JavaScript is disabled in your browser. Please enable JavaScript to view this website.
AB273652

Anti-SOCS3 antibody [OTI3D3] - BSA and Azide free

Be the first to review this product! Submit a review

|

(1 Publication)

Mouse Monoclonal SOCS3 antibody. Carrier free. Suitable for IHC-P, Flow Cyt, WB, ICC/IF, Flow Cyt (Intra) and reacts with Human, African green monkey samples. Cited in 1 publication. Immunogen corresponding to Recombinant Full Length Protein corresponding to Human SOCS3.

View Alternative Names

CIS3, SSI3, SOCS3, Suppressor of cytokine signaling 3, SOCS-3, Cytokine-inducible SH2 protein 3, STAT-induced STAT inhibitor 3, CIS-3, SSI-3

6 Images
Flow Cytometry (Intracellular) - Anti-SOCS3 antibody [OTI3D3] - BSA and Azide free (AB273652)
  • Flow Cyt (Intra)

Supplier Data

Flow Cytometry (Intracellular) - Anti-SOCS3 antibody [OTI3D3] - BSA and Azide free (AB273652)

Flow cytometric analysis of HeLa (human epithelial cell line from cervix adenocarcinoma) whole cell using ab236519 (Red) at 1/100 dilution, compared to a nonspecific negative control antibody, (Blue).

This data was developed using the same antibody clone in a different buffer formulation containing PBS, BSA, glycerol, and sodium azide (ab236519).

Immunohistochemistry (Formalin/PFA-fixed paraffin-embedded sections) - Anti-SOCS3 antibody [OTI3D3] - BSA and Azide free (AB273652)
  • IHC-P

Supplier Data

Immunohistochemistry (Formalin/PFA-fixed paraffin-embedded sections) - Anti-SOCS3 antibody [OTI3D3] - BSA and Azide free (AB273652)

Immunohistochemical analysis of paraffin-embedded human colon adenocarcinoma tissue staining SOCS3 with ab236519 at 1/150 dilution.

This data was developed using the same antibody clone in a different buffer formulation containing PBS, BSA, glycerol, and sodium azide (ab236519).

Flow Cytometry (Intracellular) - Anti-SOCS3 antibody [OTI3D3] - BSA and Azide free (AB273652)
  • Flow Cyt (Intra)

Supplier Data

Flow Cytometry (Intracellular) - Anti-SOCS3 antibody [OTI3D3] - BSA and Azide free (AB273652)

Flow cytometric analysis of Jurkat (human T cell leukemia cell line from peripheral blood) whole cell using ab236519 (Red) at 1/100 dilution, compared to a nonspecific negative control antibody, (Blue).

This data was developed using the same antibody clone in a different buffer formulation containing PBS, BSA, glycerol, and sodium azide (ab236519).

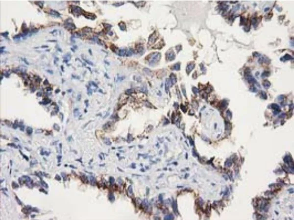
Immunohistochemistry (Formalin/PFA-fixed paraffin-embedded sections) - Anti-SOCS3 antibody [OTI3D3] - BSA and Azide free (AB273652)
  • IHC-P

Supplier Data

Immunohistochemistry (Formalin/PFA-fixed paraffin-embedded sections) - Anti-SOCS3 antibody [OTI3D3] - BSA and Azide free (AB273652)

Immunohistochemical analysis of paraffin-embedded human thyroid carcinoma tissue staining SOCS3 with ab236519 at 1/150 dilution.

This data was developed using the same antibody clone in a different buffer formulation containing PBS, BSA, glycerol, and sodium azide (ab236519).

Western blot - Anti-SOCS3 antibody [OTI3D3] - BSA and Azide free (AB273652)
  • WB

Supplier Data

Western blot - Anti-SOCS3 antibody [OTI3D3] - BSA and Azide free (AB273652)

All lanes:

Western blot - Anti-SOCS3 antibody [OTI3D3] - BSA and Azide free (ab273652) at 1/2000 dilution

Lane 1:

pCMV6-ENTRY control-transfected HEK-293T (human epithelial cell line from embryonic kidney transformed with large T antigen) whole cell lysate at 5 µg

Lane 2:

pCMV6-ENTRY SOCS3-transfected HEK-293T whole cell lysate at 5 µg

Predicted band size: 24 kDa

false

Immunocytochemistry/ Immunofluorescence - Anti-SOCS3 antibody [OTI3D3] - BSA and Azide free (AB273652)
  • ICC/IF

Supplier Data

Immunocytochemistry/ Immunofluorescence - Anti-SOCS3 antibody [OTI3D3] - BSA and Azide free (AB273652)

Immunofluorescence analysis of COS-7 (african green monkey kidney fibroblast-like cell line) whole cells labeling SOCS3 with ab236519 at 1/100 dilution.

This data was developed using the same antibody clone in a different buffer formulation containing PBS, BSA, glycerol, and sodium azide (ab236519).

Key facts

Host species

Mouse

Clonality

Monoclonal

Clone number

OTI3D3

Isotype

IgG2a

Carrier free

Yes

Reacts with

Human, African green monkey

Applications

Flow Cyt, WB, Flow Cyt (Intra), IHC-P, ICC/IF

applications

Immunogen

Recombinant Full Length Protein corresponding to Human SOCS3.

