JavaScript is disabled in your browser. Please enable JavaScript to view this website.
AB280886

Anti-SOCS1 antibody [EPR24290-356]

Be the first to review this product! Submit a review

|

(12 Publications)

Rabbit Recombinant Monoclonal SOCS1 antibody. Suitable for IP, WB, Flow Cyt (Intra) and reacts with Human, Mouse samples. Cited in 12 publications.

View Alternative Names

SSI1, TIP3, SOCS1, Suppressor of cytokine signaling 1, SOCS-1, JAK-binding protein, STAT-induced STAT inhibitor 1, Tec-interacting protein 3, JAB, SSI-1, TIP-3

4 Images
Flow Cytometry (Intracellular) - Anti-SOCS1 antibody [EPR24290-356] (AB280886)
  • Flow Cyt (Intra)

Supplier Data

Flow Cytometry (Intracellular) - Anti-SOCS1 antibody [EPR24290-356] (AB280886)

Intracellular flow cytometric analysis of 4% paraformaldehyde fixed 90% methanol permeabilized U266B1 (human multiple myeloma B lymphocyte, left)/ KARPAS-299 (Human anaplastic large cell lymphoma, right) cells labelling SOCS1 with ab280886 at 1/50 dilution (1ug) (Red) compared with a Rabbit monoclonal IgG (ab172730) (Black) isotype control and an unlabelled control (cells without incubation with primary antibody and secondary antibody) (Blue). A Goat anti rabbit IgG (Alexa Fluor® 488, ab150077) at 1/2000 dilution was used as the secondary antibody. Negative control : U266B1 (PMID : 15580314).

Immunoprecipitation - Anti-SOCS1 antibody [EPR24290-356] (AB280886)
  • IP

Supplier Data

Immunoprecipitation - Anti-SOCS1 antibody [EPR24290-356] (AB280886)

SOCS1 was immunoprecipitated from 0.35 mg of KARPAS-299 (human anaplastic large cell lymphoma) whole cell lysate with ab280886 at 1/30 dilution (2ug in 0.35mg lysates). Western blot was performed on the immunoprecipitate using ab280886 at 1/1000 dilution. VeriBlot for IP Detection Reagent (HRP)(ab131366) was used at 1/5000 dilution.

Lane 1 : KARPAS-299 (human anaplastic large cell lymphoma) whole cell lysate 10 ug

Lane 2 : ab280886 IP in KARPAS-299 whole cell lysate

Lane 3 : Rabbit monoclonal IgG (ab172730) instead of ab280886 in mouse eyeball tissue lysate

Blocking and dilution buffer and concentration : 5% NFDM/TBST.

Exposure time : 93 seconds

All lanes:

Immunoprecipitation - Anti-SOCS1 antibody [EPR24290-356] (ab280886)

Predicted band size: 23 kDa

Observed band size: 23 kDa

false

Western blot - Anti-SOCS1 antibody [EPR24290-356] (AB280886)
  • WB

Lab

Western blot - Anti-SOCS1 antibody [EPR24290-356] (AB280886)

Blocking and diluting buffer and concentration : 5% NFDM/TBST

The expression profile/molecular weight observed is consistent with what has been described in the literature (PMID : 15580314, 26090662, 10490100).

Negative control : U266B1 (PMID : 15580314).

Exposure time : Lane 1 : 48 seconds Lane 2-3 : 3 minutes

All lanes:

Western blot - Anti-SOCS1 antibody [EPR24290-356] (ab280886) at 1/1000 dilution

Lane 1:

KARPAS-299 (human anaplastic large cell lymphoma) whole cell lysate at 60 µg

Lane 2:

K562 (human chronic myelogenous leukemia lymphoblast), whole cell lysate at 60 µg

Lane 3:

U266B1 (human multiple myeloma B lymphocyte) whole cell lysate at 60 µg

Secondary

All lanes:

Western blot - Goat Anti-Rabbit IgG H&L (HRP) (<a href='/en-us/products/secondary-antibodies/goat-rabbit-igg-h-l-hrp-ab97051'>ab97051</a>) at 1/20000 dilution

