JavaScript is disabled in your browser. Please enable JavaScript to view this website.
AB307597

Anti-SOAT 1/ACAT1 antibody [EPR26952-40]

  • BOND RX™ Validated
  • 20ul selling size
  • RabMAb
  • Recombinant
  • KO Validated
  • What is this?

Be the first to review this product! Submit a review

|

(3 Publications)

Knockout Tested Rabbit Recombinant Monoclonal SOAT 1/ACAT1 antibody. Suitable for IP, ICC/IF, WB, IHC-P and reacts with Human samples. Cited in 3 publications.

View Alternative Names

ACACT, ACACT1, ACAT, ACAT1, SOAT, STAT, SOAT1, Sterol O-acyltransferase 1, Acyl-coenzyme A:cholesterol acyltransferase 1, Cholesterol acyltransferase 1, ACAT-1

8 Images
Immunohistochemistry (Formalin/PFA-fixed paraffin-embedded sections) - Anti-SOAT 1/ACAT1 antibody [EPR26952-40] (AB307597)
  • IHC-P

Supplier Data

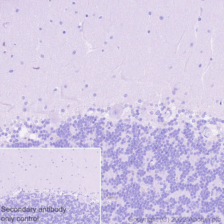
Immunohistochemistry (Formalin/PFA-fixed paraffin-embedded sections) - Anti-SOAT 1/ACAT1 antibody [EPR26952-40] (AB307597)

Immunohistochemical analysis of paraffin-embedded human cerebellum tissue labeling SOAT 1/ACAT1 with ab307597 at 1/1000 dilution (0.47 µg/ml) followed by ready to use Rabbit specific IHC polymer detection kit HRP/DAB (ab209101). Negative control : no staining on human cerebellum. The section was incubated with ab307597 for 30 mins at room temperature. The immunostaining was performed on a Leica Biosystems BOND® RX instrument. Counterstained with Hematoxylin. Secondary antibody only control : Secondary antibody is ready to use Rabbit specific IHC polymer detection kit HRP/DAB (ab209101). Heat mediated antigen retrieval was performed with Tris-EDTA buffer (pH 9.0, Epitope Retrieval Solution2) for 20 mins.

Immunohistochemistry (Formalin/PFA-fixed paraffin-embedded sections) - Anti-SOAT 1/ACAT1 antibody [EPR26952-40] (AB307597)
  • IHC-P

Supplier Data

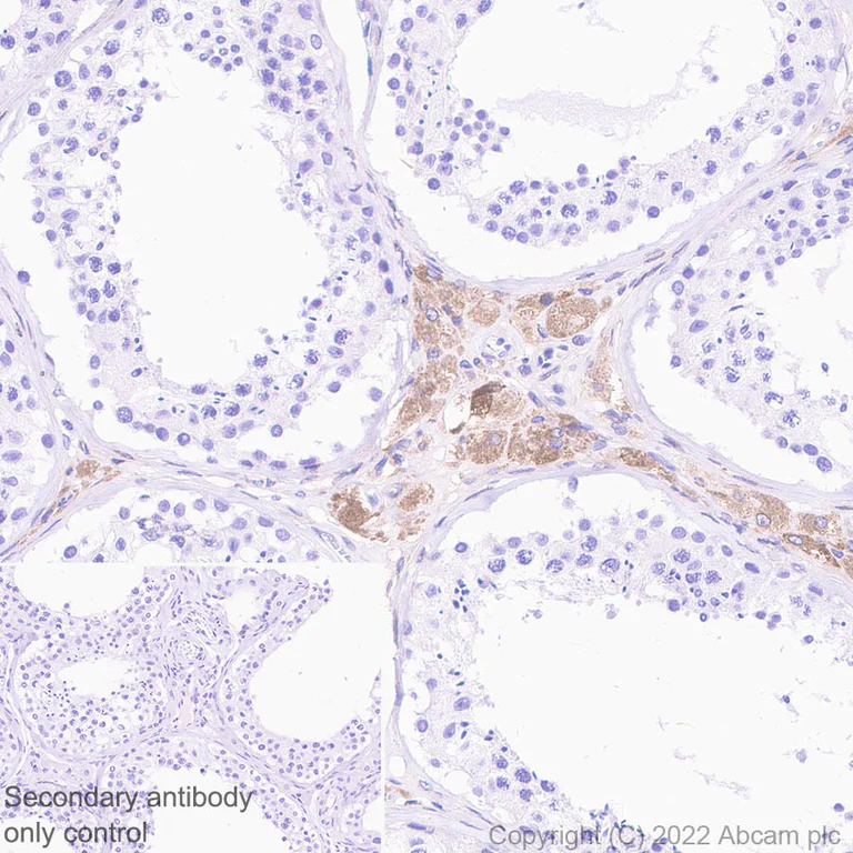
Immunohistochemistry (Formalin/PFA-fixed paraffin-embedded sections) - Anti-SOAT 1/ACAT1 antibody [EPR26952-40] (AB307597)

