JavaScript is disabled in your browser. Please enable JavaScript to view this website.
AB76020

Anti-Sodium Potassium ATPase antibody [EP1845Y] - Plasma Membrane Loading Control

  • RabMAb
  • Recombinant
  • Lab Essentials
  • 20ul selling size
  • What is this?

5

(18 Reviews)

|

(394 Publications)

Anti-Sodium Potassium ATPase antibody [EP1845Y] - Plasma Membrane Loading Control (ab76020) is a rabbit monoclonal antibody detecting Sodium Potassium ATPase in Western Blot, Flow Cytometry (Intra), IHC-P, ICC/IF. Suitable for Chinese hamster, Human, Mouse, Rat.

- Biophysical QC for unrivalled batch-batch consistency
- Over 290 publications
- Trusted since 2009

View Alternative Names

Sodium/potassium-transporting ATPase subunit alpha-1, Na(+)/K(+) ATPase alpha-1 subunit, Sodium pump subunit alpha-1, ATP1A1

14 Images
Immunohistochemistry (Formalin/PFA-fixed paraffin-embedded sections) - Anti-Sodium Potassium ATPase antibody [EP1845Y] - Plasma Membrane Loading Control (AB76020)
  • IHC-P

PubMed

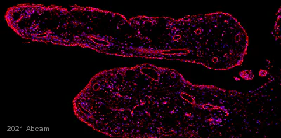
Immunohistochemistry (Formalin/PFA-fixed paraffin-embedded sections) - Anti-Sodium Potassium ATPase antibody [EP1845Y] - Plasma Membrane Loading Control (AB76020)

ab76020 staining Sodium Potassium ATPase in lung epithelia (top) and bronchiolar epithelia (bottom) from Mouse lung tissue sections by Immunohistochemistry ((IHC) - paraffin-embedded sections). Sections were deparaffined at 60°C and rehydrated by successive incubations in 100% xylol, 100% ethanol and 96% ethanol. Samples were then permeabilized with 0.25% Triton X-100 in PBS for 15 minutes and blocked with 10% bovine serum albumin (BSA) and 0.25% Triton X-100 in PBS for 30 minutes. Samples were incubated with primary antibody (1/100 in 0.25% Triton X-100 and 10% BSA in PBS) for 1 hour 30 minutes at room temperature. An Alexa Fluor®488-conjugated Goat anti-mouse antibody was used as the secondary antibody.

Image from Nieto-Torres JL et al. PLoS Pathog. 2014;10(5):e1004077. Fig 11.; doi: 10.1371/journal.ppat.1004077.

Immunohistochemistry (Formalin/PFA-fixed paraffin-embedded sections) - Anti-Sodium Potassium ATPase antibody [EP1845Y] - Plasma Membrane Loading Control (AB76020)
  • IHC-P

Unknown

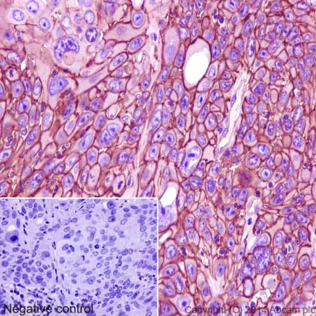
Immunohistochemistry (Formalin/PFA-fixed paraffin-embedded sections) - Anti-Sodium Potassium ATPase antibody [EP1845Y] - Plasma Membrane Loading Control (AB76020)

Immunohistochemical staining of paraffin embedded human cervical carcinoma with purified ab76020 at a working dilution of 1 in 100. The secondary antibody used is a HRP conjugated goat anti-rabbit IgG (H+L), ab97051, at a dilution of 1/500. The sample is counter-stained with hematoxylin. Antigen retrieval was perfomed using Tris-EDTA buffer, pH 9.0. PBS was used instead of the primary antibody as the negative control, and is shown in the inset.

Immunocytochemistry/ Immunofluorescence - Anti-Sodium Potassium ATPase antibody [EP1845Y] - Plasma Membrane Loading Control (AB76020)
  • ICC/IF

Unknown

Immunocytochemistry/ Immunofluorescence - Anti-Sodium Potassium ATPase antibody [EP1845Y] - Plasma Membrane Loading Control (AB76020)

Sodium Potassium ATPase immunofluorescence staining of MCF-7 cells using rabbit anti-Sodium Potassium ATPase antibody

Immunocytochemistry/Immunofluorescence analysis of MCF-7 (human breast carcinoma) cells labelling Sodium Potassium ATPase with purified ab76020 at 1/500 dilution. Cells were fixed with 100% methanol. ab150077 Alexa Fluor® 488-conjugated goat anti-rabbit IgG (1/1000 dilution) was used as the secondary antibody. Nuclei were counterstained with DAPI (blue).

