JavaScript is disabled in your browser. Please enable JavaScript to view this website.
AB300456

Anti-Sodium/calcium exchanger 2 antibody [EPR25106-37] - BSA and Azide free

Be the first to review this product! Submit a review

|

(0 Publication)

Rabbit Recombinant Monoclonal Sodium/calcium exchanger 2 antibody. Carrier free. Suitable for WB, IHC-P and reacts with Human, Mouse, Rat samples.

View Alternative Names

KIAA1087, NCX2, SLC8A2, Sodium/calcium exchanger 2, Na(+)/Ca(2+)-exchange protein 2, Solute carrier family 8 member 2

5 Images
Western blot - Anti-Sodium/calcium exchanger 2 antibody [EPR25106-37] - BSA and Azide free (AB300456)
  • WB

Supplier Data

Western blot - Anti-Sodium/calcium exchanger 2 antibody [EPR25106-37] - BSA and Azide free (AB300456)

This data was developed using ab300455, the same antibody clone in a different buffer formulation.

Blocking and diluting buffer and concentration : 5% NFDM/TBST

Samples are non-boiled as boiling may cause protein aggregates.

The expression profile/molecular weight observed is consistent with that described in the literature (PMID : 10767288, 24641279).

Low expression : human liver, mouse spleen, mouse liver(PMID : 8798769).

All lanes:

Western blot - Anti-Sodium/calcium exchanger 2 antibody [EPR25106-37] (<a href='/en-us/products/primary-antibodies/sodium-calcium-exchanger-2-antibody-epr25106-37-ab300455'>ab300455</a>) at 1/1000 dilution

Lane 1:

Human hypothalamus tissue lysate at 20 µg

Lane 2:

Human cerebellum tissue lysate at 20 µg

Lane 3:

Human liver tissue lysate at 20 µg

Lane 4:

Mouse brain tissue lysate, at 20 µg

Lane 5:

Mouse striatum tissue lysate at 20 µg

Lane 6:

Mouse spleen tissue lysate at 20 µg

Lane 7:

Mouse liver tissue lysate at 20 µg

Lane 8:

Rat striatum tissue lysate at 20 µg

Secondary

All lanes:

Western blot

Predicted band size: 100 kDa

Observed band size: 60 kDa,100-120 kDa,240 kDa

false

Exposure time: 26s

Immunohistochemistry (Formalin/PFA-fixed paraffin-embedded sections) - Anti-Sodium/calcium exchanger 2 antibody [EPR25106-37] - BSA and Azide free (AB300456)
  • IHC-P

Supplier Data

Immunohistochemistry (Formalin/PFA-fixed paraffin-embedded sections) - Anti-Sodium/calcium exchanger 2 antibody [EPR25106-37] - BSA and Azide free (AB300456)

This data was developed using ab300455, the same antibody clone in a different buffer formulation.Immunohistochemical analysis of paraffin-embedded Human cerebrum tissue labeling Sodium/calcium exchanger 2 with ab300455 at 1/100 (5.25 ug/ml) followed by a ready to use LeicaDS9800 (Bond™ Polymer Refine Detection) was used. Positive staining on human cerebrum (PMID : 12818181, PMID : 12722103). The section was incubated with ab300455 for 30 mins at room temperature.The immunostaining was performed on a Leica Biosystems BOND® RX instrument Counterstained with Hematoxylin. Secondary antibody only control : Secondary antibody is a ready to use LeicaDS9800 (Bond™ Polymer Refine Detection) was used.Heat mediated antigen retrieval with Tris-EDTA buffer (pH 9.0, epitope retrieval solution2) for 20 mins

Immunohistochemistry (Formalin/PFA-fixed paraffin-embedded sections) - Anti-Sodium/calcium exchanger 2 antibody [EPR25106-37] - BSA and Azide free (AB300456)
  • IHC-P

Supplier Data

Immunohistochemistry (Formalin/PFA-fixed paraffin-embedded sections) - Anti-Sodium/calcium exchanger 2 antibody [EPR25106-37] - BSA and Azide free (AB300456)

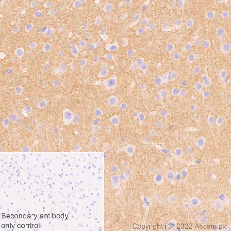
This data was developed using ab300455, the same antibody clone in a different buffer formulation.Immunohistochemical analysis of paraffin-embedded Rat cerebrum tissue labeling Sodium/calcium exchanger 2 with ab300455 at 1/2000 (0.263 ug/ml) followed by a ready to use LeicaDS9800 (Bond™ Polymer Refine Detection) was used. Positive staining on rat cerebrum (PMID : 12818181, PMID : 12722103). The section was incubated with ab300455 for 30 mins at room temperature.The immunostaining was performed on a Leica Biosystems BOND® RX instrument Counterstained with Hematoxylin. Secondary antibody only control : Secondary antibody is a ready to use LeicaDS9800 (Bond™ Polymer Refine Detection) was used.Heat mediated antigen retrieval with Tris-EDTA buffer (pH 9.0, epitope retrieval solution2) for 20 mins