Immunohistochemical analysis of paraffin-embedded human testis tissue labeling SOAT 1/ACAT1 with ab307597 at 1/1000 dilution (0.47 µg/ml) followed by ready to use Rabbit specific IHC polymer detection kit HRP/DAB (ab209101). Positive staining on Leydig cells of the human testis (PMID : 10623671). The section was incubated with ab307597 for 30 mins at room temperature. The immunostaining was performed on a Leica Biosystems BOND® RX instrument. Counterstained with Hematoxylin. Secondary antibody only control : Secondary antibody is ready to use Rabbit specific IHC polymer detection kit HRP/DAB (ab209101). Heat mediated antigen retrieval was performed with Tris-EDTA buffer (pH 9.0, Epitope Retrieval Solution2) for 20 mins.

Immunohistochemistry (Formalin/PFA-fixed paraffin-embedded sections) - Anti-SOAT 1/ACAT1 antibody [EPR26952-40] (AB307597)
  • IHC-P

Supplier Data

Immunohistochemistry (Formalin/PFA-fixed paraffin-embedded sections) - Anti-SOAT 1/ACAT1 antibody [EPR26952-40] (AB307597)

Immunohistochemical analysis of paraffin-embedded human adrenal gland tissue labeling SOAT 1/ACAT1 with ab307597 at 1/1000 dilution (0.47 µg/ml) followed by ready to use Rabbit specific IHC polymer detection kit HRP/DAB (ab209101). Positive staining on cortex of human adrenal gland (PMID : 31265901). The section was incubated with ab307597 for 30 mins at room temperature. The immunostaining was performed on a Leica Biosystems BOND® RX instrument. Counterstained with Hematoxylin. Secondary antibody only control : Secondary antibody is ready to use Rabbit specific IHC polymer detection kit HRP/DAB (ab209101). Heat mediated antigen retrieval was performed with Tris-EDTA buffer (pH 9.0, Epitope Retrieval Solution2) for 20 mins.

Immunocytochemistry/ Immunofluorescence - Anti-SOAT 1/ACAT1 antibody [EPR26952-40] (AB307597)
  • ICC/IF

Supplier Data

Immunocytochemistry/ Immunofluorescence - Anti-SOAT 1/ACAT1 antibody [EPR26952-40] (AB307597)

Immunofluorescent analysis of 4% Paraformaldehyde-fixed, 0.1% Triton X-100 permeabilized HeLa cells labeling SOAT 1/ACAT1 with ab307597 at 1/250 dilution, followed by ab150081 Goat Anti-Rabbit IgG H&L (Alexa Fluor® 488) preadsorbed antibody at 1/1000 dilution (2µg/ml) (Green). Confocal image showing the cytoplasmic staining co-located with endoplasmic reticulum marker in parental Hela cell line, but no staining in SOAT1 KO HeLa cell line. Image was taken with a confocal microscope(Leica-Microsystems, TCS SP8). Anti-KDEL mouse monoclonal antibody was used to counterstain at 1/200 dilution (5 µg/ml) followed by ab150120 Goat Anti-Mouse IgG H&L (Alexa Fluor® 594) at 1/1000 dilution (2µg/ml) (Red). Nuclear counterstain was DAPI (Blue). -ve control 1 : ab307597 at 1/250 dilution followed by ab150120 at a 1/1000 dilution. -ve control 2 : Anti-KDEL mouse monoclonal antibody at 1/200 dilution followed by ab150081 at a 1/1000 dilution.