Secondary Only Control : PBS was used instead of the primary antibody as the negative control.

Immunocytochemistry/ Immunofluorescence - Anti-Sodium Potassium ATPase antibody [EP1845Y] - Plasma Membrane Loading Control (AB76020)
  • ICC/IF

PubMed

Immunocytochemistry/ Immunofluorescence - Anti-Sodium Potassium ATPase antibody [EP1845Y] - Plasma Membrane Loading Control (AB76020)

T84 cells (human) cultured on 8-well chamber slides were washed once with ice-cold PBS then fixed with 4% paraformaldehyde for 30 min at 4°C. After fixation cells were permeabilized with 0.5% Triton X-100 for 5 min at room temperature and washed with PBS three times. Following blocking with 2% FCS in PBS for 1 hour at room temperature primary antibody staining was performed at 4°C overnight at 1/200 dilution. Cells were then incubated with protein fractions B12 and C5 at 5x dilutions in fresh media for 1 hour at 37°C. Cells were then fixed permeabilized and co-stained with fiber and sodium potassium ATPase. The nuclei were stained with DAPI using Vectachield mounting medium. Cells were visualized using Zeiss confocal microscopy LSM700.

Fiber molecules were found to be predominantly intracellularly following B12 treatment.

For full image see PubMed : 25723153.

Zhang B et al., PLoS One, 10, e0117976, 2015 Reproduced under the Creative Commons license http://creativecommons.org/licenses/by/4.0/

Flow Cytometry (Intracellular) - Anti-Sodium Potassium ATPase antibody [EP1845Y] - Plasma Membrane Loading Control (AB76020)
  • Flow Cyt (Intra)

Unknown

Flow Cytometry (Intracellular) - Anti-Sodium Potassium ATPase antibody [EP1845Y] - Plasma Membrane Loading Control (AB76020)

Overlay histogram showing HeLa cells fixed in 80% methanoland stained with purified ab76020 at a dilution of 1 in 100 (red line). The secondary antibody used was FITC goat anti-rabbit at a dilution of 1 in 150. Rabbit monoclonal IgG was used as an isotype control (black line) and the blue line shows cells incubated without primary or secondary antibody.

Immunohistochemistry (Formalin/PFA-fixed paraffin-embedded sections) - Anti-Sodium Potassium ATPase antibody [EP1845Y] - Plasma Membrane Loading Control (AB76020)
  • IHC-P

AbReview80742****

Immunohistochemistry (Formalin/PFA-fixed paraffin-embedded sections) - Anti-Sodium Potassium ATPase antibody [EP1845Y] - Plasma Membrane Loading Control (AB76020)

Immunohistochemistry (Formalin/PFA-fixed paraffin-embedded sections) analysis of paraformaldehyde fixed human tonsil tissue permeabilized with 0.3% Triton X-100, staining with ab76020 at 5 µg/ml. Secondary used was ab150075 at 1/500 dilution. Blocking was done using Donkey Serum 10% + 3% BSA for 25 hours at 4°C. The sample was incubated with the primary antibody for 1 hour at 20°C. Antigen retrieval method was heat mediated Citrate pH 6 & TRIS pH 9. Validated on GE Cell DIVE.

This image is courtesy of an Abreview submitted by Dylan Windell

Flow Cytometry (Intracellular) - Anti-Sodium Potassium ATPase antibody [EP1845Y] - Plasma Membrane Loading Control (AB76020)
  • Flow Cyt (Intra)

Unknown

Flow Cytometry (Intracellular) - Anti-Sodium Potassium ATPase antibody [EP1845Y] - Plasma Membrane Loading Control (AB76020)

Overlay histogram showing HeLa cells stained with unpurified ab76020 (red line). The cells were fixed with 80% methanol (5 min) and incubated in 1x PBS / 10% normal goat serum / 0.3M glycine to block non-specific protein-protein interactions. The cells were then incubated with the antibody (ab76020 1μg/1x106 cells) for 30 min at 22°C. The secondary antibody used was DyLight® 488 goat anti-rabbit IgG (H+L) (ab96899) at 1/500 dilution for 30 min at 22°C. Isotype control antibody (black line) was rabbit IgG (monoclonal) (1μg/1x106 cells) used under the same conditions. Acquisition of >5000 events was performed.Please note that Abcam do not have any data for use of this antibody on non-fixed cells. We welcome any customer feedback.

