JavaScript is disabled in your browser. Please enable JavaScript to view this website.
AB283345

Anti-Sodium Potassium ATPase antibody [EP1845Y] - Rat IgG2a (Chimeric)

  • BOND RX™ Validated
  • Recombinant
  • Lab Essentials
  • 20ul selling size
  • What is this?

Be the first to review this product! Submit a review

|

(2 Publications)

Rat Recombinant Monoclonal alpha 1 Sodium Potassium ATPase antibody. Suitable for IHC-P, WB, ICC/IF, Flow Cyt (Intra) and reacts with Mouse, Rat, Human samples. Cited in 2 publications.

View Alternative Names

Sodium/potassium-transporting ATPase subunit alpha-1, Na(+)/K(+) ATPase alpha-1 subunit, Sodium pump subunit alpha-1, ATP1A1

9 Images
Immunohistochemistry (Formalin/PFA-fixed paraffin-embedded sections) - Anti-Sodium Potassium ATPase antibody [EP1845Y] - Rat IgG2a (Chimeric) (AB283345)
  • IHC-P

Supplier Data

Immunohistochemistry (Formalin/PFA-fixed paraffin-embedded sections) - Anti-Sodium Potassium ATPase antibody [EP1845Y] - Rat IgG2a (Chimeric) (AB283345)

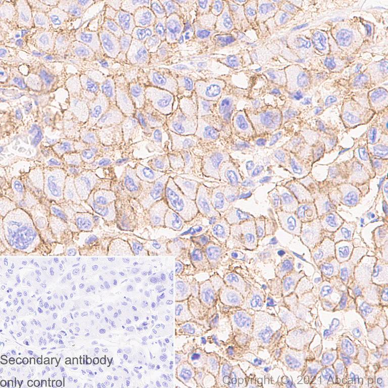
Immunohistochemical analysis of paraffin-embedded Human hepatocellular carcinoma tissue labeling Sodium Potassium ATPase with ab283345 at 1/5000 (0.222 ug/ml) dilution followed by a ready to use LeicaDS9800 (Bond™ Polymer Refine Detection). Membranous staining on human hepatocellular carcinoma. The section was incubated with ab283345 for 10 mins at room temperature and followed by rat IgG antibody (ab102248) for 8 mins. The immunostaining was performed on a Leica Biosystems BOND® RX instrument Counterstained with Hematoxylin.

Secondary antibody only control : Secondary antibody is a ready to use LeicaDS9800 (Bond™ Polymer Refine Detection).

Heat mediated antigen retrieval with Citrate buffer (pH 6.0, epitope retrieval solution 1) for 20 mins

Immunohistochemistry (Formalin/PFA-fixed paraffin-embedded sections) - Anti-Sodium Potassium ATPase antibody [EP1845Y] - Rat IgG2a (Chimeric) (AB283345)
  • IHC-P

Supplier Data

Immunohistochemistry (Formalin/PFA-fixed paraffin-embedded sections) - Anti-Sodium Potassium ATPase antibody [EP1845Y] - Rat IgG2a (Chimeric) (AB283345)

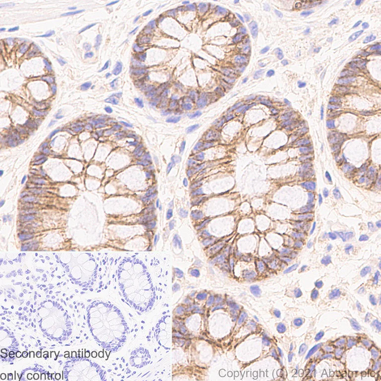
Immunohistochemical analysis of paraffin-embedded Human colon tissue labeling Sodium Potassium ATPase with ab283345 at 1/5000 (0.222 ug/ml) dilution followed by a ready to use LeicaDS9800 (Bond™ Polymer Refine Detection). Membranous staining on human colon. The section was incubated with ab283345 for 10 mins at room temperature and followed by rat IgG antibody (ab102248) for 8 mins. The immunostaining was performed on a Leica Biosystems BOND® RX instrument Counterstained with Hematoxylin.

