbit IgG (HRP), specific to the non-reduced form of IgG, was used as secondary antibody at 1/1000 dilution. Lane 1 : Input, MCF-7 (Human breast adenocarcinoma) whole cell lysate, 10ug. Lane 2 : IP of NRPD2 from MCF-7 (Human breast adenocarcinoma) whole cell lysate. Lane 3 : IP using Rabbit monoclonal IgG (ab172730) instead of ab198296 in MCF-7 (Human breast adenocarcinoma) whole cell lysate.

Blocking and dilution buffer and concentration : 5% NFDM/TBST.

All lanes:

Immunoprecipitation - Anti-SNRPD2 antibody [EPR16762] (ab198296)

Predicted band size: 14 kDa

Observed band size: 14 kDa

false

Exposure time: 5s

Immunohistochemistry (Formalin/PFA-fixed paraffin-embedded sections) - Anti-SNRPD2 antibody [EPR16762] (AB198296)
  • IHC-P

Supplier Data

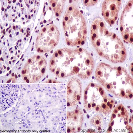
Immunohistochemistry (Formalin/PFA-fixed paraffin-embedded sections) - Anti-SNRPD2 antibody [EPR16762] (AB198296)

Immunohistochemical analysis of paraffin-embedded Rat kidney tissue labeling SNRPD2 with ab198296 at 1/600 dilution followed by Goat Anti-Rabbit IgG H&L (HRP) (ab97051) at 1/500 dilution. Cytoplasm and nucleus staining on Rat kidney tissue is observed. Counter stained with Hematoxylin.

Negative control Using PBS instead of primary antbody secondary ab is Goat Anti-Rabbit IgG H&L (HRP)

Perform heat mediated antigen retrieval with Tris/EDTA buffer pH 9.0 before commencing with IHC staining protocol.

Western blot - Anti-SNRPD2 antibody [EPR16762] (AB198296)
  • WB

Supplier Data

Western blot - Anti-SNRPD2 antibody [EPR16762] (AB198296)

Blocking/Dilution buffer : 5% NFDM/TBST.

All lanes:

Western blot - Anti-SNRPD2 antibody [EPR16762] (ab198296) at 1/20000 dilution

Lane 1:

HepG2 cell lysate at 20 µg

Lane 2:

MCF7 cell lysate at 20 µg

Lane 3:

A549 cell lysate at 20 µg

Lane 4:

HeLa cell lysate at 20 µg

Secondary

All lanes:

Goat Anti-Rabbit IgG, (H+L), Peroxidase conjugate at 1/1000 dilution

Predicted band size: 14 kDa

Observed band size: 14 kDa

true

Exposure time: 30s

Western blot - Anti-SNRPD2 antibody [EPR16762] (AB198296)
  • WB

Supplier Data

Western blot - Anti-SNRPD2 antibody [EPR16762] (AB198296)

Blocking/Dilution buffer : 5% NFDM/TBST.

Lanes 1 - 6:

Western blot - Anti-SNRPD2 antibody [EPR16762] (ab198296) at 1/2000 dilution

Lane 7:

Western blot - Anti-SNRPD2 antibody [EPR16762] (ab198296) at 1/20000 dilution

Lane 1:

Mouse brain lysate at 10 µg

Lane 2:

Mouse spleen lysate at 10 µg

Lane 3:

Rat brain lysate at 10 µg

Lane 4:

Rat spleen lysate at 10 µg

Lane 5:

C6 cell lysate at 10 µg

Lane 6:

RAW 264.7 cell lysate at 10 µg

Lane 7:

PC12 cell lysate at 10 µg

Secondary

All lanes:

Goat Anti-Rabbit IgG, (H+L), Peroxidase conjugate at 1/1000 dilution

Predicted band size: 14 kDa

Observed band size: 14 kDa

true

Exposure time: 30s

  • 775 Alexa Fluor® 750

    Alexa Fluor® 750 Anti-SNRPD2 antibody [EPR16762]

  • Carrier free

    Anti-SNRPD2 antibody [EPR16762] - BSA and Azide free

  • 578 PE

    PE Anti-SNRPD2 antibody [EPR16762]

  • 660 APC

    APC Anti-SNRPD2 antibody [EPR16762]

  • 519 Alexa Fluor® 488

    Alexa Fluor® 488 Anti-Sm-D2 antibody [EPR16762]

  • 665 Alexa Fluor® 647

    Alexa Fluor® 647 Anti-Sm-D2 antibody [EPR16762]

  • 603 Alexa Fluor® 568

    Alexa Fluor® 568 Anti-SNRPD2 antibody [EPR16762]

  • HRP

    HRP Anti-SNRPD2 antibody [EPR16762]

  • 565 Alexa Fluor® 555

    Alexa Fluor® 555 Anti-Sm-D2 antibody [EPR16762]

  • 617 Alexa Fluor® 594

    Alexa Fluor® 594 Anti-Sm-D2 antibody [EPR16762]

Key facts

Host species

Rabbit

Clonality

Monoclonal

Clone number

EPR16762

Isotype

IgG

Carrier free

No

Reacts with

Mouse, Rat, Human

Applications

WB, Flow Cyt (Intra), IP, IHC-P

applications

Immunogen

The exact immunogen used to generate this antibody is proprietary information.