Immunohistochemistry (Formalin/PFA-fixed paraffin-embedded sections) - Anti-Sodium Potassium ATPase antibody [EP1845Y] - Plasma Membrane Loading Control (AB76020)
  • IHC-P

Unknown

Immunohistochemistry (Formalin/PFA-fixed paraffin-embedded sections) - Anti-Sodium Potassium ATPase antibody [EP1845Y] - Plasma Membrane Loading Control (AB76020)

Immunohistochemical staining of paraffin embedded rat kidney with purified ab76020 at a dilution of 1/100. The secondary antibody used is a HRP conjugated goat anti-rabbit IgG (H+L), ab97051, at a dilution of 1/500. The sample is counter-stained with hematoxylin. Antigen retrieval was perfomed using Tris-EDTA buffer, pH 9.0. PBS was used instead of the primary antibody as the negative control, and is shown in the inset.

Immunohistochemistry (Formalin/PFA-fixed paraffin-embedded sections) - Anti-Sodium Potassium ATPase antibody [EP1845Y] - Plasma Membrane Loading Control (AB76020)
  • IHC-P

Unknown

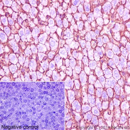
Immunohistochemistry (Formalin/PFA-fixed paraffin-embedded sections) - Anti-Sodium Potassium ATPase antibody [EP1845Y] - Plasma Membrane Loading Control (AB76020)

Immunohistochemical staining of paraffin embedded mouse liver with purified ab76020 at a working dilution of 1 in 100. The secondary antibody used is a HRP conjugated goat anti-rabbit IgG (H+L) ab97051 at a dilution of 1/500. The sample is counter-stained with hematoxylin. Antigen retrieval was perfomed using Tris-EDTA buffer pH 9.0. PBS was used instead of the primary antibody as the negative control and is shown in the inset.

Immunocytochemistry/ Immunofluorescence - Anti-Sodium Potassium ATPase antibody [EP1845Y] - Plasma Membrane Loading Control (AB76020)
  • ICC/IF

AbReview81949****

Immunocytochemistry/ Immunofluorescence - Anti-Sodium Potassium ATPase antibody [EP1845Y] - Plasma Membrane Loading Control (AB76020)

Immunocytochemistry analysis of formaldehyde-fixed rat hepatocytes permeabilized with 0.2% Triton X-100 in PBS staining with ab76020 at 1/50 dilution. Secondary antibody was Alexa Fluor™ 594 Donkey anti-Rb at 1/200 dilution.Cells were incubated with the primary antibody with 1% donkey serum in PBST for 2 hours at 22°C. Blocking was done with 1% donkey serum in PBST for 1 hour at 22°C.

This image is courtesy of an Abreview submitted by Armen Petrosyan

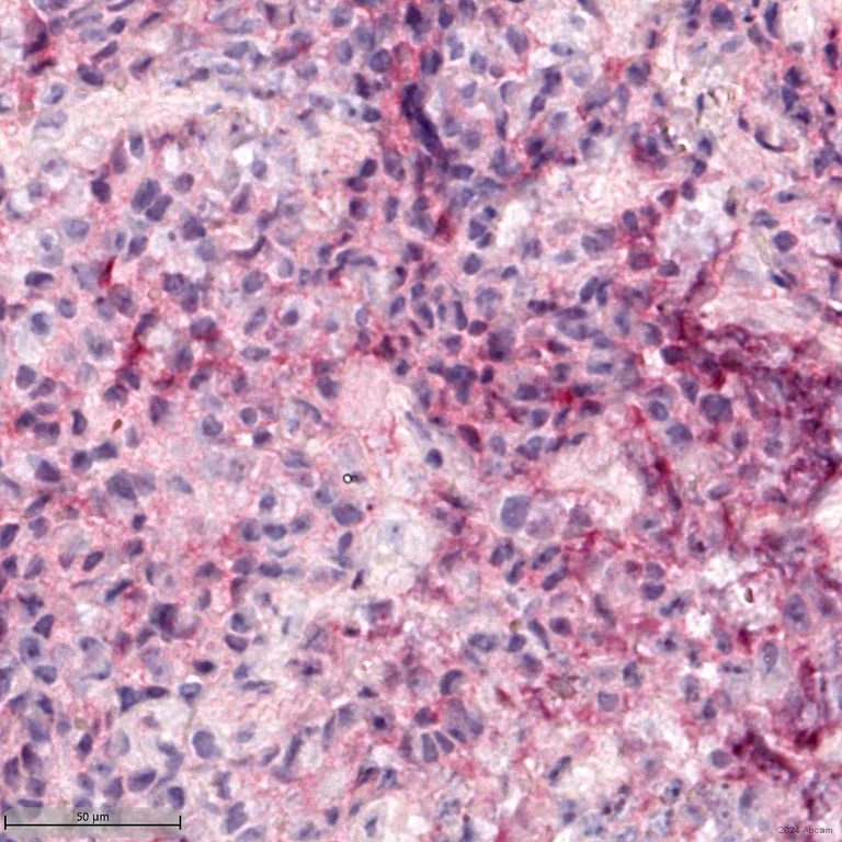
Immunohistochemistry (Formalin/PFA-fixed paraffin-embedded sections) - Anti-Sodium Potassium ATPase antibody [EP1845Y] - Plasma Membrane Loading Control (AB76020)
  • IHC-P

