JavaScript is disabled in your browser. Please enable JavaScript to view this website.
AB122845

Anti-SNTN antibody

Be the first to review this product! Submit a review

|

(2 Publications)

Rabbit Polyclonal SNTN antibody. Suitable for IHC-P, WB, ICC/IF and reacts with Human samples. Cited in 2 publications. Immunogen corresponding to Recombinant Fragment Protein within Human SNTN aa 1-100.

View Alternative Names

S100A1L, SNTN, Sentan, Protein S100-A1-like, S100 calcium-binding protein A1-like

3 Images
Immunocytochemistry/ Immunofluorescence - Anti-SNTN antibody (AB122845)
  • ICC/IF

Unknown

Immunocytochemistry/ Immunofluorescence - Anti-SNTN antibody (AB122845)

Immunofluorescent staining of Human cell line A-431 shows positivity in nucleus but not nucleoli and cytoplasm. Recommended concentration of ab122845 1-4 µg/ml. Cells treated with PFA/Triton X-100.

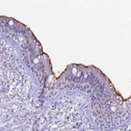
Immunohistochemistry (Formalin/PFA-fixed paraffin-embedded sections) - Anti-SNTN antibody (AB122845)
  • IHC-P

Unknown

Immunohistochemistry (Formalin/PFA-fixed paraffin-embedded sections) - Anti-SNTN antibody (AB122845)

ab122845 at 1/50 dilution staining SNTN in Paraffin-embedded Human bronchus tissue by Immunohistochemistry.

Western blot - Anti-SNTN antibody (AB122845)
  • WB

Unknown

Western blot - Anti-SNTN antibody (AB122845)

All lanes:

Western blot - Anti-SNTN antibody (ab122845) at 1/250 dilution

Lane 1:

RT4 cell lysate

Lane 2:

U-251 MG cell lysate

Lane 3:

Human Plasma lysate

Lane 4:

Human Liver lysate

Lane 5:

Human Tonsil lysate

Predicted band size: 16 kDa

false

Key facts

Host species

Rabbit

Clonality

Polyclonal

Isotype

IgG

Carrier free

No

Reacts with

Human

Applications

WB, IHC-P, ICC/IF

applications

Immunogen

Recombinant Fragment Protein within Human SNTN aa 1-100. The exact immunogen used to generate this antibody is proprietary information.

A6NMZ2

Reactivity data

{ "title": "Reactivity Data", "filters": { "stats": ["", "Species", "Dilution Info", "Notes"], "tabs": { "all-applications": {"fullname" : "All Applications", "shortname": "All Applications"}, "IHCP" : {"fullname" : "Immunohistochemistry (Formalin/PFA-fixed paraffin-embedded sections)", "shortname":"IHC-P"}, "WB" : {"fullname" : "Western blot", "shortname":"WB"}, "ICCIF" : {"fullname" : "Immunocytochemistry/ Immunofluorescence", "shortname":"ICC/IF"} }, "product-promise": { "all": "all", "testedAndGuaranteed": "tested", "guaranteed": "expected", "predicted": "predicted", "notRecommended": "not-recommended" } }, "values": { "Human": { "IHCP-species-checked": "testedAndGuaranteed", "IHCP-species-dilution-info": "1/50 - 1/200", "IHCP-species-notes": "<p></p> Perform heat-mediated antigen retrieval with citrate buffer pH 6 before commencing with IHC staining protocol.", "WB-species-checked": "testedAndGuaranteed", "WB-species-dilution-info": "1/250 - 1/500", "WB-species-notes": "<p></p>", "ICCIF-species-checked": "testedAndGuaranteed", "ICCIF-species-dilution-info": "1-4 µg/mL", "ICCIF-species-notes": "<p>Recommend PFA Fixation and Triton X-100 treatment</p>" } } }

Properties and storage information

Form
Liquid
Purification technique
Affinity purification Immunogen
Storage buffer
pH: 7.2 Preservative: 0.02% Sodium azide Constituents: PBS, 40% Glycerol (glycerin, glycerine)
Shipped at conditions
Blue Ice
Appropriate short-term storage conditions
+4°C
Appropriate long-term storage conditions
-20°C
Aliquoting information
Upon delivery aliquot
Storage information
Avoid freeze / thaw cycle

Product protocols

For this product, it's our understanding that no specific protocols are required. You can visit:

Target data

May be a component of the linker structure that bridges the ciliary membrane and peripheral singlet microtubules.
See full target information SNTN

Publications (2)

Recent publications for all applications. Explore the full list and refine your search

FEBS letters 597:1623-1637 PubMed37102425

2023

The MIR34B/C genomic region contains multiple potential regulators of multiciliogenesis.

Applications

Unspecified application

Species

Unspecified reactive species

Amélie Cavard,Elisa Redman,Olivier Mercey,Sophie Abelanet,Magali Plaisant,Marie-Jeanne Arguel,Virginie Magnone,Sandra Ruiz García,Géraldine Rios,Marie Deprez,Kévin Lebrigand,Gilles Ponzio,Ignacio Caballero,Pascal Barbry,Laure-Emmanuelle Zaragosi,Brice Marcet

Biochimica et biophysica acta. Molecular cell rese 1866:882-895 PubMed30716409

2019

Loss of Peter Pan protein is associated with cell cycle defects and apoptotic events.

Applications

Unspecified application

Species

Unspecified reactive species

Marina Keil,Maria T Meyer,David P Dannheisig,Lars D Maerz,Melanie Philipp,Astrid S Pfister
View all publications

Product promise

We are committed to supporting your work with high-quality reagents, and we're here for you every step of the way. In the unlikely event that one of our products does not perform as expected, you're protected by our Product Promise.
For full details, please see our Terms & Conditions

Please note: All products are 'FOR RESEARCH USE ONLY. NOT FOR USE IN DIAGNOSTIC OR THERAPEUTIC PROCEDURES'.

For licensing inquiries, please contact partnerships@abcam.com