JavaScript is disabled in your browser. Please enable JavaScript to view this website.
AB280895

Anti-SOCS1 antibody [EPR24290-356] - BSA and Azide free

Be the first to review this product! Submit a review

|

(1 Publication)

Rabbit Recombinant Monoclonal SOCS1 antibody. Carrier free. Suitable for IP, WB, Flow Cyt (Intra) and reacts with Human, Mouse samples. Cited in 1 publication.

View Alternative Names

SSI1, TIP3, SOCS1, Suppressor of cytokine signaling 1, SOCS-1, JAK-binding protein, STAT-induced STAT inhibitor 1, Tec-interacting protein 3, JAB, SSI-1, TIP-3

4 Images
Flow Cytometry (Intracellular) - Anti-SOCS1 antibody [EPR24290-356] - BSA and Azide free (AB280895)
  • Flow Cyt (Intra)

Supplier Data

Flow Cytometry (Intracellular) - Anti-SOCS1 antibody [EPR24290-356] - BSA and Azide free (AB280895)

This data was developed using ab280886, the same antibody clone in a different buffer formulation.

Intracellular flow cytometric analysis of 4% paraformaldehyde fixed 90% methanol permeabilized U266B1 (human multiple myeloma B lymphocyte, left)/ KARPAS-299 (Human anaplastic large cell lymphoma, right) cells labelling SOCS1 with ab280886 at 1/50 dilution (1ug) (Red) compared with a Rabbit monoclonal IgG (ab172730) (Black) isotype control and an unlabelled control (cells without incubation with primary antibody and secondary antibody) (Blue). A Goat anti rabbit IgG (Alexa Fluor® 488, ab150077) at 1/2000 dilution was used as the secondary antibody.Negative control : U266B1 (PMID : 15580314).

Immunoprecipitation - Anti-SOCS1 antibody [EPR24290-356] - BSA and Azide free (AB280895)
  • IP

Supplier Data

Immunoprecipitation - Anti-SOCS1 antibody [EPR24290-356] - BSA and Azide free (AB280895)

This data was developed using ab280886, the same antibody clone in a different buffer formulation.

SOCS1 was immunoprecipitated from 0.35 mg of KARPAS-299 (human anaplastic large cell lymphoma) whole cell lysate with ab280886 at 1/30 dilution (2ug in 0.35mg lysates). Western blot was performed on the immunoprecipitate using ab280886 at 1/1000 dilution. VeriBlot for IP Detection Reagent (HRP)(ab131366) was used at 1/5000 dilution.

Lane 1 : KARPAS-299 (human anaplastic large cell lymphoma) whole cell lysate 10 ug

Lane 2 : ab280886 IP in KARPAS-299 whole cell lysate

Lane 3 : Rabbit monoclonal IgG (ab172730) instead of ab280886 in mouse eyeball tissue lysate

Blocking and dilution buffer and concentration : 5% NFDM/TBST.

Exposure time : 93 seconds

All lanes:

Immunoprecipitation - Anti-SOCS1 antibody [EPR24290-356] (<a href='/en-us/products/primary-antibodies/socs1-antibody-epr24290-356-ab280886'>ab280886</a>)

Predicted band size: 23 kDa

Observed band size: 23 kDa

false

Western blot - Anti-SOCS1 antibody [EPR24290-356] - BSA and Azide free (AB280895)
  • WB

Lab

Western blot - Anti-SOCS1 antibody [EPR24290-356] - BSA and Azide free (AB280895)

This data was developed using ab280886, the same antibody clone in a different buffer formulation.

Blocking and diluting buffer and concentration : 5% NFDM/TBST

The expression profile/molecular weight observed is consistent with what has been described in the literature (PMID : 15580314, 26090662, 10490100).

Negative control : U266B1 (PMID : 15580314).

Exposure time : Lane 1 : 48 seconds Lane 2-3 : 3 minutes

All lanes:

Western blot - Anti-SOCS1 antibody [EPR24290-356] (<a href='/en-us/products/primary-antibodies/socs1-antibody-epr24290-356-ab280886'>ab280886</a>) at 1/1000 dilution

Lane 1:

KARPAS-299 (human anaplastic large cell lymphoma) whole cell lysate at 60 µg

Lane 2:

K562 (human chronic myelogenous leukemia lymphoblast), whole cell lysate at 60 µg

Lane 3:

U266B1 (human multiple myeloma B lymphocyte) whole cell lysate at 60 µg

Secondary

All lanes:

Western blot - Goat Anti-Rabbit IgG H&L (HRP) (<a href='/en-us/products/secondary-antibodies/goat-rabbit-igg-h-l-hrp-ab97051'>ab97051</a>) at 1/20000 dilution

