JavaScript is disabled in your browser. Please enable JavaScript to view this website.
AB119388

Anti-SNX8 antibody [OTI3C4]

Be the first to review this product! Submit a review

|

(0 Publication)

Mouse Monoclonal SNX8 antibody. Suitable for IHC-P, WB, ICC/IF, Flow Cyt (Intra) and reacts with Human, African green monkey, Transfected cell line samples. Immunogen corresponding to Recombinant Full Length Protein corresponding to Human SNX8.

View Alternative Names

Sorting nexin-8, SNX8

9 Images
Flow Cytometry (Intracellular) - Anti-SNX8 antibody [OTI3C4] (AB119388)
  • Flow Cyt (Intra)

Supplier Data

Flow Cytometry (Intracellular) - Anti-SNX8 antibody [OTI3C4] (AB119388)

Flow Cytometry (Intracellular) analysis of Jurkat (Human T cell leukemia cell line from peripheral blood) cells, labeling SNX8 with ab119388 at a 1/100 dilution (red) compared to a non-specific negative control antibody (blue).

Immunohistochemistry (Formalin/PFA-fixed paraffin-embedded sections) - Anti-SNX8 antibody [OTI3C4] (AB119388)
  • IHC-P

Supplier Data

Immunohistochemistry (Formalin/PFA-fixed paraffin-embedded sections) - Anti-SNX8 antibody [OTI3C4] (AB119388)

Paraffin-embedded human breast adenocarcinoma tissue stained for SNX8 with ab119388 at a 1/150 dilution in immunohistochemical analysis. Heat-induced epitope retrieval by 10 mM citric buffer, pH 6.0, 100°C for 10 minutes.

Immunohistochemistry (Formalin/PFA-fixed paraffin-embedded sections) - Anti-SNX8 antibody [OTI3C4] (AB119388)
  • IHC-P

Supplier Data

Immunohistochemistry (Formalin/PFA-fixed paraffin-embedded sections) - Anti-SNX8 antibody [OTI3C4] (AB119388)

Paraffin-embedded human liver tissue stained for SNX8 with ab119388 at a 1/150 dilution in immunohistochemical analysis. Heat-induced epitope retrieval by 10 mM citric buffer, pH 6.0, 100°C for 10 minutes.

Immunohistochemistry (Formalin/PFA-fixed paraffin-embedded sections) - Anti-SNX8 antibody [OTI3C4] (AB119388)
  • IHC-P

Supplier Data

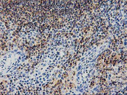
Immunohistochemistry (Formalin/PFA-fixed paraffin-embedded sections) - Anti-SNX8 antibody [OTI3C4] (AB119388)

Paraffin-embedded human tonsil tissue stained for SNX8 with ab119388 at a 1/150 dilution in immunohistochemical analysis. Heat-induced epitope retrieval by 10 mM citric buffer, pH 6.0, 100°C for 10 minutes.

Immunohistochemistry (Formalin/PFA-fixed paraffin-embedded sections) - Anti-SNX8 antibody [OTI3C4] (AB119388)
  • IHC-P

Supplier Data

Immunohistochemistry (Formalin/PFA-fixed paraffin-embedded sections) - Anti-SNX8 antibody [OTI3C4] (AB119388)

Paraffin-embedded human kidney tissue stained for SNX8 with ab119388 at a 1/150 dilution in immunohistochemical analysis. Heat-induced epitope retrieval by 10 mM citric buffer, pH 6.0, 100°C for 10 minutes.

Immunohistochemistry (Formalin/PFA-fixed paraffin-embedded sections) - Anti-SNX8 antibody [OTI3C4] (AB119388)
  • IHC-P

Supplier Data

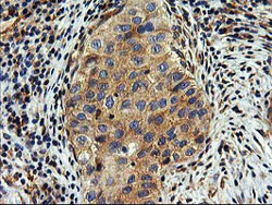
Immunohistochemistry (Formalin/PFA-fixed paraffin-embedded sections) - Anti-SNX8 antibody [OTI3C4] (AB119388)

Paraffin-embedded human bladder carcinoma tissue stained for SNX8 with ab119388 at a 1/150 dilution in immunohistochemical analysis. Heat-induced epitope retrieval by 10 mM citric buffer, pH 6.0, 100°C for 10 minutes.

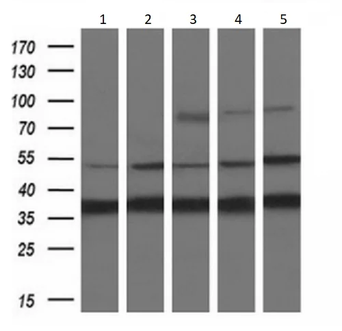
Western blot - Anti-SNX8 antibody [OTI3C4] (AB119388)
  • WB

Supplier Data

Western blot - Anti-SNX8 antibody [OTI3C4] (AB119388)

All lanes:

Western blot - Anti-SNX8 antibody [OTI3C4] (ab119388) at 1/200 dilution

Lane 1:

HeLa (Human epithelial cell line from cervix adenocarcinoma) extracts at 10 µg

Lane 2:

A549 (Human lung carcinoma cell line) extracts at 10 µg

Lane 3:

COS-7 (African green monkey kidney fibroblast-like cell line) extracts at 10 µg

Lane 4:

Jurkat (Human T cell leukemia cell line from peripheral blood) extracts at 10 µg

Lane 5:

MCF7 (Human breast adenocarcinoma cell line) extracts at 10 µg

Predicted band size: 53 kDa

false

Immunocytochemistry/ Immunofluorescence - Anti-SNX8 antibody [OTI3C4] (AB119388)
  • ICC/IF

Supplier Data

Immunocytochemistry/ Immunofluorescence - Anti-SNX8 antibody [OTI3C4] (AB119388)

pCMV6-ENTRY SNX8 cDNA transfected COS-7 (African green monkey kidney fibroblast-like cell line) cells stained for SNX8 using ab119388 at a 1/100 dilution in ICC/IF.