Secondary antibody only control : Secondary antibody is a ready to use LeicaDS9800 (Bond™ Polymer Refine Detection).

Heat mediated antigen retrieval with Citrate buffer (pH 6.0, epitope retrieval solution 1) for 20 mins

Immunocytochemistry/ Immunofluorescence - Anti-Sodium Potassium ATPase antibody [EP1845Y] - Rat IgG2a (Chimeric) (AB283345)
  • ICC/IF

Supplier Data

Immunocytochemistry/ Immunofluorescence - Anti-Sodium Potassium ATPase antibody [EP1845Y] - Rat IgG2a (Chimeric) (AB283345)

Immunofluorescent analysis of 4% Paraformaldehyde-fixed, 0.1% TritonX-100 permeabilized HeLa cells labelling Sodium Potassium ATPase with ab283345 at 1/50 (22.18 ug/ml) dilution, followed by ab150161 Goat F(ab')2 Anti-Rat IgG Fc (Alexa Fluor® 488) preadsorbed antibody at 1/1000 dilution (Green). Confocal image showing membranous staining in HeLa cell line. ab179513 Anti-beta Tubulin rabbit monoclonal antibody was used to counterstain tubulin at 1/200 dilution (Red). The Nuclear counterstain was DAPI (Blue).

Secondary antibody only control : Secondary antibody is ab150161 Goat F(ab')2 Anti-Rat IgG Fc (Alexa Fluor® 488) preadsorbed at 1/1000 dilution.

Flow Cytometry (Intracellular) - Anti-Sodium Potassium ATPase antibody [EP1845Y] - Rat IgG2a (Chimeric) (AB283345)
  • Flow Cyt (Intra)

Supplier Data

Flow Cytometry (Intracellular) - Anti-Sodium Potassium ATPase antibody [EP1845Y] - Rat IgG2a (Chimeric) (AB283345)

Flow cytometric analysis of 4% paraformaldehyde fixed 90% methanol permeabilized HeLa (Human cervix adenocarcinoma epithelial cell) cells labelling Sodium Potassium ATPase with ab283345 at 1/100 dilution (1ug) (Red) compared with a Rat monoclonal IgG (Black) isotype control and an unlabelled control (cells without incubation with primary antibody and secondary antibody) (Blue). A Goat F(ab)2 Anti-Rat IgG Fc (Alexa Fluor® 488, ab150161) at 1/2000 dilution was used as the secondary antibody.

Immunohistochemistry (Formalin/PFA-fixed paraffin-embedded sections) - Anti-Sodium Potassium ATPase antibody [EP1845Y] - Rat IgG2a (Chimeric) (AB283345)
  • IHC-P

Supplier Data

Immunohistochemistry (Formalin/PFA-fixed paraffin-embedded sections) - Anti-Sodium Potassium ATPase antibody [EP1845Y] - Rat IgG2a (Chimeric) (AB283345)

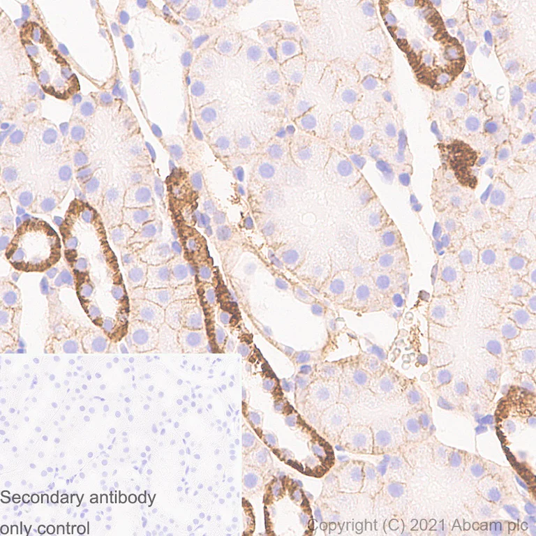
Immunohistochemical analysis of paraffin-embedded Rat kidney tissue labeling Sodium Potassium ATPase with ab283345 at 1/5000 (0.222 ug/ml) dilution followed by a ready to use LeicaDS9800 (Bond™ Polymer Refine Detection). Mainly membranous staining on rat kidney. The section was incubated with ab283345 for 10 mins at room temperature and followed by rat IgG antibody (ab102248) for 8 mins. The immunostaining was performed on a Leica Biosystems BOND® RX instrument Counterstained with Hematoxylin.