Immunohistochemistry (Formalin/PFA-fixed paraffin-embedded sections) - Anti-SOAT 1/ACAT1 antibody [EPR26952-40] (AB307597)
  • IHC-P

Supplier Data

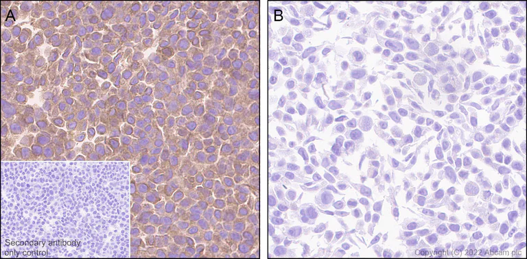
Immunohistochemistry (Formalin/PFA-fixed paraffin-embedded sections) - Anti-SOAT 1/ACAT1 antibody [EPR26952-40] (AB307597)

Immunohistochemical analysis of paraffin-embedded cell pellets labeling SOAT 1/ACAT1 with ab307597 at 1/1000 dilution (0.47 µg/ml) followed by ready to use Rabbit specific IHC polymer detection kit HRP/DAB (ab209101). Positive staining on (A) wild-type HeLa cell pellet, no staining on (B) SOAT1 knockout HeLa cell pellet. The section was incubated with ab307597 for 30 mins at room temperature. The immunostaining was performed on a Leica Biosystems BOND® RX instrument. Counterstained with Hematoxylin. Secondary antibody only control : Secondary antibody is ready to use Rabbit specific IHC polymer detection kit HRP/DAB (ab209101). Heat mediated antigen retrieval was performed with Tris-EDTA buffer (pH 9.0, Epitope Retrieval Solution2) for 20 mins.

Immunoprecipitation - Anti-SOAT 1/ACAT1 antibody [EPR26952-40] (AB307597)
  • IP

Supplier Data

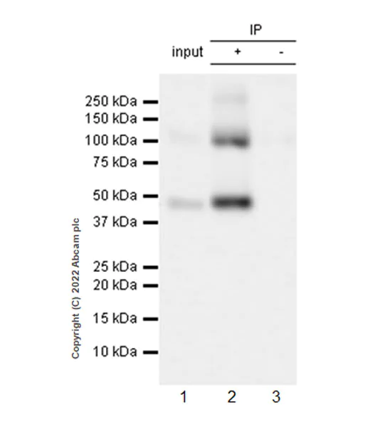
Immunoprecipitation - Anti-SOAT 1/ACAT1 antibody [EPR26952-40] (AB307597)

SOAT 1/ACAT1 was immunoprecipitated from 0.35 mg HepG2 (human hepatocellular carcinoma epithelial cell) whole cell lysate 10 µg with ab307597 at 1/30 dilution (2µg in 0.35mg lysates). Western blot was performed on the immunoprecipitate using ab307597 at 1/1000 dilution. VeriBlot for IP secondary antibody(HRP)(ab131366) was used at 1/5000 dilution. Lane 1 : HepG2 whole cell lysate 10 µg Lane 2 : ab307597 IP in HepG2 whole cell lysate Lane 3 : Rabbit monoclonal IgG (ab172730) instead of ab307597 in HepG2 whole cell lysate Blocking and dilution buffer and concentration : 5% NFDM/TBST. Exposure time : 5 seconds. The molecular weight observed is consistent with what has been described in the literature (PMID : 25617738; 32424158). The bands above 50kDa are dimer and tetramer.

