JavaScript is disabled in your browser. Please enable JavaScript to view this website.
AB307803

Anti-Somatostatin antibody [HL1101]

Be the first to review this product! Submit a review

|

(0 Publication)

Rabbit Recombinant Monoclonal Somatostatin antibody. Carrier free. Suitable for WB, IHC-P, ICC/IF, IHC-Fr and reacts with Mouse, Rat, Dog, Cat samples. Immunogen corresponding to Synthetic Peptide within Mouse Sst.

View Alternative Names

Smst, Sst, Somatostatin

9 Images
Immunocytochemistry/ Immunofluorescence - Anti-Somatostatin antibody [HL1101] (AB307803)
  • ICC/IF

Supplier Data

Immunocytochemistry/ Immunofluorescence - Anti-Somatostatin antibody [HL1101] (AB307803)

Immunofluorescence analysis of 4% paraformaldehyde fixed DIV9 rat E18 primary cortical neuron cells labelling Somatostatin protein at nucleus and vesicle using ab307803 at a 1/250 dilution at RT for 15 min (Green). Tau, an axon marker was stained with anti-Tau antibody at a 1/500 dilution (Red). The nuclear counter stain is DAPI (Blue).

Immunohistochemistry (Formalin/PFA-fixed paraffin-embedded sections) - Anti-Somatostatin antibody [HL1101] (AB307803)
  • IHC-P

Supplier Data

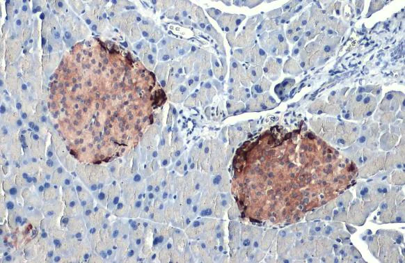
Immunohistochemistry (Formalin/PFA-fixed paraffin-embedded sections) - Anti-Somatostatin antibody [HL1101] (AB307803)

Paraffin-embedded mouse pancreas tissue stained for secreted Somatostatin protein with ab307803 at a 1/1000 dilution in immunohistochemical analysis.

Antigen Retrieval : Citrate buffer, pH 6.0, 15 min.

Immunohistochemistry - Anti-Somatostatin antibody [HL1101] (AB307803)
  • IHC

Supplier Data

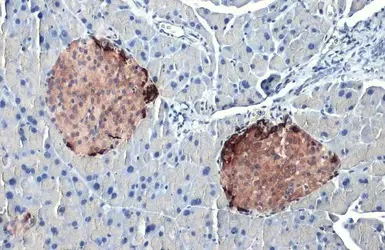
Immunohistochemistry - Anti-Somatostatin antibody [HL1101] (AB307803)

Somatostatin antibody [HL1101] detects secreted Somatostatin protein by immunohistochemical analysis. Sample : Paraffin-embedded mouse pancreas. Somatostatin stained by Somatostatin antibody [HL1101] (ab307803) diluted at 1 : 1000. Antigen Retrieval : Citrate buffer, pH 6.0, 15 min

Immunohistochemistry - Anti-Somatostatin antibody [HL1101] (AB307803)
  • IHC

Supplier Data

Immunohistochemistry - Anti-Somatostatin antibody [HL1101] (AB307803)

Somatostatin antibody [HL1101] detects Somatostatin protein at cytoplasm by immunohistochemical analysis. Sample : Paraffin-embedded mouse brain. Green : Somatostatin stained by Somatostatin antibody [HL1101] (ab307803) diluted at 1 : 250. Red : NF-H, a neural marker, stained by NF-H antibody [GT114] diluted at 1 : 250. Blue : Fluoroshield with DAPI. Antigen Retrieval : Citrate buffer, pH 6.0, 15 min

Immunohistochemistry (Frozen sections) - Anti-Somatostatin antibody [HL1101] (AB307803)
  • IHC-Fr

Supplier Data

Immunohistochemistry (Frozen sections) - Anti-Somatostatin antibody [HL1101] (AB307803)

Immunohistochemical analysis of Frozen sectioned mouse brain staining somatostatin protein at cell membrane and cytoplasm with ab307803 at a dilution of 1/150 (Green). The nuclear staining is DAPI (Blue).

Western blot - Anti-Somatostatin antibody [HL1101] (AB307803)
  • WB

Supplier Data

Western blot - Anti-Somatostatin antibody [HL1101] (AB307803)

Various tissue extracts (50 μg) were separated by 15% SDS-PAGE, and the membrane was blotted with Somatostatin antibody [HL1101] (ab307803) diluted at 1 : 5000. The HRP-conjugated anti-rabbit IgG antibody was used to detect the primary antibody.

Lane 1:

Mouse brain at 50 µg

Lane 2:

Rat brain at 50 µg

false

Western blot - Anti-Somatostatin antibody [HL1101] (AB307803)
  • WB

Supplier Data

Western blot - Anti-Somatostatin antibody [HL1101] (AB307803)

Samples were separated by 15% SDS-PAGE.

