JavaScript is disabled in your browser. Please enable JavaScript to view this website.
AB134126

Anti-SNX1 antibody [EPR7178]

4

(2 Reviews)

|

(5 Publications)

Rabbit Recombinant Monoclonal SNX1 antibody. Suitable for IHC-P, WB, ICC/IF and reacts with Human samples. Cited in 5 publications.

View Alternative Names

Sorting nexin-1, SNX1

4 Images
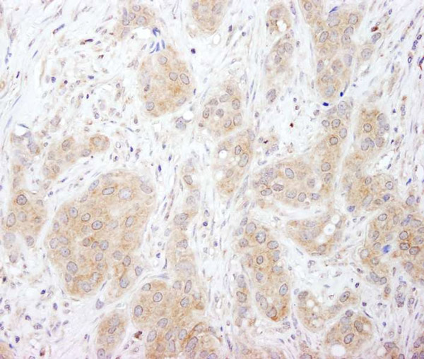
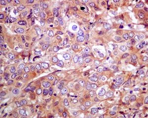
Immunohistochemistry (Formalin/PFA-fixed paraffin-embedded sections) - Anti-SNX1 antibody [EPR7178] (AB134126)
  • IHC-P

Unknown

Immunohistochemistry (Formalin/PFA-fixed paraffin-embedded sections) - Anti-SNX1 antibody [EPR7178] (AB134126)

Immunohistochemical analysis of paraffin embedded Human breast carcinoma labelling SNX1 with ab134126 at 1/250.

Perform heat mediated antigen retrieval with citrate buffer pH 6 before commencing with IHC staining protocol.

Immunocytochemistry/ Immunofluorescence - Anti-SNX1 antibody [EPR7178] (AB134126)
  • ICC/IF

Unknown

Immunocytochemistry/ Immunofluorescence - Anti-SNX1 antibody [EPR7178] (AB134126)

ab134126 stained HeLa cells. The cells were 4% formaldehyde fixed for 10 minutes at room temperature and then incubated in 1%BSA / 10% normal goat serum / 0.3M glycine in 0.1% PBS-Tween for 1hour at room temperature to permeabilise the cells and block non-specific protein-protein interactions. The cells were then incubated with the antibody (ab134126 at 1/100 dilution) overnight at +4°C. The secondary antibody (pseudo-colored green) was Goat Anti-Rabbit IgG H&L (Alexa Fluor® 488) preadsorbed (ab150081) used at a 1/1000 dilution for 1hour at room temperature. Alexa Fluor® 594 WGA was used to label plasma membranes (pseudo-colored red) at a 1/200 dilution for 1hour at room temperature. DAPI was used to stain the cell nuclei (pseudo-colored blue) at a concentration of 1.43μM for 1hour at room temperature.

Western blot - Anti-SNX1 antibody [EPR7178] (AB134126)
  • WB

Unknown

Western blot - Anti-SNX1 antibody [EPR7178] (AB134126)

All lanes:

Western blot - Anti-SNX1 antibody [EPR7178] (ab134126) at 1/10000 dilution

Lane 1:

HeLa cell lysate at 10 µg

Lane 2:

HepG2 cell lysate at 10 µg

Lane 3:

293T cell lysate at 10 µg

Secondary

All lanes:

Goat anti-rabbit HRP conjugated at 1/2000 dilution

Predicted band size: 59 kDa

Observed band size: 74 kDa

false

OI-RD Scanning - Anti-SNX1 antibody [EPR7178] (AB134126)
  • OI-RD Scanning

Unknown

OI-RD Scanning - Anti-SNX1 antibody [EPR7178] (AB134126)

We have systematically measured KD (the equilibrium dissociation constant between the antibody and its antigen), of more than 840 recombinant antibodies to assess not only their individual KD values but also to see the average affinity of antibody. Based on the comparison with published literature values for mouse monoclonal antibodies, Recombinant antibodies appear to be on average 1-2 order of magnitude higher affinity.

