JavaScript is disabled in your browser. Please enable JavaScript to view this website.
AB995

Anti-SNX1 antibody

4

(2 Reviews)

|

(10 Publications)

Rabbit Polyclonal SNX1 antibody. Suitable for IHC-P and reacts with Human samples. Cited in 10 publications. Immunogen corresponding to Synthetic Peptide within Human SNX1 conjugated to Keyhole Limpet Haemocyanin.

View Alternative Names

Sorting nexin-1, SNX1

2 Images
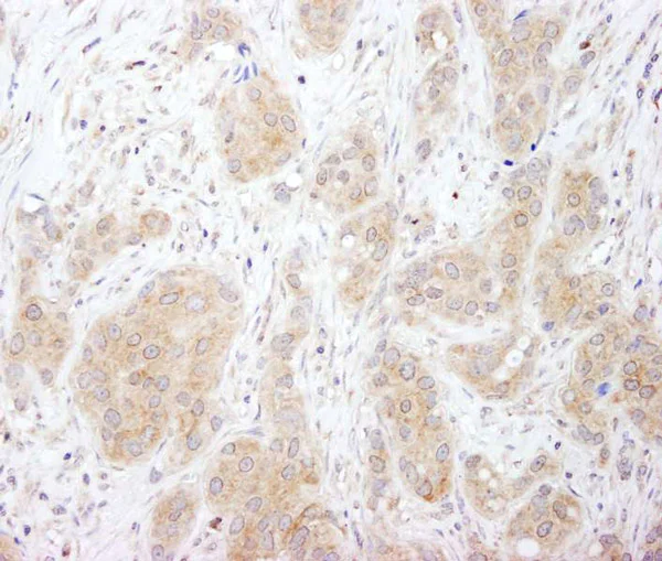
Immunohistochemistry (Formalin/PFA-fixed paraffin-embedded sections) - Anti-SNX1 antibody (AB995)
  • IHC-P

Supplier Data

Immunohistochemistry (Formalin/PFA-fixed paraffin-embedded sections) - Anti-SNX1 antibody (AB995)

Immunohistochemistry (Formalin/PFA-fixed paraffin-embedded sections) analysis of human breast carcinoma tissue labelling SNX1 with ab995 at 1/1000 (1μg/ml). Detection : DAB.

Immunohistochemistry (Formalin/PFA-fixed paraffin-embedded sections) - Anti-SNX1 antibody (AB995)
  • IHC-P

Unknown

Immunohistochemistry (Formalin/PFA-fixed paraffin-embedded sections) - Anti-SNX1 antibody (AB995)

Immunohistochemistry (Formalin/PFA-fixed paraffin-embedded sections) analysis of human breast carcinoma tissue labelling SNX1 with ab995 at 1/400 (2.5µg/ml). A Red-fluorescent goat anti-rabbit IgG (1/100) was used as the secondary antibody.

Key facts

Host species

Rabbit

Clonality

Polyclonal

Isotype

IgG

Carrier free

No

Reacts with

Human

Applications

IHC-P

applications

Immunogen

Synthetic Peptide within Human SNX1 conjugated to Keyhole Limpet Haemocyanin. The exact immunogen used to generate this antibody is proprietary information.