All lanes:

Western blot - Anti-Somatostatin antibody [HL1101] (ab307803) at 1/5000 dilution

Lane 1:

Mouse brain tissue at 50 µg

Lane 2:

Rat brain tissue at 50 µg

Secondary

All lanes:

HRP-conjugated anti-rabbit IgG antibody

Predicted band size: 12 kDa

false

Immunohistochemistry (Formalin/PFA-fixed paraffin-embedded sections) - Anti-Somatostatin antibody [HL1101] (AB307803)
  • IHC-P

Supplier Data

Immunohistochemistry (Formalin/PFA-fixed paraffin-embedded sections) - Anti-Somatostatin antibody [HL1101] (AB307803)

Paraffin-embedded dog tissue tissue stained for Somatostatin protein at cytoplasm with ab307803 at a 1/100 dilution in immunohistochemical analysis.

Antigen Retrieval : Citrate buffer, pH 6.0, 15 min.

Immunohistochemistry (Formalin/PFA-fixed paraffin-embedded sections) - Anti-Somatostatin antibody [HL1101] (AB307803)
  • IHC-P

Supplier Data

Immunohistochemistry (Formalin/PFA-fixed paraffin-embedded sections) - Anti-Somatostatin antibody [HL1101] (AB307803)

Paraffin-embedded cat pancreas tissue stained for Somatostatin protein at cytoplasm with ab307803 at a 1/100 dilution in immunohistochemical analysis.

Antigen Retrieval : Citrate buffer, pH 6.0, 15 min.

Key facts

Host species

Rabbit

Clonality

Monoclonal

Clone number

HL1101

Isotype

IgG

Carrier free

Yes

Reacts with

Mouse, Rat, Dog, Cat

Applications

WB, IHC-P, ICC/IF, IHC-Fr

applications

Immunogen

Synthetic Peptide within Mouse Sst. The exact immunogen used to generate this antibody is proprietary information.

P60041

Reactivity data

{ "title": "Reactivity Data", "filters": { "stats": ["", "Species", "Dilution Info", "Notes"], "tabs": { "all-applications": {"fullname" : "All Applications", "shortname": "All Applications"}, "WB" : {"fullname" : "Western blot", "shortname":"WB"}, "IHCP" : {"fullname" : "Immunohistochemistry (Formalin/PFA-fixed paraffin-embedded sections)", "shortname":"IHC-P"}, "ICCIF" : {"fullname" : "Immunocytochemistry/ Immunofluorescence", "shortname":"ICC/IF"}, "IHCFr" : {"fullname" : "Immunohistochemistry (Frozen sections)", "shortname":"IHC-Fr"} }, "product-promise": { "all": "all", "testedAndGuaranteed": "tested", "guaranteed": "expected", "predicted": "predicted", "notRecommended": "not-recommended" } }, "values": { "Mouse": { "WB-species-checked": "testedAndGuaranteed", "WB-species-dilution-info": "1/500 - 1/3000", "WB-species-notes": "<p></p>", "IHCP-species-checked": "testedAndGuaranteed", "IHCP-species-dilution-info": "1/250 - 1/1000", "IHCP-species-notes": "<p></p> Perform heat-mediated antigen retrieval with citrate buffer pH 6 before commencing with IHC staining protocol.", "ICCIF-species-checked": "guaranteed", "ICCIF-species-dilution-info": "", "ICCIF-species-notes": "", "IHCFr-species-checked": "testedAndGuaranteed", "IHCFr-species-dilution-info": "", "IHCFr-species-notes": "<p></p>" }, "Rat": { "WB-species-checked": "testedAndGuaranteed", "WB-species-dilution-info": "1/500 - 1/3000", "WB-species-notes": "<p></p>", "IHCP-species-checked": "guaranteed", "IHCP-species-dilution-info": "", "IHCP-species-notes": "", "ICCIF-species-checked": "testedAndGuaranteed", "ICCIF-species-dilution-info": "1/250", "ICCIF-species-notes": "<p></p>", "IHCFr-species-checked": "guaranteed", "IHCFr-species-dilution-info": "", "IHCFr-species-notes": "" }, "Cat": { "WB-species-checked": "guaranteed", "WB-species-dilution-info": "", "WB-species-notes": "", "IHCP-species-checked": "testedAndGuaranteed", "IHCP-species-dilution-info": "1/250 - 1/1000", "IHCP-species-notes": "<p></p> Perform heat-mediated antigen retrieval with citrate buffer pH 6 before commencing with IHC staining protocol.", "ICCIF-species-checked": "guaranteed", "ICCIF-species-dilution-info": "", "ICCIF-species-notes": "", "IHCFr-species-checked": "guaranteed", "IHCFr-species-dilution-info": "", "IHCFr-species-notes": "" }, "Dog": { "WB-species-checked": "guaranteed", "WB-species-dilution-info": "", "WB-species-notes": "", "IHCP-species-checked": "testedAndGuaranteed", "IHCP-species-dilution-info": "1/250 - 1/1000", "IHCP-species-notes": "<p></p> Perform heat-mediated antigen retrieval with citrate buffer pH 6 before commencing with IHC staining protocol.", "ICCIF-species-checked": "guaranteed", "ICCIF-species-dilution-info": "", "ICCIF-species-notes": "", "IHCFr-species-checked": "guaranteed", "IHCFr-species-dilution-info": "", "IHCFr-species-notes": "" } } }

Product details

What are the advantages of a recombinant monoclonal antibody?
This product is a recombinant monoclonal antibody, which offers several advantages including:

  • - High batch-to-batch consistency and reproducibility
  • - Improved sensitivity and specificity
  • - Long-term security of supply
  • - Animal-free batch production

For more information, read more on recombinant antibodies.

