JavaScript is disabled in your browser. Please enable JavaScript to view this website.
AB167390

Anti-Sodium Potassium ATPase antibody [EP1845Y] - BSA and Azide free

5

(1 Review)

|

(19 Publications)

Anti-Sodium Potassium ATPase antibody [EP1845Y] - BSA and Azide free (ab167390) is a rabbit recombinant monoclonal antibody for Western Blot, Flow Cytometry, IHC-P, ICC/IF. Suitable for Chinese hamster, Human, Mouse, Rat.

- BSA, sodium azide, and glycerol-free for easy conjugation
- Biophysical QC for unrivalled batch-batch consistency

View Alternative Names

Sodium/potassium-transporting ATPase subunit alpha-1, Na(+)/K(+) ATPase alpha-1 subunit, Sodium pump subunit alpha-1, ATP1A1

17 Images
Flow Cytometry (Intracellular) - Anti-Sodium Potassium ATPase antibody [EP1845Y] - BSA and Azide free (AB167390)
  • Flow Cyt (Intra)

Unknown

Flow Cytometry (Intracellular) - Anti-Sodium Potassium ATPase antibody [EP1845Y] - BSA and Azide free (AB167390)

Overlay histogram showing HeLa cells stained with unpurified ab76020 (red line). The cells were fixed with 80% methanol (5 min) and incubated in 1x PBS / 10% normal goat serum / 0.3M glycine to block non-specific protein-protein interactions. The cells were then incubated with the antibody (ab76020, 1μg/1x106 cells) for 30 min at 22°C. The secondary antibody used was DyLight® 488 goat anti-rabbit IgG (H+L) (ab96899) at 1/500 dilution for 30 min at 22°C. Isotype control antibody (black line) was rabbit IgG (monoclonal) (1μg/1x106 cells) used under the same conditions. Acquisition of >5,000 events was performed.Please note that Abcam do not have any data for use of this antibody on non-fixed cells. We welcome any customer feedback.

This data was developed using the same antibody clone in a different buffer formulation containing PBS, BSA, glycerol, and sodium azide (ab76020).

Flow Cytometry (Intracellular) - Anti-Sodium Potassium ATPase antibody [EP1845Y] - BSA and Azide free (AB167390)
  • Flow Cyt (Intra)

Unknown

Flow Cytometry (Intracellular) - Anti-Sodium Potassium ATPase antibody [EP1845Y] - BSA and Azide free (AB167390)

Clone EP1845Y (ab167390) has been successfully conjugated by Abcam. This image was generated using Anti-Sodium Potassium ATPase antibody [EP1845Y] - Plasma Membrane Loading Control (PE). Please refer to ab209299 for protocol details.

Overlay histogram showing HeLa cells stained with ab209299 (red line). The cells were fixed with 80% methanol (5 min) and then permeabilized with 0.1% PBS-Triton X-100 for 15 min. The cells were then incubated in 1x PBS / 10% normal goat serum to block non-specific protein-protein interactions followed by the antibody (ab209299, 1/2500 dilution) for 30 min at 22°C.

Isotype control antibody (black line) was rabbit IgG (monoclonal) Phycoerythrin (ab209478) used at the same concentration and conditions as the primary antibody. Unlabelled sample (blue line) was also used as a control.

Acquisition of >5,000 events were collected using a 50mW Yellow-Green laser (561nm) and 586/15 bandpass filter.

This antibody gave a positive signal in HeLa cells fixed with 4% formaldehyde (10 min)/permeabilized with 0.1% PBS-Triton X-100 for 15 min used under the same conditions.

Immunocytochemistry/ Immunofluorescence - Anti-Sodium Potassium ATPase antibody [EP1845Y] - BSA and Azide free (AB167390)
  • ICC/IF

Unknown

Immunocytochemistry/ Immunofluorescence - Anti-Sodium Potassium ATPase antibody [EP1845Y] - BSA and Azide free (AB167390)

Clone EP1845Y (ab167390) has been successfully conjugated by Abcam. This image was generated using Anti-Sodium Potassium ATPase antibody [EP1845Y] - Plasma Membrane Marker (Alexa Fluor® 647). Please refer to ab198367 for protocol details.

ab198367 staining Sodium Potassium ATPase in HeLa cells. The cells were fixed with 100% methanol (5 min), permeabilized with 0.1% Triton X-100 for 5 minutes and then blocked with 1% BSA/10% normal goat serum/0.3M glycine in 0.1% PBS-Tween for 1h. The cells were then incubated overnight at +4°C with ab198367 at a 1/100 dilution (shown in red) and ab195887, Mouse monoclonal to alpha Tubulin (Alexa Fluor® 488), at a 1/250 dilution (shown in green). Nuclear DNA was labelled with DAPI (shown in blue).

Image was taken with a confocal microscope (Leica-Microsystems, TCS SP8).

