JavaScript is disabled in your browser. Please enable JavaScript to view this website.
AB154870

Anti-SNRPF antibody [EPR10388]

Be the first to review this product! Submit a review

|

(0 Publication)

Rabbit Recombinant Monoclonal SNRPF antibody. Suitable for IHC-P, WB and reacts with Human, Mouse, Rat samples.

View Alternative Names

PBSCF, SNRPF, Small nuclear ribonucleoprotein F, snRNP-F, Sm protein F, Sm-F, SmF

7 Images
Western blot - Anti-SNRPF antibody [EPR10388] (AB154870)
  • WB

Unknown

Western blot - Anti-SNRPF antibody [EPR10388] (AB154870)

All lanes:

Western blot - Anti-SNRPF antibody [EPR10388] (ab154870) at 1/1000 dilution

Lane 1:

HepG2 cell lysate at 10 µg

Lane 2:

MCF-7 cell lysate at 10 µg

Lane 3:

HeLa cell lysate at 10 µg

Lane 4:

HL-60 cell lysate at 10 µg

Secondary

All lanes:

HRP labelled goat anti-rabbit at 1/2000 dilution

Predicted band size: 10 kDa

false

Immunohistochemistry (Formalin/PFA-fixed paraffin-embedded sections) - Anti-SNRPF antibody [EPR10388] (AB154870)
  • IHC-P

Unknown

Immunohistochemistry (Formalin/PFA-fixed paraffin-embedded sections) - Anti-SNRPF antibody [EPR10388] (AB154870)

Immunohistochemical analysis of paraffin-embedded Human breast carcinoma tissue labeling SNRPF with ab154870 at 1/50 dilution.

Perform heat mediated antigen retrieval with citrate buffer pH 6 before commencing with IHC staining protocol.

Immunohistochemistry (Formalin/PFA-fixed paraffin-embedded sections) - Anti-SNRPF antibody [EPR10388] (AB154870)
  • IHC-P

Unknown

Immunohistochemistry (Formalin/PFA-fixed paraffin-embedded sections) - Anti-SNRPF antibody [EPR10388] (AB154870)

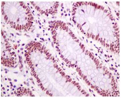
Immunohistochemical analysis of paraffin-embedded Human colon tissue labeling SNRPF with ab154870 at 1/50 dilution.

Perform heat mediated antigen retrieval with citrate buffer pH 6 before commencing with IHC staining protocol.

Immunohistochemistry (Formalin/PFA-fixed paraffin-embedded sections) - Anti-SNRPF antibody [EPR10388] (AB154870)
  • IHC-P

Unknown

Immunohistochemistry (Formalin/PFA-fixed paraffin-embedded sections) - Anti-SNRPF antibody [EPR10388] (AB154870)

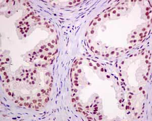
Immunohistochemical analysis of paraffin embedded Human normal prostate tissue using ab154870 showing +ve staining.

Perform heat mediated antigen retrieval with citrate buffer pH 6 before commencing with IHC staining protocol.

Immunohistochemistry (Formalin/PFA-fixed paraffin-embedded sections) - Anti-SNRPF antibody [EPR10388] (AB154870)
  • IHC-P

Unknown

Immunohistochemistry (Formalin/PFA-fixed paraffin-embedded sections) - Anti-SNRPF antibody [EPR10388] (AB154870)

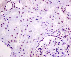
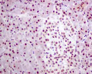
Immunohistochemical analysis of paraffin embedded Human normal pancreas tissue using ab154870 showing +ve staining.

Perform heat mediated antigen retrieval with citrate buffer pH 6 before commencing with IHC staining protocol.

Immunohistochemistry (Formalin/PFA-fixed paraffin-embedded sections) - Anti-SNRPF antibody [EPR10388] (AB154870)
  • IHC-P

Unknown

Immunohistochemistry (Formalin/PFA-fixed paraffin-embedded sections) - Anti-SNRPF antibody [EPR10388] (AB154870)

Immunohistochemical analysis of paraffin embedded Human normal kidney tissue using ab154870 showing +ve staining.

Perform heat mediated antigen retrieval with citrate buffer pH 6 before commencing with IHC staining protocol.

Immunohistochemistry (Formalin/PFA-fixed paraffin-embedded sections) - Anti-SNRPF antibody [EPR10388] (AB154870)
  • IHC-P

Unknown

Immunohistochemistry (Formalin/PFA-fixed paraffin-embedded sections) - Anti-SNRPF antibody [EPR10388] (AB154870)

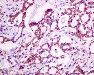
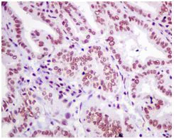
Immunohistochemical analysis of paraffin embedded Human breast carcinoma tissue using ab154870 showing +ve staining.

Perform heat mediated antigen retrieval with citrate buffer pH 6 before commencing with IHC staining protocol.

  • Carrier free

    Anti-SNRPF antibody [EPR10388] - BSA and Azide free

Key facts

Host species

Rabbit

Clonality

Monoclonal

Clone number

EPR10388

Isotype

IgG

Carrier free

No

Reacts with

Human

Applications

IHC-P, WB

applications

Immunogen

The exact immunogen used to generate this antibody is proprietary information.