AbReview79348****

Immunohistochemistry (Formalin/PFA-fixed paraffin-embedded sections) - Anti-Sodium Potassium ATPase antibody [EP1845Y] - Plasma Membrane Loading Control (AB76020)

Immunohistochemistry (Formalin/PFA-fixed paraffin-embedded sections) analysis of mouse prostate tissue permeabilized with 0.2% Triton X-100 in PBS. Stained with ab76020 at 1/50 dilution. Secondary antibody used was Biotinylated Goat Anti-Rabbit. Blocking was done with 1% ab64261 Rabbit specific HRP/DAB (ABC) Detection IHC Kit plus goat serum for 1 hour at 37°C. The sample was incubated with the primary antibody, diluted in Protein Block from ab64261 for 2 hours at 37°C. Antigen retrieval method was heat mediated with Tris-EDTA buffer (pH 9.0).

This image is courtesy of an Abreview submitted by Armen Petrosyan.

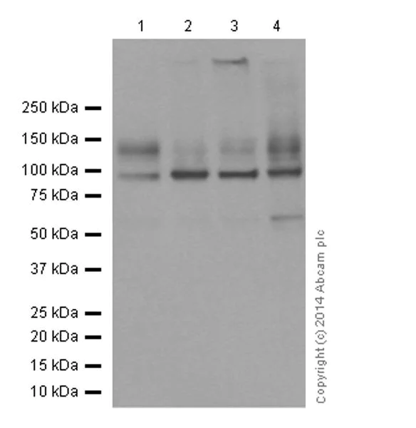
Western blot - Anti-Sodium Potassium ATPase antibody [EP1845Y] - Plasma Membrane Loading Control (AB76020)
  • WB

Unknown

Western blot - Anti-Sodium Potassium ATPase antibody [EP1845Y] - Plasma Membrane Loading Control (AB76020)

Blocking and diluting buffer : 5% NFDM/TBST.

We suggest not to boil the sample after lysis.

All lanes:

Western blot - Anti-Sodium Potassium ATPase antibody [EP1845Y] - Plasma Membrane Loading Control (ab76020) at 1/100000 dilution

Lane 1:

HeLa (Human cervix adenocarcinoma epithelial cell) whole cell lysates at 20 µg

Lane 2:

MCF-7 (Human breast adenocarcinoma epithelial cell) whole cell lysates at 20 µg

Lane 3:

HEK-293 (Human embryonic kidney epithelial cell) whole cell lysates at 20 µg

Lane 4:

A431 (Human epidermoid carcinoma epithelial cell) whole cell lysates at 20 µg

Secondary

All lanes:

Goat Anti-Rabbit IgG, (H+L), Peroxidase conjugated at 1/20000 dilution

Predicted band size: 113 kDa

Observed band size: 100 kDa

false

Exposure time: 2min

Western blot - Anti-Sodium Potassium ATPase antibody [EP1845Y] - Plasma Membrane Loading Control (AB76020)
  • WB

Lab

Western blot - Anti-Sodium Potassium ATPase antibody [EP1845Y] - Plasma Membrane Loading Control (AB76020)

Blocking/Diluting buffer and concentration 5% NFDM/TBST

We suggest not to boil the sample after lysis.

All lanes:

Western blot - Anti-Sodium Potassium ATPase antibody [EP1845Y] - Plasma Membrane Loading Control (ab76020) at 1/100000 dilution

Lane 1:

HeLa (Human cervix adenocarcinoma epithelial cell) whole cell lysate prepared from RIPA lysis method at 15 µg

Lane 2:

HeLa whole cell lysate prepared from 1% SDS HOT lysis method at 15 µg

Lane 3:

HeLa whole cell lysate prepared from RIPA lysis method at 15 µg

Lane 4:

HeLa whole cell lysate prepared from 1%SDS HOT lysis method at 15 µg

Lane 5:

Raw264.7 (Mouse abelson murine leukemia virus-induced tumor) whole cell lysate prepared from RIPA lysis method at 15 µg

Lanes 6 and 8:

Raw264.7 whole cell lysate prepared from 1%SDS HOT lysis method at 15 µg

Lane 7:

Raw264.7 whole cell lysate prepared from RIPA lysis method at 15 µg

Secondary

All lanes:

Western blot - Goat Anti-Rabbit IgG H&L (HRP) (<a href='/en-us/products/secondary-antibodies/goat-rabbit-igg-h-l-hrp-ab97051'>ab97051</a>) at 1/20000 dilution

Predicted band size: 113 kDa

Observed band size: 100 kDa

false

Exposure time: 10s

Western blot - Anti-Sodium Potassium ATPase antibody [EP1845Y] - Plasma Membrane Loading Control (AB76020)
  • WB

Lab

Western blot - Anti-Sodium Potassium ATPase antibody [EP1845Y] - Plasma Membrane Loading Control (AB76020)

Blocking buffer : 5% NFDM/TBST

Dilution buffer : 5% NFDM/TBST

We suggest not to boil the sample after lysis.

All lanes:

Western blot - Anti-Sodium Potassium ATPase antibody [EP1845Y] - Plasma Membrane Loading Control (ab76020) at 1/100000 dilution

Lane 1:

CHO (Chinese hamster ovary cell line) cell lysate at 20 µg

Lane 2:

C6 (Rat glial tumor cell line) cell lysate at 20 µg

Lane 3:

Mouse brain at 20 µg

Secondary

All lanes:

HRP goat anti-rabbit (H+L) at 1/1000 dilution

Predicted band size: 113 kDa

Observed band size: 100 kDa

false

  • Carrier free

    Anti-Sodium Potassium ATPase antibody [EP1845Y] - BSA and Azide free

  • 665 Alexa Fluor® 647

    Alexa Fluor® 647 Anti-Sodium Potassium ATPase antibody [EP1845Y] - Plasma Membrane Marker

  • 421 Alexa Fluor® 405

    Alexa Fluor® 405 Anti-Sodium Potassium ATPase antibody [EP1845Y] - Plasma Membrane Marker

  • HRP

    HRP Anti-Sodium Potassium ATPase antibody [EP1845Y] - Plasma Membrane Loading Control

  • 578 PE

    PE Anti-Sodium Potassium ATPase antibody [EP1845Y] - Plasma Membrane Marker

  • 565 Alexa Fluor® 555

    Alexa Fluor® 555 Anti-Sodium Potassium ATPase antibody [EP1845Y] - Plasma Membrane Marker

  • Biotin

    Biotin Anti-Sodium Potassium ATPase antibody [EP1845Y] - Plasma Membrane Marker

  • 519 Alexa Fluor® 488

    Alexa Fluor® 488 Anti-Sodium Potassium ATPase antibody [EP1845Y] - Plasma Membrane Marker

  • 660 APC

    APC Anti-Sodium Potassium ATPase antibody [EP1845Y] - Plasma Membrane Marker

Key facts

Host species

Rabbit

Clonality

Monoclonal

Clone number

EP1845Y

Isotype

IgG

Carrier free

No

Reacts with

Mouse, Rat, Human, Chinese hamster

Applications

WB, ICC/IF, Flow Cyt (Intra), IHC-P

applications

Immunogen

The exact immunogen used to generate this antibody is proprietary information.

Specificity

This antibody recognizes an intracellular epitope of Sodium/potassium-transporting ATPase alpha-1 subunit.

