JavaScript is disabled in your browser. Please enable JavaScript to view this website.
AB247806

Anti-SOCS2 antibody [EPR2588(2)] - BSA and Azide free

Be the first to review this product! Submit a review

|

(1 Publication)

Rabbit Recombinant Monoclonal SOCS2 antibody. Carrier free. Suitable for ICC/IF, IP, WB, Flow Cyt (Intra) and reacts with Human samples. Cited in 1 publication.

View Alternative Names

CIS2, SSI2, STATI2, SOCS2, Suppressor of cytokine signaling 2, SOCS-2, Cytokine-inducible SH2 protein 2, STAT-induced STAT inhibitor 2, CIS-2, SSI-2

4 Images
Immunocytochemistry/ Immunofluorescence - Anti-SOCS2 antibody [EPR2588(2)] - BSA and Azide free (AB247806)
  • ICC/IF

Unknown

Immunocytochemistry/ Immunofluorescence - Anti-SOCS2 antibody [EPR2588(2)] - BSA and Azide free (AB247806)

Immunocytochemistry/ Immunofluorescence analysis of MCF7 (Human breast adenocarcinoma epithelial cell) cells labeling SOCS2 with purified ab109245 at 1/100 dilution (10 μg/mL). Cells were fixed in 4% Paraformaldehyde and permeabilized with 0.1% TritonX-100. Cells were counterstained with ab195889 Anti-alpha Tubulin antibody [DM1A] - Microtubule Marker (Alexa Fluor® 594) 1/200 (2.5 μg/mL). Goat anti rabbit IgG (Alexa Fluor® 488, ab150077) was used as the secondary antibody at 1/1000 (2 μg/mL) dilution. DAPI (blue) was used as nuclear counterstain. PBS instead of the primary antibody was used as the secondary antibody only control.
This data was developed using the same antibody clone in a different buffer formulation containing PBS, BSA, glycerol, and sodium azide (ab109245).

Flow Cytometry (Intracellular) - Anti-SOCS2 antibody [EPR2588(2)] - BSA and Azide free (AB247806)
  • Flow Cyt (Intra)

Unknown

Flow Cytometry (Intracellular) - Anti-SOCS2 antibody [EPR2588(2)] - BSA and Azide free (AB247806)

Intracellular Flow Cytometry analysis of HeLa (Human cervix adenocarcinoma epithelial cell) cells labeling SOCS2 with purified ab109245 at 1/150 dilution (10 μg/mL) (Red). Cells were fixed with 4% Paraformaldehyde and permeabilised with 90% Methanol. A Goat anti rabbit IgG (Alexa Fluor® 488, ab150077) secondary antibody was used at 1/2000. Isotype control - Rabbit monoclonal IgG (Black). Unlabeled control - Cell without incubation with primary antibody and secondary antibody (Blue).

This data was developed using the same antibody clone in a different buffer formulation containing PBS, BSA, glycerol, and sodium azide (ab109245).

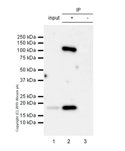
Immunoprecipitation - Anti-SOCS2 antibody [EPR2588(2)] - BSA and Azide free (AB247806)
  • IP

Unknown

Immunoprecipitation - Anti-SOCS2 antibody [EPR2588(2)] - BSA and Azide free (AB247806)

Purified ab109245 at 1/70 dilution (2 μg) immunoprecipitating SOCS2 in K-562 whole cell lysate.
Lane 1 (input) : K-562 (Human chronic myelogenous leukemia lymphoblast) whole cell lysate 10 μg
Lane 2 (+) : ab109245 + K-562 whole cell lysate.
Lane 3 (-) : Rabbit monoclonal IgG (ab172730) instead of ab109245 in K-562 whole cell lysate.
VeriBlot for IP Detection Reagent (HRP) (ab131366) (1/1000 dilution) was used for Western blotting.
Blocking Buffer and concentration : 5% NFDM/TBST.
Diluting buffer and concentration : 5% NFDM/TBST.
Observed band size : 22 kDa
This data was developed using the same antibody clone in a different buffer formulation containing PBS, BSA, glycerol, and sodium azide (ab109245).