Immunocytochemistry/ Immunofluorescence - Anti-Sodium Potassium ATPase antibody [EP1845Y] - BSA and Azide free (AB167390)
  • ICC/IF

PubMed

Immunocytochemistry/ Immunofluorescence - Anti-Sodium Potassium ATPase antibody [EP1845Y] - BSA and Azide free (AB167390)

T84 cells (human) cultured on 8-well chamber slides were washed once with ice-cold PBS then fixed with 4% paraformaldehyde for 30 min at 4°C. After fixation cells were permeabilized with 0.5% Triton X-100 for 5 min at room temperature and washed with PBS three times. Following blocking with 2% FCS in PBS for 1 hour at room temperature primary antibody staining was performed at 4°C overnight at 1/200 dilution. Cells were then incubated with protein fractions B12 and C5 at 5x dilutions in fresh media for 1 hour at 37°C. Cells were then fixed permeabilized and co-stained with fiber and sodium potassium ATPase. The nuclei were stained with DAPI using Vectachield mounting medium. Cells were visualized using Zeiss confocal microscopy LSM700.

Fiber molecules were found to be predominantly intracellularly following B12 treatment.

For full image see PubMed : 25723153.

This data was developed using the same antibody clone in a different buffer formulation containing PBS, BSA, glycerol, and sodium azide (ab76020).

Zhang B et al., PLoS One, 10, e0117976, 2015 Reproduced under the Creative Commons license http://creativecommons.org/licenses/by/4.0/

Immunohistochemistry (Formalin/PFA-fixed paraffin-embedded sections) - Anti-Sodium Potassium ATPase antibody [EP1845Y] - BSA and Azide free (AB167390)
  • IHC-P

Unknown

Immunohistochemistry (Formalin/PFA-fixed paraffin-embedded sections) - Anti-Sodium Potassium ATPase antibody [EP1845Y] - BSA and Azide free (AB167390)

Immunohistochemical staining of Sodium Potassium ATPase in paraffin embedded human stomach carcinoma tissue with unpurified ab76020, at a 1/100 dilution.

This data was developed using the same antibody clone in a different buffer formulation containing PBS, BSA, glycerol, and sodium azide (ab76020).

Flow Cytometry (Intracellular) - Anti-Sodium Potassium ATPase antibody [EP1845Y] - BSA and Azide free (AB167390)
  • Flow Cyt (Intra)

Unknown

Flow Cytometry (Intracellular) - Anti-Sodium Potassium ATPase antibody [EP1845Y] - BSA and Azide free (AB167390)

Overlay histogram showing HeLa cells fixed in 80% methanoland stained with purified ab76020 at a dilution of 1 in 100 (red line). The secondary antibody used was FITC goat anti-rabbit at a dilution of 1 in 150. Rabbit monoclonal IgG was used as an isotype control (black line) and the blue line shows cells incubated without primary or secondary antibody.

This data was developed using the same antibody clone in a different buffer formulation containing PBS, BSA, glycerol, and sodium azide (ab76020).

Immunocytochemistry/ Immunofluorescence - Anti-Sodium Potassium ATPase antibody [EP1845Y] - BSA and Azide free (AB167390)
  • ICC/IF

Unknown

Immunocytochemistry/ Immunofluorescence - Anti-Sodium Potassium ATPase antibody [EP1845Y] - BSA and Azide free (AB167390)

Clone EP1845Y (ab167390) has been successfully conjugated by Abcam. This image was generated using Anti-Sodium Potassium ATPase antibody [EP1845Y] - Plasma Membrane Marker (Alexa Fluor® 488). Please refer to ab197713 for protocol details.

ab197713 staining Sodium Potassium ATPase in HeLa cells. The cells were fixed with 100% methanol (5 min), permeabilized with 0.1% Triton X-100 for 5 minutes and then blocked with 1% BSA/10% normal goat serum/0.3M glycine in 0.1% PBS-Tween for 1h. The cells were then incubated overnight at +4°C with ab197713 at a 1/50 dilution (shown in green) and ab195889, Mouse monoclonal to alpha Tubulin (Alexa Fluor® 594), at a 1/250 dilution (shown in red). Nuclear DNA was labelled with DAPI (shown in blue).

Image was taken with a confocal microscope (Leica-Microsystems, TCS SP8).

Immunocytochemistry/ Immunofluorescence - Anti-Sodium Potassium ATPase antibody [EP1845Y] - BSA and Azide free (AB167390)
  • ICC/IF

Unknown

Immunocytochemistry/ Immunofluorescence - Anti-Sodium Potassium ATPase antibody [EP1845Y] - BSA and Azide free (AB167390)

Immunocytochemistry/Immunofluorescence analysis of MCF-7 (human breast carcinoma) cells labelling Sodium Potassium ATPase with purified ab76020 at 1/500 dilution. Cells were fixed with 100% methanol. ab150077 Alexa Fluor® 488-conjugated goat anti-rabbit IgG (1/1000 dilution) was used as the secondary antibody. Nuclei were counterstained with DAPI (blue).

Secondary Only Control : PBS was used instead of the primary antibody as the negative control.

This data was developed using the same antibody clone in a different buffer formulation containing PBS, BSA, glycerol, and sodium azide (ab76020).

