JavaScript is disabled in your browser. Please enable JavaScript to view this website.
AB180520

Anti-SNX5 antibody [EPR14358]

4

(2 Reviews)

|

(14 Publications)

Rabbit Recombinant Monoclonal SNX5 antibody. Suitable for IHC-P, ICC/IF, Flow Cyt, WB and reacts with Human, Mouse, Rat samples. Cited in 14 publications.

View Alternative Names

Sorting nexin-5, SNX5

7 Images
Flow Cytometry - Anti-SNX5 antibody [EPR14358] (AB180520)
  • Flow Cyt

Supplier Data

Flow Cytometry - Anti-SNX5 antibody [EPR14358] (AB180520)

Flow cytometric analysis of 4% Paraformaldehyde fixed 90% Methanol permeabilized Jurkat (Human T cell leukemia T lymphocyte) cells labelling SNX5 with ab180520 at 1/50 dilution (10 μg/ml) compared with a Rabbit monoclonal IgG (Black) isotype control and an unlabelled control (cells without incubation with primary antibody and secondary antibody) (Blue). A Goat anti rabbit IgG (Alexa Fluor® 488, ab150077) at 1/2000 was used as the secondary antibody.

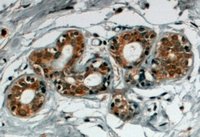
Immunohistochemistry (Formalin/PFA-fixed paraffin-embedded sections) - Anti-SNX5 antibody [EPR14358] (AB180520)
  • IHC-P

Lab

Immunohistochemistry (Formalin/PFA-fixed paraffin-embedded sections) - Anti-SNX5 antibody [EPR14358] (AB180520)

Immunohistochemistry (Formalin/PFA-fixed paraffin-embedded sections) analysis of human thyroid cancer tissue sections labelling SNX5 with purified ab180520 at 1/500 dilution (0.99 μg/ml). Heat mediated antigen retrieval was performed using Heat mediated antigen retrieval using Bond™ Epitope Retrieval Solution 2 (pH 9.0) . Tissue was counterstained with Hematoxylin. Rabbit specific IHC polymer detection kit HRP/DAB (ab209101) secondary antibody was used. PBS instead of the primary antibody was used as the negative control. The immunostaining was performed on a Leica Biosystems BOND® RX instrument.

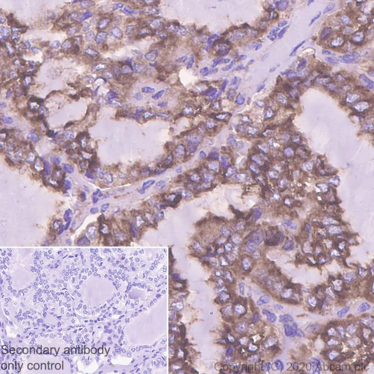
Immunocytochemistry/ Immunofluorescence - Anti-SNX5 antibody [EPR14358] (AB180520)
  • ICC/IF

Lab

Immunocytochemistry/ Immunofluorescence - Anti-SNX5 antibody [EPR14358] (AB180520)

Immunocytochemistry analysis of 293T (Human embryonic kidney epithelial cell) cells labeling SNX5 with purified ab180520 at 1/50 dilution (9.9 μg/mL). Cells were fixed in 4% Paraformaldehyde and permeabilized with 0.1% tritonX-100. Cells were counterstained with ab195889 Anti-alpha Tubulin antibody [DM1A] - Microtubule Marker (Alexa Fluor® 594) 1/200 (2.5 μg/mL). Goat anti rabbit IgG (Alexa Fluor® 488, ab150077) was used as the secondary antibody at 1/1000 (2 μg/mL) dilution. DAPI (blue) was used as nuclear counterstain. PBS instead of the primary antibody was used as the secondary antibody only control.