Reactivity data

{ "title": "Reactivity Data", "filters": { "stats": ["", "Species", "Dilution Info", "Notes"], "tabs": { "all-applications": {"fullname" : "All Applications", "shortname": "All Applications"}, "IHCP" : {"fullname" : "Immunohistochemistry (Formalin/PFA-fixed paraffin-embedded sections)", "shortname":"IHC-P"}, "FlowCyt" : {"fullname" : "Flow Cytometry", "shortname":"Flow Cyt"}, "WB" : {"fullname" : "Western blot", "shortname":"WB"} }, "product-promise": { "all": "all", "testedAndGuaranteed": "tested", "guaranteed": "expected", "predicted": "predicted", "notRecommended": "not-recommended" } }, "values": { "Human": { "IHCP-species-checked": "testedAndGuaranteed", "IHCP-species-dilution-info": "1/50 - 1/100", "IHCP-species-notes": "<p></p> Perform heat-mediated antigen retrieval with citrate buffer pH 6 before commencing with IHC staining protocol.", "FlowCyt-species-checked": "notRecommended", "FlowCyt-species-dilution-info": "", "FlowCyt-species-notes": "<p></p>", "WB-species-checked": "testedAndGuaranteed", "WB-species-dilution-info": "1/1000 - 1/10000", "WB-species-notes": "<p></p>" }, "Mouse": { "IHCP-species-checked": "predicted", "IHCP-species-dilution-info": "", "IHCP-species-notes": "", "FlowCyt-species-checked": "notRecommended", "FlowCyt-species-dilution-info": "", "FlowCyt-species-notes": "", "WB-species-checked": "guaranteed", "WB-species-dilution-info": "", "WB-species-notes": "<p></p>" }, "Rat": { "IHCP-species-checked": "predicted", "IHCP-species-dilution-info": "", "IHCP-species-notes": "", "FlowCyt-species-checked": "notRecommended", "FlowCyt-species-dilution-info": "", "FlowCyt-species-notes": "", "WB-species-checked": "guaranteed", "WB-species-dilution-info": "", "WB-species-notes": "<p></p>" } } }

Product details

Properties and storage information

Form
Liquid
Purification technique
Affinity purification Protein A
Storage buffer
pH: 7.2 - 7.4 Preservative: 0.01% Sodium azide Constituents: 50% Tissue culture supernatant, 40% Glycerol (glycerin, glycerine), 9% PBS, 0.05% BSA
Shipped at conditions
Blue Ice
Appropriate short-term storage conditions
+4°C
Appropriate long-term storage conditions
-20°C

Supplementary information

This supplementary information is collated from multiple sources and compiled automatically.

SNRPF also known as Small Nuclear Ribonucleoprotein Polypeptide F plays a mechanical role in the spliceosomal complex. It is a component of the U1 U2 U4 U5 and U6 small nuclear ribonucleoproteins (snRNPs) essential in mRNA splicing. This protein has a mass of approximately 9.5 kDa. It is mainly expressed in the nucleus of eukaryotic cells where it participates in RNA processing.
Biological function summary

SNRPF functions as a part of the spliceosome assembly a large ribonucleoprotein complex responsible for pre-mRNA splicing. This process modifies nascent RNA transcripts converting them into mature mRNA for translation. The role of SNRPF in association with other Sm core proteins enables the assembly and stabilization of the snRNPs facilitating the accurate execution of the splicing cycle.

Pathways

The involvement of SNRPF in mRNA processing stands out significantly. It acts within the spliceosome complex playing an important part in the mRNA splicing pathway. This pathway ensures the removal of introns and the proper joining of exons vital for producing functional RNA transcripts. SNRPF interacts with other proteins like SNRPD1 and SNRPD2 forming an intricate network pivotal in the regulation of gene expression.

Defects in SNRPF expression or function have links to neurodegenerative disorders and certain cancers. Misregulation of splicing events potentially caused by altered levels of SNRPF connects to conditions such as spinal muscular atrophy. The protein's interactions with other splicing factors might influence the development of these diseases highlighting the importance of its proper regulation in cellular processes.

Product protocols

For this product, it's our understanding that no specific protocols are required. You can visit:

Target data

Plays a role in pre-mRNA splicing as a core component of the spliceosomal U1, U2, U4 and U5 small nuclear ribonucleoproteins (snRNPs), the building blocks of the spliceosome (PubMed : 11991638, PubMed : 18984161, PubMed : 19325628, PubMed : 23333303, PubMed : 25555158, PubMed : 26912367, PubMed : 28076346, PubMed : 28502770, PubMed : 28781166, PubMed : 32494006). Component of both the pre-catalytic spliceosome B complex and activated spliceosome C complexes (PubMed : 11991638, PubMed : 28076346, PubMed : 28502770, PubMed : 28781166). As a component of the minor spliceosome, involved in the splicing of U12-type introns in pre-mRNAs (PubMed : 15146077). As part of the U7 snRNP it is involved in histone 3'-end processing (PubMed : 12975319).
See full target information SNRPF

Product promise

We are committed to supporting your work with high-quality reagents, and we're here for you every step of the way. In the unlikely event that one of our products does not perform as expected, you're protected by our Product Promise.
For full details, please see our Terms & Conditions

Associated Products

Select an associated product type
Alternative Product
Primary Antibodies

AB156587

Anti-SNRPF antibody [EPR10389(B)]

primary-antibodies

snrpf-antibody-epr10389b-ab156587

0

(0 reviews)

Please note: All products are 'FOR RESEARCH USE ONLY. NOT FOR USE IN DIAGNOSTIC OR THERAPEUTIC PROCEDURES'.

For licensing inquiries, please contact partnerships@abcam.com