JavaScript is disabled in your browser. Please enable JavaScript to view this website.
AB218529

Anti-SOD2/MnSOD (acetyl K68) antibody [EPVANR2] - BSA and Azide free

Be the first to review this product! Submit a review

|

(1 Publication)

Rabbit Recombinant Monoclonal SOD2/MnSOD acetyl K68 antibody. Carrier free. Suitable for IHC-P, Dot, WB and reacts with Human, Synthetic peptide, Mouse, Rat samples. Cited in 1 publication.

View Alternative Names

SOD2

6 Images
Immunohistochemistry (Formalin/PFA-fixed paraffin-embedded sections) - Anti-SOD2/MnSOD (acetyl K68) antibody [EPVANR2] - BSA and Azide free (AB218529)
  • IHC-P

Unknown

Immunohistochemistry (Formalin/PFA-fixed paraffin-embedded sections) - Anti-SOD2/MnSOD (acetyl K68) antibody [EPVANR2] - BSA and Azide free (AB218529)

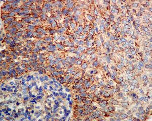
Immunohistochemistry (Formalin/PFA-fixed paraffin-embedded sections) analysis of Human cervical carcinoma tissue labelling SOD2 (acetyl K68) with unpurified ab137037 at 1/100 dilution.

This data was developed using the same antibody clone in a different buffer formulation containing PBS, BSA, glycerol, and sodium azide (ab137037).

Perform heat mediated antigen retrieval before commencing with IHC staining protocol.

Immunohistochemistry (Formalin/PFA-fixed paraffin-embedded sections) - Anti-SOD2/MnSOD (acetyl K68) antibody [EPVANR2] - BSA and Azide free (AB218529)
  • IHC-P

Unknown

Immunohistochemistry (Formalin/PFA-fixed paraffin-embedded sections) - Anti-SOD2/MnSOD (acetyl K68) antibody [EPVANR2] - BSA and Azide free (AB218529)

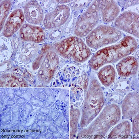
Immunohistochemistry (Formalin/PFA-fixed paraffin-embedded sections) analysis of mouse kidney tissue labelling SOD2 (acetyl K68) with purified ab137037 at 1/150. Heat mediated antigen retrieval was performed using Tris/EDTA buffer pH 9. ab97051, a goat anti-rabbit IgG H&L (HRP) was used as the secondary antibody (1/500). Negative control using PBS instead of primary antibody. Counterstained with hematoxylin.This data was developed using the same antibody clone in a different buffer formulation containing PBS, BSA, glycerol, and sodium azide (ab137037).

Immunohistochemistry (Formalin/PFA-fixed paraffin-embedded sections) - Anti-SOD2/MnSOD (acetyl K68) antibody [EPVANR2] - BSA and Azide free (AB218529)
  • IHC-P

Unknown

Immunohistochemistry (Formalin/PFA-fixed paraffin-embedded sections) - Anti-SOD2/MnSOD (acetyl K68) antibody [EPVANR2] - BSA and Azide free (AB218529)

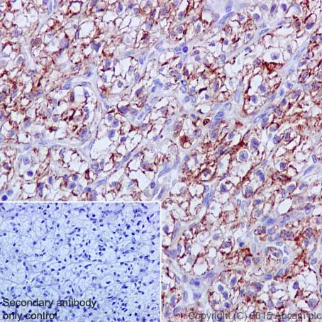
Immunohistochemistry (Formalin/PFA-fixed paraffin-embedded sections) analysis of human clear cell carcinoma kidney tissue labelling SOD2 (acetyl K68) with purified ab137037 at 1/150. Heat mediated antigen retrieval was performed using Tris/EDTA buffer pH 9. ab97051, a goat anti-rabbit IgG H&L (HRP) was used as the secondary antibody (1/500). Negative control using PBS instead of primary antibody. Counterstained with hematoxylin.This data was developed using the same antibody clone in a different buffer formulation containing PBS, BSA, glycerol, and sodium azide (ab137037).

Immunohistochemistry (Formalin/PFA-fixed paraffin-embedded sections) - Anti-SOD2/MnSOD (acetyl K68) antibody [EPVANR2] - BSA and Azide free (AB218529)
  • IHC-P

Unknown

Immunohistochemistry (Formalin/PFA-fixed paraffin-embedded sections) - Anti-SOD2/MnSOD (acetyl K68) antibody [EPVANR2] - BSA and Azide free (AB218529)

Immunohistochemistry (Formalin/PFA-fixed paraffin-embedded sections) analysis of Human muscle tissue labelling SOD2 (acetyl K68) with unpurified ab137037 at 1/100 dilution.