All lanes:

Immunoprecipitation - Anti-SOCS2 antibody [EPR2588(2)] (<a href='/en-us/products/primary-antibodies/socs2-antibody-epr25882-ab109245'>ab109245</a>)

Predicted band size: 22 kDa

false

Western blot - Anti-SOCS2 antibody [EPR2588(2)] - BSA and Azide free (AB247806)
  • WB

Unknown

Western blot - Anti-SOCS2 antibody [EPR2588(2)] - BSA and Azide free (AB247806)

This data was developed using the same antibody clone in a different buffer formulation containing PBS, BSA, glycerol, and sodium azide (ab109245).

All lanes:

Western blot - Anti-SOCS2 antibody [EPR2588(2)] (<a href='/en-us/products/primary-antibodies/socs2-antibody-epr25882-ab109245'>ab109245</a>) at 1/2000 dilution

Lane 1:

NCCIT (Human pluripotent embryonic carcinoma epithelial cell) whole cell lysate at 20 µg

Lane 2:

K-562 (Human chronic myelogenous leukemia lymphoblast) whole cell lysate at 20 µg

Secondary

All lanes:

Goat Anti-Rabbit IgG (HRP) with minimal cross-reactivity with human IgG at 1/2000 dilution

Predicted band size: 22 kDa

Observed band size: 22 kDa

false

  • Unconjugated

    Anti-SOCS2 antibody [EPR2588(2)]

  • 578 PE

    PE Anti-SOCS2 antibody [EPR2588(2)]

  • 660 APC

    APC Anti-SOCS2 antibody [EPR2588(2)]

  • 665 Alexa Fluor® 647

    Alexa Fluor® 647 Anti-SOCS2 antibody [EPR2588(2)]

  • 617 Alexa Fluor® 594

    Alexa Fluor® 594 Anti-SOCS2 antibody [EPR2588(2)]

  • 565 Alexa Fluor® 555

    Alexa Fluor® 555 Anti-SOCS2 antibody [EPR2588(2)]

  • 519 Alexa Fluor® 488

    Alexa Fluor® 488 Anti-SOCS2 antibody [EPR2588(2)]

Key facts

Host species

Rabbit

Clonality

Monoclonal

Clone number

EPR2588(2)

Isotype

IgG

Carrier free

Yes

Reacts with

Human

Applications

WB, IP, Flow Cyt (Intra), ICC/IF

applications

Immunogen

The exact immunogen used to generate this antibody is proprietary information.

Reactivity data

{ "title": "Reactivity Data", "filters": { "stats": ["", "Species", "Dilution Info", "Notes"], "tabs": { "all-applications": {"fullname" : "All Applications", "shortname": "All Applications"}, "ICCIF" : {"fullname" : "Immunocytochemistry/ Immunofluorescence", "shortname":"ICC/IF"}, "IP" : {"fullname" : "Immunoprecipitation", "shortname":"IP"}, "WB" : {"fullname" : "Western blot", "shortname":"WB"}, "FlowCytIntra" : {"fullname" : "Flow Cytometry (Intracellular)", "shortname":"Flow Cyt (Intra)"} }, "product-promise": { "all": "all", "testedAndGuaranteed": "tested", "guaranteed": "expected", "predicted": "predicted", "notRecommended": "not-recommended" } }, "values": { "Human": { "ICCIF-species-checked": "testedAndGuaranteed", "ICCIF-species-dilution-info": "", "ICCIF-species-notes": "<p></p>", "IP-species-checked": "testedAndGuaranteed", "IP-species-dilution-info": "", "IP-species-notes": "<p></p>", "WB-species-checked": "testedAndGuaranteed", "WB-species-dilution-info": "", "WB-species-notes": "<p></p>", "FlowCytIntra-species-checked": "testedAndGuaranteed", "FlowCytIntra-species-dilution-info": "", "FlowCytIntra-species-notes": "<p></p>" }, "Mouse": { "ICCIF-species-checked": "predicted", "ICCIF-species-dilution-info": "", "ICCIF-species-notes": "", "IP-species-checked": "predicted", "IP-species-dilution-info": "", "IP-species-notes": "", "WB-species-checked": "predicted", "WB-species-dilution-info": "", "WB-species-notes": "", "FlowCytIntra-species-checked": "predicted", "FlowCytIntra-species-dilution-info": "", "FlowCytIntra-species-notes": "" }, "Rat": { "ICCIF-species-checked": "predicted", "ICCIF-species-dilution-info": "", "ICCIF-species-notes": "", "IP-species-checked": "predicted", "IP-species-dilution-info": "", "IP-species-notes": "", "WB-species-checked": "predicted", "WB-species-dilution-info": "", "WB-species-notes": "", "FlowCytIntra-species-checked": "predicted", "FlowCytIntra-species-dilution-info": "", "FlowCytIntra-species-notes": "" } } }

Product details

ab247806 is the carrier-free version of ab109245.