Immunohistochemistry (Formalin/PFA-fixed paraffin-embedded sections) - Anti-Sodium/calcium exchanger 2 antibody [EPR25106-37] - BSA and Azide free (AB300456)
  • IHC-P

Supplier Data

Immunohistochemistry (Formalin/PFA-fixed paraffin-embedded sections) - Anti-Sodium/calcium exchanger 2 antibody [EPR25106-37] - BSA and Azide free (AB300456)

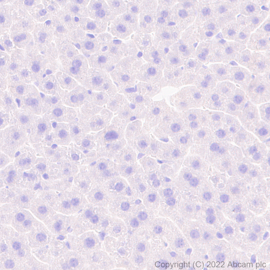
This data was developed using ab300455, the same antibody clone in a different buffer formulation.Immunohistochemical analysis of paraffin-embedded Human liver tissue labeling Sodium/calcium exchanger 2 with ab300455 at 1/2000 (0.263 ug/ml) followed by a ready to use LeicaDS9800 (Bond™ Polymer Refine Detection) was used. Negative control : no staining on human liver (PMID : 12722103). The section was incubated with ab300455 for 30 mins at room temperature.The immunostaining was performed on a Leica Biosystems BOND® RX instrument Counterstained with Hematoxylin. Secondary antibody only control : Secondary antibody is a ready to use LeicaDS9800 (Bond™ Polymer Refine Detection) was used.Heat mediated antigen retrieval with Tris-EDTA buffer (pH 9.0, epitope retrieval solution2) for 20 mins

Immunohistochemistry (Formalin/PFA-fixed paraffin-embedded sections) - Anti-Sodium/calcium exchanger 2 antibody [EPR25106-37] - BSA and Azide free (AB300456)
  • IHC-P

Supplier Data

Immunohistochemistry (Formalin/PFA-fixed paraffin-embedded sections) - Anti-Sodium/calcium exchanger 2 antibody [EPR25106-37] - BSA and Azide free (AB300456)

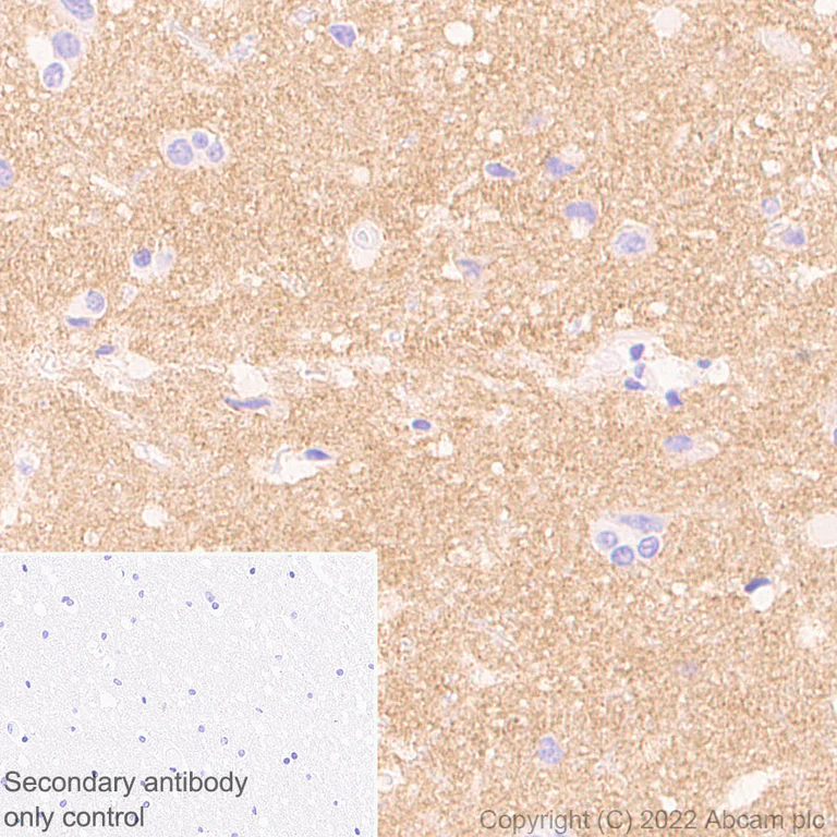
This data was developed using ab300455, the same antibody clone in a different buffer formulation.Immunohistochemical analysis of paraffin-embedded Mouse cerebrum tissue labeling Sodium/calcium exchanger 2 with ab300455 at 1/2000 (0.263 ug/ml) followed by a ready to use LeicaDS9800 (Bond™ Polymer Refine Detection) was used. Positive staining on mouse cerebrum (PMID : 12818181, PMID : 12722103). The section was incubated with ab300455 for 30 mins at room temperature.The immunostaining was performed on a Leica Biosystems BOND® RX instrument Counterstained with Hematoxylin. Secondary antibody only control : Secondary antibody is a ready to use LeicaDS9800 (Bond™ Polymer Refine Detection) was used.Heat mediated antigen retrieval with Tris-EDTA buffer (pH 9.0, epitope retrieval solution2) for 20 mins

