JavaScript is disabled in your browser. Please enable JavaScript to view this website.
AB247087

Anti-Snx6 antibody

Be the first to review this product! Submit a review

|

(2 Publications)

Rabbit Polyclonal SNX6 antibody. Suitable for IHC-P, WB, ICC/IF and reacts with Human samples. Cited in 2 publications. Immunogen corresponding to Recombinant Fragment Protein within Human Sorting nexin-6 aa 1-100.

View Alternative Names

Sorting nexin-6, TRAF4-associated factor 2, SNX6

3 Images
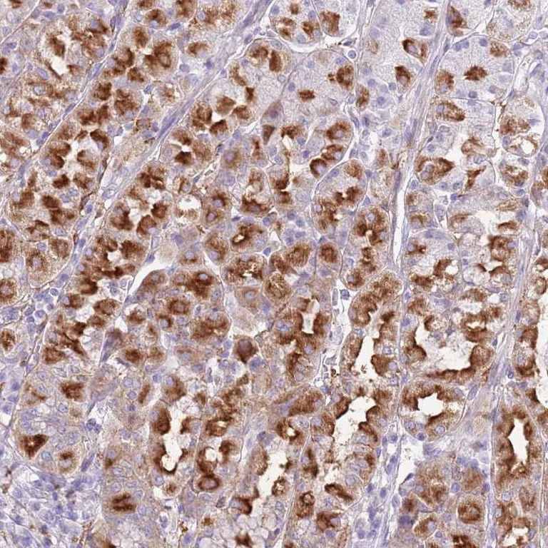
Immunohistochemistry (Formalin/PFA-fixed paraffin-embedded sections) - Anti-Snx6 antibody (AB247087)
  • IHC-P

Unknown

Immunohistochemistry (Formalin/PFA-fixed paraffin-embedded sections) - Anti-Snx6 antibody (AB247087)

Paraffin-embedded human stomach, lower tissue stained for Snx6 using ab247087 at 1/50 dilution in immunohistochemical analysis.

Immunocytochemistry/ Immunofluorescence - Anti-Snx6 antibody (AB247087)
  • ICC/IF

Unknown

Immunocytochemistry/ Immunofluorescence - Anti-Snx6 antibody (AB247087)

PFA-fixed, Triton X-100 permeabilized U-2 OS (human bone osteosarcoma epithelial cell line) cells stained for Snx6 (green) using ab247087 at 4 μg/ml in ICC/IF.

Western blot - Anti-Snx6 antibody (AB247087)
  • WB

Supplier Data

Western blot - Anti-Snx6 antibody (AB247087)

All lanes:

Western blot - Anti-Snx6 antibody (ab247087) at 0.4 µg/mL

Lane 1:

RT4 (human urinary bladder cancer cell line) cell lysate

Lane 2:

U-251 MG (human rain glioma cell line) cell lysate

Lane 3:

Human plasma (IgG/HSA depleted)

Lane 4:

Human liver lysate

Lane 5:

Human tonsil lysate

Predicted band size: 47 kDa

false

Key facts

Host species

Rabbit

Clonality

Polyclonal

Isotype

IgG

Carrier free

No

Reacts with

Human

Applications

IHC-P, ICC/IF, WB

applications

Immunogen

Recombinant Fragment Protein within Human Sorting nexin-6 aa 1-100. The exact immunogen used to generate this antibody is proprietary information.

Q9UNH7

Reactivity data

{ "title": "Reactivity Data", "filters": { "stats": ["", "Species", "Dilution Info", "Notes"], "tabs": { "all-applications": {"fullname" : "All Applications", "shortname": "All Applications"}, "IHCP" : {"fullname" : "Immunohistochemistry (Formalin/PFA-fixed paraffin-embedded sections)", "shortname":"IHC-P"}, "WB" : {"fullname" : "Western blot", "shortname":"WB"}, "ICCIF" : {"fullname" : "Immunocytochemistry/ Immunofluorescence", "shortname":"ICC/IF"} }, "product-promise": { "all": "all", "testedAndGuaranteed": "tested", "guaranteed": "expected", "predicted": "predicted", "notRecommended": "not-recommended" } }, "values": { "Human": { "IHCP-species-checked": "testedAndGuaranteed", "IHCP-species-dilution-info": "1/50 - 1/200", "IHCP-species-notes": "<p></p> Perform heat-mediated antigen retrieval with citrate buffer pH 6 before commencing with IHC staining protocol.", "WB-species-checked": "testedAndGuaranteed", "WB-species-dilution-info": "0.04-0.4 µg/mL", "WB-species-notes": "<p></p>", "ICCIF-species-checked": "testedAndGuaranteed", "ICCIF-species-dilution-info": "0.25-2 µg/mL", "ICCIF-species-notes": "<p>Fixation/Permeabilization: PFA/Triton X-100.</p>" } } }

Properties and storage information

Form
Liquid
Purification technique
Affinity purification Immunogen
Storage buffer
pH: 7.2 Preservative: 0.02% Sodium azide Constituents: PBS, 40% Glycerol (glycerin, glycerine)
Shipped at conditions
Blue Ice
Appropriate short-term storage duration
1-2 weeks
Appropriate short-term storage conditions
+4°C
Appropriate long-term storage conditions
-20°C
Aliquoting information
Upon delivery aliquot
Storage information
Avoid freeze / thaw cycle

Supplementary information

This supplementary information is collated from multiple sources and compiled automatically.

