JavaScript is disabled in your browser. Please enable JavaScript to view this website.
AB137037

Anti-SOD2/MnSOD (acetyl K68) antibody [EPVANR2]

5

(4 Reviews)

|

(136 Publications)

Anti-SOD2/MnSOD (acetyl K68) antibody [EPVANR2] (ab137037) is a rabbit monoclonal antibody detecting SOD2/MnSOD in Western Blot, IHC-P, Dot Blot. Suitable for Human, Mouse, Rat.

- Biophysical QC for unrivalled batch-batch consistency
- Over 90 publications

View Alternative Names

SOD2

10 Images
Immunohistochemistry (Formalin/PFA-fixed paraffin-embedded sections) - Anti-SOD2/MnSOD (acetyl K68) antibody [EPVANR2] (AB137037)
  • IHC-P

Unknown

Immunohistochemistry (Formalin/PFA-fixed paraffin-embedded sections) - Anti-SOD2/MnSOD (acetyl K68) antibody [EPVANR2] (AB137037)

Immunohistochemistry (Formalin/PFA-fixed paraffin-embedded sections) analysis of human muscle tissue labelling SOD2 (acetyl K68) with unpurified ab137037 at 1/100 dilution.

Perform heat mediated antigen retrieval before commencing with IHC staining protocol.

Immunohistochemistry (Formalin/PFA-fixed paraffin-embedded sections) - Anti-SOD2/MnSOD (acetyl K68) antibody [EPVANR2] (AB137037)
  • IHC-P

Unknown

Immunohistochemistry (Formalin/PFA-fixed paraffin-embedded sections) - Anti-SOD2/MnSOD (acetyl K68) antibody [EPVANR2] (AB137037)

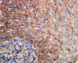
Immunohistochemistry (Formalin/PFA-fixed paraffin-embedded sections) analysis of human cervical carcinoma tissue labelling SOD2 (acetyl K68) with unpurified ab137037 at 1/100 dilution.

Perform heat mediated antigen retrieval before commencing with IHC staining protocol.

Immunohistochemistry (Formalin/PFA-fixed paraffin-embedded sections) - Anti-SOD2/MnSOD (acetyl K68) antibody [EPVANR2] (AB137037)
  • IHC-P

Unknown

Immunohistochemistry (Formalin/PFA-fixed paraffin-embedded sections) - Anti-SOD2/MnSOD (acetyl K68) antibody [EPVANR2] (AB137037)

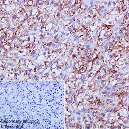
Immunohistochemistry (Formalin/PFA-fixed paraffin-embedded sections) analysis of human clear cell carcinoma kidney tissue labelling SOD2 (acetyl K68) with purified ab137037 at 1/150. Heat mediated antigen retrieval was performed using Tris/EDTA buffer pH 9. ab97051, a goat anti-rabbit IgG H&L (HRP) was used as the secondary antibody (1/500).

Negative control using PBS instead of primary antibody. Counterstained with hematoxylin.

Immunohistochemistry (Formalin/PFA-fixed paraffin-embedded sections) - Anti-SOD2/MnSOD (acetyl K68) antibody [EPVANR2] (AB137037)
  • IHC-P

Unknown

Immunohistochemistry (Formalin/PFA-fixed paraffin-embedded sections) - Anti-SOD2/MnSOD (acetyl K68) antibody [EPVANR2] (AB137037)

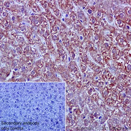
Immunohistochemistry (Formalin/PFA-fixed paraffin-embedded sections) analysis of rat liver tissue labelling SOD2 (acetyl K68) with purified ab137037 at 1/150. Heat mediated antigen retrieval was performed using Tris/EDTA buffer pH 9. ab97051, a goat anti-rabbit IgG H&L (HRP) was used as the secondary antibody (1/500).

Negative control using PBS instead of primary antibody. Counterstained with hematoxylin.