Immunohistochemistry (Formalin/PFA-fixed paraffin-embedded sections) - Anti-Sodium Potassium ATPase antibody [EP1845Y] - BSA and Azide free (AB167390)
  • IHC-P

Unknown

Immunohistochemistry (Formalin/PFA-fixed paraffin-embedded sections) - Anti-Sodium Potassium ATPase antibody [EP1845Y] - BSA and Azide free (AB167390)

Immunohistochemical staining of paraffin embedded human cervical carcinoma with purified ab76020 at a working dilution of 1 in 100. The secondary antibody used is a HRP conjugated goat anti-rabbit IgG (H+L), ab97051, at a dilution of 1/500. The sample is counter-stained with hematoxylin. Antigen retrieval was perfomed using Tris-EDTA buffer, pH 9.0. PBS was used instead of the primary antibody as the negative control, and is shown in the inset.

This data was developed using the same antibody clone in a different buffer formulation containing PBS, BSA, glycerol, and sodium azide (ab76020).

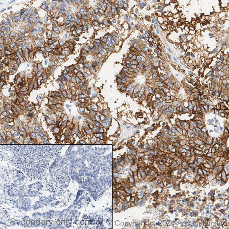
Immunohistochemistry (Formalin/PFA-fixed paraffin-embedded sections) - Anti-Sodium Potassium ATPase antibody [EP1845Y] - BSA and Azide free (AB167390)
  • IHC-P

Lab

Immunohistochemistry (Formalin/PFA-fixed paraffin-embedded sections) - Anti-Sodium Potassium ATPase antibody [EP1845Y] - BSA and Azide free (AB167390)

Immunohistochemical analysis of formalin fixed paraffin embedded human stomach adenocarcinoma labelling Sodium Potassium ATPase with ab167390 at a concentration of 0.01µg/ml. The immunostaining was performed on a Ventana DISCOVERY ULTRA (Roche Tissue Diagnostics) instrument with a OptiView DAB IHC Detection Kit. Heat mediated antigen retrieval was performed with DISCOVERY cell conditioning solution (CC1) 100°C, pH8.5 for 32mins.

Anti-Sodium Potassium ATPase antibody [EP1845Y] ab167390 was incubated for 16mins at 37°C. Sections were counterstained with Hematoxylin II. Image inset shows absence of staining in secondary antibody only control.

Customers are encouraged to optimise antigen retrieval conditions, antibody concentration, incubation times and temperature for best results in their own IHC assay workflow (automated and manual).

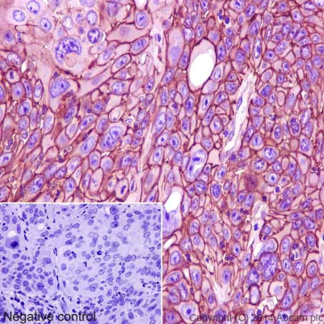
Immunohistochemistry (Formalin/PFA-fixed paraffin-embedded sections) - Anti-Sodium Potassium ATPase antibody [EP1845Y] - BSA and Azide free (AB167390)
  • IHC-P

Unknown

Immunohistochemistry (Formalin/PFA-fixed paraffin-embedded sections) - Anti-Sodium Potassium ATPase antibody [EP1845Y] - BSA and Azide free (AB167390)

Immunohistochemical staining of paraffin embedded mouse liver with purified ab76020 at a working dilution of 1 in 100. The secondary antibody used is a HRP conjugated goat anti-rabbit IgG (H+L) ab97051 at a dilution of 1/500. The sample is counter-stained with hematoxylin. Antigen retrieval was perfomed using Tris-EDTA buffer pH 9.0. PBS was used instead of the primary antibody as the negative control and is shown in the inset.

This data was developed using the same antibody clone in a different buffer formulation containing PBS, BSA, glycerol, and sodium azide (ab76020).

Immunohistochemistry (Formalin/PFA-fixed paraffin-embedded sections) - Anti-Sodium Potassium ATPase antibody [EP1845Y] - BSA and Azide free (AB167390)
  • IHC-P

PubMed

Immunohistochemistry (Formalin/PFA-fixed paraffin-embedded sections) - Anti-Sodium Potassium ATPase antibody [EP1845Y] - BSA and Azide free (AB167390)

ab76020 staining Sodium Potassium ATPase in lung epithelia (top) and bronchiolar epithelia (bottom) from Mouse lung tissue sections by Immunohistochemistry ((IHC) - paraffin-embedded sections). Sections were deparaffined at 60°C and rehydrated by successive incubations in 100% xylol, 100% ethanol and 96% ethanol. Samples were then permeabilized with 0.25% Triton X-100 in PBS for 15 minutes and blocked with 10% bovine serum albumin (BSA) and 0.25% Triton X-100 in PBS for 30 minutes. Samples were incubated with primary antibody (1/100 in 0.25% Triton X-100 and 10% BSA in PBS) for 1 hour 30 minutes at room temperature. An Alexa Fluor®488-conjugated Goat anti-mouse antibody was used as the secondary antibody.

This data was developed using the same antibody clone in a different buffer formulation containing PBS, BSA, glycerol, and sodium azide (ab76020).