Q13596

Reactivity data

{ "title": "Reactivity Data", "filters": { "stats": ["", "Species", "Dilution Info", "Notes"], "tabs": { "all-applications": {"fullname" : "All Applications", "shortname": "All Applications"}, "IHCP" : {"fullname" : "Immunohistochemistry (Formalin/PFA-fixed paraffin-embedded sections)", "shortname":"IHC-P"} }, "product-promise": { "all": "all", "testedAndGuaranteed": "tested", "guaranteed": "expected", "predicted": "predicted", "notRecommended": "not-recommended" } }, "values": { "Human": { "IHCP-species-checked": "testedAndGuaranteed", "IHCP-species-dilution-info": "1/500 - 1/2000", "IHCP-species-notes": "<p></p> Perform heat-mediated antigen retrieval with Tris/EDTA buffer pH 9.0 before commencing with IHC staining protocol." }, "Mouse": { "IHCP-species-checked": "predicted", "IHCP-species-dilution-info": "", "IHCP-species-notes": "" }, "Rat": { "IHCP-species-checked": "predicted", "IHCP-species-dilution-info": "", "IHCP-species-notes": "" }, "Chicken": { "IHCP-species-checked": "predicted", "IHCP-species-dilution-info": "", "IHCP-species-notes": "" }, "Chimpanzee": { "IHCP-species-checked": "predicted", "IHCP-species-dilution-info": "", "IHCP-species-notes": "" }, "Cow": { "IHCP-species-checked": "predicted", "IHCP-species-dilution-info": "", "IHCP-species-notes": "" }, "Dog": { "IHCP-species-checked": "predicted", "IHCP-species-dilution-info": "", "IHCP-species-notes": "" }, "Gorilla": { "IHCP-species-checked": "predicted", "IHCP-species-dilution-info": "", "IHCP-species-notes": "" }, "Guinea pig": { "IHCP-species-checked": "predicted", "IHCP-species-dilution-info": "", "IHCP-species-notes": "" }, "Horse": { "IHCP-species-checked": "predicted", "IHCP-species-dilution-info": "", "IHCP-species-notes": "" }, "Orangutan": { "IHCP-species-checked": "predicted", "IHCP-species-dilution-info": "", "IHCP-species-notes": "" }, "Pig": { "IHCP-species-checked": "predicted", "IHCP-species-dilution-info": "", "IHCP-species-notes": "" }, "Rabbit": { "IHCP-species-checked": "predicted", "IHCP-species-dilution-info": "", "IHCP-species-notes": "" }, "Rhesus monkey": { "IHCP-species-checked": "predicted", "IHCP-species-dilution-info": "", "IHCP-species-notes": "" }, "Turkey": { "IHCP-species-checked": "predicted", "IHCP-species-dilution-info": "", "IHCP-species-notes": "" }, "Xenopus laevis": { "IHCP-species-checked": "predicted", "IHCP-species-dilution-info": "", "IHCP-species-notes": "" }, "Xenopus tropicalis": { "IHCP-species-checked": "predicted", "IHCP-species-dilution-info": "", "IHCP-species-notes": "" } } }

Properties and storage information

Form
Liquid
Purification technique
Affinity purification Immunogen
Storage buffer
pH: 7 - 8 Preservative: 0.1% Sodium azide Constituents: PBS, 1.815% Tris, 1.764% Sodium citrate
Shipped at conditions
Blue Ice
Appropriate short-term storage conditions
+4°C
Appropriate long-term storage conditions
-20°C
Aliquoting information
Upon delivery aliquot
Storage information
Avoid freeze / thaw cycle

Product protocols

For this product, it's our understanding that no specific protocols are required. You can visit:

Target data

Involved in several stages of intracellular trafficking. Interacts with membranes containing phosphatidylinositol 3-phosphate (PtdIns(3P)) or phosphatidylinositol 3,5-bisphosphate (PtdIns(3,5)P2) (PubMed : 12198132). Acts in part as component of the retromer membrane-deforming SNX-BAR subcomplex. The SNX-BAR retromer mediates retrograde transport of cargo proteins from endosomes to the trans-Golgi network (TGN) and is involved in endosome-to-plasma membrane transport for cargo protein recycling. The SNX-BAR subcomplex functions to deform the donor membrane into a tubular profile called endosome-to-TGN transport carrier (ETC) (Probable). Can sense membrane curvature and has in vitro vesicle-to-membrane remodeling activity (PubMed : 19816406, PubMed : 23085988). Involved in retrograde endosome-to-TGN transport of lysosomal enzyme receptors (IGF2R, M6PR and SORT1) and Shiginella dysenteria toxin stxB. Plays a role in targeting ligand-activated EGFR to the lysosomes for degradation after endocytosis from the cell surface and release from the Golgi (PubMed : 12198132, PubMed : 15498486, PubMed : 17101778, PubMed : 17550970, PubMed : 18088323, PubMed : 21040701). Involvement in retromer-independent endocytic trafficking of P2RY1 and lysosomal degradation of protease-activated receptor-1/F2R (PubMed : 16407403, PubMed : 20070609). Promotes KALRN- and RHOG-dependent but retromer-independent membrane remodeling such as lamellipodium formation; the function is dependent on GEF activity of KALRN (PubMed : 20604901). Required for endocytosis of DRD5 upon agonist stimulation but not for basal receptor trafficking (PubMed : 23152498).
See full target information SNX1

Publications (10)

Recent publications for all applications. Explore the full list and refine your search

Acta neuropathologica 141:881-899 PubMed33779783

2021

Meningeal inflammation in multiple sclerosis induces phenotypic changes in cortical microglia that differentially associate with neurodegeneration.