Immunohistochemistry (Formalin/PFA-fixed paraffin-embedded sections) - Anti-SOD2/MnSOD (acetyl K68) antibody [EPVANR2] (AB137037)
  • IHC-P

Unknown

Immunohistochemistry (Formalin/PFA-fixed paraffin-embedded sections) - Anti-SOD2/MnSOD (acetyl K68) antibody [EPVANR2] (AB137037)

Immunohistochemistry (Formalin/PFA-fixed paraffin-embedded sections) analysis of mouse kidney tissue labelling SOD2 (acetyl K68) with purified ab137037 at 1/150. Heat mediated antigen retrieval was performed using Tris/EDTA buffer pH 9. ab97051, a goat anti-rabbit IgG H&L (HRP) was used as the secondary antibody (1/500).

Negative control using PBS instead of primary antibody. Counterstained with hematoxylin.

Western blot - Anti-SOD2/MnSOD (acetyl K68) antibody [EPVANR2] (AB137037)
  • WB

Unknown

Western blot - Anti-SOD2/MnSOD (acetyl K68) antibody [EPVANR2] (AB137037)

All lanes:

Western blot - Anti-SOD2/MnSOD (acetyl K68) antibody [EPVANR2] (ab137037) at 1/1000 dilution

Lane 1:

Non transfected HEK-293T lysate at 10 µg

Lane 2:

SOD2 transfected HEK-293T lysate at 10 µg

Secondary

All lanes:

HRP conjugated Goat anti Rabbit IgG at 1/2000 dilution

Predicted band size: 24 kDa

false

Western blot - Anti-SOD2/MnSOD (acetyl K68) antibody [EPVANR2] (AB137037)
  • WB

Unknown

Western blot - Anti-SOD2/MnSOD (acetyl K68) antibody [EPVANR2] (AB137037)

Blocking/Dilution buffer and concentration : 5% NFDM/TBST.

All lanes:

Western blot - Anti-SOD2/MnSOD (acetyl K68) antibody [EPVANR2] (ab137037) at 1/1000 dilution

All lanes:

Rat kidney tissue lysate at 20 µg

Secondary

All lanes:

Western blot - Goat Anti-Rabbit IgG H&L (HRP) (<a href='/en-us/products/secondary-antibodies/goat-rabbit-igg-h-l-hrp-ab97051'>ab97051</a>) at 1/10000 dilution

Predicted band size: 24 kDa

false

Western blot - Anti-SOD2/MnSOD (acetyl K68) antibody [EPVANR2] (AB137037)
  • WB

Unknown

Western blot - Anti-SOD2/MnSOD (acetyl K68) antibody [EPVANR2] (AB137037)

Blocking/Dilution buffer and concentration : 5% NFDM/TBST.

All lanes:

Western blot - Anti-SOD2/MnSOD (acetyl K68) antibody [EPVANR2] (ab137037) at 1/1000 dilution

All lanes:

Mouse heart lysate at 20 µg

Secondary

All lanes:

Western blot - Goat Anti-Rabbit IgG H&L (HRP) (<a href='/en-us/products/secondary-antibodies/goat-rabbit-igg-h-l-hrp-ab97051'>ab97051</a>) at 1/10000 dilution

Predicted band size: 24 kDa

false

Western blot - Anti-SOD2/MnSOD (acetyl K68) antibody [EPVANR2] (AB137037)
  • WB

Unknown

Western blot - Anti-SOD2/MnSOD (acetyl K68) antibody [EPVANR2] (AB137037)

All lanes:

Western blot - Anti-SOD2/MnSOD (acetyl K68) antibody [EPVANR2] (ab137037) at 1/1000 dilution

Lane 1:

Non transfected HEK-293T cell lysate at 10 µg with with Acetyl SOD2 (K68) peptide

Lane 2:

SOD2 transfected HEK-293T cell lysate at 10 µg with control peptide

Secondary

All lanes:

HRP conjugated Goat anti Rabbit IgG at 1/2000 dilution

Predicted band size: 24 kDa

false

Dot Blot - Anti-SOD2/MnSOD (acetyl K68) antibody [EPVANR2] (AB137037)
  • Dot

Lab

Dot Blot - Anti-SOD2/MnSOD (acetyl K68) antibody [EPVANR2] (AB137037)

Dot blot analysis labelling SOD2 (acetyl K68) with ab137037 at a dilution of 1/1000. Peroxidase conjugated goat anti-rabbit IgG (H+L) was used as the secondary antibody at a dilution of 1/2500.