This data was developed using the same antibody clone in a different buffer formulation containing PBS, BSA, glycerol, and sodium azide (ab137037).

Perform heat mediated antigen retrieval before commencing with IHC staining protocol.

Immunohistochemistry (Formalin/PFA-fixed paraffin-embedded sections) - Anti-SOD2/MnSOD (acetyl K68) antibody [EPVANR2] - BSA and Azide free (AB218529)
  • IHC-P

Unknown

Immunohistochemistry (Formalin/PFA-fixed paraffin-embedded sections) - Anti-SOD2/MnSOD (acetyl K68) antibody [EPVANR2] - BSA and Azide free (AB218529)

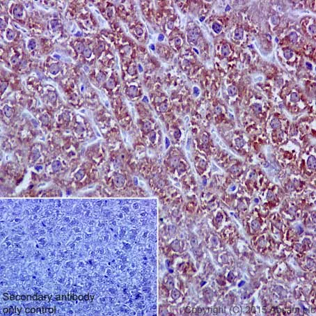
Immunohistochemistry (Formalin/PFA-fixed paraffin-embedded sections) analysis of rat liver tissue labelling SOD2 (acetyl K68) with purified ab137037 at 1/150. Heat mediated antigen retrieval was performed using Tris/EDTA buffer pH 9. ab97051, a goat anti-rabbit IgG H&L (HRP) was used as the secondary antibody (1/500). Negative control using PBS instead of primary antibody. Counterstained with hematoxylin.This data was developed using the same antibody clone in a different buffer formulation containing PBS, BSA, glycerol, and sodium azide (ab137037).

Dot Blot - Anti-SOD2/MnSOD (acetyl K68) antibody [EPVANR2] - BSA and Azide free (AB218529)
  • Dot

Lab

Dot Blot - Anti-SOD2/MnSOD (acetyl K68) antibody [EPVANR2] - BSA and Azide free (AB218529)

Dot blot analysis of SOD2 (acetyl K68) acetylated peptide (Lane 1), SOD2 Non-acetylated peptide (Lane 2), labelling SOD2 (acetyl K68) with ab137037 at a dilution of 1/1000.  Peroxidase conjugated goat anti-rabbit IgG (H+L) was used as the secondary antibody at a dilution of 1/2500.

Blocking and diluting buffer : 5% NFDM/TBST.

Exposure time : 3 minutes.

This data was developed using the same antibody clone in a different buffer formulation containing PBS, BSA, glycerol, and sodium azide (ab137037).

  • Unconjugated

    Anti-SOD2/MnSOD (acetyl K68) antibody [EPVANR2]

Key facts

Host species

Rabbit

Clonality

Monoclonal

Clone number

EPVANR2

Isotype

IgG

Carrier free

Yes

Reacts with

Mouse, Rat, Human

Applications

Dot, WB, IHC-P

applications

Immunogen

The exact immunogen used to generate this antibody is proprietary information.

Specificity

This antibody only detects SOD2/MnSOD when acetylated at Lysine 68. According to BLAST analysis, the antibody might cross-react with Fer (Uniprot P70451) isoform 3 in mouse samples. No experiment has been done to confirm this possibility.