Applications

Unspecified application

Species

Unspecified reactive species

Lynn van Olst,Carla Rodriguez-Mogeda,Carmen Picon,Svenja Kiljan,Rachel E James,Alwin Kamermans,Susanne M A van der Pol,Lydian Knoop,Iliana Michailidou,Evelien Drost,Marc Franssen,Geert J Schenk,Jeroen J G Geurts,Sandra Amor,Nicholas D Mazarakis,Jack van Horssen,Helga E de Vries,Richard Reynolds,Maarten E Witte

Theranostics 10:2727-2743 PubMed32194831

2020

Targeting microtubules sensitizes drug resistant lung cancer cells to lysosomal pathway inhibitors.

Applications

Unspecified application

Species

Unspecified reactive species

Tan-Min Chin,Gandhi T K Boopathy,Ellen P S Man,John G Clohessy,Eva Csizmadia,Margaret P Quinlan,Thomas Putti,Seow-Ching Wan,Chen Xie,Azhar Ali,Fhu Chee Wai,Yan Shan Ong,Boon-Cher Goh,Jeff Settleman,Wanjin Hong,Elena Levantini,Daniel G Tenen

EMBO reports 20: PubMed30610016

2019

APEX2-mediated RAB proximity labeling identifies a role for RAB21 in clathrin-independent cargo sorting.

Applications

Unspecified application

Species

Unspecified reactive species

Tomas Del Olmo,Annie Lauzier,Caroline Normandin,Raphaëlle Larcher,Mia Lecours,Dominique Jean,Louis Lessard,Florian Steinberg,François-Michel Boisvert,Steve Jean

The Journal of cell biology 216:3695-3712 PubMed28935633

2017

Sequence-dependent cargo recognition by SNX-BARs mediates retromer-independent transport of CI-MPR.

Applications

Unspecified application

Species

Unspecified reactive species

Boris Simonetti,Chris M Danson,Kate J Heesom,Peter J Cullen

PloS one 12:e0173017 PubMed28278185

2017

Myeloid dendritic cells stimulated by thymic stromal lymphopoietin promote Th2 immune responses and the pathogenesis of oral lichen planus.

Applications

IHC

Species

Unspecified reactive species

Masaki Yamauchi,Masafumi Moriyama,Jun-Nosuke Hayashida,Takashi Maehara,Noriko Ishiguro,Keigo Kubota,Sachiko Furukawa,Miho Ohta,Mizuki Sakamoto,Akihiko Tanaka,Seiji Nakamura

Cell death discovery 3:16100 PubMed28179995

2017

Caspase-mediated proteolysis of the sorting nexin 2 disrupts retromer assembly and potentiates Met/hepatocyte growth factor receptor signaling.

Applications

Unspecified application

Species

Human

Catherine M Duclos,Audrey Champagne,Julie C Carrier,Caroline Saucier,Christine L Lavoie,Jean-Bernard Denault

BioMed research international 2015:864509 PubMed26844229

2015

15d-PGJ2 Reduced Microglia Activation and Alleviated Neurological Deficit of Ischemic Reperfusion in Diabetic Rat Model.

Applications

Unspecified application

Species

Unspecified reactive species

Lihong Huang,Gang Li,Xiaofang Feng,Luojun Wang

Traffic (Copenhagen, Denmark) 15:879-88 PubMed24894536

2014

USP8 controls the trafficking and sorting of lysosomal enzymes.

Applications

Unspecified application

Species

Unspecified reactive species

Ewan MacDonald,Sylvie Urbé,Michael J Clague

PloS one 7:e39738 PubMed22761883

2012

Uric acid induces renal inflammation via activating tubular NF-κB signaling pathway.

Applications

Unspecified application

Species

Unspecified reactive species

Yang Zhou,Li Fang,Lei Jiang,Ping Wen,Hongdi Cao,Weichun He,Chunsun Dai,Junwei Yang

Molecular and cellular biology 27:6842-51 PubMed17646382

2007

Sorting by the cytoplasmic domain of the amyloid precursor protein binding receptor SorLA.

Applications

WB

Species

Human

Morten S Nielsen,Camilla Gustafsen,Peder Madsen,Jens R Nyengaard,Guido Hermey,Oddmund Bakke,Muriel Mari,Peter Schu,Regina Pohlmann,André Dennes,Claus M Petersen
View all publications

Product promise

We are committed to supporting your work with high-quality reagents, and we're here for you every step of the way. In the unlikely event that one of our products does not perform as expected, you're protected by our Product Promise.
For full details, please see our Terms & Conditions

Please note: All products are 'FOR RESEARCH USE ONLY. NOT FOR USE IN DIAGNOSTIC OR THERAPEUTIC PROCEDURES'.

For licensing inquiries, please contact partnerships@abcam.com