Blocking and diluting buffer : 5% NFDM/TBST.

Lane 1 : SOD2 (acetyl K68) acetylated peptide.

Lane 2 : SOD2 Non-acetylated peptide.

Exposure time : 3 minutes.

  • Carrier free

    Anti-SOD2/MnSOD (acetyl K68) antibody [EPVANR2] - BSA and Azide free

Key facts

Host species

Rabbit

Clonality

Monoclonal

Clone number

EPVANR2

Isotype

IgG

Carrier free

No

Reacts with

Mouse, Rat, Human

Applications

IHC-P, Dot, WB

applications

Immunogen

The exact immunogen used to generate this antibody is proprietary information.

Specificity

This antibody only detects SOD2/MnSOD when acetylated at Lysine 68. According to BLAST analysis, the antibody might cross-react with Fer (Uniprot P70451) isoform 3 in mouse samples. No experiment has been done to confirm this possibility.

Reactivity data

{ "title": "Reactivity Data", "filters": { "stats": ["", "Species", "Dilution Info", "Notes"], "tabs": { "all-applications": {"fullname" : "All Applications", "shortname": "All Applications"}, "IHCP" : {"fullname" : "Immunohistochemistry (Formalin/PFA-fixed paraffin-embedded sections)", "shortname":"IHC-P"}, "Dot" : {"fullname" : "Dot Blot", "shortname":"Dot"}, "WB" : {"fullname" : "Western blot", "shortname":"WB"} }, "product-promise": { "all": "all", "testedAndGuaranteed": "tested", "guaranteed": "expected", "predicted": "predicted", "notRecommended": "not-recommended" } }, "values": { "Human": { "IHCP-species-checked": "testedAndGuaranteed", "IHCP-species-dilution-info": "1/100 - 1/250", "IHCP-species-notes": "<p></p> Perform heat-mediated antigen retrieval before commencing with IHC staining protocol.", "Dot-species-checked": "guaranteed", "Dot-species-dilution-info": "", "Dot-species-notes": "", "WB-species-checked": "testedAndGuaranteed", "WB-species-dilution-info": "1/1000 - 1/10000", "WB-species-notes": "<p></p>" }, "Mouse": { "IHCP-species-checked": "testedAndGuaranteed", "IHCP-species-dilution-info": "1/100 - 1/250", "IHCP-species-notes": "<p></p> Perform heat-mediated antigen retrieval before commencing with IHC staining protocol.", "Dot-species-checked": "guaranteed", "Dot-species-dilution-info": "", "Dot-species-notes": "", "WB-species-checked": "testedAndGuaranteed", "WB-species-dilution-info": "1/1000 - 1/10000", "WB-species-notes": "<p></p>" }, "Rat": { "IHCP-species-checked": "testedAndGuaranteed", "IHCP-species-dilution-info": "1/100 - 1/250", "IHCP-species-notes": "<p></p> Perform heat-mediated antigen retrieval before commencing with IHC staining protocol.", "Dot-species-checked": "guaranteed", "Dot-species-dilution-info": "", "Dot-species-notes": "", "WB-species-checked": "testedAndGuaranteed", "WB-species-dilution-info": "1/1000 - 1/10000", "WB-species-notes": "<p></p>" }, "Synthetic peptide - Human": { "IHCP-species-checked": "notRecommended", "IHCP-species-dilution-info": "", "IHCP-species-notes": "", "Dot-species-checked": "testedAndGuaranteed", "Dot-species-dilution-info": "1/1000", "Dot-species-notes": "<p></p>", "WB-species-checked": "notRecommended", "WB-species-dilution-info": "", "WB-species-notes": "" } } }

Product details

What is this antibody validated in?
Anti-SOD2/MnSOD (acetyl K68) antibody [EPVANR2] (ab137037) is a rabbit recombinant monoclonal antibody and is validated for use in Western Blot (WB), Immunohistochemistry (IHC-P), Dot Blot in Human, Mouse, Rat samples.