Secondary antibody only control : Secondary antibody is a ready to use LeicaDS9800 (Bond™ Polymer Refine Detection).

Heat mediated antigen retrieval with Citrate buffer (pH 6.0, epitope retrieval solution 1) for 20 mins

Immunohistochemistry (Formalin/PFA-fixed paraffin-embedded sections) - Anti-Sodium Potassium ATPase antibody [EP1845Y] - Rat IgG2a (Chimeric) (AB283345)
  • IHC-P

Supplier Data

Immunohistochemistry (Formalin/PFA-fixed paraffin-embedded sections) - Anti-Sodium Potassium ATPase antibody [EP1845Y] - Rat IgG2a (Chimeric) (AB283345)

Immunohistochemical analysis of paraffin-embedded Mouse kidney tissue labeling Sodium Potassium ATPase with ab283345 at 1/5000 (0.222 ug/ml) dilution followed by a ready to use LeicaDS9800 (Bond™ Polymer Refine Detection). Mainly membranous staining on mouse kidney. The section was incubated with ab283345 for 10 mins at room temperature and followed by rat IgG antibody (ab102248) for 8 mins. The immunostaining was performed on a Leica Biosystems BOND® RX instrument Counterstained with Hematoxylin.

Secondary antibody only control : Secondary antibody is a ready to use LeicaDS9800 (Bond™ Polymer Refine Detection).

Heat mediated antigen retrieval with Citrate buffer (pH 6.0, epitope retrieval solution 1) for 20 mins

Immunohistochemistry (Formalin/PFA-fixed paraffin-embedded sections) - Anti-Sodium Potassium ATPase antibody [EP1845Y] - Rat IgG2a (Chimeric) (AB283345)
  • IHC-P

Supplier Data

Immunohistochemistry (Formalin/PFA-fixed paraffin-embedded sections) - Anti-Sodium Potassium ATPase antibody [EP1845Y] - Rat IgG2a (Chimeric) (AB283345)

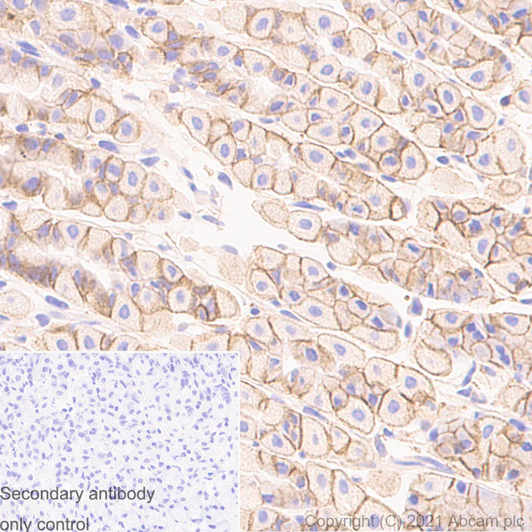
Immunohistochemical analysis of paraffin-embedded Rat stomach tissue labeling Sodium Potassium ATPase with ab283345 at 1/5000 (0.222 ug/ml) dilution followed by a ready to use LeicaDS9800 (Bond™ Polymer Refine Detection). Membranous staining on rat stomach. The section was incubated with ab283345 for 10 mins at room temperature and followed by rat IgG antibody (ab102248) for 8 mins. The immunostaining was performed on a Leica Biosystems BOND® RX instrument Counterstained with Hematoxylin.

Secondary antibody only control : Secondary antibody is a ready to use LeicaDS9800 (Bond™ Polymer Refine Detection).