Reactivity data

{ "title": "Reactivity Data", "filters": { "stats": ["", "Species", "Dilution Info", "Notes"], "tabs": { "all-applications": {"fullname" : "All Applications", "shortname": "All Applications"}, "IP" : {"fullname" : "Immunoprecipitation", "shortname":"IP"}, "WB" : {"fullname" : "Western blot", "shortname":"WB"}, "FlowCytIntra" : {"fullname" : "Flow Cytometry (Intracellular)", "shortname":"Flow Cyt (Intra)"}, "IHCP" : {"fullname" : "Immunohistochemistry (Formalin/PFA-fixed paraffin-embedded sections)", "shortname":"IHC-P"} }, "product-promise": { "all": "all", "testedAndGuaranteed": "tested", "guaranteed": "expected", "predicted": "predicted", "notRecommended": "not-recommended" } }, "values": { "Human": { "IP-species-checked": "testedAndGuaranteed", "IP-species-dilution-info": "", "IP-species-notes": "<p></p>", "WB-species-checked": "testedAndGuaranteed", "WB-species-dilution-info": "1/2000", "WB-species-notes": "<p></p>", "FlowCytIntra-species-checked": "testedAndGuaranteed", "FlowCytIntra-species-dilution-info": "1/150", "FlowCytIntra-species-notes": "<p></p>", "IHCP-species-checked": "testedAndGuaranteed", "IHCP-species-dilution-info": "1/600", "IHCP-species-notes": "<p></p>" }, "Mouse": { "IP-species-checked": "guaranteed", "IP-species-dilution-info": "", "IP-species-notes": "", "WB-species-checked": "testedAndGuaranteed", "WB-species-dilution-info": "1/2000", "WB-species-notes": "<p></p>", "FlowCytIntra-species-checked": "guaranteed", "FlowCytIntra-species-dilution-info": "", "FlowCytIntra-species-notes": "", "IHCP-species-checked": "guaranteed", "IHCP-species-dilution-info": "", "IHCP-species-notes": "" }, "Rat": { "IP-species-checked": "guaranteed", "IP-species-dilution-info": "", "IP-species-notes": "", "WB-species-checked": "testedAndGuaranteed", "WB-species-dilution-info": "1/2000", "WB-species-notes": "<p></p>", "FlowCytIntra-species-checked": "guaranteed", "FlowCytIntra-species-dilution-info": "", "FlowCytIntra-species-notes": "", "IHCP-species-checked": "testedAndGuaranteed", "IHCP-species-dilution-info": "1/600", "IHCP-species-notes": "<p></p>" } } }

Product details

Patented technology
Our RabMAb® technology is a patented hybridoma-based technology for making rabbit monoclonal antibodies. For details on our patents, please refer to RabMAb® patents.

What are the advantages of a recombinant monoclonal antibody?
This product is a recombinant monoclonal antibody, which offers several advantages including:

  • - High batch-to-batch consistency and reproducibility
  • - Improved sensitivity and specificity
  • - Long-term security of supply
  • - Animal-free batch production

For more information, read more on recombinant antibodies.

Properties and storage information

Form
Liquid
Purification technique
Affinity purification Protein A
Storage buffer
pH: 7.2 - 7.4 Preservative: 0.01% Sodium azide Constituents: PBS, 40% Glycerol (glycerin, glycerine), 0.05% BSA
Shipped at conditions
Blue Ice
Appropriate short-term storage duration
1-2 weeks
Appropriate short-term storage conditions
+4°C
Appropriate long-term storage conditions
-20°C
Aliquoting information
Upon delivery aliquot
Storage information
Avoid freeze / thaw cycle

Supplementary information

This supplementary information is collated from multiple sources and compiled automatically.

The small nuclear ribonucleoprotein D2 (SNRPD2) also known as Sm-D2 is a component of the spliceosomal small nuclear ribonucleoproteins (snRNP) essential for pre-mRNA splicing. It has a molecular weight of approximately 14 kDa and is ubiquitously expressed in various tissues highlighting its significant function across different cell types. SNRPD2 is part of the Sm protein family which plays an important role in the assembly and function of spliceosomal snRNPs.
Biological function summary

SNRPD2 participates in the formation of the spliceosomal core necessary for the removal of introns from pre-mRNA which is important for generating mature mRNA transcripts. This protein is a part of the spliceosome complex consisting of other snRNPs and numerous accessory proteins. SNRPD2's involvement in mRNA processing highlights its fundamental role in gene expression regulation affecting how cells translate genetic information into functional proteins.