What is the molecular weight of SOD2/MnSOD?
Anti-SOD2/MnSOD (acetyl K68) [EPVANR2] (ab137037) specifically detects a band for SOD2/MnSOD (UniProt: P04179) at a molecular weight of 24kDa.

Trusted by the scientific community
Anti-SOD2/MnSOD (acetyl K68) [EPVANR2] (ab137037) was first used in a scientific publication in 2012 and has been cited over 90 times in peer-reviewed journals.

Trial sizes available!
Test your antibody or perform pre-screening before committing to a larger quantity. Sold in 10µl. Discover our selection of trial-size antibodies.

Other related products
We have a range of other formats of antibody clone [EPVANR2] also available for your convenience: ab137037, Carrier free - ab218529

Patented technology
Our RabMAb® technology is a patented hybridoma-based technology for making rabbit monoclonal antibodies. For details on our patents, please refer to RabMAb® patents.

What are the advantages of a recombinant monoclonal antibody?
This product is a recombinant monoclonal antibody, which offers several advantages including:

  • - High batch-to-batch consistency and reproducibility
  • - Improved sensitivity and specificity
  • - Long-term security of supply
  • - Animal-free batch production

For more information, read more on recombinant antibodies.

Properties and storage information

Form
Liquid
Purification technique
Affinity purification Protein A
Storage buffer
pH: 7.2 - 7.4 Preservative: 0.01% Sodium azide Constituents: PBS, 40% Glycerol (glycerin, glycerine), 0.05% BSA
Shipped at conditions
Blue Ice
Appropriate short-term storage duration
1-2 weeks
Appropriate short-term storage conditions
+4°C
Appropriate long-term storage conditions
-20°C
Aliquoting information
Upon delivery aliquot
Storage information
Avoid freeze / thaw cycle

Product protocols

For this product, it's our understanding that no specific protocols are required. You can visit:

Target data

Destroys superoxide anion radicals which are normally produced within the cells and which are toxic to biological systems.
See full target information Superoxide dismutase [Mn], mitochondrial acetyl K68

Publications (136)

Recent publications for all applications. Explore the full list and refine your search

Arthritis research & therapy 27:168 PubMed40846988

2025

Mitochondrial calcium uniporter promotes MSU crystal-induced inflammation through inducing mitochondrial Ca overload and ubiquitination of SIRT5 protein.

Applications

Unspecified application

Species

Unspecified reactive species

Qingqing Yu,Renjie Li,Guizhao Yang,Yan Xiao,Xingyu Liu,Yaxin Deng,Xiongyan Luo,Qian Dai,Mei Zeng

JBMR plus 9:ziaf092 PubMed40584154

2025

Sirtuin-3 promotes osteoclast maturation and bone loss by regulating mitochondrial ROS production during ionizing radiation exposure.

Applications

Unspecified application

Species

Unspecified reactive species

Gareeballah Osman Adam,Kimberly K Richardson,Ankita Chalke,Qiang Fu,Jeff D Thostenson,Hutomo Tanoto,Yuxiao Zhou,Nukhet Aykin-Burns,Ha-Neui Kim

ACS central science 11:704-718 PubMed40454347

2025

Unraveling Small Molecule-Mediated Sirtuin 3 Activation at a Distinct Binding Site for Cardioprotective Therapies.