Heat mediated antigen retrieval with Citrate buffer (pH 6.0, epitope retrieval solution 1) for 20 mins

Immunohistochemistry (Formalin/PFA-fixed paraffin-embedded sections) - Anti-Sodium Potassium ATPase antibody [EP1845Y] - Rat IgG2a (Chimeric) (AB283345)
  • IHC-P

Supplier Data

Immunohistochemistry (Formalin/PFA-fixed paraffin-embedded sections) - Anti-Sodium Potassium ATPase antibody [EP1845Y] - Rat IgG2a (Chimeric) (AB283345)

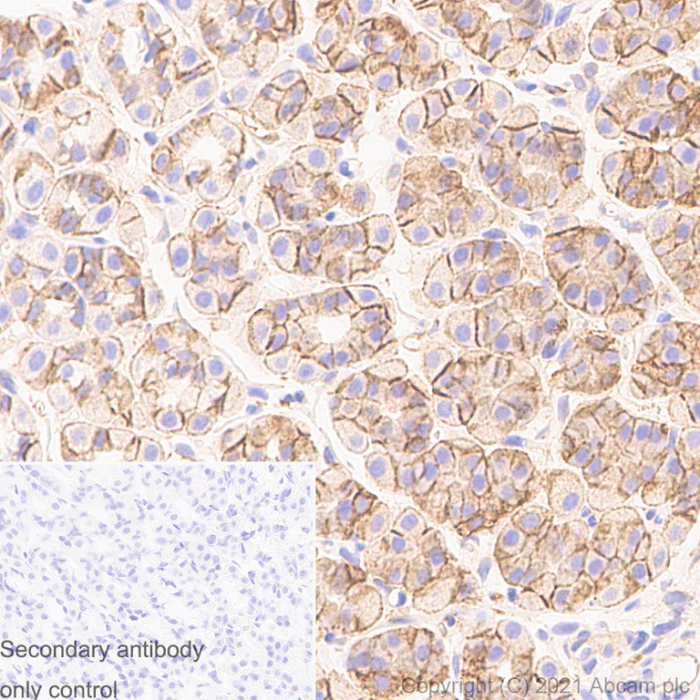
Immunohistochemical analysis of paraffin-embedded Mouse stomach tissue labeling Sodium Potassium ATPase with ab283345 at 1/5000 (0.222 ug/ml) dilution followed by a ready to use LeicaDS9800 (Bond™ Polymer Refine Detection). Membranous staining on mouse stomach. The section was incubated with ab283345 for 10 mins at room temperature and followed by rat IgG antibody (ab102248) for 8 mins. The immunostaining was performed on a Leica Biosystems BOND® RX instrument Counterstained with Hematoxylin.

Secondary antibody only control : Secondary antibody is a ready to use LeicaDS9800 (Bond™ Polymer Refine Detection).

Heat mediated antigen retrieval with Citrate buffer (pH 6.0, epitope retrieval solution 1) for 20 mins

Western blot - Anti-Sodium Potassium ATPase antibody [EP1845Y] - Rat IgG2a (Chimeric) (AB283345)
  • WB

Lab

Western blot - Anti-Sodium Potassium ATPase antibody [EP1845Y] - Rat IgG2a (Chimeric) (AB283345)

Blocking and diluting buffer and concentration : 5% NFDM/TBST Samples of Lanes 3, 4, 6, 8 are non-boiled as boiling may cause protein aggregates. Exposure time : 1 second

All lanes:

Western blot - Anti-Sodium Potassium ATPase antibody [EP1845Y] - Rat IgG2a (Chimeric) (ab283345) at 1/1000 dilution

Lane 1:

HeLa (human cervix adenocarcinoma epithelial cell), whole cell lysate prepared from RIPA lysis method at 20 µg

Lanes 2 and 4:

HeLa whole cell lysate prepared from 1% SDS HOT lysis method at 20 µg

Lane 3:

HeLa whole cell lysate prepared from RIPA lysis method at 20 µg

Lane 5:

RAW264.7 (mouse Abelson murine leukemia virus-induced tumor macrophage), whole cell lysate at 20 µg

Lane 6:

RAW264.7 whole cell lysate at 20 µg

Lane 7:

C6 (rat glial tumor glial cell), whole cell lysate at 20 µg

Lane 8:

C6 whole cell lysate at 20 µg

Secondary

All lanes:

Goat Anti-Rat IgG (H+L), HRP) (<a href='/en-us/products/secondary-antibodies/goat-rat-igg-h-l-hrp-ab205720'>ab205720</a>) at 1/5000 dilution