Snx6 also known as Sorting Nexin 6 is a protein associated with intracellular trafficking mechanisms. It weighs approximately 51 kDa. Snx6 contains a Phox homology (PX) domain which binds phosphoinositides and helps the protein associate with endosomal membranes. Expression of Snx6 occurs mainly in the brain kidney and liver where it plays a significant role in sorting and trafficking processes.
Biological function summary

Snx6 participates in intracellular protein sorting and transport frequently in conjunction with other sorting nexins. It is part of the retromer complex a protein structure important in the trafficking of proteins from endosomes to the trans-Golgi network or plasma membrane. Snx6 helps maintain proper cargo delivery ensuring that proteins reach their correct cellular destinations. This transports pathways involving Snx6 are essential for cellular functions like signal transduction and membrane organization.

Pathways

Proteins include Snx6 engage in pathways like Wnt signaling and endocytic recycling. In the Wnt pathway Snx6 along with proteins such as Wntless and Vps26 influences the recycling of Wnt proteins to the plasma membrane. The endocytic recycling pathway involves Snx6 in the retrieval of receptors and other membrane proteins from endosomes back to the cell surface. These pathways highlight Snx6’s role in regulating cellular communication and membrane homeostasis.

Snx6 interacts with processes that influence neurodegenerative conditions and cancer. Dysregulation in Snx6-mediated pathways can impact Alzheimer's disease where the retromer complex malfunctions disrupting amyloid precursor protein sorting. In cancer aberrant Snx6 expressions or mutations can lead to atypical Wnt signaling which contributes to tumor progression. Snx6 interacts with proteins such as APP and LRP6 linking it to the pathology of these diseases.

Product protocols

For this product, it's our understanding that no specific protocols are required. You can visit:

Target data

Involved in several stages of intracellular trafficking. Interacts with membranes phosphatidylinositol 3,4-bisphosphate and/or phosphatidylinositol 4,5-bisphosphate (Probable). Acts in part as component of the retromer membrane-deforming SNX-BAR subcomplex (PubMed : 19935774). The SNX-BAR retromer mediates retrograde transport of cargo proteins from endosomes to the trans-Golgi network (TGN) and is involved in endosome-to-plasma membrane transport for cargo protein recycling. The SNX-BAR subcomplex functions to deform the donor membrane into a tubular profile called endosome-to-TGN transport carrier (ETC) (Probable). Does not have in vitro vesicle-to-membrane remodeling activity (PubMed : 23085988). Involved in retrograde endosome-to-TGN transport of lysosomal enzyme receptor IGF2R (PubMed : 17148574). May function as link between transport vesicles and dynactin (Probable). Negatively regulates retrograde transport of BACE1 from the cell surface to the trans-Golgi network (PubMed : 20354142). Involved in E-cadherin sorting and degradation; inhibits PIP5K1C isoform 3-mediated E-cadherin degradation (PubMed : 24610942). In association with GIT1 involved in EGFR degradation. Promotes lysosomal degradation of CDKN1B (By similarity). May contribute to transcription regulation (Probable).
See full target information Sorting nexin-6

Publications (2)

Recent publications for all applications. Explore the full list and refine your search

The EMBO journal 43:4298-4323 PubMed39160272

2024

CHC22 clathrin recruitment to the early secretory pathway requires two-site interaction with SNX5 and p115.

Applications

Unspecified application

Species

Unspecified reactive species

Joshua Greig,George T Bates,Daowen I Yin,Kit Briant,Boris Simonetti,Peter J Cullen,Frances M Brodsky

Oncology letters 28:468 PubMed39119236

2024

Myeloid/lymphoid neoplasms with eosinophilia and FGFR1 rearrangement t(8;13)(p11;q12): A case report and literature review.

Applications

Unspecified application

Species

Unspecified reactive species

Yu-Jie Guo,Meng-Xue Ma,Tian Tian,Jing-Nan Zhang,Xiao-Nan Guo,Shukai Qiao
View all publications

Product promise

We are committed to supporting your work with high-quality reagents, and we're here for you every step of the way. In the unlikely event that one of our products does not perform as expected, you're protected by our Product Promise.
For full details, please see our Terms & Conditions

Please note: All products are 'FOR RESEARCH USE ONLY. NOT FOR USE IN DIAGNOSTIC OR THERAPEUTIC PROCEDURES'.

For licensing inquiries, please contact partnerships@abcam.com