Reactivity data

{ "title": "Reactivity Data", "filters": { "stats": ["", "Species", "Dilution Info", "Notes"], "tabs": { "all-applications": {"fullname" : "All Applications", "shortname": "All Applications"}, "IHCP" : {"fullname" : "Immunohistochemistry (Formalin/PFA-fixed paraffin-embedded sections)", "shortname":"IHC-P"}, "WB" : {"fullname" : "Western blot", "shortname":"WB"}, "ICCIF" : {"fullname" : "Immunocytochemistry/ Immunofluorescence", "shortname":"ICC/IF"}, "FlowCytIntra" : {"fullname" : "Flow Cytometry (Intracellular)", "shortname":"Flow Cyt (Intra)"} }, "product-promise": { "all": "all", "testedAndGuaranteed": "tested", "guaranteed": "expected", "predicted": "predicted", "notRecommended": "not-recommended" } }, "values": { "Human": { "IHCP-species-checked": "testedAndGuaranteed", "IHCP-species-dilution-info": "1/50 - 1/100", "IHCP-species-notes": "<p></p> Perform heat-mediated antigen retrieval before commencing with IHC staining protocol.", "WB-species-checked": "testedAndGuaranteed", "WB-species-dilution-info": "1/100000", "WB-species-notes": "<p><strong>For unpurified, use 1/20000.</strong></p>", "ICCIF-species-checked": "testedAndGuaranteed", "ICCIF-species-dilution-info": "1/500", "ICCIF-species-notes": "<p></p>", "FlowCytIntra-species-checked": "testedAndGuaranteed", "FlowCytIntra-species-dilution-info": "1/20 - 1/100", "FlowCytIntra-species-notes": "<p>Follow an intracellular staining protocol. <a href='/en-us/products/primary-antibodies/rabbit-igg-monoclonal-epr25a-isotype-control-ab172730'>ab172730</a> - Rabbit monoclonal IgG, is suitable for use as an isotype control with this antibody.</p>" }, "Mouse": { "IHCP-species-checked": "testedAndGuaranteed", "IHCP-species-dilution-info": "1/50 - 1/100", "IHCP-species-notes": "<p></p> Perform heat-mediated antigen retrieval before commencing with IHC staining protocol.", "WB-species-checked": "testedAndGuaranteed", "WB-species-dilution-info": "1/100000", "WB-species-notes": "<p><strong>For unpurified, use 1/20000.</strong></p>", "ICCIF-species-checked": "guaranteed", "ICCIF-species-dilution-info": "", "ICCIF-species-notes": "", "FlowCytIntra-species-checked": "guaranteed", "FlowCytIntra-species-dilution-info": "", "FlowCytIntra-species-notes": "" }, "Rat": { "IHCP-species-checked": "testedAndGuaranteed", "IHCP-species-dilution-info": "1/50 - 1/100", "IHCP-species-notes": "<p></p> Perform heat-mediated antigen retrieval before commencing with IHC staining protocol.", "WB-species-checked": "testedAndGuaranteed", "WB-species-dilution-info": "1/100000", "WB-species-notes": "<p><strong>For unpurified, use 1/20000.</strong></p>", "ICCIF-species-checked": "guaranteed", "ICCIF-species-dilution-info": "", "ICCIF-species-notes": "", "FlowCytIntra-species-checked": "guaranteed", "FlowCytIntra-species-dilution-info": "", "FlowCytIntra-species-notes": "" }, "Chinese hamster": { "IHCP-species-checked": "guaranteed", "IHCP-species-dilution-info": "", "IHCP-species-notes": "", "WB-species-checked": "testedAndGuaranteed", "WB-species-dilution-info": "1/100000", "WB-species-notes": "<p><strong>For unpurified, use 1/20000.</strong></p>", "ICCIF-species-checked": "guaranteed", "ICCIF-species-dilution-info": "", "ICCIF-species-notes": "", "FlowCytIntra-species-checked": "guaranteed", "FlowCytIntra-species-dilution-info": "", "FlowCytIntra-species-notes": "" }, "Tilapia": { "IHCP-species-checked": "predicted", "IHCP-species-dilution-info": "", "IHCP-species-notes": "", "WB-species-checked": "predicted", "WB-species-dilution-info": "", "WB-species-notes": "", "ICCIF-species-checked": "predicted", "ICCIF-species-dilution-info": "", "ICCIF-species-notes": "", "FlowCytIntra-species-checked": "predicted", "FlowCytIntra-species-dilution-info": "", "FlowCytIntra-species-notes": "" } } }

Product details

Anti-Sodium Potassium ATPase antibody [EP1845Y] - Plasma Membrane Loading Control (ab76020) was developed by Abcam using patented rabbit monoclonal antibody technology and is validated for use in Flow Cyt (Intra), ICC/IF, IHC-P and WB.

Anti-Sodium Potassium ATPase antibody [EP1845Y] - Plasma Membrane Loading Control (ab76020) was first used in a scientific publication in 2009 and has been cited over 291 times in peer reviewed journals. It's performance in Western Blot in human and mouse samples is trusted by the scientific community.

Abcam's high quality manufacturing and validation processes ensure Anti-Sodium Potassium ATPase antibody [EP1845Y] - Plasma Membrane Loading Control (ab76020) has high sensitivity and specificity alongside high lot-to-lot consistency and reproducibility.

Anti-Sodium Potassium ATPase antibody [EP1845Y] - Plasma Membrane Loading Control (ab76020) has 18 independent reviews from customers.

Anti-Sodium Potassium ATPase antibody [EP1845Y] - Plasma Membrane Loading Control (ab76020) specifically detects Sodium Potassium ATPase (UniProt ID: P05023; Molecular weight: 113kDa) and is sold in a convenient trial size to enable initial testing (20 µL) and larger sizes for subsequent scaling up experiments (100 µL, 250 µL and 1 mL).

Conjugation-ready, carrier free format available for antibody clone EP1845Y - ab167390.

