JavaScript is disabled in your browser. Please enable JavaScript to view this website.
AB157118

Anti-SNRPD3/Sm-D3 antibody

Be the first to review this product! Submit a review

|

(2 Publications)

Rabbit Polyclonal SNRPD3/Sm-D3 antibody. Suitable for IHC-P, IP, WB and reacts with Mouse, Human samples. Cited in 2 publications. Immunogen corresponding to Synthetic Peptide within Human SNRPD3 aa 50 to C-terminus.

View Alternative Names

Small nuclear ribonucleoprotein Sm D3, Sm-D3, snRNP core protein D3, SNRPD3

4 Images
Western blot - Anti-SNRPD3/Sm-D3 antibody (AB157118)
  • WB

Unknown

Western blot - Anti-SNRPD3/Sm-D3 antibody (AB157118)

All lanes:

Western blot - Anti-SNRPD3/Sm-D3 antibody (ab157118) at 0.4 µg/mL

Lane 1:

HeLa whole cell lysate at 50 µg

Lane 2:

HeLa whole cell lysate at 15 µg

Lane 3:

293T whole cell lysate at 50 µg

Lane 4:

Jurkat whole cell lysate at 50 µg

Predicted band size: 14 kDa

true

Exposure time: 3min

Immunoprecipitation - Anti-SNRPD3/Sm-D3 antibody (AB157118)
  • IP

Unknown

Immunoprecipitation - Anti-SNRPD3/Sm-D3 antibody (AB157118)

Immunoprecipitation analysis of whole cell lysate from HeLa cells (1 mg for IP; 20% of IP loaded), labeling SNRPD3/Sm-D3 with ab157118 at 6 μg/mg lysate (lane 1), control IgG (lane 2). For blotting immunoprecipitated SNRPD3/Sm-D3, ab157118 was used at 1 μg/ml. Detection : Chemiluminescence with an exposure time of 3 minutes.

All lanes:

Immunoprecipitation - Anti-SNRPD3/Sm-D3 antibody (ab157118)

Predicted band size: 14 kDa

false

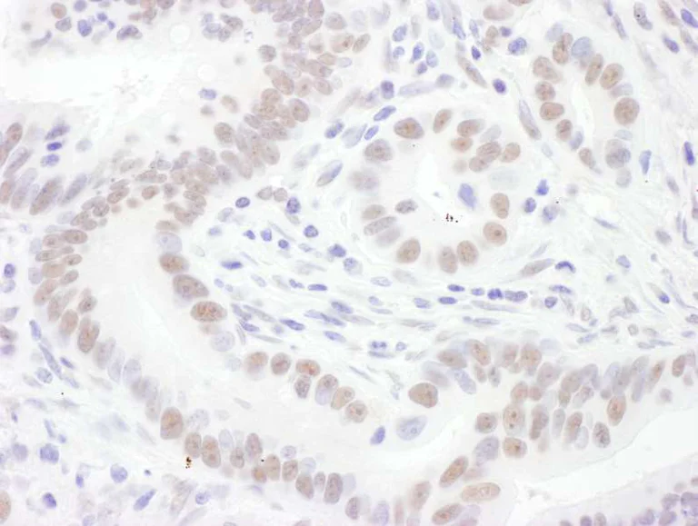
Immunohistochemistry (Formalin/PFA-fixed paraffin-embedded sections) - Anti-SNRPD3/Sm-D3 antibody (AB157118)
  • IHC-P

Supplier Data

Immunohistochemistry (Formalin/PFA-fixed paraffin-embedded sections) - Anti-SNRPD3/Sm-D3 antibody (AB157118)

Immunohistochemical analysis of formalin-fixed, paraffin-embedded human stomach carcinoma labeling SNRPD4/Sm-D3 with ab157118 at a 1/1000 dilution.

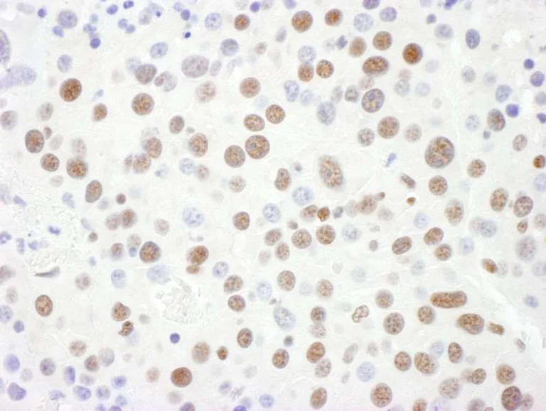
Immunohistochemistry (Formalin/PFA-fixed paraffin-embedded sections) - Anti-SNRPD3/Sm-D3 antibody (AB157118)
  • IHC-P

Supplier Data

Immunohistochemistry (Formalin/PFA-fixed paraffin-embedded sections) - Anti-SNRPD3/Sm-D3 antibody (AB157118)

Immunohistochemical analysis of formalin-fixed, paraffin-embedded mouse renal cell carcinoma labeling SNRPD4/Sm-D3 with ab157118 at a 1/1000 dilution.

