JavaScript is disabled in your browser. Please enable JavaScript to view this website.
AB308181

Anti-SOD1 antibody [HL1653] - BSA and Azide free

Be the first to review this product! Submit a review

|

(1 Publication)

Rabbit Recombinant Monoclonal Superoxide Dismutase 1 antibody. Carrier free. Suitable for WB, IHC-P and reacts with Mouse, Rat, Human, Cat, Dog samples. Cited in 1 publication. Immunogen corresponding to Synthetic Peptide within Cow SOD1.

View Alternative Names

Superoxide dismutase [Cu-Zn], SOD1

4 Images
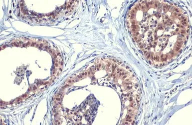
Immunohistochemistry paraffin embedded sections - Anti-SOD1 antibody [HL1653] - BSA and Azide free (AB308181)
  • IHC-P

Supplier Data

Immunohistochemistry paraffin embedded sections - Anti-SOD1 antibody [HL1653] - BSA and Azide free (AB308181)

Immunohistochemical analysis of paraffin-embedded human breast carcinoma labeling SOD1 protein with ab308181 at 1/100 dilution. Heat mediated antigen retrieval was performed with citrate buffer pH 6.0 for 15 mins.

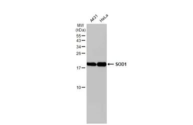
Western blot - Anti-SOD1 antibody [HL1653] - BSA and Azide free (AB308181)
  • WB

Supplier Data

Western blot - Anti-SOD1 antibody [HL1653] - BSA and Azide free (AB308181)

Various whole cell extracts (30 μg) were separated by 15% SDS-PAGE, and the membrane was blotted with SOD1 antibody [HL1653] (ab308181) diluted at 1/1000. A HRP-conjugated anti-rabbit IgG antibody was used to detect the primary antibody.

All lanes:

Western blot - Anti-SOD1 antibody [HL1653] - BSA and Azide free (ab308181) at 1/1000 dilution

Lane 1:

A431 cell lysate at 30 µg

Lane 2:

HeLa cell lysate at 30 µg

Secondary

All lanes:

HRP-conjugated anti-rabbit IgG antibody

Predicted band size: 15.9 kDa

false

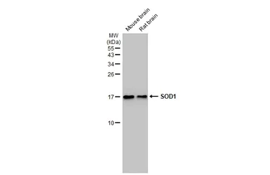
Western blot - Anti-SOD1 antibody [HL1653] - BSA and Azide free (AB308181)
  • WB

Supplier Data

Western blot - Anti-SOD1 antibody [HL1653] - BSA and Azide free (AB308181)

Various tissue extracts (50 μg) were separated by 15% SDS-PAGE, and the membrane was blotted with SOD1 antibody [HL1653] (ab308181) diluted at 1/1000. A HRP-conjugated anti-rabbit IgG antibody was used to detect the primary antibody.

All lanes:

Western blot - Anti-SOD1 antibody [HL1653] - BSA and Azide free (ab308181) at 1/1000 dilution

Lane 1:

Mouse brain lysate at 50 µg

Lane 2:

Rat brain lysate at 50 µg

Secondary

All lanes:

HRP-conjugated anti-rabbit IgG antibody

Predicted band size: 15.9 kDa

false

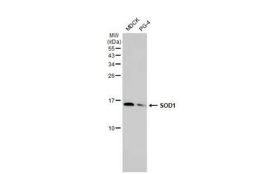
Western blot - Anti-SOD1 antibody [HL1653] - BSA and Azide free (AB308181)
  • WB

Supplier Data

Western blot - Anti-SOD1 antibody [HL1653] - BSA and Azide free (AB308181)

Various whole cell extracts (30 μg) were separated by 15% SDS-PAGE, and the membrane was blotted with SOD1 antibody [HL1653] (ab308181) diluted at 1/1000. A HRP-conjugated anti-rabbit IgG antibody was used to detect the primary antibody.

All lanes:

Western blot - Anti-SOD1 antibody [HL1653] - BSA and Azide free (ab308181) at 1/1000 dilution

Lane 1:

MDCK cell lysate at 30 µg

Lane 2:

PG-4 cell lysate at 30 µg

Secondary

All lanes:

HRP-conjugated anti-rabbit IgG antibody

Predicted band size: 15.9 kDa

false

Key facts

Host species

Rabbit

Clonality

Monoclonal

Clone number

HL1653

Isotype

IgG

Carrier free

Yes

Reacts with

Human, Mouse, Rat, Dog, Cat

Applications

IHC-P, WB

applications

Immunogen

Synthetic Peptide within Cow SOD1. The exact immunogen used to generate this antibody is proprietary information.