Patented technology
Our RabMAb® technology is a patented hybridoma-based technology for making rabbit monoclonal antibodies. For details on our patents, please refer to RabMAb® patents.

What are the advantages of a recombinant monoclonal antibody?
This product is a recombinant monoclonal antibody, which offers several advantages including:

  • - High batch-to-batch consistency and reproducibility
  • - Improved sensitivity and specificity
  • - Long-term security of supply
  • - Animal-free batch production

For more information, read more on recombinant antibodies.

Conjugation ready
Our carrier-free antibodies are typically supplied in a PBS-only formulation, purified and free of BSA, sodium azide and glycerol. This conjugation-ready format is designed for use with fluorochromes, metal isotopes, oligonucleotides, and enzymes, which makes them ideal for antibody labelling, functional and cell-based assays, flow-based assays (e.g. mass cytometry) and Multiplex Imaging applications.

Use our conjugation kits for antibody conjugates that are ready-to-use in as little as 20 minutes with 1 minute hands-on-time and 100% antibody recovery: available for fluorescent dyes, HRP, biotin and gold.

Compatibility
This product is compatible with the Maxpar® Antibody Labeling Kit from Fluidigm, without the need for antibody preparation. Maxpar® is a trademark of Fluidigm Canada Inc.

Properties and storage information

Form
Liquid
Purification technique
Affinity purification Protein A
Storage buffer
pH: 7.2 - 7.4 Constituents: PBS
Shipped at conditions
Blue Ice
Appropriate short-term storage conditions
+4°C
Appropriate long-term storage conditions
+4°C
Storage information
Do Not Freeze

Product protocols

For this product, it's our understanding that no specific protocols are required. You can visit:

Target data

Substrate-recognition component of a cullin-5-RING E3 ubiquitin-protein ligase complex (ECS complex, also named CRL5 complex), which mediates the ubiquitination and subsequent proteasomal degradation of target proteins, such as EPOR and GHR (PubMed : 11781573, PubMed : 21980433, PubMed : 25505247, PubMed : 31182716, PubMed : 34857742). Specifically recognizes and binds phosphorylated proteins via its SH2 domain, promoting their ubiquitination (PubMed : 21980433, PubMed : 25505247, PubMed : 31182716, PubMed : 34857742, PubMed : 37816714). The ECS(SOCS2) complex acts as a key regulator of growth hormone receptor (GHR) levels by mediating ubiquitination and degradation of GHR, following GHR phosphorylation by JAK2 (PubMed : 21980433, PubMed : 25505247, PubMed : 34857742). The ECS(SOCS2) also catalyzes ubiquitination and degradation of JAK2-phosphorylated EPOR (PubMed : 11781573).
See full target information SOCS2

Publications (1)

Recent publications for all applications. Explore the full list and refine your search

Cell biology and toxicology 40:3 PubMed38267746

2024

POU6F1 promotes ferroptosis by increasing lncRNA-CASC2 transcription to regulate SOCS2/SLC7A11 signaling in gastric cancer.

Applications

Unspecified application

Species

Unspecified reactive species

Jingyun Wang,Qiaoyu Jia,Shuqin Jiang,Wenquan Lu,Hanbing Ning
View all publications

Product promise

We are committed to supporting your work with high-quality reagents, and we're here for you every step of the way. In the unlikely event that one of our products does not perform as expected, you're protected by our Product Promise.
For full details, please see our Terms & Conditions

Please note: All products are 'FOR RESEARCH USE ONLY. NOT FOR USE IN DIAGNOSTIC OR THERAPEUTIC PROCEDURES'.

For licensing inquiries, please contact partnerships@abcam.com