Reactivity data

{ "title": "Reactivity Data", "filters": { "stats": ["", "Species", "Dilution Info", "Notes"], "tabs": { "all-applications": {"fullname" : "All Applications", "shortname": "All Applications"}, "IHCP" : {"fullname" : "Immunohistochemistry (Formalin/PFA-fixed paraffin-embedded sections)", "shortname":"IHC-P"}, "Dot" : {"fullname" : "Dot Blot", "shortname":"Dot"}, "WB" : {"fullname" : "Western blot", "shortname":"WB"} }, "product-promise": { "all": "all", "testedAndGuaranteed": "tested", "guaranteed": "expected", "predicted": "predicted", "notRecommended": "not-recommended" } }, "values": { "Human": { "IHCP-species-checked": "testedAndGuaranteed", "IHCP-species-dilution-info": "", "IHCP-species-notes": "<p></p>", "Dot-species-checked": "guaranteed", "Dot-species-dilution-info": "", "Dot-species-notes": "", "WB-species-checked": "guaranteed", "WB-species-dilution-info": "", "WB-species-notes": "<p></p>" }, "Mouse": { "IHCP-species-checked": "predicted", "IHCP-species-dilution-info": "", "IHCP-species-notes": "", "Dot-species-checked": "predicted", "Dot-species-dilution-info": "", "Dot-species-notes": "", "WB-species-checked": "guaranteed", "WB-species-dilution-info": "", "WB-species-notes": "<p></p>" }, "Rat": { "IHCP-species-checked": "predicted", "IHCP-species-dilution-info": "", "IHCP-species-notes": "", "Dot-species-checked": "predicted", "Dot-species-dilution-info": "", "Dot-species-notes": "", "WB-species-checked": "guaranteed", "WB-species-dilution-info": "", "WB-species-notes": "<p></p>" }, "Synthetic peptide": { "IHCP-species-checked": "notRecommended", "IHCP-species-dilution-info": "", "IHCP-species-notes": "", "Dot-species-checked": "testedAndGuaranteed", "Dot-species-dilution-info": "1/1000", "Dot-species-notes": "<p></p>", "WB-species-checked": "notRecommended", "WB-species-dilution-info": "", "WB-species-notes": "" } } }

Product details

ab218529 is the carrier-free version of ab137037.

This antibody was developed as part of a collaboration with the lab of David Guis at Vanderbilt University.

Patented technology
Our RabMAb® technology is a patented hybridoma-based technology for making rabbit monoclonal antibodies. For details on our patents, please refer to RabMAb® patents.

What are the advantages of a recombinant monoclonal antibody?
This product is a recombinant monoclonal antibody, which offers several advantages including:

  • - High batch-to-batch consistency and reproducibility
  • - Improved sensitivity and specificity
  • - Long-term security of supply
  • - Animal-free batch production

For more information, read more on recombinant antibodies.

Conjugation ready
Our carrier-free antibodies are typically supplied in a PBS-only formulation, purified and free of BSA, sodium azide and glycerol. This conjugation-ready format is designed for use with fluorochromes, metal isotopes, oligonucleotides, and enzymes, which makes them ideal for antibody labelling, functional and cell-based assays, flow-based assays (e.g. mass cytometry) and Multiplex Imaging applications.

Use our conjugation kits for antibody conjugates that are ready-to-use in as little as 20 minutes with 1 minute hands-on-time and 100% antibody recovery: available for fluorescent dyes, HRP, biotin and gold.

Compatibility
This product is compatible with the Maxpar® Antibody Labeling Kit from Fluidigm, without the need for antibody preparation. Maxpar® is a trademark of Fluidigm Canada Inc.

Properties and storage information

Form
Liquid
Purification technique
Affinity purification Protein A
Storage buffer
pH: 7.2 - 7.4 Constituents: PBS
Shipped at conditions
Blue Ice
Appropriate short-term storage conditions
+4°C
Appropriate long-term storage conditions
+4°C
Storage information
Do Not Freeze

Product protocols

For this product, it's our understanding that no specific protocols are required. You can visit:

Target data

Destroys superoxide anion radicals which are normally produced within the cells and which are toxic to biological systems.
See full target information Superoxide dismutase [Mn], mitochondrial acetyl K68

Publications (1)

Recent publications for all applications. Explore the full list and refine your search

PloS one 10:e0134391 PubMed26226624

2015

The Sirt1 Activators SRT2183 and SRT3025 Inhibit RANKL-Induced Osteoclastogenesis in Bone Marrow-Derived Macrophages and Down-Regulate Sirt3 in Sirt1 Null Cells.

Applications

Unspecified application

Species

Unspecified reactive species

Irina Gurt,Hanna Artsi,Einav Cohen-Kfir,Gilad Hamdani,Gal Ben-Shalom,Ben Feinstein,Madi El-Haj,Rivka Dresner-Pollak
View all publications

Product promise

We are committed to supporting your work with high-quality reagents, and we're here for you every step of the way. In the unlikely event that one of our products does not perform as expected, you're protected by our Product Promise.
For full details, please see our Terms & Conditions

Please note: All products are 'FOR RESEARCH USE ONLY. NOT FOR USE IN DIAGNOSTIC OR THERAPEUTIC PROCEDURES'.

For licensing inquiries, please contact partnerships@abcam.com