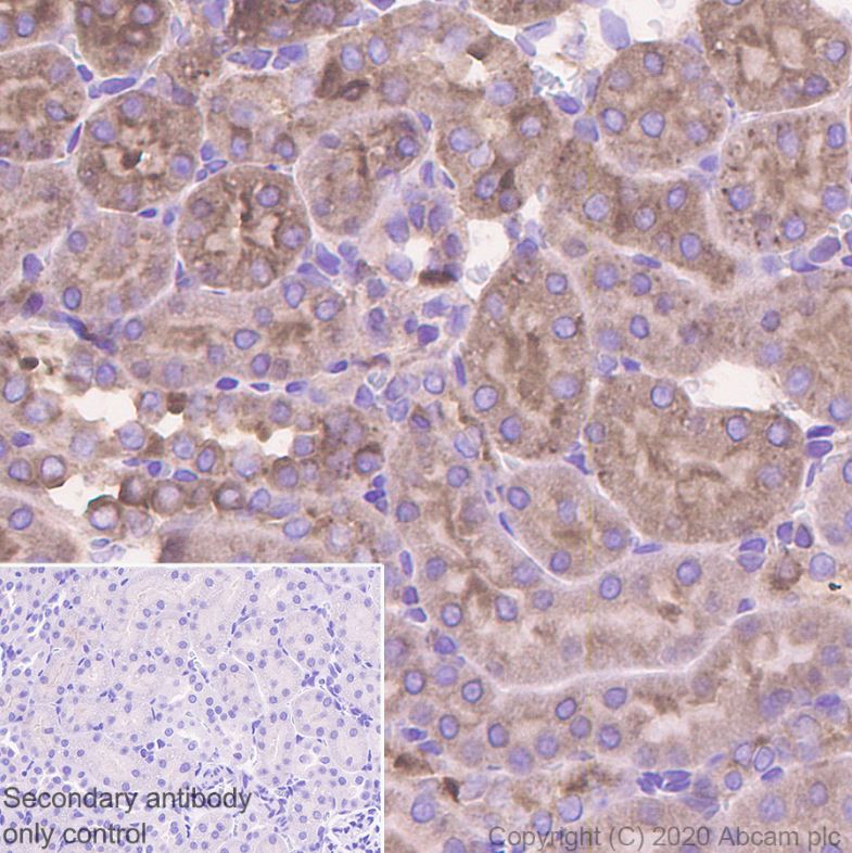
Immunohistochemistry (Formalin/PFA-fixed paraffin-embedded sections) - Anti-SNX5 antibody [EPR14358] (AB180520)
  • IHC-P

Lab

Immunohistochemistry (Formalin/PFA-fixed paraffin-embedded sections) - Anti-SNX5 antibody [EPR14358] (AB180520)

Immunohistochemistry (Formalin/PFA-fixed paraffin-embedded sections) analysis of mouse kidney tissue sections labelling SNX5 with purified ab180520 at 1/500 dilution (0.99 μg/ml). Heat mediated antigen retrieval was performed using Heat mediated antigen retrieval using Bond™ Epitope Retrieval Solution 2 (pH 9.0) . Tissue was counterstained with Hematoxylin. Rabbit specific IHC polymer detection kit HRP/DAB (ab209101) secondary antibody was used. PBS instead of the primary antibody was used as the negative control. The immunostaining was performed on a Leica Biosystems BOND® RX instrument.

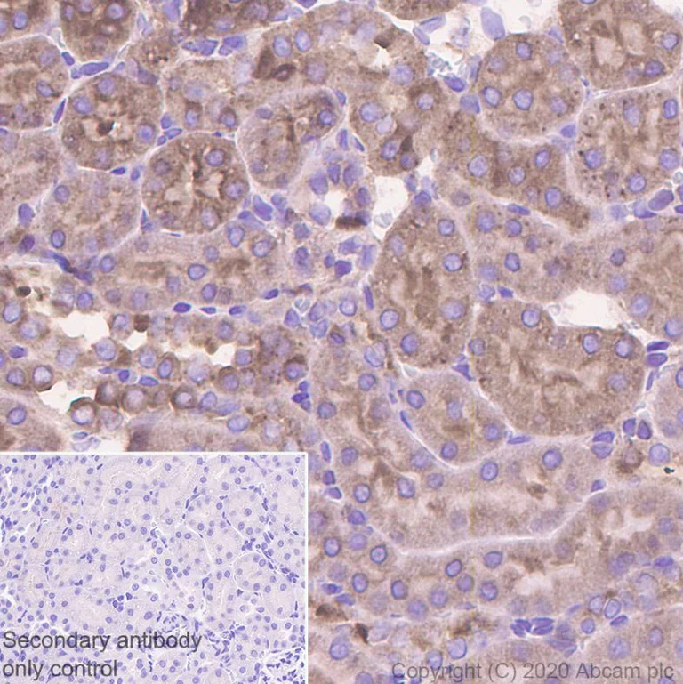
Immunohistochemistry (Formalin/PFA-fixed paraffin-embedded sections) - Anti-SNX5 antibody [EPR14358] (AB180520)
  • IHC-P

Lab

Immunohistochemistry (Formalin/PFA-fixed paraffin-embedded sections) - Anti-SNX5 antibody [EPR14358] (AB180520)

Immunohistochemistry (Formalin/PFA-fixed paraffin-embedded sections) analysis of rat kidney tissue sections labelling SNX5 with purified ab180520 at 1/500 dilution (0.99 μg/ml). Heat mediated antigen retrieval was performed using Heat mediated antigen retrieval using Bond™ Epitope Retrieval Solution 2 (pH 9.0) . Tissue was counterstained with Hematoxylin. Rabbit specific IHC polymer detection kit HRP/DAB (ab209101) secondary antibody was used. PBS instead of the primary antibody was used as the negative control. The immunostaining was performed on a Leica Biosystems BOND® RX instrument.