O14543

Reactivity data

{ "title": "Reactivity Data", "filters": { "stats": ["", "Species", "Dilution Info", "Notes"], "tabs": { "all-applications": {"fullname" : "All Applications", "shortname": "All Applications"}, "IHCP" : {"fullname" : "Immunohistochemistry (Formalin/PFA-fixed paraffin-embedded sections)", "shortname":"IHC-P"}, "FlowCyt" : {"fullname" : "Flow Cytometry", "shortname":"Flow Cyt"}, "WB" : {"fullname" : "Western blot", "shortname":"WB"}, "ICCIF" : {"fullname" : "Immunocytochemistry/ Immunofluorescence", "shortname":"ICC/IF"}, "FlowCytIntra" : {"fullname" : "Flow Cytometry (Intracellular)", "shortname":"Flow Cyt (Intra)"} }, "product-promise": { "all": "all", "testedAndGuaranteed": "tested", "guaranteed": "expected", "predicted": "predicted", "notRecommended": "not-recommended" } }, "values": { "Human": { "IHCP-species-checked": "testedAndGuaranteed", "IHCP-species-dilution-info": "1/150", "IHCP-species-notes": "<p></p> Perform heat-mediated antigen retrieval with citrate buffer pH 6 before commencing with IHC staining protocol.", "FlowCyt-species-checked": "testedAndGuaranteed", "FlowCyt-species-dilution-info": "1/100", "FlowCyt-species-notes": "<p></p>", "WB-species-checked": "testedAndGuaranteed", "WB-species-dilution-info": "1/2000", "WB-species-notes": "<p></p>", "ICCIF-species-checked": "guaranteed", "ICCIF-species-dilution-info": "", "ICCIF-species-notes": "", "FlowCytIntra-species-checked": "testedAndGuaranteed", "FlowCytIntra-species-dilution-info": "1/100", "FlowCytIntra-species-notes": "<p></p>" }, "African green monkey": { "IHCP-species-checked": "guaranteed", "IHCP-species-dilution-info": "", "IHCP-species-notes": "", "FlowCyt-species-checked": "guaranteed", "FlowCyt-species-dilution-info": "", "FlowCyt-species-notes": "", "WB-species-checked": "guaranteed", "WB-species-dilution-info": "", "WB-species-notes": "", "ICCIF-species-checked": "testedAndGuaranteed", "ICCIF-species-dilution-info": "1/100", "ICCIF-species-notes": "<p></p>", "FlowCytIntra-species-checked": "guaranteed", "FlowCytIntra-species-dilution-info": "", "FlowCytIntra-species-notes": "" } } }

Product details

ab273652 is the carrier-free version of ab236519.

Conjugation ready
Our carrier-free antibodies are typically supplied in a PBS-only formulation, purified and free of BSA, sodium azide and glycerol. This conjugation-ready format is designed for use with fluorochromes, metal isotopes, oligonucleotides, and enzymes, which makes them ideal for antibody labelling, functional and cell-based assays, flow-based assays (e.g. mass cytometry) and Multiplex Imaging applications.

Use our conjugation kits for antibody conjugates that are ready-to-use in as little as 20 minutes with 1 minute hands-on-time and 100% antibody recovery: available for fluorescent dyes, HRP, biotin and gold.

Properties and storage information

Form
Liquid
Purification technique
Affinity purification Protein A/G
Storage buffer
pH: 7.3 Constituents: PBS
Shipped at conditions
Blue Ice
Appropriate short-term storage duration
1-2 weeks
Appropriate short-term storage conditions
+4°C
Appropriate long-term storage conditions
-20°C
Aliquoting information
Upon delivery aliquot
Storage information
Avoid freeze / thaw cycle

Product protocols

For this product, it's our understanding that no specific protocols are required. You can visit:

Target data

SOCS family proteins form part of a classical negative feedback system that regulates cytokine signal transduction. SOCS3 is involved in negative regulation of cytokines that signal through the JAK/STAT pathway. Inhibits cytokine signal transduction by binding to tyrosine kinase receptors including IL6ST/gp130, LIF, erythropoietin, insulin, IL12, GCSF and leptin receptors. Binding to JAK2 inhibits its kinase activity and regulates IL6 signaling. Suppresses fetal liver erythropoiesis. Regulates onset and maintenance of allergic responses mediated by T-helper type 2 cells (By similarity). Probable substrate recognition component of a SCF-like ECS (Elongin BC-CUL2/5-SOCS-box protein) E3 ubiquitin-protein ligase complex which mediates the ubiquitination and subsequent proteasomal degradation of target proteins (PubMed : 15601820).
See full target information SOCS3

Publications (1)

Recent publications for all applications. Explore the full list and refine your search

FASEB journal : official publication of the Federation of American Societies for Experimental Biology 37:e22682 PubMed36468758

2022

Establishment of a minimally invasive distal traumatic optic neuropathy model in mice to investigate cascade reactions of retinal glial cells.

Applications

Unspecified application

Species

Unspecified reactive species

Bingqiao Shen,Huan Yu,Mingui Zhang,Junjue Chen,Yang Zhang,Shushu Xu,Ruiqi Han,Shouyue Huang,Ping Huang,Yisheng Zhong
View all publications

Product promise

We are committed to supporting your work with high-quality reagents, and we're here for you every step of the way. In the unlikely event that one of our products does not perform as expected, you're protected by our Product Promise.
For full details, please see our Terms & Conditions

Please note: All products are 'FOR RESEARCH USE ONLY. NOT FOR USE IN DIAGNOSTIC OR THERAPEUTIC PROCEDURES'.

For licensing inquiries, please contact partnerships@abcam.com