Predicted band size: 23 kDa

Observed band size: 22 kDa,23 kDa

false

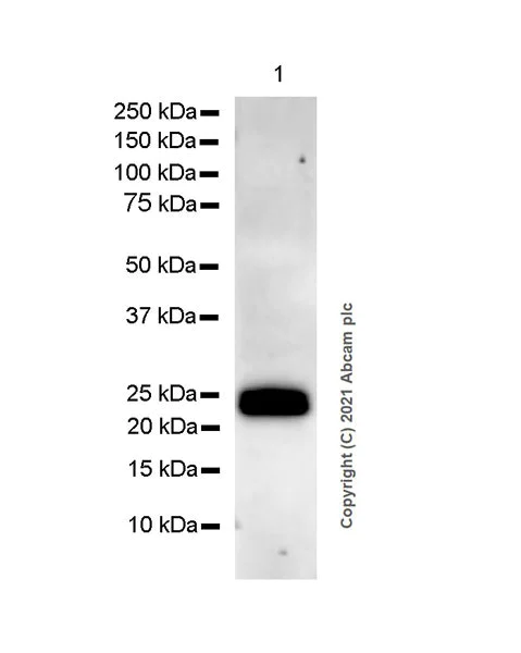
Western blot - Anti-SOCS1 antibody [EPR24290-356] - BSA and Azide free (AB280895)
  • WB

Lab

Western blot - Anti-SOCS1 antibody [EPR24290-356] - BSA and Azide free (AB280895)

This data was developed using ab280886, the same antibody clone in a different buffer formulation.

Blocking and diluting buffer and concentration : 5% NFDM/TBST

The expression profile/molecular weight observed is consistent with what has been described in the literature (PMID : 15580314, 26090662, 10490100).

Exposure time : 3 minutes

All lanes:

Western blot - Anti-SOCS1 antibody [EPR24290-356] (<a href='/en-us/products/primary-antibodies/socs1-antibody-epr24290-356-ab280886'>ab280886</a>) at 1/1000 dilution

All lanes:

Mouse thymus tissue lysate at 60 µg

Secondary

All lanes:

Western blot - Goat Anti-Rabbit IgG H&L (HRP) (<a href='/en-us/products/secondary-antibodies/goat-rabbit-igg-h-l-hrp-ab97051'>ab97051</a>) at 1/20000 dilution

Predicted band size: 23 kDa

Observed band size: 23 kDa

false

Key facts

Host species

Rabbit

Clonality

Monoclonal

Clone number

EPR24290-356

Isotype

IgG

Carrier free

Yes

Reacts with

Mouse, Human

Applications

Flow Cyt (Intra), IP, WB

applications

Immunogen

The exact immunogen used to generate this antibody is proprietary information.

Reactivity data

{ "title": "Reactivity Data", "filters": { "stats": ["", "Species", "Dilution Info", "Notes"], "tabs": { "all-applications": {"fullname" : "All Applications", "shortname": "All Applications"}, "ICCIF" : {"fullname" : "Immunocytochemistry/ Immunofluorescence", "shortname":"ICC/IF"}, "IP" : {"fullname" : "Immunoprecipitation", "shortname":"IP"}, "WB" : {"fullname" : "Western blot", "shortname":"WB"}, "IHCP" : {"fullname" : "Immunohistochemistry (Formalin/PFA-fixed paraffin-embedded sections)", "shortname":"IHC-P"}, "FlowCytIntra" : {"fullname" : "Flow Cytometry (Intracellular)", "shortname":"Flow Cyt (Intra)"} }, "product-promise": { "all": "all", "testedAndGuaranteed": "tested", "guaranteed": "expected", "predicted": "predicted", "notRecommended": "not-recommended" } }, "values": { "Human": { "ICCIF-species-checked": "notRecommended", "ICCIF-species-dilution-info": "", "ICCIF-species-notes": "<p></p>", "IP-species-checked": "testedAndGuaranteed", "IP-species-dilution-info": "", "IP-species-notes": "<p></p>", "WB-species-checked": "testedAndGuaranteed", "WB-species-dilution-info": "", "WB-species-notes": "<p></p>", "IHCP-species-checked": "notRecommended", "IHCP-species-dilution-info": "", "IHCP-species-notes": "<p></p>", "FlowCytIntra-species-checked": "testedAndGuaranteed", "FlowCytIntra-species-dilution-info": "", "FlowCytIntra-species-notes": "<p></p>" }, "Mouse": { "ICCIF-species-checked": "notRecommended", "ICCIF-species-dilution-info": "", "ICCIF-species-notes": "<p></p>", "IP-species-checked": "guaranteed", "IP-species-dilution-info": "", "IP-species-notes": "", "WB-species-checked": "testedAndGuaranteed", "WB-species-dilution-info": "", "WB-species-notes": "<p></p>", "IHCP-species-checked": "notRecommended", "IHCP-species-dilution-info": "", "IHCP-species-notes": "<p></p>", "FlowCytIntra-species-checked": "guaranteed", "FlowCytIntra-species-dilution-info": "", "FlowCytIntra-species-notes": "" }, "Rat": { "ICCIF-species-checked": "notRecommended", "ICCIF-species-dilution-info": "", "ICCIF-species-notes": "", "IP-species-checked": "notRecommended", "IP-species-dilution-info": "", "IP-species-notes": "", "WB-species-checked": "notRecommended", "WB-species-dilution-info": "", "WB-species-notes": "<p></p>", "IHCP-species-checked": "notRecommended", "IHCP-species-dilution-info": "", "IHCP-species-notes": "<p></p>", "FlowCytIntra-species-checked": "notRecommended", "FlowCytIntra-species-dilution-info": "", "FlowCytIntra-species-notes": "" } } }

