JavaScript is disabled in your browser. Please enable JavaScript to view this website.
AB223046

Anti-SNX17 antibody

Be the first to review this product! Submit a review

|

(2 Publications)

Rabbit Polyclonal SNX17 antibody. Suitable for WB, IHC-P, ICC/IF and reacts with Mouse, Human samples. Cited in 2 publications. Immunogen corresponding to Recombinant Fragment Protein within Human SNX17 aa 250 to C-terminus.

View Alternative Names

KIAA0064, SNX17, Sorting nexin-17

3 Images
Immunocytochemistry/ Immunofluorescence - Anti-SNX17 antibody (AB223046)
  • ICC/IF

Supplier Data

Immunocytochemistry/ Immunofluorescence - Anti-SNX17 antibody (AB223046)

HepG2 (human liver hepatocellular carcinoma cell line) cells stained for SNX17 (green) using ab223046 at 1/100 dilution in ICC/IF. Secondary : Alexa Fluor® 488-conjugated Goat Anti-Rabbit IgG (H+L).

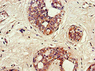
Immunohistochemistry (Formalin/PFA-fixed paraffin-embedded sections) - Anti-SNX17 antibody (AB223046)
  • IHC-P

Supplier Data

Immunohistochemistry (Formalin/PFA-fixed paraffin-embedded sections) - Anti-SNX17 antibody (AB223046)

Paraffin-embedded human breast cancer tissue stained for SNX17 using ab223046 at 1/100 dilution in immunohistochemical analysis.

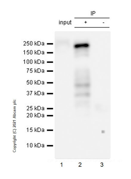
Western blot - Anti-SNX17 antibody (AB223046)
  • WB

Supplier Data

Western blot - Anti-SNX17 antibody (AB223046)

All lanes:

Western blot - Anti-SNX17 antibody (ab223046) at 1/500 dilution

Lane 1:

Mouse liver tissue lysate

Lane 2:

Mouse kidney tissue lysate

Secondary

All lanes:

Goat Anti-Rabbit IgG at 1/50000 dilution

Predicted band size: 32 kDa,53 kDa

Observed band size: 53 kDa

false

Key facts

Host species

Rabbit

Clonality

Polyclonal

Isotype

IgG

Carrier free

No

Reacts with

Mouse, Human

Applications

IHC-P, WB, ICC/IF

applications

Immunogen

Recombinant Fragment Protein within Human SNX17 aa 250 to C-terminus. The exact immunogen used to generate this antibody is proprietary information.

Q15036

Reactivity data

{ "title": "Reactivity Data", "filters": { "stats": ["", "Species", "Dilution Info", "Notes"], "tabs": { "all-applications": {"fullname" : "All Applications", "shortname": "All Applications"}, "WB" : {"fullname" : "Western blot", "shortname":"WB"}, "IHCP" : {"fullname" : "Immunohistochemistry (Formalin/PFA-fixed paraffin-embedded sections)", "shortname":"IHC-P"}, "ICCIF" : {"fullname" : "Immunocytochemistry/ Immunofluorescence", "shortname":"ICC/IF"} }, "product-promise": { "all": "all", "testedAndGuaranteed": "tested", "guaranteed": "expected", "predicted": "predicted", "notRecommended": "not-recommended" } }, "values": { "Human": { "WB-species-checked": "guaranteed", "WB-species-dilution-info": "", "WB-species-notes": "", "IHCP-species-checked": "testedAndGuaranteed", "IHCP-species-dilution-info": "1/20 - 1/200", "IHCP-species-notes": "<p></p>", "ICCIF-species-checked": "testedAndGuaranteed", "ICCIF-species-dilution-info": "1/50 - 1/200", "ICCIF-species-notes": "<p></p>" }, "Mouse": { "WB-species-checked": "testedAndGuaranteed", "WB-species-dilution-info": "1/500 - 1/5000", "WB-species-notes": "<p>Western blot not recommended in cell lines</p>", "IHCP-species-checked": "guaranteed", "IHCP-species-dilution-info": "", "IHCP-species-notes": "", "ICCIF-species-checked": "guaranteed", "ICCIF-species-dilution-info": "", "ICCIF-species-notes": "" }, "Rat": { "WB-species-checked": "predicted", "WB-species-dilution-info": "", "WB-species-notes": "", "IHCP-species-checked": "predicted", "IHCP-species-dilution-info": "", "IHCP-species-notes": "", "ICCIF-species-checked": "predicted", "ICCIF-species-dilution-info": "", "ICCIF-species-notes": "" }, "Cow": { "WB-species-checked": "predicted", "WB-species-dilution-info": "", "WB-species-notes": "", "IHCP-species-checked": "predicted", "IHCP-species-dilution-info": "", "IHCP-species-notes": "", "ICCIF-species-checked": "predicted", "ICCIF-species-dilution-info": "", "ICCIF-species-notes": "" }, "Orangutan": { "WB-species-checked": "predicted", "WB-species-dilution-info": "", "WB-species-notes": "", "IHCP-species-checked": "predicted", "IHCP-species-dilution-info": "", "IHCP-species-notes": "", "ICCIF-species-checked": "predicted", "ICCIF-species-dilution-info": "", "ICCIF-species-notes": "" } } }

