JavaScript is disabled in your browser. Please enable JavaScript to view this website.
AB323915

Anti-Somatostatin antibody [EPR28867-88]

  • BOND RX™ Validated
  • RabMAb
  • Recombinant
  • 20ul selling size
  • What is this?

Be the first to review this product! Submit a review

|

(0 Publication)

Rabbit Recombinant Monoclonal Somatostatin antibody. Suitable for IHC-P and reacts with Human samples.

View Alternative Names

Somatostatin, Growth hormone release-inhibiting factor, SST

5 Images
Immunohistochemistry (Formalin/PFA-fixed paraffin-embedded sections) - Anti-Somatostatin antibody [EPR28867-88] (AB323915)
  • IHC-P

Supplier Data

Immunohistochemistry (Formalin/PFA-fixed paraffin-embedded sections) - Anti-Somatostatin antibody [EPR28867-88] (AB323915)

Immunohistochemical analysis of paraffin-embedded Human skeletal muscle tissue labeling Somatostatin with ab323915 at 1/10000 (0.05ug/ml) dilution, followed by a ready to use LeicaDS9800 (Bond™ Polymer Refine Detection) was used.

Negative control : No staining in human skeletal muscle.
The section was incubated with ab323915 for 15 mins at room temperature.
The immunostaining was performed on a Leica Biosystems BOND® RX instrument

Counterstained with Hematoxylin.

Secondary antibody only control : Secondary antibody is a ready to use LeicaDS9800 (Bond™ Polymer Refine Detection) was used.

Heat mediated antigen retrieval was performed with Citrate buffer (pH 6.0, Epitope Retrieval Solution 1) for 20 mins

Immunohistochemistry (Formalin/PFA-fixed paraffin-embedded sections) - Anti-Somatostatin antibody [EPR28867-88] (AB323915)
  • IHC-P

Supplier Data

Immunohistochemistry (Formalin/PFA-fixed paraffin-embedded sections) - Anti-Somatostatin antibody [EPR28867-88] (AB323915)

Immunohistochemical analysis of paraffin-embedded Human liver tissue labeling Somatostatin with ab323915 at 1/10000 (0.05ug/ml) dilution, followed by a ready to use LeicaDS9800 (Bond™ Polymer Refine Detection) was used.

Negative control : No staining in human liver.
The section was incubated with ab323915 for 15 mins at room temperature.
The immunostaining was performed on a Leica Biosystems BOND® RX instrument

Counterstained with Hematoxylin.

Secondary antibody only control : Secondary antibody is a ready to use LeicaDS9800 (Bond™ Polymer Refine Detection) was used.

Heat mediated antigen retrieval was performed with Citrate buffer (pH 6.0, Epitope Retrieval Solution 1) for 20 mins

Immunohistochemistry (Formalin/PFA-fixed paraffin-embedded sections) - Anti-Somatostatin antibody [EPR28867-88] (AB323915)
  • IHC-P

Supplier Data

Immunohistochemistry (Formalin/PFA-fixed paraffin-embedded sections) - Anti-Somatostatin antibody [EPR28867-88] (AB323915)

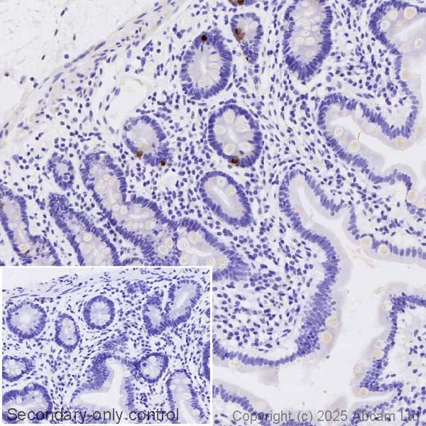
Immunohistochemical analysis of paraffin-embedded Human small intestine tissue labeling Somatostatin with ab323915 at 1/10000 (0.05ug/ml) dilution, followed by a ready to use LeicaDS9800 (Bond™ Polymer Refine Detection) was used.

Positive staining of delta cells in human small intestine.
The section was incubated with ab323915 for 15 mins at room temperature.
The immunostaining was performed on a Leica Biosystems BOND® RX instrument

Counterstained with Hematoxylin.

Secondary antibody only control : Secondary antibody is a ready to use LeicaDS9800 (Bond™ Polymer Refine Detection) was used.

Heat mediated antigen retrieval was performed with Citrate buffer (pH 6.0, Epitope Retrieval Solution 1) for 20 mins

Immunohistochemistry (Formalin/PFA-fixed paraffin-embedded sections) - Anti-Somatostatin antibody [EPR28867-88] (AB323915)
  • IHC-P

Supplier Data

Immunohistochemistry (Formalin/PFA-fixed paraffin-embedded sections) - Anti-Somatostatin antibody [EPR28867-88] (AB323915)

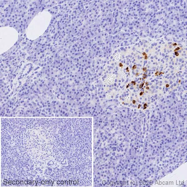
Immunohistochemical analysis of paraffin-embedded Human pancreas tissue labeling Somatostatin with ab323915 at 1/10000 (0.05ug/ml) dilution, followed by a ready to use LeicaDS9800 (Bond™ Polymer Refine Detection) was used.

Positive staining of delta cells in human pancreas.
The section was incubated with ab323915 for 15 mins at room temperature.
The immunostaining was performed on a Leica Biosystems BOND® RX instrument

Counterstained with Hematoxylin.

Secondary antibody only control : Secondary antibody is a ready to use LeicaDS9800 (Bond™ Polymer Refine Detection) was used.