All lanes:

Immunoprecipitation - Anti-SOAT 1/ACAT1 antibody [EPR26952-40] (ab307597) at 1/30 dilution

All lanes:

HepG2 (human hepatocellular carcinoma epithelial cell)

Secondary

All lanes:

Immunoprecipitation - VeriBlot for IP Detection Reagent (HRP) (<a href='/en-us/products/reagents/veriblot-for-ip-detection-reagent-hrp-ab131366'>ab131366</a>) at 1/5000 dilution

Observed band size: 50 kDa,100 kDa,150 kDa

false

Exposure time: 5s

Western blot - Anti-SOAT 1/ACAT1 antibody [EPR26952-40] (AB307597)
  • WB

Supplier Data

Western blot - Anti-SOAT 1/ACAT1 antibody [EPR26952-40] (AB307597)

Blocking and diluting buffer and concentration : Ѕ volume of Odyssey Blocking Buffer (TBS)+ Ѕ volume of 0.1% TBS. The samples were run on a Bis-Tris gel. Performed under reducing conditions. False colour image of Western blot : Anti-SOAT 1/ACAT1 antibody [EPR26952-40] (ab307597) staining at 1/1000 dilution, shown in green; Mouse anti-GAPDH antibody [6C5] (ab8245) loading control staining at 1/20000 dilution, shown in red. In Western blot, ab307597 was shown to bind specifically to SOAT 1/ACAT1. A band was observed at 50/100 kDa in wild-type HeLa cell lysates whereas no signal observed at this size in SOAT 1/ACAT1 knockout cell line ab264862 (knockout cell lysate ab257695). To generate this image, wild-type and SOAT 1/ACAT1 knockout HeLa cell lysates were analyzed. First, samples were run on a SDS-PAGE gel then transferred onto an immobilon-FL PVDF membrane. Membranes were blocked in in Intercept® (TBS) Blocking Buffer diluted with an equal volume of 0.1% TBS before incubation with primary antibodies overnight at 4°C. Blots were washed four times in TBS-T, incubated with secondary antibodies for 1 h at room temperature, washed again four times then imaged. Secondary antibodies used were Goat anti-Rabbit IgG H&L (IRDye® 800CW) preabsorbed (ab216773) at 1/10000 dilution and Goat anti-Mouse IgG H&L (IRDye® 680RD) preabsorbed (ab216776) at 1/20000 dilution. Low expression : HT-29 (PMID : 35821230).

All lanes:

Western blot - Anti-SOAT 1/ACAT1 antibody [EPR26952-40] (ab307597) at 1/1000 dilution

Lane 1:

Wild-type HeLa whole cell lysate at 20 µg

Lane 2:

SOAT 1/ACAT1 knockout HeLa whole cell lysate at 20 µg

Lane 3:

HepG2 (human hepatocellar carcinoma epithelial cell) whole cell lysate at 20 µg

Lane 4:

HT-29 (human colorectal adenocarcinoma epithelial cell) whole cell lysate at 20 µg

Secondary

Lanes 1 - 4:

Western blot - Goat anti-Rabbit IgG H&L (IRDye® 800CW) preadsorbed (<a href='/en-us/products/secondary-antibodies/goat-rabbit-igg-h-l-irdye-800cw-preadsorbed-ab216773'>ab216773</a>) at 1/10000 dilution

Lanes 1 - 4:

Western blot - Goat anti-Mouse IgG H&L (IRDye® 680RD) preadsorbed (<a href='/en-us/products/secondary-antibodies/goat-mouse-igg-h-l-irdye-680rd-preadsorbed-ab216776'>ab216776</a>) at 1/10000 dilution

Observed band size: 50 kDa,100 kDa,150 kDa

false

Western blot - Anti-SOAT 1/ACAT1 antibody [EPR26952-40] (AB307597)
  • WB

Supplier Data

Western blot - Anti-SOAT 1/ACAT1 antibody [EPR26952-40] (AB307597)

Blocking and diluting buffer and concentration : 5% NFDM/TBST. The molecular weight observed is consistent with what has been described in the literature (PMID : 25617738; 32424158). The bands above 50kDa are dimer and tetramer. Negative control : cerebellum. Exposure times : Lanes 1-2 : 26 seconds Lanes 3-5 : 81 seconds

All lanes:

Western blot - Anti-SOAT 1/ACAT1 antibody [EPR26952-40] (ab307597) at 1/1000 dilution