Pathways

SNRPD2 is a critical element in the spliceosome pathway a major route for the post-transcriptional modification of RNA. This pathway is integral to the regulation of alternative splicing events influencing protein diversity. SNRPD2 also interacts with other spliceosomal proteins such as SNRPB and SNRPE cooperating to facilitate precise exon-exon junctions. The fidelity of this pathway depends substantially on the integrity and functionality of SNRPD2 alongside its protein partners.

SNRPD2 shows a connection to autoimmune conditions such as systemic lupus erythematosus (SLE) where autoantibodies target snRNP components including SNRPD2. This autoimmune disorder may disrupt normal spliceosomal function contributing to disease pathology. Additionally alterations in splicing pathways involving SNRPD2 have links to certain cancers where dysregulated splicing can lead to oncogenic transformations. Understanding SNRPD2's role in these conditions may reveal therapeutic targets for modulating splicing in disease contexts.

Product protocols

For this product, it's our understanding that no specific protocols are required. You can visit:

Target data

Plays a role in pre-mRNA splicing as a core component of the spliceosomal U1, U2, U4 and U5 small nuclear ribonucleoproteins (snRNPs), the building blocks of the spliceosome (PubMed : 11991638, PubMed : 18984161, PubMed : 19325628, PubMed : 23333303, PubMed : 25555158, PubMed : 26912367, PubMed : 28076346, PubMed : 28502770, PubMed : 28781166, PubMed : 32494006). Component of both the pre-catalytic spliceosome B complex and activated spliceosome C complexes (PubMed : 11991638, PubMed : 28076346, PubMed : 28502770, PubMed : 28781166). As a component of the minor spliceosome, involved in the splicing of U12-type introns in pre-mRNAs (PubMed : 15146077).
See full target information SNRPD2

Publications (5)

Recent publications for all applications. Explore the full list and refine your search

Human molecular genetics 33:1873-1886 PubMed39180495

2024

Expression levels of core spliceosomal proteins modulate the MBNL-mediated spliceopathy in DM1.

Applications

Unspecified application

Species

Unspecified reactive species

Jiss M Louis,Jesus A Frias,Jacob H Schroader,Lindsey A Jones,Emily E Davey,Claudia D Lennon,Jacob Chacko,John D Cleary,J Andrew Berglund,Kaalak Reddy

Journal of molecular cell biology 14: PubMed36073763

2022

U1 snRNP proteins promote proximal alternative polyadenylation sites by directly interacting with 3' end processing core factors.

Applications

Unspecified application

Species

Unspecified reactive species

Zhijie Hu,Mengxia Li,Zhanfeng Huo,Liutao Chen,Susu Liu,Ke Deng,Xin Lu,Shangwu Chen,Yonggui Fu,Anlong Xu

Brain sciences 12: PubMed35884735

2022

Identification and Validation of Novel Potential Pathogenesis and Biomarkers to Predict the Neurological Outcome after Cardiac Arrest.

Applications

Unspecified application

Species

Unspecified reactive species

Qiang Zhang,Chenyu Zhang,Cong Liu,Haohong Zhan,Bo Li,Yuanzhen Lu,Hongyan Wei,Jingge Cheng,Shuhao Li,Chuyue Wang,Chunlin Hu,Xiaoxing Liao

Diagnostics (Basel, Switzerland) 12: PubMed35626291

2022

U1RNP/lncRNA/Transcription Cycle Axis Promotes Tumorigenesis of Hepatocellular Carcinoma.

Applications

Unspecified application

Species

Unspecified reactive species

Shun Li,Shuaiyin Zhang,Mingle Huang,Huanjing Hu,Yubin Xie

BMC biology 17:39 PubMed31088452

2019

Biological and RNA regulatory function of MOV10 in mammalian germ cells.

Applications

Unspecified application

Species

Unspecified reactive species

Kaiqiang Fu,Suwen Tian,Huanhuan Tan,Caifeng Wang,Hanben Wang,Min Wang,Yuanyuan Wang,Zhen Chen,Yanfeng Wang,Qiuling Yue,Qiushi Xu,Shuya Zhang,Haixin Li,Jie Xie,Mingyan Lin,Mengcheng Luo,Feng Chen,Lan Ye,Ke Zheng
View all publications

Product promise

We are committed to supporting your work with high-quality reagents, and we're here for you every step of the way. In the unlikely event that one of our products does not perform as expected, you're protected by our Product Promise.
For full details, please see our Terms & Conditions

Please note: All products are 'FOR RESEARCH USE ONLY. NOT FOR USE IN DIAGNOSTIC OR THERAPEUTIC PROCEDURES'.

For licensing inquiries, please contact partnerships@abcam.com