Product details

ab280895 is the carrier-free version of ab280886.

Patented technology
Our RabMAb® technology is a patented hybridoma-based technology for making rabbit monoclonal antibodies. For details on our patents, please refer to RabMAb® patents.

What are the advantages of a recombinant monoclonal antibody?
This product is a recombinant monoclonal antibody, which offers several advantages including:

  • - High batch-to-batch consistency and reproducibility
  • - Improved sensitivity and specificity
  • - Long-term security of supply
  • - Animal-free batch production

For more information, read more on recombinant antibodies.

Conjugation ready
Our carrier-free antibodies are typically supplied in a PBS-only formulation, purified and free of BSA, sodium azide and glycerol. This conjugation-ready format is designed for use with fluorochromes, metal isotopes, oligonucleotides, and enzymes, which makes them ideal for antibody labelling, functional and cell-based assays, flow-based assays (e.g. mass cytometry) and Multiplex Imaging applications.

Use our conjugation kits for antibody conjugates that are ready-to-use in as little as 20 minutes with 1 minute hands-on-time and 100% antibody recovery: available for fluorescent dyes, HRP, biotin and gold.

Compatibility
This product is compatible with the Maxpar® Antibody Labeling Kit from Fluidigm, without the need for antibody preparation. Maxpar® is a trademark of Fluidigm Canada Inc.

Properties and storage information

Form
Liquid
Purification technique
Affinity purification Protein A
Storage buffer
Constituents: PBS
Shipped at conditions
Blue Ice
Appropriate short-term storage conditions
+4°C
Appropriate long-term storage conditions
+4°C

Product protocols

For this product, it's our understanding that no specific protocols are required. You can visit:

Target data

Essential negative regulator of type I and type II interferon (IFN) signaling, as well as that of other cytokines, including IL2, IL4, IL6 and leukemia inhibitory factor (LIF) (PubMed : 32499645, PubMed : 33087723). Downregulates cytokine signaling by inhibiting the JAK/STAT signaling pathway. Acts by binding to JAK proteins and to IFNGR1 and inhibiting their kinase activity. In vitro, suppresses Tec protein-tyrosine activity (PubMed : 9341160). Regulates IFN-gamma (IFNG)-mediated sensory neuron survival (By similarity). Probable substrate recognition component of an ECS (Elongin BC-CUL2/5-SOCS-box protein) E3 ubiquitin ligase complex which mediates the ubiquitination and subsequent proteasomal degradation of target proteins (PubMed : 11278610, PubMed : 11313480).
See full target information SOCS1

Publications (1)

Recent publications for all applications. Explore the full list and refine your search

Frontiers in immunology 16:1548802 PubMed40534860

2025

Exosomal let-7b-5p derived from Aspergillus fumigatus-treated human corneal epithelial cells promotes M1 macrophage activation via targeting SOCS-1.

Applications

Unspecified application

Species

Unspecified reactive species

Xiaoming Yu,Xinyi Wu
View all publications

Product promise

We are committed to supporting your work with high-quality reagents, and we're here for you every step of the way. In the unlikely event that one of our products does not perform as expected, you're protected by our Product Promise.
For full details, please see our Terms & Conditions

Please note: All products are 'FOR RESEARCH USE ONLY. NOT FOR USE IN DIAGNOSTIC OR THERAPEUTIC PROCEDURES'.

For licensing inquiries, please contact partnerships@abcam.com