  • Carrier free

    Anti-SNX1 antibody [EPR7178] - BSA and Azide free

Key facts

Host species

Rabbit

Clonality

Monoclonal

Clone number

EPR7178

Isotype

IgG

Carrier free

No

Reacts with

Human

Applications

IHC-P, WB, ICC/IF

applications

Immunogen

The exact immunogen used to generate this antibody is proprietary information.

Reactivity data

{ "title": "Reactivity Data", "filters": { "stats": ["", "Species", "Dilution Info", "Notes"], "tabs": { "all-applications": {"fullname" : "All Applications", "shortname": "All Applications"}, "IHCP" : {"fullname" : "Immunohistochemistry (Formalin/PFA-fixed paraffin-embedded sections)", "shortname":"IHC-P"}, "IP" : {"fullname" : "Immunoprecipitation", "shortname":"IP"}, "WB" : {"fullname" : "Western blot", "shortname":"WB"}, "ICCIF" : {"fullname" : "Immunocytochemistry/ Immunofluorescence", "shortname":"ICC/IF"} }, "product-promise": { "all": "all", "testedAndGuaranteed": "tested", "guaranteed": "expected", "predicted": "predicted", "notRecommended": "not-recommended" } }, "values": { "Human": { "IHCP-species-checked": "testedAndGuaranteed", "IHCP-species-dilution-info": "1/250 - 1/500", "IHCP-species-notes": "<p></p>", "IP-species-checked": "notRecommended", "IP-species-dilution-info": "", "IP-species-notes": "<p></p>", "WB-species-checked": "testedAndGuaranteed", "WB-species-dilution-info": "1/10000 - 1/50000", "WB-species-notes": "<p></p>", "ICCIF-species-checked": "testedAndGuaranteed", "ICCIF-species-dilution-info": "1/250 - 1/500", "ICCIF-species-notes": "<p></p>" }, "Mouse": { "IHCP-species-checked": "predicted", "IHCP-species-dilution-info": "", "IHCP-species-notes": "", "IP-species-checked": "notRecommended", "IP-species-dilution-info": "", "IP-species-notes": "", "WB-species-checked": "predicted", "WB-species-dilution-info": "", "WB-species-notes": "", "ICCIF-species-checked": "predicted", "ICCIF-species-dilution-info": "", "ICCIF-species-notes": "" }, "Rat": { "IHCP-species-checked": "predicted", "IHCP-species-dilution-info": "", "IHCP-species-notes": "", "IP-species-checked": "notRecommended", "IP-species-dilution-info": "", "IP-species-notes": "", "WB-species-checked": "predicted", "WB-species-dilution-info": "", "WB-species-notes": "", "ICCIF-species-checked": "predicted", "ICCIF-species-dilution-info": "", "ICCIF-species-notes": "" } } }

Product details

Patented technology
Our RabMAb® technology is a patented hybridoma-based technology for making rabbit monoclonal antibodies. For details on our patents, please refer to RabMAb® patents.

What are the advantages of a recombinant monoclonal antibody?
This product is a recombinant monoclonal antibody, which offers several advantages including:

  • - High batch-to-batch consistency and reproducibility
  • - Improved sensitivity and specificity
  • - Long-term security of supply
  • - Animal-free batch production

For more information, read more on recombinant antibodies.

Properties and storage information

Form
Liquid
Purification technique
Affinity purification Protein A
Storage buffer
pH: 7.2 - 7.4 Preservative: 0.01% Sodium azide Constituents: PBS, 50% Tissue culture supernatant, 40% Glycerol (glycerin, glycerine), 0.05% BSA
Shipped at conditions
Blue Ice
Appropriate short-term storage conditions
+4°C
Appropriate long-term storage conditions
-20°C
Storage information
Stable for 12 months at -20°C

Product protocols

For this product, it's our understanding that no specific protocols are required. You can visit:

Target data

Involved in several stages of intracellular trafficking. Interacts with membranes containing phosphatidylinositol 3-phosphate (PtdIns(3P)) or phosphatidylinositol 3,5-bisphosphate (PtdIns(3,5)P2) (PubMed : 12198132). Acts in part as component of the retromer membrane-deforming SNX-BAR subcomplex. The SNX-BAR retromer mediates retrograde transport of cargo proteins from endosomes to the trans-Golgi network (TGN) and is involved in endosome-to-plasma membrane transport for cargo protein recycling. The SNX-BAR subcomplex functions to deform the donor membrane into a tubular profile called endosome-to-TGN transport carrier (ETC) (Probable). Can sense membrane curvature and has in vitro vesicle-to-membrane remodeling activity (PubMed : 19816406, PubMed : 23085988). Involved in retrograde endosome-to-TGN transport of lysosomal enzyme receptors (IGF2R, M6PR and SORT1) and Shiginella dysenteria toxin stxB. Plays a role in targeting ligand-activated EGFR to the lysosomes for degradation after endocytosis from the cell surface and release from the Golgi (PubMed : 12198132, PubMed : 15498486, PubMed : 17101778, PubMed : 17550970, PubMed : 18088323, PubMed : 21040701). Involvement in retromer-independent endocytic trafficking of P2RY1 and lysosomal degradation of protease-activated receptor-1/F2R (PubMed : 16407403, PubMed : 20070609). Promotes KALRN- and RHOG-dependent but retromer-independent membrane remodeling such as lamellipodium formation; the function is dependent on GEF activity of KALRN (PubMed : 20604901). Required for endocytosis of DRD5 upon agonist stimulation but not for basal receptor trafficking (PubMed : 23152498).
See full target information SNX1

Publications (5)

Recent publications for all applications. Explore the full list and refine your search

Frontiers in medicine 12:1529495 PubMed40421300

2025

Proteomic insights into COPD pathogenesis and therapeutic targets: a causal analysis of circulating proteins.

Applications

Unspecified application

Species

Unspecified reactive species

Min Luo,Ying Tang,Jing Qiu,Kai Yang,WenJing Dai,EnRong Fang

Cell death discovery 10:290 PubMed38886344

2024

Dysregulation of SNX1-retromer axis in pharmacogenetic models of Parkinson's disease.

Applications

Unspecified application

Species

Unspecified reactive species

Shun Yoshida,Takafumi Hasegawa,Takaaki Nakamura,Kazuki Sato,Naoto Sugeno,Shun Ishiyama,Kiyotoshi Sekiguchi,Muneshige Tobita,Atsushi Takeda,Masashi Aoki

Science advances 9:eadd2671 PubMed36867706

2023

CREB3L2-ATF4 heterodimerization defines a transcriptional hub of Alzheimer's disease gene expression linked to neuropathology.

Applications

Unspecified application

Species

Unspecified reactive species

Cláudio Gouveia Roque,Kyung Min Chung,Ethan P McCurdy,Radhika Jagannathan,Lisa K Randolph,Krystal Herline-Killian,Jimena Baleriola,Ulrich Hengst

Cell reports 29:3958-3973.e7 PubMed31851926

2019

Dynamic Growth and Shrinkage of the Salmonella-Containing Vacuole Determines the Intracellular Pathogen Niche.

Applications

Unspecified application

Species

Unspecified reactive species

Virginie Stévenin,Yuen-Yan Chang,Yoann Le Toquin,Magalie Duchateau,Quentin Giai Gianetto,Chak Hon Luk,Audrey Salles,Victoria Sohst,Mariette Matondo,Norbert Reiling,Jost Enninga

eLife 6: PubMed28134614

2017

Ablation of SNX6 leads to defects in synaptic function of CA1 pyramidal neurons and spatial memory.

Applications

Unspecified application

Species

Unspecified reactive species

Yang Niu,Zhonghua Dai,Wenxue Liu,Cheng Zhang,Yanrui Yang,Zhenzhen Guo,Xiaoyu Li,Chenchang Xu,Xiahe Huang,Yingchun Wang,Yun S Shi,Jia-Jia Liu
View all publications

Product promise

We are committed to supporting your work with high-quality reagents, and we're here for you every step of the way. In the unlikely event that one of our products does not perform as expected, you're protected by our Product Promise.
For full details, please see our Terms & Conditions

Please note: All products are 'FOR RESEARCH USE ONLY. NOT FOR USE IN DIAGNOSTIC OR THERAPEUTIC PROCEDURES'.

For licensing inquiries, please contact partnerships@abcam.com