Lane 1:

HeLa (human cervical adenocarcinoma epithelial cell) whole cell lysate at 20 µg

Lane 2:

HepG2 (human hepatocellar carcinoma epithelial cell) whole cell lysate at 20 µg

Lane 3:

Human testis tissue lysate at 20 µg

Lane 4:

Human colon tissue lysate at 20 µg

Lane 5:

Human cerebellum tissue lysate at 20 µg

Secondary

All lanes:

Western blot - Goat Anti-Rabbit IgG H&L (HRP) (<a href='/en-us/products/secondary-antibodies/goat-rabbit-igg-h-l-hrp-ab97051'>ab97051</a>) at 1/100000 dilution

Observed band size: 50 kDa,100 kDa,150 kDa

false

Key facts

Host species

Rabbit

Clonality

Monoclonal

Clone number

EPR26952-40

Isotype

IgG

Carrier free

No

Reacts with

Human

Applications

WB, ICC/IF, IHC-P, IP

applications

Immunogen

The exact immunogen used to generate this antibody is proprietary information.

Reactivity data

{ "title": "Reactivity Data", "filters": { "stats": ["", "Species", "Dilution Info", "Notes"], "tabs": { "all-applications": {"fullname" : "All Applications", "shortname": "All Applications"}, "IP" : {"fullname" : "Immunoprecipitation", "shortname":"IP"}, "ICCIF" : {"fullname" : "Immunocytochemistry/ Immunofluorescence", "shortname":"ICC/IF"}, "WB" : {"fullname" : "Western blot", "shortname":"WB"}, "IHCP" : {"fullname" : "Immunohistochemistry (Formalin/PFA-fixed paraffin-embedded sections)", "shortname":"IHC-P"}, "FlowCyt" : {"fullname" : "Flow Cytometry", "shortname":"Flow Cyt"} }, "product-promise": { "all": "all", "testedAndGuaranteed": "tested", "guaranteed": "expected", "predicted": "predicted", "notRecommended": "not-recommended" } }, "values": { "Human": { "IP-species-checked": "testedAndGuaranteed", "IP-species-dilution-info": "1/1000", "IP-species-notes": "<p></p>", "ICCIF-species-checked": "testedAndGuaranteed", "ICCIF-species-dilution-info": "1/250", "ICCIF-species-notes": "<p></p>", "WB-species-checked": "testedAndGuaranteed", "WB-species-dilution-info": "1/1000", "WB-species-notes": "<p></p>", "IHCP-species-checked": "testedAndGuaranteed", "IHCP-species-dilution-info": "1/1000", "IHCP-species-notes": "<p></p> Perform heat-mediated antigen retrieval with Tris/EDTA buffer pH 9.0 before commencing with IHC staining protocol.", "FlowCyt-species-checked": "notRecommended", "FlowCyt-species-dilution-info": "", "FlowCyt-species-notes": "<p></p>" }, "Mouse": { "IP-species-checked": "notRecommended", "IP-species-dilution-info": "", "IP-species-notes": "", "ICCIF-species-checked": "notRecommended", "ICCIF-species-dilution-info": "", "ICCIF-species-notes": "", "WB-species-checked": "notRecommended", "WB-species-dilution-info": "", "WB-species-notes": "<p></p>", "IHCP-species-checked": "notRecommended", "IHCP-species-dilution-info": "1/1000", "IHCP-species-notes": "<p></p> Perform heat-mediated antigen retrieval with Tris/EDTA buffer pH 9.0 before commencing with IHC staining protocol.", "FlowCyt-species-checked": "notRecommended", "FlowCyt-species-dilution-info": "", "FlowCyt-species-notes": "" }, "Rat": { "IP-species-checked": "notRecommended", "IP-species-dilution-info": "", "IP-species-notes": "", "ICCIF-species-checked": "notRecommended", "ICCIF-species-dilution-info": "", "ICCIF-species-notes": "", "WB-species-checked": "notRecommended", "WB-species-dilution-info": "", "WB-species-notes": "<p></p>", "IHCP-species-checked": "notRecommended", "IHCP-species-dilution-info": "1/1000", "IHCP-species-notes": "<p></p> Perform heat-mediated antigen retrieval with Tris/EDTA buffer pH 9.0 before commencing with IHC staining protocol.", "FlowCyt-species-checked": "notRecommended", "FlowCyt-species-dilution-info": "", "FlowCyt-species-notes": "" } } }

Product details

Patented technology
Our RabMAb® technology is a patented hybridoma-based technology for making rabbit monoclonal antibodies. For details on our patents, please refer to RabMAb® patents.