P00442

Reactivity data

{ "title": "Reactivity Data", "filters": { "stats": ["", "Species", "Dilution Info", "Notes"], "tabs": { "all-applications": {"fullname" : "All Applications", "shortname": "All Applications"}, "WB" : {"fullname" : "Western blot", "shortname":"WB"}, "IHCP" : {"fullname" : "Immunohistochemistry (Formalin/PFA-fixed paraffin-embedded sections)", "shortname":"IHC-P"} }, "product-promise": { "all": "all", "testedAndGuaranteed": "tested", "guaranteed": "expected", "predicted": "predicted", "notRecommended": "not-recommended" } }, "values": { "Human": { "WB-species-checked": "testedAndGuaranteed", "WB-species-dilution-info": "1/1000", "WB-species-notes": "<p></p>", "IHCP-species-checked": "testedAndGuaranteed", "IHCP-species-dilution-info": "1/100", "IHCP-species-notes": "<p></p> Perform heat-mediated antigen retrieval with citrate buffer pH 6 before commencing with IHC staining protocol." }, "Mouse": { "WB-species-checked": "testedAndGuaranteed", "WB-species-dilution-info": "1/1000", "WB-species-notes": "<p></p>", "IHCP-species-checked": "guaranteed", "IHCP-species-dilution-info": "", "IHCP-species-notes": "" }, "Rat": { "WB-species-checked": "testedAndGuaranteed", "WB-species-dilution-info": "1/1000", "WB-species-notes": "<p></p>", "IHCP-species-checked": "guaranteed", "IHCP-species-dilution-info": "", "IHCP-species-notes": "" }, "Cat": { "WB-species-checked": "testedAndGuaranteed", "WB-species-dilution-info": "1/1000", "WB-species-notes": "<p></p>", "IHCP-species-checked": "guaranteed", "IHCP-species-dilution-info": "", "IHCP-species-notes": "" }, "Dog": { "WB-species-checked": "testedAndGuaranteed", "WB-species-dilution-info": "1/1000", "WB-species-notes": "<p></p>", "IHCP-species-checked": "guaranteed", "IHCP-species-dilution-info": "", "IHCP-species-notes": "" } } }

Product details

What are the advantages of a recombinant monoclonal antibody?
This product is a recombinant monoclonal antibody, which offers several advantages including:

  • - High batch-to-batch consistency and reproducibility
  • - Improved sensitivity and specificity
  • - Long-term security of supply
  • - Animal-free batch production

For more information, read more on recombinant antibodies.

Conjugation ready
Our carrier-free antibodies are typically supplied in a PBS-only formulation, purified and free of BSA, sodium azide and glycerol. This conjugation-ready format is designed for use with fluorochromes, metal isotopes, oligonucleotides, and enzymes, which makes them ideal for antibody labelling, functional and cell-based assays, flow-based assays (e.g. mass cytometry) and Multiplex Imaging applications.

Use our conjugation kits for antibody conjugates that are ready-to-use in as little as 20 minutes with 1 minute hands-on-time and 100% antibody recovery: available for fluorescent dyes, HRP, biotin and gold.

Properties and storage information

Form
Liquid
Purification technique
Affinity purification Protein A
Storage buffer
pH: 7.4 Constituents: 100% PBS
Shipped at conditions
Blue Ice
Appropriate short-term storage duration
1-2 weeks
Appropriate short-term storage conditions
+4°C
Appropriate long-term storage conditions
+4°C
Aliquoting information
Upon delivery aliquot
Storage information
Avoid freeze / thaw cycle

Supplementary information

This supplementary information is collated from multiple sources and compiled automatically.

Superoxide Dismutase 1 (SOD1) also known as Cu/Zn SOD or simply dismutase is an enzyme important for the detoxification of superoxide radicals. SOD1 catalyzes the conversion of two superoxide molecules into oxygen and hydrogen peroxide maintaining cellular redox balance. This enzyme typically exhibits a mass of approximately 32 kDa. SOD1 is expressed in the cytoplasm of cells throughout the body including tissues like liver kidney and brain.
Biological function summary

The enzyme functions as a homodimer with each subunit containing a copper and zinc ion. These metal ions are essential for the catalytic activity of SOD1 as the copper ion participates in electron transfer while the zinc ion provides structural stability. The enzyme protects cells from oxidative stress by neutralizing excess reactive oxygen species ensuring cellular health and functioning.

Pathways

SOD1 plays an important role in the cellular antioxidant defense system and is a part of the reactive oxygen species (ROS) metabolic pathway. It works in conjunction with catalase and glutathione peroxidase to limit oxidative damage within cells. The close interaction between these enzymes highlights the interdependence within the antioxidant defense network emphasizing their role in maintaining cellular homeostasis.

Mutations in the SOD1 gene are linked to familial Amyotrophic Lateral Sclerosis (ALS) a neurodegenerative condition. In ALS aberrant SOD1 proteins may lead to increased oxidative stress and motor neuron damage. Research also connects SOD1 to the pathogenesis of Alzheimer's disease where oxidative stress is a contributing factor. These associations underline SOD1's significance in neurodegenerative diseases highlighting potential therapeutic targets for interventions focused on oxidative stress management.

Product protocols

For this product, it's our understanding that no specific protocols are required. You can visit:

Target data

Destroys radicals which are normally produced within the cells and which are toxic to biological systems.
See full target information SOD1

Publications (1)

Recent publications for all applications. Explore the full list and refine your search

International journal of molecular sciences 24: PubMed37175685

2023

Polyphenols and Triterpenes Combination in an In Vitro Model of Cardiac Damage: Protective Effects.

Applications

Unspecified application

Species

Unspecified reactive species

Natalia de Las Heras,Adrián Galiana,Sandra Ballesteros,José Carlos Quintela,Ileana Bonilauri,Vicente Lahera,Beatriz Martín-Fernández
View all publications

Product promise

We are committed to supporting your work with high-quality reagents, and we're here for you every step of the way. In the unlikely event that one of our products does not perform as expected, you're protected by our Product Promise.
For full details, please see our Terms & Conditions

Please note: All products are 'FOR RESEARCH USE ONLY. NOT FOR USE IN DIAGNOSTIC OR THERAPEUTIC PROCEDURES'.

For licensing inquiries, please contact partnerships@abcam.com