Properties and storage information

Form
Liquid
Purification technique
Affinity purification Protein G
Purification notes
Purity >95%
Storage buffer
pH: 7.4 Preservative: 0.03% Proclin 300 Constituents: PBS, 50% Glycerol (glycerin, glycerine)
Shipped at conditions
Blue Ice
Appropriate short-term storage duration
1-2 weeks
Appropriate short-term storage conditions
+4°C
Appropriate long-term storage conditions
-20°C
Aliquoting information
Upon delivery aliquot
Storage information
Avoid freeze / thaw cycle

Product protocols

For this product, it's our understanding that no specific protocols are required. You can visit:

Target data

Critical regulator of endosomal recycling of numerous surface proteins, including integrins, signaling receptor and channels (PubMed : 15121882, PubMed : 15769472). Binds to NPxY sequences in the cytoplasmic tails of target cargos (PubMed : 21512128). Associates with retriever and CCC complexes to prevent lysosomal degradation and promote cell surface recycling of numerous cargos such as integrins ITGB1, ITGB5 and their associated alpha subunits (PubMed : 22492727, PubMed : 28892079). Also required for maintenance of normal cell surface levels of APP and LRP1 (PubMed : 16712798, PubMed : 19005208). Interacts with membranes containing phosphatidylinositol 3-phosphate (PtdIns(3P)) (PubMed : 16712798).
See full target information SNX17

Publications (2)

Recent publications for all applications. Explore the full list and refine your search

Cell communication and signaling : CCS 22:560 PubMed39574183

2024

Exploiting potential molecular compounds for treating testicular seminoma by targeting immune related genes.

Applications

Unspecified application

Species

Unspecified reactive species

Yankang Cui,Xiaodie Zhou,Jing Zhang,Bo Fang,Jingping Ge,Hao Tang,Bianjiang Liu,Haowei He,Feng Xu,Xuejun Shang

Journal of physiology and pharmacology : an official journal of the Polish Physiological Society 75:205-213 PubMed38736267

2024

Campothecin suppresses cell proliferation and migration in head and neck squamous cell carcinoma by blocking RAB27A-mediated phosphatidylinositol 3 kinase (PI3K)/protein kinase B (AKT) pathway.

Applications

Unspecified application

Species

Unspecified reactive species

Y Zhao,Y Wang,L Zhao,L Qu,J H Zheng
View all publications

Product promise

We are committed to supporting your work with high-quality reagents, and we're here for you every step of the way. In the unlikely event that one of our products does not perform as expected, you're protected by our Product Promise.
For full details, please see our Terms & Conditions

Please note: All products are 'FOR RESEARCH USE ONLY. NOT FOR USE IN DIAGNOSTIC OR THERAPEUTIC PROCEDURES'.

For licensing inquiries, please contact partnerships@abcam.com