What are the advantages of a recombinant monoclonal antibody?
This product is a recombinant monoclonal antibody, which offers several advantages including:

  • - High batch-to-batch consistency and reproducibility
  • - Improved sensitivity and specificity
  • - Long-term security of supply
  • - Animal-free batch production

For more information, read more on recombinant antibodies.

Properties and storage information

Form
Liquid
Purification technique
Affinity purification Protein A
Storage buffer
pH: 7.2 - 7.4 Preservative: 0.01% Sodium azide Constituents: PBS, 40% Glycerol (glycerin, glycerine), 0.05% BSA
Shipped at conditions
Blue Ice
Appropriate short-term storage duration
1-2 weeks
Appropriate short-term storage conditions
+4°C
Appropriate long-term storage conditions
-20°C
Aliquoting information
Upon delivery aliquot
Storage information
Avoid freeze / thaw cycle

Product protocols

For this product, it's our understanding that no specific protocols are required. You can visit:

Target data

Catalyzes the formation of fatty acid-cholesterol esters, which are less soluble in membranes than cholesterol (PubMed : 16154994, PubMed : 16647063, PubMed : 32433613, PubMed : 32433614, PubMed : 32944968, PubMed : 9020103). Plays a role in lipoprotein assembly and dietary cholesterol absorption (PubMed : 16154994, PubMed : 9020103). Preferentially utilizes oleoyl-CoA ((9Z)-octadecenoyl-CoA) as a substrate : shows a higher activity towards an acyl-CoA substrate with a double bond at the delta-9 position (9Z) than towards saturated acyl-CoA or an unsaturated acyl-CoA with a double bond at the delta-7 (7Z) or delta-11 (11Z) positions (PubMed : 11294643, PubMed : 32433614).
See full target information SOAT1

Publications (3)

Recent publications for all applications. Explore the full list and refine your search

Investigative ophthalmology & visual science 66:9 PubMed40762538

2025

Effects of Cholesterol Metabolism on Corneal Endothelial Dysfunction in Patients With Type 1 Diabetes.

Applications

Unspecified application

Species

Unspecified reactive species

Zhichao Ren,Zongyi Li,Shengqian Dou,Hongran Zhao,Lixin Xie

Molecular carcinogenesis 64:1039-1056 PubMed40135589

2025

SOAT1 Activates NLRP3 Inflammasome to Promote Cancer-Related Lymphangiogenesis and Metastasis via IL-1β/IL-1R-1 Axis in Oral Squamous Cell Carcinoma.

Applications

Unspecified application

Species

Unspecified reactive species

Chengzhi Zhao,Yuhao Wang,Zhishen Jiang,Shengzhao Guo,Liru Hu,Jian Pan,Fan Dan

Journal of biochemical and molecular toxicology 38:e23733 PubMed38770938

2024

SOAT1 in gallbladder cancer: Clinicopathological significance and avasimibe therapeutics.

Applications

Unspecified application

Species

Unspecified reactive species

Yuqun Hong,Xiahenazi Abudukeremu,Feifei She,Yanling Chen
View all publications

Product promise

We are committed to supporting your work with high-quality reagents, and we're here for you every step of the way. In the unlikely event that one of our products does not perform as expected, you're protected by our Product Promise.
For full details, please see our Terms & Conditions

Please note: All products are 'FOR RESEARCH USE ONLY. NOT FOR USE IN DIAGNOSTIC OR THERAPEUTIC PROCEDURES'.

For licensing inquiries, please contact partnerships@abcam.com