Predicted band size: 113 kDa

Observed band size: 100 kDa

false

  • Carrier free

    Anti-Sodium Potassium ATPase antibody [EP1845Y] - Rat IgG2a (Chimeric) - BSA and Azide free

Key facts

Host species

Rat

Clonality

Monoclonal

Clone number

EP1845Y

Isotype

IgG2a

Carrier free

No

Reacts with

Mouse, Human, Rat

Applications

ICC/IF, IHC-P, Flow Cyt (Intra), WB

applications

Reactivity data

{ "title": "Reactivity Data", "filters": { "stats": ["", "Species", "Dilution Info", "Notes"], "tabs": { "all-applications": {"fullname" : "All Applications", "shortname": "All Applications"}, "IHCP" : {"fullname" : "Immunohistochemistry (Formalin/PFA-fixed paraffin-embedded sections)", "shortname":"IHC-P"}, "WB" : {"fullname" : "Western blot", "shortname":"WB"}, "ICCIF" : {"fullname" : "Immunocytochemistry/ Immunofluorescence", "shortname":"ICC/IF"}, "FlowCytIntra" : {"fullname" : "Flow Cytometry (Intracellular)", "shortname":"Flow Cyt (Intra)"} }, "product-promise": { "all": "all", "testedAndGuaranteed": "tested", "guaranteed": "expected", "predicted": "predicted", "notRecommended": "not-recommended" } }, "values": { "Human": { "IHCP-species-checked": "testedAndGuaranteed", "IHCP-species-dilution-info": "1/5000", "IHCP-species-notes": "<p></p>", "WB-species-checked": "testedAndGuaranteed", "WB-species-dilution-info": "1/1000", "WB-species-notes": "<p></p>", "ICCIF-species-checked": "testedAndGuaranteed", "ICCIF-species-dilution-info": "1/50", "ICCIF-species-notes": "<p></p>", "FlowCytIntra-species-checked": "testedAndGuaranteed", "FlowCytIntra-species-dilution-info": "1/100", "FlowCytIntra-species-notes": "<p></p>" }, "Mouse": { "IHCP-species-checked": "testedAndGuaranteed", "IHCP-species-dilution-info": "1/5000", "IHCP-species-notes": "<p></p>", "WB-species-checked": "testedAndGuaranteed", "WB-species-dilution-info": "1/1000", "WB-species-notes": "<p></p>", "ICCIF-species-checked": "guaranteed", "ICCIF-species-dilution-info": "", "ICCIF-species-notes": "", "FlowCytIntra-species-checked": "guaranteed", "FlowCytIntra-species-dilution-info": "", "FlowCytIntra-species-notes": "" }, "Rat": { "IHCP-species-checked": "testedAndGuaranteed", "IHCP-species-dilution-info": "1/5000", "IHCP-species-notes": "<p></p>", "WB-species-checked": "testedAndGuaranteed", "WB-species-dilution-info": "1/1000", "WB-species-notes": "<p></p>", "ICCIF-species-checked": "guaranteed", "ICCIF-species-dilution-info": "", "ICCIF-species-notes": "", "FlowCytIntra-species-checked": "guaranteed", "FlowCytIntra-species-dilution-info": "", "FlowCytIntra-species-notes": "" } } }

Product details

This rat monoclonal chimeric antibody has been engineered from a RabMAb parent antibody (ab76020). By necessity, some rabbit sequence is retained as part of the variable domain. When multiplexing with other rabbit-derived antibodies, using cross absorbed Fc-reactive secondary antibodies are recommended.

What are the advantages of a recombinant monoclonal antibody?
This product is a recombinant monoclonal antibody, which offers several advantages including:

  • - High batch-to-batch consistency and reproducibility
  • - Improved sensitivity and specificity
  • - Long-term security of supply
  • - Animal-free batch production

For more information, read more on recombinant antibodies.