Image from Nieto-Torres JL et al. PLoS Pathog. 2014;10(5):e1004077. Fig 11.; doi: 10.1371/journal.ppat.1004077.

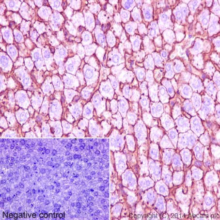
Immunohistochemistry (Formalin/PFA-fixed paraffin-embedded sections) - Anti-Sodium Potassium ATPase antibody [EP1845Y] - BSA and Azide free (AB167390)
  • IHC-P

Unknown

Immunohistochemistry (Formalin/PFA-fixed paraffin-embedded sections) - Anti-Sodium Potassium ATPase antibody [EP1845Y] - BSA and Azide free (AB167390)

Immunohistochemical staining of paraffin embedded rat kidney with purified ab76020 at a dilution of 1/100. The secondary antibody used is a HRP conjugated goat anti-rabbit IgG (H+L), ab97051, at a dilution of 1/500. The sample is counter-stained with hematoxylin. Antigen retrieval was perfomed using Tris-EDTA buffer, pH 9.0. PBS was used instead of the primary antibody as the negative control, and is shown in the inset.

This data was developed using the same antibody clone in a different buffer formulation containing PBS, BSA, glycerol, and sodium azide (ab76020).

Western blot - Anti-Sodium Potassium ATPase antibody [EP1845Y] - BSA and Azide free (AB167390)
  • WB

Lab

Western blot - Anti-Sodium Potassium ATPase antibody [EP1845Y] - BSA and Azide free (AB167390)

Blocking buffer and concentration : 5% NFDM/TBST

Diluting buffer and concentration : 5% NFDM/TBST

All lanes:

Western blot - Anti-Sodium Potassium ATPase antibody [EP1845Y] - BSA and Azide free (ab167390)

All lanes:

MCF-7 (human breast carcinoma) whole cell lysate at 15 µg

Secondary

All lanes:

Western blot - Goat Anti-Rabbit IgG H&L (HRP) (<a href='/en-us/products/secondary-antibodies/goat-rabbit-igg-h-l-hrp-ab97051'>ab97051</a>)

Predicted band size: 113 kDa,14 kDa,54 kDa

Observed band size: 100 kDa,14 kDa,74 kDa

false

Exposure time: 8s

Western blot - Anti-Sodium Potassium ATPase antibody [EP1845Y] - BSA and Azide free (AB167390)
  • WB

Lab

Western blot - Anti-Sodium Potassium ATPase antibody [EP1845Y] - BSA and Azide free (AB167390)

This data was produced using ab76020, the same antibody clone in a different formulation.

Blocking and diluting buffer : 5% NFDM/TBST.

We suggest not to boil the sample after lysis.

All lanes:

Western blot - Anti-Sodium Potassium ATPase antibody [EP1845Y] - BSA and Azide free (ab167390) at 1/100000 dilution

Lane 1:

HeLa (Human cervix adenocarcinoma epithelial cell) whole cell lysates at 20 µg

Lane 2:

MCF-7 (Human breast adenocarcinoma epithelial cell) whole cell lysates at 20 µg

Lane 3:

HEK-293 (Human embryonic kidney epithelial cell) whole cell lysates at 20 µg

Lane 4:

A431 (Human epidermoid carcinoma epithelial cell) whole cell lysates at 20 µg

Secondary

All lanes:

Goat Anti-Rabbit IgG, (H+L), Peroxidase conjugated at 1/20000 dilution

Predicted band size: 113 kDa

Observed band size: 100 kDa

false

Exposure time: 2min

Western blot - Anti-Sodium Potassium ATPase antibody [EP1845Y] - BSA and Azide free (AB167390)
  • WB

Lab

Western blot - Anti-Sodium Potassium ATPase antibody [EP1845Y] - BSA and Azide free (AB167390)

This data was produced using ab76020, the same antibody clone in a different formulation.

Blocking buffer : 5% NFDM/TBST

Dilution buffer : 5% NFDM/TBST

We suggest not to boil the sample after lysis.

All lanes:

Western blot - Anti-Sodium Potassium ATPase antibody [EP1845Y] - BSA and Azide free (ab167390) at 1/100000 dilution

Lane 1:

CHO (Chinese hamster ovary cell line) cell lysate at 20 µg

Lane 2:

C6 (Rat glial tumor cell line) cell lysate at 20 µg

Lane 3:

Mouse brain at 20 µg

Secondary

All lanes:

HRP goat anti-rabbit (H+L) at 1/1000 dilution

Predicted band size: 113 kDa

Observed band size: 100 kDa

false

Western blot - Anti-Sodium Potassium ATPase antibody [EP1845Y] - BSA and Azide free (AB167390)
  • WB

Lab

Western blot - Anti-Sodium Potassium ATPase antibody [EP1845Y] - BSA and Azide free (AB167390)

This data was produced using ab76020, the same antibody clone in a different formulation

Blocking/Diluting buffer and concentration 5% NFDM/TBST

We suggest not to boil the sample after lysis.