Western blot - Anti-SNX5 antibody [EPR14358] (AB180520)
  • WB

Lab

Western blot - Anti-SNX5 antibody [EPR14358] (AB180520)

All lanes:

Western blot - Anti-SNX5 antibody [EPR14358] (ab180520) at 1/1000 dilution

All lanes:

Jurkat (Human T cell leukemia T lymphocyte) whole cell lysate at 20 µg

Secondary

All lanes:

Western blot - Goat Anti-Rabbit IgG H&L (HRP) (<a href='/en-us/products/secondary-antibodies/goat-rabbit-igg-h-l-hrp-ab97051'>ab97051</a>) at 1/20000 dilution

Predicted band size: 47 kDa

Observed band size: 47 kDa

false

Western blot - Anti-SNX5 antibody [EPR14358] (AB180520)
  • WB

Lab

Western blot - Anti-SNX5 antibody [EPR14358] (AB180520)

All lanes:

Western blot - Anti-SNX5 antibody [EPR14358] (ab180520) at 1/1000 dilution

Lane 1:

Neuro-2a (Mouse neuroblastoma neuroblast) whole cell lysate at 20 µg

Lane 2:

Mouse spleen lysate at 20 µg

Lane 3:

C6 (Rat glial tumor glial cell) whole cell lysate at 20 µg

Secondary

All lanes:

Western blot - Goat Anti-Rabbit IgG H&L (HRP) (<a href='/en-us/products/secondary-antibodies/goat-rabbit-igg-h-l-hrp-ab97051'>ab97051</a>) at 1/20000 dilution

Predicted band size: 47 kDa

Observed band size: 47 kDa

false

  • Carrier free

    Anti-SNX5 antibody [EPR14358] - BSA and Azide free

Key facts

Host species

Rabbit

Clonality

Monoclonal

Clone number

EPR14358

Isotype

IgG

Carrier free

No

Reacts with

Human, Rat, Mouse

Applications

WB, ICC/IF, Flow Cyt, IHC-P

applications

Immunogen

The exact immunogen used to generate this antibody is proprietary information.

Reactivity data

{ "title": "Reactivity Data", "filters": { "stats": ["", "Species", "Dilution Info", "Notes"], "tabs": { "all-applications": {"fullname" : "All Applications", "shortname": "All Applications"}, "IHCP" : {"fullname" : "Immunohistochemistry (Formalin/PFA-fixed paraffin-embedded sections)", "shortname":"IHC-P"}, "ICCIF" : {"fullname" : "Immunocytochemistry/ Immunofluorescence", "shortname":"ICC/IF"}, "IP" : {"fullname" : "Immunoprecipitation", "shortname":"IP"}, "FlowCyt" : {"fullname" : "Flow Cytometry", "shortname":"Flow Cyt"}, "WB" : {"fullname" : "Western blot", "shortname":"WB"} }, "product-promise": { "all": "all", "testedAndGuaranteed": "tested", "guaranteed": "expected", "predicted": "predicted", "notRecommended": "not-recommended" } }, "values": { "Human": { "IHCP-species-checked": "testedAndGuaranteed", "IHCP-species-dilution-info": "1/500", "IHCP-species-notes": "<p><strong>For unpurified use at 1/50. </strong></p>", "ICCIF-species-checked": "testedAndGuaranteed", "ICCIF-species-dilution-info": "1/50", "ICCIF-species-notes": "<p><strong>For unpurified use at 1/100.</strong></p>", "IP-species-checked": "notRecommended", "IP-species-dilution-info": "", "IP-species-notes": "<p></p>", "FlowCyt-species-checked": "testedAndGuaranteed", "FlowCyt-species-dilution-info": "1/50", "FlowCyt-species-notes": "<p></p>", "WB-species-checked": "testedAndGuaranteed", "WB-species-dilution-info": "1/1000 - 1/10000", "WB-species-notes": "<p></p>" }, "Mouse": { "IHCP-species-checked": "testedAndGuaranteed", "IHCP-species-dilution-info": "1/500", "IHCP-species-notes": "<p><strong>For unpurified use at 1/50. </strong></p>", "ICCIF-species-checked": "guaranteed", "ICCIF-species-dilution-info": "1/50", "ICCIF-species-notes": "<p><strong>For unpurified use at 1/100.</strong></p>", "IP-species-checked": "notRecommended", "IP-species-dilution-info": "", "IP-species-notes": "<p></p>", "FlowCyt-species-checked": "guaranteed", "FlowCyt-species-dilution-info": "1/50", "FlowCyt-species-notes": "<p></p>", "WB-species-checked": "testedAndGuaranteed", "WB-species-dilution-info": "1/1000 - 1/10000", "WB-species-notes": "<p></p>" }, "Rat": { "IHCP-species-checked": "testedAndGuaranteed", "IHCP-species-dilution-info": "1/500", "IHCP-species-notes": "<p><strong>For unpurified use at 1/50. </strong></p>", "ICCIF-species-checked": "guaranteed", "ICCIF-species-dilution-info": "1/50", "ICCIF-species-notes": "<p><strong>For unpurified use at 1/100.</strong></p>", "IP-species-checked": "notRecommended", "IP-species-dilution-info": "", "IP-species-notes": "<p></p>", "FlowCyt-species-checked": "guaranteed", "FlowCyt-species-dilution-info": "1/50", "FlowCyt-species-notes": "<p></p>", "WB-species-checked": "testedAndGuaranteed", "WB-species-dilution-info": "1/1000 - 1/10000", "WB-species-notes": "<p></p>" } } }