Key facts

Host species

Rabbit

Clonality

Monoclonal

Clone number

EPR25106-37

Isotype

IgG

Carrier free

Yes

Reacts with

Human, Mouse, Rat

Applications

IHC-P, WB

applications

Immunogen

The exact immunogen used to generate this antibody is proprietary information.

Reactivity data

{ "title": "Reactivity Data", "filters": { "stats": ["", "Species", "Dilution Info", "Notes"], "tabs": { "all-applications": {"fullname" : "All Applications", "shortname": "All Applications"}, "WB" : {"fullname" : "Western blot", "shortname":"WB"}, "IHCP" : {"fullname" : "Immunohistochemistry (Formalin/PFA-fixed paraffin-embedded sections)", "shortname":"IHC-P"}, "IHCFr" : {"fullname" : "Immunohistochemistry (Frozen sections)", "shortname":"IHC-Fr"}, "ICCIF" : {"fullname" : "Immunocytochemistry/ Immunofluorescence", "shortname":"ICC/IF"}, "IP" : {"fullname" : "Immunoprecipitation", "shortname":"IP"}, "FlowCyt" : {"fullname" : "Flow Cytometry", "shortname":"Flow Cyt"} }, "product-promise": { "all": "all", "testedAndGuaranteed": "tested", "guaranteed": "expected", "predicted": "predicted", "notRecommended": "not-recommended" } }, "values": { "Human": { "WB-species-checked": "testedAndGuaranteed", "WB-species-dilution-info": "", "WB-species-notes": "<p></p>", "IHCP-species-checked": "testedAndGuaranteed", "IHCP-species-dilution-info": "", "IHCP-species-notes": "<p></p>", "IHCFr-species-checked": "notRecommended", "IHCFr-species-dilution-info": "", "IHCFr-species-notes": "", "ICCIF-species-checked": "notRecommended", "ICCIF-species-dilution-info": "", "ICCIF-species-notes": "<p></p>", "IP-species-checked": "notRecommended", "IP-species-dilution-info": "", "IP-species-notes": "<p></p>", "FlowCyt-species-checked": "notRecommended", "FlowCyt-species-dilution-info": "", "FlowCyt-species-notes": "<p></p>" }, "Mouse": { "WB-species-checked": "testedAndGuaranteed", "WB-species-dilution-info": "", "WB-species-notes": "<p></p>", "IHCP-species-checked": "testedAndGuaranteed", "IHCP-species-dilution-info": "", "IHCP-species-notes": "<p></p>", "IHCFr-species-checked": "notRecommended", "IHCFr-species-dilution-info": "", "IHCFr-species-notes": "<p></p>", "ICCIF-species-checked": "notRecommended", "ICCIF-species-dilution-info": "", "ICCIF-species-notes": "<p></p>", "IP-species-checked": "notRecommended", "IP-species-dilution-info": "", "IP-species-notes": "<p></p>", "FlowCyt-species-checked": "notRecommended", "FlowCyt-species-dilution-info": "", "FlowCyt-species-notes": "<p></p>" }, "Rat": { "WB-species-checked": "testedAndGuaranteed", "WB-species-dilution-info": "", "WB-species-notes": "<p></p>", "IHCP-species-checked": "testedAndGuaranteed", "IHCP-species-dilution-info": "", "IHCP-species-notes": "<p></p>", "IHCFr-species-checked": "notRecommended", "IHCFr-species-dilution-info": "", "IHCFr-species-notes": "<p></p>", "ICCIF-species-checked": "notRecommended", "ICCIF-species-dilution-info": "", "ICCIF-species-notes": "", "IP-species-checked": "notRecommended", "IP-species-dilution-info": "", "IP-species-notes": "", "FlowCyt-species-checked": "notRecommended", "FlowCyt-species-dilution-info": "", "FlowCyt-species-notes": "" } } }

Product details

Patented technology
Our RabMAb® technology is a patented hybridoma-based technology for making rabbit monoclonal antibodies. For details on our patents, please refer to RabMAb® patents.