Key facts

Host species

Rabbit

Clonality

Polyclonal

Isotype

IgG

Carrier free

No

Reacts with

Mouse, Human

Applications

WB, IP, IHC-P

applications

Immunogen

Synthetic Peptide within Human SNRPD3 aa 50 to C-terminus. The exact immunogen used to generate this antibody is proprietary information.

P62318

Reactivity data

{ "title": "Reactivity Data", "filters": { "stats": ["", "Species", "Dilution Info", "Notes"], "tabs": { "all-applications": {"fullname" : "All Applications", "shortname": "All Applications"}, "IHCP" : {"fullname" : "Immunohistochemistry (Formalin/PFA-fixed paraffin-embedded sections)", "shortname":"IHC-P"}, "IP" : {"fullname" : "Immunoprecipitation", "shortname":"IP"}, "WB" : {"fullname" : "Western blot", "shortname":"WB"} }, "product-promise": { "all": "all", "testedAndGuaranteed": "tested", "guaranteed": "expected", "predicted": "predicted", "notRecommended": "not-recommended" } }, "values": { "Human": { "IHCP-species-checked": "guaranteed", "IHCP-species-dilution-info": "", "IHCP-species-notes": "", "IP-species-checked": "testedAndGuaranteed", "IP-species-dilution-info": "2-10 µg/mg of lysate", "IP-species-notes": "<p></p>", "WB-species-checked": "testedAndGuaranteed", "WB-species-dilution-info": "1/1000 - 1/5000", "WB-species-notes": "<p></p>" }, "Mouse": { "IHCP-species-checked": "testedAndGuaranteed", "IHCP-species-dilution-info": "1/500 - 1/2000", "IHCP-species-notes": "<p></p> Perform heat-mediated antigen retrieval with citrate buffer pH 6 before commencing with IHC staining protocol.", "IP-species-checked": "guaranteed", "IP-species-dilution-info": "", "IP-species-notes": "", "WB-species-checked": "guaranteed", "WB-species-dilution-info": "", "WB-species-notes": "" }, "Chicken": { "IHCP-species-checked": "predicted", "IHCP-species-dilution-info": "", "IHCP-species-notes": "", "IP-species-checked": "predicted", "IP-species-dilution-info": "", "IP-species-notes": "", "WB-species-checked": "predicted", "WB-species-dilution-info": "", "WB-species-notes": "" }, "Chimpanzee": { "IHCP-species-checked": "predicted", "IHCP-species-dilution-info": "", "IHCP-species-notes": "", "IP-species-checked": "predicted", "IP-species-dilution-info": "", "IP-species-notes": "", "WB-species-checked": "predicted", "WB-species-dilution-info": "", "WB-species-notes": "" }, "Cow": { "IHCP-species-checked": "predicted", "IHCP-species-dilution-info": "", "IHCP-species-notes": "", "IP-species-checked": "predicted", "IP-species-dilution-info": "", "IP-species-notes": "", "WB-species-checked": "predicted", "WB-species-dilution-info": "", "WB-species-notes": "" }, "Dog": { "IHCP-species-checked": "predicted", "IHCP-species-dilution-info": "", "IHCP-species-notes": "", "IP-species-checked": "predicted", "IP-species-dilution-info": "", "IP-species-notes": "", "WB-species-checked": "predicted", "WB-species-dilution-info": "", "WB-species-notes": "" }, "Gorilla": { "IHCP-species-checked": "predicted", "IHCP-species-dilution-info": "", "IHCP-species-notes": "", "IP-species-checked": "predicted", "IP-species-dilution-info": "", "IP-species-notes": "", "WB-species-checked": "predicted", "WB-species-dilution-info": "", "WB-species-notes": "" }, "Guinea