Applications

Unspecified application

Species

Unspecified reactive species

Dan Zhang,Jifa Zhang,Chengyong Wu,Yao Xiao,Liwei Ji,Jiarui Hu,Jianjun Ding,Tao Li,Yiwen Zhang,Liang Ouyang

Brain sciences 15: PubMed40309794

2025

Association of TRPV1 and the SIRT3/SOD2 Signaling Pathway in Mononuclear Cells and Astrocyte-Derived Extracellular Vesicles in Patients with Schizophrenia.

Applications

Unspecified application

Species

Unspecified reactive species

Rui Xu,Hao Liu,Chang Shu,Yuan Li,Shijing Wang,Ying Xiong,Fashuai Chen,Xiaowei Wang,Huan Huang,Zhongchun Liu,Gaohua Wang,Huiling Wang

Molecular medicine (Cambridge, Mass.) 31:161 PubMed40307686

2025

Surfactant protein D alleviates chondrocytes senescence by upregulating SIRT3/SOD2 pathway in osteoarthritis.

Applications

Unspecified application

Species

Unspecified reactive species

Huanyu Jiang,Yantao Zhang,Piyao Ji,Jianghua Ming,Yaming Li,Yan Zhou

Frontiers in pharmacology 16:1558457 PubMed40235548

2025

Irisin protects against cerebral ischemia reperfusion injury in a SIRT3-dependent manner.

Applications

Unspecified application

Species

Unspecified reactive species

Yushuang Cong,Ruichun Guo,Chenglong Li,Qi Li,Sihua Qi

BMC women's health 25:164 PubMed40200350

2025

Silencing circRNA-ZFAND6 induces trophoblast apoptosis by activating the mitochondrial pathway through the miR-575/SOD2 axis in unexplained recurrent spontaneous abortion.

Applications

Unspecified application

Species

Unspecified reactive species

Wenting Wang,Linxiang Huang,Juan Lv,Zhijing Miao,Shuping Jin,Shan Li,Qing Cheng

Cell reports 44:115434 PubMed40131931

2025

SOD2 is a regulator of proteasomal degradation promoting an adaptive cellular starvation response.

Applications

Unspecified application

Species

Unspecified reactive species

Nurul Khalida Ibrahim,Sabine Schreek,Buesra Cinar,Anna Sophie Stasche,Su Hyun Lee,Andre Zeug,Tim Dolgner,Julia Niessen,Evgeni Ponimaskin,Halyna Shcherbata,Beate Fehlhaber,Jean-Pierre Bourquin,Beat Bornhauser,Martin Stanulla,Andreas Pich,Alejandro Gutierrez,Laura Hinze

The Journal of biological chemistry 301:108394 PubMed40074082

2025

Resveratrol reduces RVLM neuron activity via activating the AMPK/Sirt3 pathway in stress-induced hypertension.

Applications

Unspecified application

Species

Unspecified reactive species

Lin-Ping Wang,Tian-Feng Liu,Teng-Teng Dai,Xin Deng,Lei Tong,Qiang-Cheng Zeng,Qing He,Zhang-Yan Ren,Hai-Li Zhang,Hai-Sheng Liu,Yan-Fang Li,Wen-Zhi Li,Shuai Zhang,Dong-Shu Du

iScience 28:111553 PubMed39898027

2025

Superoxide dismutase promotes gastric tumorigenesis mediated by and enhances resistance to 5-fluorouracil in gastric cancer.

Applications

Unspecified application

Species

Unspecified reactive species

Hongbing Fu,Yu Zhang,Yantao Duan,Xin Zhang,Jun Yao,Dejun Yang,Ziran Wei,Zhenxin Zhu,Jiapeng Xu,Zunqi Hu,Qing You,Ronglin Yan,Weijun Wang
View all publications

Product promise

We are committed to supporting your work with high-quality reagents, and we're here for you every step of the way. In the unlikely event that one of our products does not perform as expected, you're protected by our Product Promise.
For full details, please see our Terms & Conditions

Please note: All products are 'FOR RESEARCH USE ONLY. NOT FOR USE IN DIAGNOSTIC OR THERAPEUTIC PROCEDURES'.

For licensing inquiries, please contact partnerships@abcam.com