Conjugation ready
Our carrier-free antibodies are typically supplied in a PBS-only formulation, purified and free of BSA, sodium azide and glycerol. This conjugation-ready format is designed for use with fluorochromes, metal isotopes, oligonucleotides, and enzymes, which makes them ideal for antibody labelling, functional and cell-based assays, flow-based assays (e.g. mass cytometry) and Multiplex Imaging applications.

Use our conjugation kits for antibody conjugates that are ready-to-use in as little as 20 minutes with 1 minute hands-on-time and 100% antibody recovery: available for fluorescent dyes, HRP, biotin and gold.

Properties and storage information

Form
Liquid
Purification technique
Affinity purification Protein A
Storage buffer
pH: 7.4 Constituents: PBS
Shipped at conditions
Blue Ice
Appropriate short-term storage duration
1-2 weeks
Appropriate short-term storage conditions
+4°C
Appropriate long-term storage conditions
+4°C
Aliquoting information
Upon delivery aliquot
Storage information
Avoid freeze / thaw cycle

Supplementary information

This supplementary information is collated from multiple sources and compiled automatically.

Somatostatin also known as growth hormone-inhibiting hormone (GHIH) is a peptide hormone with a molecular mass around 3200 Daltons. This protein is expressed mainly in the central nervous system including the hypothalamus as well as in the pancreas and gastrointestinal tract. Somatostatin consists of two biologically active forms: one with 14 amino acids and another with 28 amino acids. This target exerts its mechanical function by binding to specific G-protein-coupled somatostatin receptors leading to inhibition of various signaling pathways.
Biological function summary

Somatostatin regulates the endocrine system and affects neurotransmission and cell proliferation. It inhibits the secretion of several hormones such as growth hormone thyroid-stimulating hormone and insulin. Somatostatin also plays a role in reducing gastric acid secretion and slowing down gastrointestinal motility. While somatostatin does not act as part of a larger complex its action is highly localized in the tissues where it is produced and released.

Pathways

Somatostatin acts significantly in both the growth hormone and insulin signaling pathways. In the growth hormone pathway it serves as a counter-regulatory hormone to growth hormone-releasing hormone (GHRH) therefore controlling growth hormone levels. In the insulin signaling pathway somatostatin interacts with insulin and glucagon modulating glucose metabolism. It is also related to other proteins like cortistatin which shares similar functions and can bind to the same receptors.

Somatostatin is linked with conditions such as acromegaly and diabetes. In acromegaly excessive growth hormone production occurs due to reduced somatostatin activity making somatostatin analogs a therapeutic option. Meanwhile in diabetes altered somatostatin levels can influence insulin and glucagon balance affecting glucose homeostasis. Somatostatin’s interaction with its receptors and proteins like insulin plays an important role in the management of these conditions.

Product protocols

For this product, it's our understanding that no specific protocols are required. You can visit:

Target data

Somatostatin-14. Inhibits the secretion of pituitary hormones, including that of growth hormone/somatotropin (GH1), PRL, ACTH, luteinizing hormone (LH) and TSH. Also impairs ghrelin- and GnRH-stimulated secretion of GH1 and LH; the inhibition of ghrelin-stimulated secretion of GH1 can be further increased by neuronostatin.. Neuronostatin. May enhance low-glucose-induced glucagon release by pancreatic alpha cells (PubMed : 24735892). This effect may be mediated by binding to GPR107 and PKA activation (PubMed : 26561648). May regulate cardiac contractile function (PubMed : 25012062). May compromise cardiomyocyte viability (By similarity). In the central nervous system, may impair memory retention and may affect hippocampal excitability (By similarity). May also have anxiolytic and anorexigenic effects (By similarity). May play a role in arterial pressure regulation (By similarity). May inhibit basal, but not ghrelin- or GnRH-stimulated secretion of GH1 or LH, but does not affect the release of other pituitary hormones, including PRL, ACTH, FSH or TSH (By similarity). Potentiates inhibitory action of somatostatin on ghrelin-stimulated secretion of GH1, but not that on GnRH-stimulated secretion of LH (By similarity).
See full target information Sst

Product promise

We are committed to supporting your work with high-quality reagents, and we're here for you every step of the way. In the unlikely event that one of our products does not perform as expected, you're protected by our Product Promise.
For full details, please see our Terms & Conditions

Please note: All products are 'FOR RESEARCH USE ONLY. NOT FOR USE IN DIAGNOSTIC OR THERAPEUTIC PROCEDURES'.

For licensing inquiries, please contact partnerships@abcam.com