pig": { "IHCP-species-checked": "predicted", "IHCP-species-dilution-info": "", "IHCP-species-notes": "", "IP-species-checked": "predicted", "IP-species-dilution-info": "", "IP-species-notes": "", "WB-species-checked": "predicted", "WB-species-dilution-info": "", "WB-species-notes": "" }, "Horse": { "IHCP-species-checked": "predicted", "IHCP-species-dilution-info": "", "IHCP-species-notes": "", "IP-species-checked": "predicted", "IP-species-dilution-info": "", "IP-species-notes": "", "WB-species-checked": "predicted", "WB-species-dilution-info": "", "WB-species-notes": "" }, "Lizard": { "IHCP-species-checked": "predicted", "IHCP-species-dilution-info": "", "IHCP-species-notes": "", "IP-species-checked": "predicted", "IP-species-dilution-info": "", "IP-species-notes": "", "WB-species-checked": "predicted", "WB-species-dilution-info": "", "WB-species-notes": "" }, "Orangutan": { "IHCP-species-checked": "predicted", "IHCP-species-dilution-info": "", "IHCP-species-notes": "", "IP-species-checked": "predicted", "IP-species-dilution-info": "", "IP-species-notes": "", "WB-species-checked": "predicted", "WB-species-dilution-info": "", "WB-species-notes": "" }, "Pig": { "IHCP-species-checked": "predicted", "IHCP-species-dilution-info": "", "IHCP-species-notes": "", "IP-species-checked": "predicted", "IP-species-dilution-info": "", "IP-species-notes": "", "WB-species-checked": "predicted", "WB-species-dilution-info": "", "WB-species-notes": "" }, "Rabbit": { "IHCP-species-checked": "predicted", "IHCP-species-dilution-info": "", "IHCP-species-notes": "", "IP-species-checked": "predicted", "IP-species-dilution-info": "", "IP-species-notes": "", "WB-species-checked": "predicted", "WB-species-dilution-info": "", "WB-species-notes": "" }, "Rhesus monkey": { "IHCP-species-checked": "predicted", "IHCP-species-dilution-info": "", "IHCP-species-notes": "", "IP-species-checked": "predicted", "IP-species-dilution-info": "", "IP-species-notes": "", "WB-species-checked": "predicted", "WB-species-dilution-info": "", "WB-species-notes": "" }, "Turkey": { "IHCP-species-checked": "predicted", "IHCP-species-dilution-info": "", "IHCP-species-notes": "", "IP-species-checked": "predicted", "IP-species-dilution-info": "", "IP-species-notes": "", "WB-species-checked": "predicted", "WB-species-dilution-info": "", "WB-species-notes": "" }, "Xenopus laevis": { "IHCP-species-checked": "predicted", "IHCP-species-dilution-info": "", "IHCP-species-notes": "", "IP-species-checked": "predicted", "IP-species-dilution-info": "", "IP-species-notes": "", "WB-species-checked": "predicted", "WB-species-dilution-info": "", "WB-species-notes": "" }, "Xenopus tropicalis": { "IHCP-species-checked": "predicted", "IHCP-species-dilution-info": "", "IHCP-species-notes": "", "IP-species-checked": "predicted", "IP-species-dilution-info": "", "IP-species-notes": "", "WB-species-checked": "predicted", "WB-species-dilution-info": "", "WB-species-notes": "" }, "Zebra finch": { "IHCP-species-checked": "predicted", "IHCP-species-dilution-info": "", "IHCP-species-notes": "", "IP-species-checked": "predicted", "IP-species-dilution-info": "", "IP-species-notes": "", "WB-species-checked": "predicted", "WB-species-dilution-info": "", "WB-species-notes": "" } } }

Properties and storage information

Form
Liquid
Purification technique
Affinity purification Immunogen
Storage buffer
pH: 7 - 8 Preservative: 0.09% Sodium azide Constituents: 99% Tris citrate/phosphate
Shipped at conditions
Blue Ice
Appropriate short-term storage conditions
+4°C
Appropriate long-term storage conditions
-20°C
Aliquoting information
Upon delivery aliquot
Storage information
Avoid freeze / thaw cycle

Supplementary information

This supplementary information is collated from multiple sources and compiled automatically.