Predicted band size: 23 kDa

Observed band size: 22 kDa,23 kDa

false

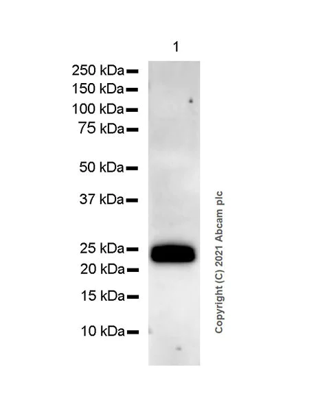
Western blot - Anti-SOCS1 antibody [EPR24290-356] (AB280886)
  • WB

Lab

Western blot - Anti-SOCS1 antibody [EPR24290-356] (AB280886)

Blocking and diluting buffer and concentration : 5% NFDM/TBST

The expression profile/molecular weight observed is consistent with what has been described in the literature (PMID : 15580314, 26090662, 10490100).

Exposure time : 3 minutes

All lanes:

Western blot - Anti-SOCS1 antibody [EPR24290-356] (ab280886) at 1/1000 dilution

All lanes:

Mouse thymus tissue lysate at 60 µg

Secondary

All lanes:

Western blot - Goat Anti-Rabbit IgG H&L (HRP) (<a href='/en-us/products/secondary-antibodies/goat-rabbit-igg-h-l-hrp-ab97051'>ab97051</a>) at 1/20000 dilution

Predicted band size: 23 kDa

Observed band size: 23 kDa

false

  • Carrier free

    Anti-SOCS1 antibody [EPR24290-356] - BSA and Azide free

Key facts

Host species

Rabbit

Clonality

Monoclonal

Clone number

EPR24290-356

Isotype

IgG

Carrier free

No

Reacts with

Mouse, Human

Applications

IP, Flow Cyt (Intra), WB

applications

Immunogen

The exact immunogen used to generate this antibody is proprietary information.

Reactivity data

{ "title": "Reactivity Data", "filters": { "stats": ["", "Species", "Dilution Info", "Notes"], "tabs": { "all-applications": {"fullname" : "All Applications", "shortname": "All Applications"}, "ICCIF" : {"fullname" : "Immunocytochemistry/ Immunofluorescence", "shortname":"ICC/IF"}, "IP" : {"fullname" : "Immunoprecipitation", "shortname":"IP"}, "WB" : {"fullname" : "Western blot", "shortname":"WB"}, "IHCP" : {"fullname" : "Immunohistochemistry (Formalin/PFA-fixed paraffin-embedded sections)", "shortname":"IHC-P"}, "FlowCytIntra" : {"fullname" : "Flow Cytometry (Intracellular)", "shortname":"Flow Cyt (Intra)"} }, "product-promise": { "all": "all", "testedAndGuaranteed": "tested", "guaranteed": "expected", "predicted": "predicted", "notRecommended": "not-recommended" } }, "values": { "Human": { "ICCIF-species-checked": "notRecommended", "ICCIF-species-dilution-info": "", "ICCIF-species-notes": "<p></p>", "IP-species-checked": "testedAndGuaranteed", "IP-species-dilution-info": "1/30", "IP-species-notes": "<p></p>", "WB-species-checked": "testedAndGuaranteed", "WB-species-dilution-info": "1/1000", "WB-species-notes": "<p></p>", "IHCP-species-checked": "notRecommended", "IHCP-species-dilution-info": "", "IHCP-species-notes": "<p></p>", "FlowCytIntra-species-checked": "testedAndGuaranteed", "FlowCytIntra-species-dilution-info": "1/50", "FlowCytIntra-species-notes": "<p></p>" }, "Mouse": { "ICCIF-species-checked": "notRecommended", "ICCIF-species-dilution-info": "", "ICCIF-species-notes": "<p></p>", "IP-species-checked": "guaranteed", "IP-species-dilution-info": "", "IP-species-notes": "", "WB-species-checked": "testedAndGuaranteed", "WB-species-dilution-info": "1/1000", "WB-species-notes": "<p></p>", "IHCP-species-checked": "notRecommended", "IHCP-species-dilution-info": "", "IHCP-species-notes": "<p></p>", "FlowCytIntra-species-checked": "guaranteed", "FlowCytIntra-species-dilution-info": "", "FlowCytIntra-species-notes": "" }, "Rat": { "ICCIF-species-checked": "notRecommended", "ICCIF-species-dilution-info": "", "ICCIF-species-notes": "", "IP-species-checked": "notRecommended", "IP-species-dilution-info": "", "IP-species-notes": "", "WB-species-checked": "notRecommended", "WB-species-dilution-info": "1/1000", "WB-species-notes": "<p></p>", "IHCP-species-checked": "notRecommended", "IHCP-species-dilution-info": "", "IHCP-species-notes": "<p></p>", "FlowCytIntra-species-checked": "notRecommended", "FlowCytIntra-species-dilution-info": "", "FlowCytIntra-species-notes": "" } } }