Product details

Patented technology
Our RabMAb® technology is a patented hybridoma-based technology for making rabbit monoclonal antibodies. For details on our patents, please refer to RabMAb® patents.

What are the advantages of a recombinant monoclonal antibody?
This product is a recombinant monoclonal antibody, which offers several advantages including:

  • - High batch-to-batch consistency and reproducibility
  • - Improved sensitivity and specificity
  • - Long-term security of supply
  • - Animal-free batch production

For more information, read more on recombinant antibodies.

Properties and storage information

Form
Liquid
Purification technique
Affinity purification Protein A
Storage buffer
Preservative: 0.01% Sodium azide Constituents: PBS, 40% Glycerol (glycerin, glycerine), 0.05% BSA
Shipped at conditions
Blue Ice
Appropriate short-term storage duration
1-2 weeks
Appropriate short-term storage conditions
+4°C
Appropriate long-term storage conditions
-20°C
Aliquoting information
Upon delivery aliquot
Storage information
Avoid freeze / thaw cycle

Product protocols

For this product, it's our understanding that no specific protocols are required. You can visit:

Target data

Involved in several stages of intracellular trafficking. Interacts with membranes containing phosphatidylinositol 3-phosphate (PtdIns(3P)) or phosphatidylinositol 3,4-bisphosphate (PtdIns(3,4)P2) (PubMed : 15561769). Acts in part as component of the retromer membrane-deforming SNX-BAR subcomplex. The SNX-BAR retromer mediates retrograde transport of cargo proteins from endosomes to the trans-Golgi network (TGN) and is involved in endosome-to-plasma membrane transport for cargo protein recycling. The SNX-BAR subcomplex functions to deform the donor membrane into a tubular profile called endosome-to-TGN transport carrier (ETC) (Probable). Does not have in vitro vesicle-to-membrane remodeling activity (PubMed : 23085988). Involved in retrograde transport of lysosomal enzyme receptor IGF2R (PubMed : 17148574, PubMed : 18596235). May function as link between endosomal transport vesicles and dynactin (Probable). Plays a role in the internalization of EGFR after EGF stimulation (Probable). Involved in EGFR endosomal sorting and degradation; the function involves PIP5K1C isoform 3 and is retromer-independent (PubMed : 23602387). Together with PIP5K1C isoform 3 facilitates HGS interaction with ubiquitinated EGFR, which initiates EGFR sorting to intraluminal vesicles (ILVs) of the multivesicular body for subsequent lysosomal degradation (Probable). Involved in E-cadherin sorting and degradation; inhibits PIP5K1C isoform 3-mediated E-cadherin degradation (PubMed : 24610942). Plays a role in macropinocytosis (PubMed : 18854019, PubMed : 21048941).
See full target information Sorting nexin-5

Publications (14)

Recent publications for all applications. Explore the full list and refine your search

Nature communications 16:6990 PubMed40738907

2025

Mapping of endosomal proximity proteomes reveals Retromer as a hub for RAB GTPase regulation.