Antibody clone EP1845Y is also available pre-conjugated to a variety of labels for your convenience - HRP, Alexa Fluor® 488, Biotin, Alexa Fluor® 647, PE, Alexa Fluor® 405, Alexa Fluor® 555, APC (ab185065, ab197713, ab198366, ab198367, ab209299, ab210143, ab274883, ab314288).

Top cited antibody on the market with >384 citations. Sodium Potassium ATPase is essential for studying ion transport and cellular homeostasis, aiding research on nerve function, muscle contraction and various physiological processes

Patented technology
Our RabMAb® technology is a patented hybridoma-based technology for making rabbit monoclonal antibodies. For details on our patents, please refer to RabMAb® patents.

What are the advantages of a recombinant monoclonal antibody?
This product is a recombinant monoclonal antibody, which offers several advantages including:

  • - High batch-to-batch consistency and reproducibility
  • - Improved sensitivity and specificity
  • - Long-term security of supply
  • - Animal-free batch production

For more information, read more on recombinant antibodies.

Properties and storage information

Form
Liquid
Purification technique
Affinity purification Protein A
Storage buffer
pH: 7.2 - 7.4 Preservative: 0.01% Sodium azide Constituents: PBS, 40% Glycerol (glycerin, glycerine), 0.05% BSA
Shipped at conditions
Blue Ice
Appropriate short-term storage conditions
+4°C
Appropriate long-term storage conditions
-20°C
Aliquoting information
Upon delivery aliquot
Storage information
Avoid freeze / thaw cycle

Supplementary information

This supplementary information is collated from multiple sources and compiled automatically.

Na/K-ATPase also known as the sodium-potassium pump or Na K ATPase pump is a transmembrane protein responsible for maintaining the electrochemical gradient across the plasma membrane. The protein actively transports three sodium ions out of the cell and two potassium ions in which helps generate the resting membrane potential. It comprises an alpha catalytic subunit which has a molecular weight of around 112 kDa to 114 kDa and a beta subunit. Na/K-ATPase is widely expressed across many tissues with high concentrations in nerve cells muscle tissues and epithelial cells.
Biological function summary

The sodium-potassium pump is vital in maintaining cellular homeostasis. It plays a significant role in regulating cell volume controlling the ion balance within cells and enabling proper function of nerve and muscle cells. Na/K-ATPase forms part of a larger transport complex working closely with other ion pumps and exchangers to sustain cellular conditions. This activity ensures that cells respond and adapt to various physiological changes.

Pathways

The Na/K-ATPase functions integrally in cellular signaling and metabolic pathways. It interfaces with the Ras-associated protein 1 (Rap1) pathway which influences cell adhesion and growth. Furthermore Na/K-ATPase is linked to the renin-angiotensin system which modulates blood pressure and fluid balance through its interaction with angiotensin receptors. Through these associations Na/K-ATPase not only maintains cellular environments but also influences systemic physiological processes.

Na/K-ATPase malfunctions have connections to conditions like congestive heart failure and certain neurological disorders. Altered activity in the sodium-potassium pump disrupts ion gradients affecting cardiac and neuronal functions. Additionally Na/K-ATPase interacts with the caveolin proteins in cardiovascular diseases where their dysregulation contributes to disease pathogenesis. Understanding and targeting Na/K-ATPase could provide insights into therapeutic strategies for these conditions.

Product protocols

For this product, it's our understanding that no specific protocols are required. You can visit:

Target data

This is the catalytic component of the active enzyme, which catalyzes the hydrolysis of ATP coupled with the exchange of sodium and potassium ions across the plasma membrane. This action creates the electrochemical gradient of sodium and potassium ions, providing the energy for active transport of various nutrients (PubMed : 29499166, PubMed : 30388404). Could also be part of an osmosensory signaling pathway that senses body-fluid sodium levels and controls salt intake behavior as well as voluntary water intake to regulate sodium homeostasis (By similarity).
See full target information ATP1A1

Publications (394)

Recent publications for all applications. Explore the full list and refine your search

Cell death discovery 11:443 PubMed41053028

2025

A knock-in mouse model for GABRG2-related epileptic encephalopathy displays spontaneous generalized seizures and cognitive impairment.

Applications

Unspecified application

Species

Unspecified reactive species

Dingding Shen,Jiali Wan,Xin Zhang,Jiahui Sui,Longwu Zhan,Yuqin Zheng,Yaohui Ni,Qi Zhang

Experimental & molecular medicine 57:1775-1788 PubMed40770064

2025

Novel mechanism whereby metformin improves glucose homeostasis: TXNIP-GLUT1 axis modulation enhances intestinal glucotonic effects.