Heat mediated antigen retrieval was performed with Citrate buffer (pH 6.0, Epitope Retrieval Solution 1) for 20 mins

Immunohistochemistry (Formalin/PFA-fixed paraffin-embedded sections) - Anti-Somatostatin antibody [EPR28867-88] (AB323915)
  • IHC-P

Lab

Immunohistochemistry (Formalin/PFA-fixed paraffin-embedded sections) - Anti-Somatostatin antibody [EPR28867-88] (AB323915)

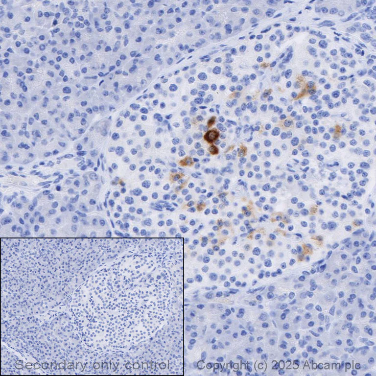
Immunohistochemical analysis of formalin fixed paraffin embedded human pancreas labelling Somatostatin with ab323915 at a concentration of 0.5µg/ml. The immunostaining was performed on a Ventana DISCOVERY ULTRA (Roche Tissue Diagnostics) instrument with a OptiView DAB IHC Detection Kit. Heat mediated antigen retrieval was performed with DISCOVERY cell conditioning solution (CC1) 100°C, pH8.5 for 32mins.

ab323915 anti-Somatostatin antibody [EPR28867-88] was incubated for 16mins at 37°C. Sections were counterstained with Hematoxylin II. Image inset shows absence of staining in secondary antibody only control.

Customers are encouraged to optimise antigen retrieval conditions, antibody concentration, incubation times and temperature for best results in their own IHC assay workflow (automated and manual)

Key facts

Host species

Rabbit

Clonality

Monoclonal

Clone number

EPR28867-88

Isotype

IgG

Carrier free

No

Reacts with

Human

Applications

IHC-P

applications

Immunogen

The exact immunogen used to generate this antibody is proprietary information.

Reactivity data

{ "title": "Reactivity Data", "filters": { "stats": ["", "Species", "Dilution Info", "Notes"], "tabs": { "all-applications": {"fullname" : "All Applications", "shortname": "All Applications"}, "IHCP" : {"fullname" : "Immunohistochemistry (Formalin/PFA-fixed paraffin-embedded sections)", "shortname":"IHC-P"} }, "product-promise": { "all": "all", "testedAndGuaranteed": "tested", "guaranteed": "expected", "predicted": "predicted", "notRecommended": "not-recommended" } }, "values": { "Human": { "IHCP-species-checked": "testedAndGuaranteed", "IHCP-species-dilution-info": "1/10000", "IHCP-species-notes": "<p></p> Perform heat-mediated antigen retrieval with citrate buffer pH 6 before commencing with IHC staining protocol." } } }

Product details

Patented technology
Our RabMAb® technology is a patented hybridoma-based technology for making rabbit monoclonal antibodies. For details on our patents, please refer to RabMAb® patents.

What are the advantages of a recombinant monoclonal antibody?
This product is a recombinant monoclonal antibody, which offers several advantages including:

  • - High batch-to-batch consistency and reproducibility
  • - Improved sensitivity and specificity
  • - Long-term security of supply
  • - Animal-free batch production

For more information, read more on recombinant antibodies.

Properties and storage information

Form
Liquid
Purification technique
Affinity purification Protein A
Storage buffer
pH: 7.2 - 7.4 Preservative: 0.01% Sodium azide Constituents: PBS, 40% Glycerol (glycerin, glycerine), 0.05% BSA
Shipped at conditions
Blue Ice
Appropriate short-term storage duration
1-2 weeks
Appropriate short-term storage conditions
+4°C
Appropriate long-term storage conditions
-20°C
Aliquoting information
Upon delivery aliquot
Storage information
Avoid freeze / thaw cycle

Product protocols

For this product, it's our understanding that no specific protocols are required. You can visit:

Target data

Somatostatin-14. Inhibits the secretion of pituitary hormones, including that of growth hormone/somatotropin (GH1), PRL, ACTH, luteinizing hormone (LH) and TSH. Also impairs ghrelin- and GnRH-stimulated secretion of GH1 and LH; the inhibition of ghrelin-stimulated secretion of GH1 can be further increased by neuronostatin.. Neuronostatin. May enhance low-glucose-induced glucagon release by pancreatic alpha cells (By similarity). This effect may be mediated by binding to GPR107 and PKA activation (By similarity). May regulate cardiac contractile function (By similarity). May compromise cardiomyocyte viability (By similarity). In the central nervous system, may impair memory retention and may affect hippocampal excitability (By similarity). May also have anxiolytic and anorexigenic effects (By similarity). May play a role in arterial pressure regulation (By similarity). May inhibit basal, but not ghrelin- or GnRH-stimulated secretion of GH1 or LH, but does not affect the release of other pituitary hormones, including PRL, ACTH, FSH or TSH. Potentiates inhibitory action of somatostatin on ghrelin-stimulated secretion of GH1, but not that on GnRH-stimulated secretion of LH (PubMed : 29615476).
See full target information Somatostatin

Product promise

We are committed to supporting your work with high-quality reagents, and we're here for you every step of the way. In the unlikely event that one of our products does not perform as expected, you're protected by our Product Promise.
For full details, please see our Terms & Conditions

Please note: All products are 'FOR RESEARCH USE ONLY. NOT FOR USE IN DIAGNOSTIC OR THERAPEUTIC PROCEDURES'.

For licensing inquiries, please contact partnerships@abcam.com