Product details

Patented technology
Our RabMAb® technology is a patented hybridoma-based technology for making rabbit monoclonal antibodies. For details on our patents, please refer to RabMAb® patents.

What are the advantages of a recombinant monoclonal antibody?
This product is a recombinant monoclonal antibody, which offers several advantages including:

  • - High batch-to-batch consistency and reproducibility
  • - Improved sensitivity and specificity
  • - Long-term security of supply
  • - Animal-free batch production

For more information, read more on recombinant antibodies.

Properties and storage information

Form
Liquid
Purification technique
Affinity purification Protein A
Storage buffer
Preservative: 0.01% Sodium azide Constituents: PBS, 40% Glycerol (glycerin, glycerine), 0.05% BSA
Shipped at conditions
Blue Ice
Appropriate short-term storage duration
1-2 weeks
Appropriate short-term storage conditions
+4°C
Appropriate long-term storage conditions
-20°C
Aliquoting information
Upon delivery aliquot
Storage information
Avoid freeze / thaw cycle

Product protocols

For this product, it's our understanding that no specific protocols are required. You can visit:

Target data

Essential negative regulator of type I and type II interferon (IFN) signaling, as well as that of other cytokines, including IL2, IL4, IL6 and leukemia inhibitory factor (LIF) (PubMed : 32499645, PubMed : 33087723). Downregulates cytokine signaling by inhibiting the JAK/STAT signaling pathway. Acts by binding to JAK proteins and to IFNGR1 and inhibiting their kinase activity. In vitro, suppresses Tec protein-tyrosine activity (PubMed : 9341160). Regulates IFN-gamma (IFNG)-mediated sensory neuron survival (By similarity). Probable substrate recognition component of an ECS (Elongin BC-CUL2/5-SOCS-box protein) E3 ubiquitin ligase complex which mediates the ubiquitination and subsequent proteasomal degradation of target proteins (PubMed : 11278610, PubMed : 11313480).
See full target information SOCS1

Publications (12)

Recent publications for all applications. Explore the full list and refine your search

Immunology 176:116-131 PubMed40488292

2025

Pannexin-1 Aggravates Inflammatory Bowel Disease via Unbalancing Macrophage Polarisation and Triggering Ferroptosis in Mice.

Applications

Unspecified application

Species

Unspecified reactive species

Qingfan Zheng,Yunfeng Qiu

Advanced science (Weinheim, Baden-Wurttemberg, Germany) 12:e2413091 PubMed40365824

2025

KDM6A Deficiency Induces Myeloid Bias and Promotes CMML-Like Disease Through JAK/STAT3 Activation by Repressing SOCS3.

Applications

Unspecified application

Species

Unspecified reactive species

Huiqiao Chen,Shufen Wang,Ruoyu Dong,Pinhui Yu,Tianyu Li,Liangning Hu,Mowang Wang,Zijun Qian,Hongyu Zhou,Xiaoyan Yue,Limengmeng Wang,Haowen Xiao

Oncogenesis 14:15 PubMed40346039

2025

PLEKHA4 is transcriptionally regulated by HOXD9 and regulates glycolytic reprogramming and progression in glioblastoma via activation of the STAT3/SOCS-1 pathway.