All lanes:

Western blot - Anti-Sodium Potassium ATPase antibody [EP1845Y] - BSA and Azide free (ab167390) at 1/100000 dilution

Lane 1:

HeLa (Human cervix adenocarcinoma epithelial cell) whole cell lysate prepared from RIPA lysis method at 15 µg

Lane 2:

HeLa whole cell lysate prepared from 1% SDS HOT lysis method at 15 µg

Lane 3:

HeLa whole cell lysate prepared from RIPA lysis method at 15 µg

Lane 4:

HeLa whole cell lysate prepared from 1%SDS HOT lysis method at 15 µg

Lane 5:

Raw264.7 (Mouse abelson murine leukemia virus-induced tumor) whole cell lysate prepared from RIPA lysis method at 15 µg

Lanes 6 and 8:

Raw264.7 whole cell lysate prepared from 1%SDS HOT lysis method at 15 µg

Lane 7:

Raw264.7 whole cell lysate prepared from RIPA lysis method at 15 µg

Secondary

All lanes:

Western blot - Goat Anti-Rabbit IgG H&L (HRP) (<a href='/en-us/products/secondary-antibodies/goat-rabbit-igg-h-l-hrp-ab97051'>ab97051</a>) at 1/20000 dilution

Predicted band size: 113 kDa

Observed band size: 100 kDa

false

Exposure time: 10s

Key facts

Host species

Rabbit

Clonality

Monoclonal

Clone number

EP1845Y

Isotype

IgG

Carrier free

Yes

Reacts with

Mouse, Rat, Human, Chinese hamster

Applications

WB, Flow Cyt (Intra), IHC-P, ICC/IF

applications

Immunogen

The exact immunogen used to generate this antibody is proprietary information.

Specificity

This antibody recognizes an intracellular epitope of Sodium/potassium-transporting ATPase alpha-1 subunit.

Reactivity data

{ "title": "Reactivity Data", "filters": { "stats": ["", "Species", "Dilution Info", "Notes"], "tabs": { "all-applications": {"fullname" : "All Applications", "shortname": "All Applications"}, "WB" : {"fullname" : "Western blot", "shortname":"WB"}, "FlowCytIntra" : {"fullname" : "Flow Cytometry (Intracellular)", "shortname":"Flow Cyt (Intra)"}, "ICCIF" : {"fullname" : "Immunocytochemistry/ Immunofluorescence", "shortname":"ICC/IF"}, "IHCP" : {"fullname" : "Immunohistochemistry (Formalin/PFA-fixed paraffin-embedded sections)", "shortname":"IHC-P"} }, "product-promise": { "all": "all", "testedAndGuaranteed": "tested", "guaranteed": "expected", "predicted": "predicted", "notRecommended": "not-recommended" } }, "values": { "Human": { "WB-species-checked": "testedAndGuaranteed", "WB-species-dilution-info": "", "WB-species-notes": "<p>Please refer to the original abID, <a href='/en-us/products/primary-antibodies/sodium-potassium-atpase-antibody-ep1845y-plasma-membrane-loading-control-ab76020'>ab76020</a>, for information on recommended dilutions.</p>", "FlowCytIntra-species-checked": "testedAndGuaranteed", "FlowCytIntra-species-dilution-info": "", "FlowCytIntra-species-notes": "<p>Please refer to the original abID, <a href='/en-us/products/primary-antibodies/sodium-potassium-atpase-antibody-ep1845y-plasma-membrane-loading-control-ab76020'>ab76020</a>, for information on recommended dilutions.</p>", "ICCIF-species-checked": "testedAndGuaranteed", "ICCIF-species-dilution-info": "", "ICCIF-species-notes": "<p>Please refer to the original abID, <a href='/en-us/products/primary-antibodies/sodium-potassium-atpase-antibody-ep1845y-plasma-membrane-loading-control-ab76020'>ab76020</a>, for information on recommended dilutions.</p>", "IHCP-species-checked": "testedAndGuaranteed", "IHCP-species-dilution-info": "", "IHCP-species-notes": "<p>Please refer to the original abID, <a href='/en-us/products/primary-antibodies/sodium-potassium-atpase-antibody-ep1845y-plasma-membrane-loading-control-ab76020'>ab76020</a>, for information on recommended dilutions.</p>" }, "Mouse": { "WB-species-checked": "testedAndGuaranteed", "WB-species-dilution-info": "", "WB-species-notes": "<p>Please refer to the original abID, <a href='/en-us/products/primary-antibodies/sodium-potassium-atpase-antibody-ep1845y-plasma-membrane-loading-control-ab76020'>ab76020</a>, for information on recommended dilutions.</p>", "FlowCytIntra-species-checked": "guaranteed", "FlowCytIntra-species-dilution-info": "", "FlowCytIntra-species-notes": "", "ICCIF-species-checked": "guaranteed", "ICCIF-species-dilution-info": "", "ICCIF-species-notes": "", "IHCP-species-checked": "testedAndGuaranteed", "IHCP-species-dilution-info": "", "IHCP-species-notes": "<p>Please refer to the original abID, <a href='/en-us/products/primary-antibodies/sodium-potassium-atpase-antibody-ep1845y-plasma-membrane-loading-control-ab76020'>ab76020</a>, for information on recommended dilutions.</p>" }, "Rat": { "WB-species-checked": "testedAndGuaranteed", "WB-species-dilution-info": "", "WB-species-notes": "<p>Please refer to the original abID, <a href='/en-us/products/primary-antibodies/sodium-potassium-atpase-antibody-ep1845y-plasma-membrane-loading-control-ab76020'>ab76020</a>, for information on recommended dilutions.</p>", "FlowCytIntra-species-checked": "guaranteed", "FlowCytIntra-species-dilution-info": "", "FlowCytIntra-species-notes": "", "ICCIF-species-checked": "guaranteed", "ICCIF-species-dilution-info": "", "ICCIF-species-notes": "", "IHCP-species-checked": "testedAndGuaranteed", "IHCP-species-dilution-info": "", "IHCP-species-notes": "<p>Please refer to the original abID, <a href='/en-us/products/primary-antibodies/sodium-potassium-atpase-antibody-ep1845y-plasma-membrane-loading-control-ab76020'>ab76020</a>, for information on recommended dilutions.</p>" }, "Chinese hamster": { "WB-species-checked": "testedAndGuaranteed", "WB-species-dilution-info": "", "WB-species-notes": "<p>Please refer to the original abID, <a href='/en-us/products/primary-antibodies/sodium-potassium-atpase-antibody-ep1845y-plasma-membrane-loading-control-ab76020'>ab76020</a>, for information on recommended dilutions.</p>", "FlowCytIntra-species-checked": "guaranteed", "FlowCytIntra-species-dilution-info": "", "FlowCytIntra-species-notes": "", "ICCIF-species-checked": "guaranteed", "ICCIF-species-dilution-info": "", "ICCIF-species-notes": "", "IHCP-species-checked": "guaranteed", "IHCP-species-dilution-info": "", "IHCP-species-notes": "" }, "Tilapia": { "WB-species-checked": "predicted", "WB-species-dilution-info": "", "WB-species-notes": "", "FlowCytIntra-species-checked": "predicted", "FlowCytIntra-species-dilution-info": "", "FlowCytIntra-species-notes": "", "ICCIF-species-checked": "predicted", "ICCIF-species-dilution-info": "", "ICCIF-species-notes": "", "IHCP-species-checked": "predicted", "IHCP-species-dilution-info": "", "IHCP-species-notes": "" } } }