What are the advantages of a recombinant monoclonal antibody?
This product is a recombinant monoclonal antibody, which offers several advantages including:

  • - High batch-to-batch consistency and reproducibility
  • - Improved sensitivity and specificity
  • - Long-term security of supply
  • - Animal-free batch production

For more information, read more on recombinant antibodies.

Conjugation ready
Our carrier-free antibodies are typically supplied in a PBS-only formulation, purified and free of BSA, sodium azide and glycerol. This conjugation-ready format is designed for use with fluorochromes, metal isotopes, oligonucleotides, and enzymes, which makes them ideal for antibody labelling, functional and cell-based assays, flow-based assays (e.g. mass cytometry) and Multiplex Imaging applications.

Use our conjugation kits for antibody conjugates that are ready-to-use in as little as 20 minutes with 1 minute hands-on-time and 100% antibody recovery: available for fluorescent dyes, HRP, biotin and gold.

Compatibility
This product is compatible with the Maxpar® Antibody Labeling Kit from Fluidigm, without the need for antibody preparation. Maxpar® is a trademark of Fluidigm Canada Inc.

Properties and storage information

Form
Liquid
Purification technique
Affinity purification Protein A
Storage buffer
pH: 7.2 - 7.4 Constituents: PBS
Shipped at conditions
Blue Ice
Appropriate short-term storage conditions
+4°C
Appropriate long-term storage conditions
+4°C
Storage information
Do Not Freeze

Supplementary information

This supplementary information is collated from multiple sources and compiled automatically.

The Sodium/calcium exchanger 2 (NCX2 or SLC8A2) is a protein that functions in the transportation of sodium (Na+) and calcium (Ca2+) ions across the plasma membrane. It operates by exchanging three sodium ions from the extracellular space with one calcium ion from the intracellular space effectively managing cellular calcium homeostasis. The protein has an approximate mass of 120 kDa. NCX2 is primarily expressed in the brain with significant levels in specific regions such as the hippocampus and cortex. This expression pattern implies a role in neural functions and signaling.
Biological function summary

The NCX2 protein plays a significant part in maintaining calcium ion concentration in neurons which is important for processes such as synaptic activity and plasticity. It forms part of a larger complex of membrane proteins interacting with other ion channels and exchangers to regulate the ionic balance and cellular responses. By extruding calcium NCX2 helps in preventing calcium overload that could lead to neuronal damage.

Pathways

The NCX2 protein is involved in calcium signaling and neurodegenerative pathways. In the calcium signaling pathway NCX2 interacts with other proteins like the L-type calcium channels modulating the influx and efflux of ions to sustain appropriate cellular functions. In neurodegenerative pathways NCX2’s role in calcium efflux associates it with other proteins that govern neuronal survival and apoptosis highlighting its involvement in cell death processes when dysregulated.

The malfunctioning of NCX2 is linked to certain neurodegenerative conditions such as Alzheimer’s disease and epilepsy. Research shows that disrupted NCX2 activity can lead to abnormal calcium accumulation contributing to neuronal degeneration and seizures. NCX2 is connected to the amyloid precursor protein (APP) through Alzheimer’s disease where excessive calcium can accelerate neurotoxic amyloid beta formation. In epilepsy altered NCX2 function can lead to excessive excitatory transmission due to an imbalance in calcium handling.

Product protocols

For this product, it's our understanding that no specific protocols are required. You can visit:

Target data

Mediates the electrogenic exchange of Ca(2+) against Na(+) ions across the cell membrane, and thereby contributes to the regulation of cytoplasmic Ca(2+) levels and Ca(2+)-dependent cellular processes. Contributes to cellular Ca(2+) homeostasis in excitable cells. Contributes to the rapid decrease of cytoplasmic Ca(2+) levels back to baseline after neuronal activation, and thereby contributes to modulate synaptic plasticity, learning and memory. Plays a role in regulating urinary Ca(2+) and Na(+) excretion.
See full target information SLC8A2

Product promise

We are committed to supporting your work with high-quality reagents, and we're here for you every step of the way. In the unlikely event that one of our products does not perform as expected, you're protected by our Product Promise.
For full details, please see our Terms & Conditions

Please note: All products are 'FOR RESEARCH USE ONLY. NOT FOR USE IN DIAGNOSTIC OR THERAPEUTIC PROCEDURES'.

For licensing inquiries, please contact partnerships@abcam.com