SNRPD3 also known as Sm-D3 is a protein that plays an important role in the assembly of small nuclear ribonucleoproteins (snRNPs) essential for pre-mRNA splicing. This protein has a molecular mass of approximately 10 kDa. It functions as a core component of the spliceosomal machinery an essential complex in eukaryotic gene expression. You can find SNRPD3 expressed in various tissues where pre-mRNA splicing activity is required reflecting its fundamental role in cellular processes.
Biological function summary

SNRPD3 participates in snRNP assembly by interacting with other Sm proteins to form a heptameric ring structure around small nuclear RNAs (snRNAs). As part of the major spliceosomal snRNPs SNRPD3 contributes to the modification and catalysis of pre-mRNA splicing. The protein also gets involved in RNA stability and regulation. As a member of the spliceosome complex SNRPD3 helps ensure the fidelity and precision of splicing events important for generating mature mRNA molecules.

Pathways

The actions of SNRPD3 lie within the splicing pathway and have implications in the gene expression pathway. Interaction occurs with other proteins such as SNRPD1 and SNRPD2 which are also part of the snRNP complex facilitating effective spliceosomal function. The U1 snRNP specifically involving SNRPD3 plays a part in the recognition of splice sites initiating the splicing of pre-mRNAs.

Issues with SNRPD3 function or expression might relate to autoimmune diseases such as lupus and some neurodegenerative conditions. Antinuclear antibodies targeting snRNP components including SNRPD3 are common in systemic lupus erythematosus indicating its involvement in the disease's pathology. Furthermore alterations in splicing mechanisms involving SNRPD3 might influence neurodegenerative disorders due to its role in RNA processing and stability potentially relating to other RNA-binding proteins like hnRNPs.

Product protocols

For this product, it's our understanding that no specific protocols are required. You can visit:

Target data

Plays a role in pre-mRNA splicing as a core component of the spliceosomal U1, U2, U4 and U5 small nuclear ribonucleoproteins (snRNPs), the building blocks of the spliceosome (PubMed : 11991638, PubMed : 18984161, PubMed : 19325628, PubMed : 25555158, PubMed : 26912367, PubMed : 28076346, PubMed : 28502770, PubMed : 28781166, PubMed : 32494006). Component of both the pre-catalytic spliceosome B complex and activated spliceosome C complexes (PubMed : 11991638, PubMed : 28076346, PubMed : 28502770, PubMed : 28781166). As a component of the minor spliceosome, involved in the splicing of U12-type introns in pre-mRNAs (PubMed : 15146077, PubMed : 33509932). As part of the U7 snRNP it is involved in histone pre-mRNA 3'-end processing (By similarity).
See full target information SNRPD3

Publications (2)

Recent publications for all applications. Explore the full list and refine your search

Oncogene 43:363-377 PubMed38049564

2023

MYCN and SNRPD3 cooperate to maintain a balance of alternative splicing events that drives neuroblastoma progression.

Applications

Unspecified application

Species

Unspecified reactive species

Alice Salib,Nisitha Jayatilleke,Janith A Seneviratne,Chelsea Mayoh,Katleen De Preter,Frank Speleman,Belamy B Cheung,Daniel R Carter,Glenn M Marshall

eLife 11: PubMed34984976

2022

Type I and II PRMTs inversely regulate post-transcriptional intron detention through Sm and CHTOP methylation.

Applications

Unspecified application

Species

Unspecified reactive species

Maxim I Maron,Alyssa D Casill,Varun Gupta,Jacob S Roth,Simone Sidoli,Charles C Query,Matthew J Gamble,David Shechter
View all publications

Product promise

We are committed to supporting your work with high-quality reagents, and we're here for you every step of the way. In the unlikely event that one of our products does not perform as expected, you're protected by our Product Promise.
For full details, please see our Terms & Conditions

Associated Products

Select an associated product type
Alternative Product
Primary Antibodies

AB121129

Anti-SNRPD3/Sm-D3 antibody

primary-antibodies

snrpd3-sm-d3-antibody-ab121129

0

(0 reviews)

Alternative Product
Primary Antibodies

AB128857

Anti-SNRPD3/Sm-D3 antibody [EPR7676]

primary-antibodies

snrpd3-sm-d3-antibody-epr7676-ab128857

0

(0 reviews)

Alternative Product
Primary Antibodies

AB232464

Anti-SNRPD3/Sm-D3 antibody [EPR7676] - BSA and Azide free

primary-antibodies

snrpd3-sm-d3-antibody-epr7676-bsa-and-azide-free-ab232464

0

(0 reviews)

Please note: All products are 'FOR RESEARCH USE ONLY. NOT FOR USE IN DIAGNOSTIC OR THERAPEUTIC PROCEDURES'.

For licensing inquiries, please contact partnerships@abcam.com