Product details

What is this antibody validated in?
Anti-Sodium Potassium ATPase antibody [EP1845Y] - BSA and Azide free (ab167390) is a rabbit recombinant monoclonal antibody and is validated for use in Western Blot (WB), Flow Cytometry (Intra), Flow Cytometry (Flow Cyt), Immunohistochemistry (IHC-P), Immunocytochemistry/immunofluorescence (ICC/IF) in Chinese hamster, Human, Mouse, Rat samples.

What is the molecular weight of Sodium Potassium ATPase?
Anti-Sodium Potassium ATPase [EP1845Y] - BSA and Azide free (ab167390) specifically detects a band for Sodium Potassium ATPase (UniProt: P05023) at a molecular weight of 113kDa.

Other related products
We have a range of other formats of antibody clone [EP1845Y] also available for your convenience: ab76020, Carrier free - ab167390, HRP - ab185065, Alexa Fluor® 488 - ab197713, Biotin - ab198366, Alexa Fluor® 647 - ab198367, PE - ab209299, Alexa Fluor® 405 - ab210143, Alexa Fluor® 555 - ab274883, ab283318, Carrier free - ab283340, Carrier free - ab283341, ab283345, APC - ab314288

Patented technology
Our RabMAb® technology is a patented hybridoma-based technology for making rabbit monoclonal antibodies. For details on our patents, please refer to RabMAb® patents.

What are the advantages of a recombinant monoclonal antibody?
This product is a recombinant monoclonal antibody, which offers several advantages including:

  • - High batch-to-batch consistency and reproducibility
  • - Improved sensitivity and specificity
  • - Long-term security of supply
  • - Animal-free batch production

For more information, read more on recombinant antibodies.

Conjugation ready
Our carrier-free antibodies are typically supplied in a PBS-only formulation, purified and free of BSA, sodium azide and glycerol. This conjugation-ready format is designed for use with fluorochromes, metal isotopes, oligonucleotides, and enzymes, which makes them ideal for antibody labelling, functional and cell-based assays, flow-based assays (e.g. mass cytometry) and Multiplex Imaging applications.

Use our conjugation kits for antibody conjugates that are ready-to-use in as little as 20 minutes with 1 minute hands-on-time and 100% antibody recovery: available for fluorescent dyes, HRP, biotin and gold.

Compatibility
This product is compatible with the Maxpar® Antibody Labeling Kit from Fluidigm, without the need for antibody preparation. Maxpar® is a trademark of Fluidigm Canada Inc.