Western blot - Anti-SNX8 antibody [OTI3C4] (AB119388)
  • WB

Supplier Data

Western blot - Anti-SNX8 antibody [OTI3C4] (AB119388)

All lanes:

Western blot - Anti-SNX8 antibody [OTI3C4] (ab119388) at 1/200 dilution

Lane 1:

HEK-293T (Human epithelial cell line from embryonic kidney transformed with large T antigen) cell lysate transfected with pCMV6-ENTRY control cDNA at 5 µg

Lane 2:

HEK-293T cell lysate transfected with pCMV6-ENTRY SNX8 cDNA at 5 µg

Predicted band size: 46 kDa,47 kDa,53 kDa,65 kDa

false

Key facts

Host species

Mouse

Clonality

Monoclonal

Clone number

OTI3C4

Isotype

IgG2a

Carrier free

No

Reacts with

Human, African green monkey

Applications

IHC-P, ICC/IF, Flow Cyt (Intra), WB

applications

Immunogen

Recombinant Full Length Protein corresponding to Human SNX8.

Q9Y5X2

Reactivity data

{ "title": "Reactivity Data", "filters": { "stats": ["", "Species", "Dilution Info", "Notes"], "tabs": { "all-applications": {"fullname" : "All Applications", "shortname": "All Applications"}, "IHCP" : {"fullname" : "Immunohistochemistry (Formalin/PFA-fixed paraffin-embedded sections)", "shortname":"IHC-P"}, "WB" : {"fullname" : "Western blot", "shortname":"WB"}, "ICCIF" : {"fullname" : "Immunocytochemistry/ Immunofluorescence", "shortname":"ICC/IF"}, "FlowCytIntra" : {"fullname" : "Flow Cytometry (Intracellular)", "shortname":"Flow Cyt (Intra)"} }, "product-promise": { "all": "all", "testedAndGuaranteed": "tested", "guaranteed": "expected", "predicted": "predicted", "notRecommended": "not-recommended" } }, "values": { "Human": { "IHCP-species-checked": "testedAndGuaranteed", "IHCP-species-dilution-info": "1/150", "IHCP-species-notes": "<p></p> Perform heat-mediated antigen retrieval before commencing with IHC staining protocol.", "WB-species-checked": "testedAndGuaranteed", "WB-species-dilution-info": "1/200 - 1/1000", "WB-species-notes": "<p></p>", "ICCIF-species-checked": "guaranteed", "ICCIF-species-dilution-info": "", "ICCIF-species-notes": "", "FlowCytIntra-species-checked": "testedAndGuaranteed", "FlowCytIntra-species-dilution-info": "1/100", "FlowCytIntra-species-notes": "<p><a href='/en-us/products/primary-antibodies/mouse-igg2c-kappa-monoclonal-18c8bc7ad10-isotype-control-ab170191'>ab170191</a> - Mouse monoclonal IgG2a, is suitable for use as an isotype control with this antibody.</p>" }, "African green monkey": { "IHCP-species-checked": "guaranteed", "IHCP-species-dilution-info": "", "IHCP-species-notes": "", "WB-species-checked": "testedAndGuaranteed", "WB-species-dilution-info": "1/200 - 1/1000", "WB-species-notes": "<p></p>", "ICCIF-species-checked": "guaranteed", "ICCIF-species-dilution-info": "", "ICCIF-species-notes": "", "FlowCytIntra-species-checked": "guaranteed", "FlowCytIntra-species-dilution-info": "", "FlowCytIntra-species-notes": "" }, "Transfected cell line": { "IHCP-species-checked": "notRecommended", "IHCP-species-dilution-info": "", "IHCP-species-notes": "", "WB-species-checked": "notRecommended", "WB-species-dilution-info": "", "WB-species-notes": "", "ICCIF-species-checked": "testedAndGuaranteed", "ICCIF-species-dilution-info": "1/100", "ICCIF-species-notes": "<p></p>", "FlowCytIntra-species-checked": "notRecommended", "FlowCytIntra-species-dilution-info": "", "FlowCytIntra-species-notes": "" } } }

Product details

Clone OTI3C4 (formerly 3C4).

Properties and storage information

Form
Liquid
Purification technique
Affinity purification
Purification notes
Purified from cell culture supernatant by affinity chromatography.
Storage buffer
pH: 7.3 Preservative: 0.02% Sodium azide Constituents: PBS, 50% Glycerol (glycerin, glycerine), 1% BSA
Shipped at conditions
Blue Ice
Appropriate short-term storage duration
1-2 weeks
Appropriate short-term storage conditions
+4°C
Appropriate long-term storage conditions
-20°C
Aliquoting information
Upon delivery aliquot
Storage information
Avoid freeze / thaw cycle

Product protocols

For this product, it's our understanding that no specific protocols are required. You can visit:

Target data

May be involved in several stages of intracellular trafficking. May play a role in intracellular protein transport from early endosomes to the trans-Golgi network.
See full target information SNX8

Product promise

We are committed to supporting your work with high-quality reagents, and we're here for you every step of the way. In the unlikely event that one of our products does not perform as expected, you're protected by our Product Promise.
For full details, please see our Terms & Conditions

Please note: All products are 'FOR RESEARCH USE ONLY. NOT FOR USE IN DIAGNOSTIC OR THERAPEUTIC PROCEDURES'.

For licensing inquiries, please contact partnerships@abcam.com