Applications

Unspecified application

Species

Unspecified reactive species

Dainan Zhang,Xiaoyin Wang,Meng Xiao,Shunchang Ma,Shaomin Li,Wang Jia

Journal of biochemical and molecular toxicology 38:e23816 PubMed39185902

2024

KLF4-induced upregulation of SOCS1 ameliorates myocardial ischemia/reperfusion injury by attenuating AC16 cardiomyocyte damage and enhancing M2 macrophage polarization.

Applications

Unspecified application

Species

Unspecified reactive species

Jiming Zhou,Wei Luo,Zhong Xie,Chunchen Xia,Junbi Zhao

Advanced science (Weinheim, Baden-Wurttemberg, Germany) 11:e2405332 PubMed38924373

2024

SNORA28 Promotes Proliferation and Radioresistance in Colorectal Cancer Cells through the STAT3 Pathway by Increasing H3K9 Acetylation in the LIFR Promoter.

Applications

Unspecified application

Species

Unspecified reactive species

Xin Liu,Hong Zhang,Ying Fan,Dan Cai,Ridan Lei,Qi Wang,Yaqiong Li,Liping Shen,Yongqing Gu,Qingtong Zhang,Zhenhua Qi,Zhidong Wang

Aging 15:15525-15534 PubMed38159254

2024

M-CSF secreted by gastric cancer cells exacerbates the progression of gastric cancer by increasing the expression of SHP2 in tumor-associated macrophages.

Applications

Unspecified application

Species

Unspecified reactive species

Shaohua Zhang,Dongfei Ren,Huiyu Hou,Li Yao,Hufang Yuan

Molecules (Basel, Switzerland) 28: PubMed37570753

2023

Fruit Extract Alleviates DSS-Induced Ulcerative Colitis by Regulating Gut Microbiota, Inflammatory Mediators, and Cytokines.

Applications

Unspecified application

Species

Unspecified reactive species

Yao-Yao Li,Yu Cui,Wan-Rong Dong,Tian-Tian Liu,Gao Zhou,Yu-Xin Chen

Cell host & microbe 31:1386-1403.e6 PubMed37463582

2023

Circulating T cell profiles associate with enterotype signatures underlying hematological malignancy relapses.

Applications

Unspecified application

Species

Unspecified reactive species

Nicolas Vallet,Maud Salmona,Jeanne Malet-Villemagne,Maxime Bredel,Louise Bondeelle,Simon Tournier,Séverine Mercier-Delarue,Stéphane Cassonnet,Brian Ingram,Régis Peffault de Latour,Anne Bergeron,Gérard Socié,Jérome Le Goff,Patricia Lepage,David Michonneau

Pharmaceutical biology 61:520-530 PubMed36908041

2023

Prediction of the mechanisms of action of Qutan Huoxue decoction in non-alcoholic steatohepatitis (NASH): a network pharmacology study and experimental validation.

Applications

Unspecified application

Species

Unspecified reactive species

Xia Wu,Yurong Zhang,Ding Zheng,Yue Yin,Mengyun Peng,Jing Wang,Xiaoning Zhu

Frontiers in pharmacology 13:1091090 PubMed36703757

2023

The mechanism of oxymatrine on atopic dermatitis in mice based on SOCS1/JAK-STAT3 pathway.

Applications

Unspecified application

Species

Unspecified reactive species

Xianwei Han,Tianming Ma,Qiang Wang,Chunlin Jin,Yusheng Han,Guijun Liu,Hao Li
View all publications

Product promise

We are committed to supporting your work with high-quality reagents, and we're here for you every step of the way. In the unlikely event that one of our products does not perform as expected, you're protected by our Product Promise.
For full details, please see our Terms & Conditions

Please note: All products are 'FOR RESEARCH USE ONLY. NOT FOR USE IN DIAGNOSTIC OR THERAPEUTIC PROCEDURES'.

For licensing inquiries, please contact partnerships@abcam.com