Properties and storage information

Form
Liquid
Purification technique
Affinity purification Protein A
Storage buffer
Constituents: PBS
Shipped at conditions
Blue Ice
Appropriate short-term storage conditions
+4°C
Appropriate long-term storage conditions
+4°C
Storage information
Do Not Freeze

Supplementary information

This supplementary information is collated from multiple sources and compiled automatically.

The Sodium Potassium ATPase also known as Na/K-ATPase or NaK Pump is an essential enzyme that performs active transport of sodium (Na+) and potassium (K+) ions across the plasma membrane. This transmembrane protein has a molecular weight typically ranging from 100 to 120 kDa. It is expressed in most cell types particularly abundant in nerve and muscle cells. The ATPase hydrolyzes ATP to drive the exchange of three intracellular sodium ions for two extracellular potassium ions maintaining vital gradients across the cell membrane.
Biological function summary

The Na/K ATPase plays an important role in maintaining cellular homeostasis and membrane potential. It is an integral component of the cell membrane often operating as part of larger multiprotein complexes. This pump is responsible for providing the driving force behind secondary transport systems by maintaining ionic gradients. The presence of Na/K ATPase is also important for the functioning of the nervous system as it helps propagate action potentials in neurons.

Pathways

The Na/K ATPase is integral to the regulation of cardiac contraction and nerve signal transmission. It participates in pathways like the cardiac glycoside pharmacodynamics and the sodium ion transport pathway. It interacts with proteins such as ankyrin which link the ATPase to the cellular cytoskeleton facilitating its distribution and stability within the cell membrane. These interactions are significant for ensuring precise ion homeostasis and efficient cellular operation.

Na/K ATPase is linked to conditions such as hypertension and congestive heart failure. These diseases are associated with improper functioning or regulation of the ATPase which affects sodium and potassium balance and blood pressure regulation. The target also interacts with the protein PLM (phospholemman) which modulates its activity under different physiological and pathological conditions. Malfunction or mutations in the genes encoding Na/K ATPase subunits can contribute to neurological and cardiovascular disorders making it a therapeutic target in associated treatment strategies.

Product protocols

For this product, it's our understanding that no specific protocols are required. You can visit:

Target data

This is the catalytic component of the active enzyme, which catalyzes the hydrolysis of ATP coupled with the exchange of sodium and potassium ions across the plasma membrane. This action creates the electrochemical gradient of sodium and potassium ions, providing the energy for active transport of various nutrients (PubMed : 29499166, PubMed : 30388404). Could also be part of an osmosensory signaling pathway that senses body-fluid sodium levels and controls salt intake behavior as well as voluntary water intake to regulate sodium homeostasis (By similarity).
See full target information ATP1A1

Publications (19)

Recent publications for all applications. Explore the full list and refine your search

Cell reports. Medicine 6:102299 PubMed40834854

2025

AI-driven multimodal algorithm predicts immunotherapy and targeted therapy outcomes in clear cell renal cell carcinoma.

Applications

Unspecified application

Species

Unspecified reactive species

Danil Stupichev,Natalia Miheecheva,Ekaterina Postovalova,Yang Lyu,Akshaya Ramachandran,Ilya Galkin,Gleb Khegai,Kristina Perevoshchikova,Anna Love,Sofia Menshikova,Artem Tarasov,Viktor Svekolkin,Maria Bruttan,Arina Varlamova,Kirill Kriukov,Ravshan Ataullakhanov,Nathan Fowler,Emily Cheng,Alexander Bagaev,James J Hsieh

Life metabolism 4:loaf014 PubMed40589731

2025

DHHC5 regulates lacteal function and intestinal lipid absorption by maintaining VEGFR2 localization in lipid rafts.

Applications

Unspecified application

Species

Unspecified reactive species

Yin-Yue Zhao,Yi-Fan Li,Jian-Wei Hao,Ning Zhao,Xiao-Ting Men,Xiao-Yu Bai,Rui Tai,Hao-Bin Ye,Xing-Rong Du,Hui-Ling Guo,Juan Wang,Hong-Jie Qian,Tong-Jin Zhao

Nature genetics 57:1142-1154 PubMed40229600

2025

Longitudinal single-cell multiomic atlas of high-risk neuroblastoma reveals chemotherapy-induced tumor microenvironment rewiring.

Applications

Unspecified application

Species

Unspecified reactive species

Wenbao Yu,Rumeysa Biyik-Sit,Yasin Uzun,Chia-Hui Chen,Anusha Thadi,Jonathan H Sussman,Minxing Pang,Chi-Yun Wu,Liron D Grossmann,Peng Gao,David W Wu,Aliza Yousey,Mei Zhang,Christina S Turn,Zhan Zhang,Shovik Bandyopadhyay,Jeffrey Huang,Tasleema Patel,Changya Chen,Daniel Martinez,Lea F Surrey,Michael D Hogarty,Kathrin Bernt,Nancy R Zhang,John M Maris,Kai Tan

Nature methods 22:412-421 PubMed39609567

2024

A proteome-wide quantitative platform for nanoscale spatially resolved extraction of membrane proteins into native nanodiscs.