Applications

Unspecified application

Species

Unspecified reactive species

Chan Woo Kang,Jung Ho Nam,Ju Hun Oh,Eun Kyung Wang,Soo Hyun Lee,Hye Ju Shin,Ye Bin Kim,Eun Jig Lee,Byung Kook Lim,Sungsoon Fang,Arthur Cho,Cheol Ryong Ku

Nature chemical biology : PubMed40764678

2025

Intracrine FFA4 signaling controls lipolysis at lipid droplets.

Applications

Unspecified application

Species

Unspecified reactive species

Shannon L O'Brien,Emma Tripp,Natasja Barki,Elodie Blondel-Tepaz,Gabrielle Smith,Adam Boufersaoui,Jennie Roberts,Jeremy A Pike,Joao Correia,Tamara Miljus,Michel Bouvier,Daniel A Tennant,Brian D Hudson,Zachary Gerhart-Hines,Graeme Milligan,Thue W Schwartz,Davide Calebiro

Journal of neurochemistry 169:e70178 PubMed40762084

2025

The Tacrine-Induced Endoplasmic Reticulum Stress in AChE-Expressed Cells Leads to Improper Assembly and Transport of the Oligomeric Enzyme: Reversal by Trehalose.

Applications

Unspecified application

Species

Unspecified reactive species

Xiaoyang Wang,Yingjie Xia,Maggie Suisui Guo,Jiahui Wu,Ajiaikebaier Dilidaer,Jin Gao,Tina Tingxia Dong,Yue Zhu,Karl Wah Keung Tsim

Materials today. Bio 34:102110 PubMed40755901

2025

A bioequivalent cornea cross-linking method using photo-initiators LAP and visible light.

Applications

Unspecified application

Species

Unspecified reactive species

Yi Liao,Shengmei Zhou,Andrew J Quantock,Wei Li,Yuan Xu,Xie Fang,Robert D Young,Wanling He,Qingjian Li,Houjian Zhang,Ruochen Wang,Yi Han,Hongwei Cheng,Wenjun Li,Lu Peng,Rongrong Zong,Yi Hong,Zhirong Lin,Zuguo Liu

The Journal of biological chemistry 301:110525 PubMed40716744

2025

Metabolomics analysis of SNAT2-deficient cells: Implications for the discovery of selective small-molecule inhibitors of an amino acid transporter.

Applications

Unspecified application

Species

Unspecified reactive species

Jessica C Koe,Yuxi C Zhong,Kiana Pashaoskooie,Gregory J Kaczorowski,Maria L Garcia,Seth J Parker

Nature communications 16:5457 PubMed40593547

2025

cTAGE5 is essential for adipogenesis and adipose tissue development.

Applications

Unspecified application

Species

Unspecified reactive species

Junwan Fan,Tiantian Ma,Xiaoping Ren,Zhilin Chang,Dan Zhang,Yi Wang,Shiyao Cheng,Xin Qi,Kehui Liu,Yan Wang,Yaqing Wang,Zhiheng Xu,Wenyan He

The Journal of physiology 603:3499-3518 PubMed40566643

2025

Parkinson's disease-linked Kir4.2 mutation R28C leads to loss of ion channel function.

Applications

Unspecified application

Species

Unspecified reactive species

Xiaoyi Chen,Rocio K Finol-Urdaneta,Mo Chen,Alex M Sykes,Bingmiao Gao,Jamila Iqbal,David J Adams,George D Mellick,Linlin Ma

Nature communications 16:5209 PubMed40473625

2025

Lysosomal TMEM165 controls cellular ion homeostasis and survival by mediating lysosomal Ca import and H efflux.

Applications

Unspecified application

Species

Unspecified reactive species

Ran Chen,Bin Liu,Dawid Jaślan,Lucija Kucej,Veronika Kudrina,Belinda Warnke,Yvonne E Klingl,Arnas Petrauskas,Sandra Prat Castro,Kenji Maeda,Christian Grimm,Marja Jäättelä

PLoS genetics 21:e1011677 PubMed40424469

2025

The ubiquitin ligase HUWE1 enhances WNT signaling by antagonizing destruction complex-mediated β-catenin degradation and through a mechanism independent of changes in β-catenin abundance.

Applications

Unspecified application

Species

Unspecified reactive species

Joseph K McKenna,Yalan Wu,Praveen Sonkusre,Caleb K Sinclear,Raj Chari,Andres M Lebensohn
View all publications

Product promise

We are committed to supporting your work with high-quality reagents, and we're here for you every step of the way. In the unlikely event that one of our products does not perform as expected, you're protected by our Product Promise.
For full details, please see our Terms & Conditions

Please note: All products are 'FOR RESEARCH USE ONLY. NOT FOR USE IN DIAGNOSTIC OR THERAPEUTIC PROCEDURES'.

For licensing inquiries, please contact partnerships@abcam.com