Properties and storage information

Form
Liquid
Purification technique
Ion exchange chromatography
Storage buffer
pH: 7.2 - 7.4 Preservative: 0.01% Sodium azide Constituents: PBS, 40% Glycerol (glycerin, glycerine), 0.05% BSA
Shipped at conditions
Blue Ice
Appropriate short-term storage duration
1-2 weeks
Appropriate short-term storage conditions
+4°C
Appropriate long-term storage conditions
-20°C
Aliquoting information
Upon delivery aliquot
Storage information
Avoid freeze / thaw cycle

Supplementary information

This supplementary information is collated from multiple sources and compiled automatically.

The Sodium Potassium ATPase also known as Na/K-ATPase or NaK Pump is an essential enzyme that performs active transport of sodium (Na+) and potassium (K+) ions across the plasma membrane. This transmembrane protein has a molecular weight typically ranging from 100 to 120 kDa. It is expressed in most cell types particularly abundant in nerve and muscle cells. The ATPase hydrolyzes ATP to drive the exchange of three intracellular sodium ions for two extracellular potassium ions maintaining vital gradients across the cell membrane.
Biological function summary

The Na/K ATPase plays an important role in maintaining cellular homeostasis and membrane potential. It is an integral component of the cell membrane often operating as part of larger multiprotein complexes. This pump is responsible for providing the driving force behind secondary transport systems by maintaining ionic gradients. The presence of Na/K ATPase is also important for the functioning of the nervous system as it helps propagate action potentials in neurons.

Pathways

The Na/K ATPase is integral to the regulation of cardiac contraction and nerve signal transmission. It participates in pathways like the cardiac glycoside pharmacodynamics and the sodium ion transport pathway. It interacts with proteins such as ankyrin which link the ATPase to the cellular cytoskeleton facilitating its distribution and stability within the cell membrane. These interactions are significant for ensuring precise ion homeostasis and efficient cellular operation.

Na/K ATPase is linked to conditions such as hypertension and congestive heart failure. These diseases are associated with improper functioning or regulation of the ATPase which affects sodium and potassium balance and blood pressure regulation. The target also interacts with the protein PLM (phospholemman) which modulates its activity under different physiological and pathological conditions. Malfunction or mutations in the genes encoding Na/K ATPase subunits can contribute to neurological and cardiovascular disorders making it a therapeutic target in associated treatment strategies.

Product protocols

For this product, it's our understanding that no specific protocols are required. You can visit:

Target data

This is the catalytic component of the active enzyme, which catalyzes the hydrolysis of ATP coupled with the exchange of sodium and potassium ions across the plasma membrane. This action creates the electrochemical gradient of sodium and potassium ions, providing the energy for active transport of various nutrients (PubMed : 29499166, PubMed : 30388404). Could also be part of an osmosensory signaling pathway that senses body-fluid sodium levels and controls salt intake behavior as well as voluntary water intake to regulate sodium homeostasis (By similarity).
See full target information ATP1A1

Publications (2)

Recent publications for all applications. Explore the full list and refine your search

Communications biology 8:531 PubMed40195555

2025

A structural and mechanistic model for BSEP dysfunction in PFIC2 cholestatic disease.

Applications

Unspecified application

Species

Unspecified reactive species

Clémence Gruget,Bharat G Reddy,Jonathan M Moore

Chinese medicine 18:143 PubMed37919806

2023

Xinyang tablet ameliorates sepsis-induced myocardial dysfunction by regulating Beclin-1 to mediate macrophage autophagy and M2 polarization through LncSICRNT1 targeting E3 ubiquitin ligase TRAF6.

Applications

Unspecified application

Species

Unspecified reactive species

Yuanyuan Luo,Yuanmei Li,Liwei He,Haitao Tu,Xinfeng Lin,Fengli Zhao,Yusheng Huang,Minyong Wen,Lingjun Wang,Zhongqi Yang
View all publications

Product promise

We are committed to supporting your work with high-quality reagents, and we're here for you every step of the way. In the unlikely event that one of our products does not perform as expected, you're protected by our Product Promise.
For full details, please see our Terms & Conditions

Please note: All products are 'FOR RESEARCH USE ONLY. NOT FOR USE IN DIAGNOSTIC OR THERAPEUTIC PROCEDURES'.

For licensing inquiries, please contact partnerships@abcam.com