Applications

Unspecified application

Species

Unspecified reactive species

Caroline Brown,Snehasish Ghosh,Rachel McAllister,Mukesh Kumar,Gerard Walker,Eric Sun,Talat Aman,Aniruddha Panda,Shailesh Kumar,Wenxue Li,Jeff Coleman,Yansheng Liu,James E Rothman,Moitrayee Bhattacharyya,Kallol Gupta

Cancer discovery 14:1631-1652 PubMed39058036

2024

Preexisting Skin-Resident CD8 and γδ T-cell Circuits Mediate Immune Response in Merkel Cell Carcinoma and Predict Immunotherapy Efficacy.

Applications

Unspecified application

Species

Unspecified reactive species

Zachary Z Reinstein,Yue Zhang,Oscar E Ospina,Matt D Nichols,Victoria A Chu,Alvaro de Mingo Pulido,Karol Prieto,Jonathan V Nguyen,Rui Yin,Carlos Moran Segura,Ahmed Usman,Brittney Sell,Spencer Ng,Janis V de la Iglesia,Sunandana Chandra,Jeffrey A Sosman,Raymond J Cho,Jeffrey B Cheng,Ellie Ivanova,Sergei B Koralov,Robbert J C Slebos,Christine H Chung,Nikhil I Khushalani,Jane L Messina,Amod A Sarnaik,Jonathan S Zager,Vernon K Sondak,Charles Vaske,Sungjune Kim,Andrew S Brohl,Xinlei Mi,Brian G Pierce,Xuefeng Wang,Brooke L Fridley,Kenneth Y Tsai,Jaehyuk Choi

Cell 187:3120-3140.e29 PubMed38714197

2024

Mapping the cellular biogeography of human bone marrow niches using single-cell transcriptomics and proteomic imaging.

Applications

Unspecified application

Species

Unspecified reactive species

Shovik Bandyopadhyay,Michael P Duffy,Kyung Jin Ahn,Jonathan H Sussman,Minxing Pang,David Smith,Gwendolyn Duncan,Iris Zhang,Jeffrey Huang,Yulieh Lin,Barbara Xiong,Tamjid Imtiaz,Chia-Hui Chen,Anusha Thadi,Changya Chen,Jason Xu,Melissa Reichart,Zachary Martinez,Caroline Diorio,Chider Chen,Vinodh Pillai,Oraine Snaith,Derek Oldridge,Siddharth Bhattacharyya,Ivan Maillard,Martin Carroll,Charles Nelson,Ling Qin,Kai Tan

Developmental cell 59:869-881.e6 PubMed38359832

2024

Multimodal mass spectrometry imaging identifies cell-type-specific metabolic and lipidomic variation in the mammalian liver.

Applications

mIHC

Species

Mouse

Hua Tian,Presha Rajbhandari,Jay Tarolli,Aubrianna M Decker,Taruna V Neelakantan,Tina Angerer,Fereshteh Zandkarimi,Helen Remotti,Gilles Frache,Nicholas Winograd,Brent R Stockwell

Cell & bioscience 14:19 PubMed38311785

2024

Tunable PhenoCycler imaging of the murine pre-clinical tumour microenvironments.

Applications

Unspecified application

Species

Unspecified reactive species

Madelyn J Abraham,Christophe Goncalves,Paige McCallum,Vrinda Gupta,Samuel E J Preston,Fan Huang,Hsiang Chou,Natascha Gagnon,Nathalie A Johnson,Wilson H Miller,Koren K Mann,Sonia V Del Rincon

Mucosal immunology 16:551-562 PubMed37290501

2023

Indoleamine 2,3-dioxygenase 1 regulates cell permissivity to astrovirus infection.

Applications

Unspecified application

Species

Unspecified reactive species

Valerie Cortez,Brandi Livingston,Bridgett Sharp,Virginia Hargest,James B Papizan,Natalie Pedicino,Sarah Lanning,Summer Vaughn Jordan,Jacob Gulman,Peter Vogel,Rebecca M DuBois,Jeremy Chase Crawford,David F Boyd,Shondra M Pruett-Miller,Paul G Thomas,Stacey Schultz-Cherry

Frontiers in immunology 14:1162669 PubMed37207208

2023

Naproxen chemoprevention induces proliferation of cytotoxic lymphocytes in Lynch Syndrome colorectal mucosa.

Applications

Unspecified application

Species

Unspecified reactive species

Charles M Bowen,Nan Deng,Laura Reyes-Uribe,Edwin Roger Parra,Pedro Rocha,Luisa M Solis,Ignacio I Wistuba,Valerie O Sepeda,Lana Vornik,Marjorie Perloff,Eva Szabo,Asad Umar,Krishna M Sinha,Powel H Brown,Eduardo Vilar
View all publications

Product promise

We are committed to supporting your work with high-quality reagents, and we're here for you every step of the way. In the unlikely event that one of our products does not perform as expected, you're protected by our Product Promise.
For full details, please see our Terms & Conditions

Please note: All products are 'FOR RESEARCH USE ONLY. NOT FOR USE IN DIAGNOSTIC OR THERAPEUTIC PROCEDURES'.

For licensing inquiries, please contact partnerships@abcam.com