Applications

Unspecified application

Species

Unspecified reactive species

Carlos Antón-Plágaro,Kai-En Chen,Qian Guo,Meihan Liu,Ashley J Evans,Philip A Lewis,Kate J Heesom,Kevin A Wilkinson,Brett M Collins,Peter J Cullen

The EMBO journal 43:4298-4323 PubMed39160272

2024

CHC22 clathrin recruitment to the early secretory pathway requires two-site interaction with SNX5 and p115.

Applications

Unspecified application

Species

Unspecified reactive species

Joshua Greig,George T Bates,Daowen I Yin,Kit Briant,Boris Simonetti,Peter J Cullen,Frances M Brodsky

Nature structural & molecular biology 30:958-969 PubMed37322239

2023

Architecture of the ESCPE-1 membrane coat.

Applications

Unspecified application

Species

Unspecified reactive species

Carlos Lopez-Robles,Stefano Scaramuzza,Elsa N Astorga-Simon,Morié Ishida,Chad D Williamson,Soledad Baños-Mateos,David Gil-Carton,Miguel Romero-Durana,Ander Vidaurrazaga,Juan Fernandez-Recio,Adriana L Rojas,Juan S Bonifacino,Daniel Castaño-Díez,Aitor Hierro

BMC molecular and cell biology 23:59 PubMed36528556

2022

Overexpression of lncRNA HOXA-AS2 promotes the progression of oral squamous cell carcinoma by mediating SNX5 expression.

Applications

Unspecified application

Species

Unspecified reactive species

Zhangyi Li

Nature communications 13:4620 PubMed35941155

2022

FERARI and cargo adaptors coordinate cargo flow through sorting endosomes.

Applications

Unspecified application

Species

Unspecified reactive species

Jachen A Solinger,Harun-Or Rashid,Anne Spang

Nature communications 13:4268 PubMed35879332

2022

Integrin α3β1 promotes vessel formation of glioblastoma-associated endothelial cells through calcium-mediated macropinocytosis and lysosomal exocytosis.

Applications

Unspecified application

Species

Unspecified reactive species

Eunnyung Bae,Ping Huang,Gaёlle Müller-Greven,Dolores Hambardzumyan,Andrew Edward Sloan,Amy S Nowacki,Nicholas Marko,Cathleen R Carlin,Candece L Gladson

Proceedings of the National Academy of Sciences of the United States of America 119:e2201980119 PubMed35696571

2022

ESCPE-1 mediates retrograde endosomal sorting of the SARS-CoV-2 host factor Neuropilin-1.

Applications

Unspecified application

Species

Unspecified reactive species

Boris Simonetti,James L Daly,Lorena Simón-Gracia,Katja Klein,Saroja Weeratunga,Carlos Antón-Plágaro,Allan Tobi,Lorna Hodgson,Philip A Lewis,Kate J Heesom,Deborah K Shoemark,Andrew D Davidson,Brett M Collins,Tambet Teesalu,Yohei Yamauchi,Peter J Cullen

The Journal of cell biology 221: PubMed35426896

2022

SNX5 targets a monoamine transporter to the TGN for assembly into dense core vesicles by AP-3.

Applications

Unspecified application

Species

Unspecified reactive species

Hongfei Xu,Fei Chang,Shweta Jain,Bradley Austin Heller,Xu Han,Yongjian Liu,Robert H Edwards

FEBS letters 595:2558-2569 PubMed34510437

2021

Sorting nexin 6 interacts with Cullin3 and regulates programmed death ligand 1 expression.

Applications

Unspecified application

Species

Unspecified reactive species

Chinmoy Ghosh,Yanli Xing,Suhua Li,Rosalie G Hoyle,Ming Sun,Jiong Li,Yue Sun

Journal of virology 94: PubMed32522856

2020

Porcine Reproductive and Respiratory Syndrome Virus Utilizes Viral Apoptotic Mimicry as an Alternative Pathway To Infect Host Cells.

Applications

Unspecified application

Species

Unspecified reactive species

Xin Wei,Rui Li,Songlin Qiao,Xin-Xin Chen,Guangxu Xing,Gaiping Zhang
View all publications

Product promise

We are committed to supporting your work with high-quality reagents, and we're here for you every step of the way. In the unlikely event that one of our products does not perform as expected, you're protected by our Product Promise.
For full details, please see our Terms & Conditions

Please note: All products are 'FOR RESEARCH USE ONLY. NOT FOR USE IN DIAGNOSTIC OR THERAPEUTIC PROCEDURES'.

For licensing inquiries, please contact partnerships@abcam.com