JavaScript is disabled in your browser. Please enable JavaScript to view this website.
AB140933

Anti-Somatostatin Receptor 2 antibody - Extracellular domain

Be the first to review this product! Submit a review

|

(3 Publications)

Rabbit Polyclonal Somatostatin Receptor 2 antibody. Suitable for IHC-P and reacts with Human samples. Cited in 3 publications. Immunogen corresponding to Synthetic Peptide within Human SSTR2.

View Alternative Names

Somatostatin receptor type 2, SS-2-R, SS2-R, SS2R, SST2, SRIF-1, SSTR2

1 Images
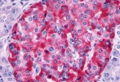
Immunohistochemistry (Formalin/PFA-fixed paraffin-embedded sections) - Anti-Somatostatin Receptor 2 antibody - Extracellular domain (AB140933)
  • IHC-P

Unknown

Immunohistochemistry (Formalin/PFA-fixed paraffin-embedded sections) - Anti-Somatostatin Receptor 2 antibody - Extracellular domain (AB140933)

Immunohistochemical analysis of formalin fixed, paraffin embedded Human pancreas, islet of Langerhans tissue labelling Somatostatin Receptor 2 with ab140933 at 24 µg/ml.

Key facts

Host species

Rabbit

Clonality

Polyclonal

Isotype

IgG

Carrier free

No

Reacts with

Human

Applications

IHC-P

applications

Immunogen

Synthetic Peptide within Human SSTR2. The exact immunogen used to generate this antibody is proprietary information.

P30874

Specificity

BLAST analysis of the peptide immunogen showed no homology with other Human proteins.

Reactivity data

{ "title": "Reactivity Data", "filters": { "stats": ["", "Species", "Dilution Info", "Notes"], "tabs": { "all-applications": {"fullname" : "All Applications", "shortname": "All Applications"}, "IHCP" : {"fullname" : "Immunohistochemistry (Formalin/PFA-fixed paraffin-embedded sections)", "shortname":"IHC-P"} }, "product-promise": { "all": "all", "testedAndGuaranteed": "tested", "guaranteed": "expected", "predicted": "predicted", "notRecommended": "not-recommended" } }, "values": { "Human": { "IHCP-species-checked": "testedAndGuaranteed", "IHCP-species-dilution-info": "24 µg/mL", "IHCP-species-notes": "<p></p> Perform heat-mediated antigen retrieval with citrate buffer pH 6 before commencing with IHC staining protocol." }, "Mouse": { "IHCP-species-checked": "predicted", "IHCP-species-dilution-info": "", "IHCP-species-notes": "" }, "Rat": { "IHCP-species-checked": "predicted", "IHCP-species-dilution-info": "", "IHCP-species-notes": "" }, "Bat": { "IHCP-species-checked": "predicted", "IHCP-species-dilution-info": "", "IHCP-species-notes": "" }, "Common marmoset": { "IHCP-species-checked": "predicted", "IHCP-species-dilution-info": "", "IHCP-species-notes": "" }, "Cow": { "IHCP-species-checked": "predicted", "IHCP-species-dilution-info": "", "IHCP-species-notes": "" }, "Dog": { "IHCP-species-checked": "predicted", "IHCP-species-dilution-info": "", "IHCP-species-notes": "" }, "Elephant": { "IHCP-species-checked": "predicted", "IHCP-species-dilution-info": "", "IHCP-species-notes": "" }, "Horse": { "IHCP-species-checked": "predicted", "IHCP-species-dilution-info": "", "IHCP-species-notes": "" }, "Monkey": { "IHCP-species-checked": "predicted", "IHCP-species-dilution-info": "", "IHCP-species-notes": "" }, "Pig": { "IHCP-species-checked": "predicted", "IHCP-species-dilution-info": "", "IHCP-species-notes": "" } } }

Properties and storage information

Form
Liquid
Purification technique
Affinity purification Immunogen
Storage buffer
pH: 7.4 Preservative: 0.1% Sodium azide Constituents: PBS
Shipped at conditions
Blue Ice
Appropriate short-term storage conditions
+4°C
Appropriate long-term storage conditions
-20°C

Supplementary information

This supplementary information is collated from multiple sources and compiled automatically.

The somatostatin receptor 2 (SSTR2) also known as SS2R serves as a G protein-coupled receptor with a molecular mass of approximately 40-60 kDa. SSTR2 specifically binds somatostatin a peptide hormone that regulates the endocrine system neurotransmission and cell proliferation via interaction with various somatostatin receptors. Scientists find SSTR2 expressed in high levels in the pituitary gland central nervous system gastrointestinal tract and pancreatic cells.
Biological function summary

Somatostatin receptor 2 mediates the inhibitory effects of somatostatin on cell growth and the release of other hormones. It functions as part of the receptor complex modulating intracellular signaling pathways. SSTR2 often interacts closely with other molecules like G proteins to inhibit adenylyl cyclase reducing cyclic AMP (cAMP) levels and influencing diverse cellular responses. The receptor's ability to influence such processes emphasizes its role in maintaining cellular and systemic homeostasis.

Pathways

Somatostatin receptor 2 plays an important role in the inhibitory signaling pathways related to growth hormone regulation and neurotransmitter release. SSTR2 actively participates in the somatostatin signaling pathway intimately interacting with proteins such as adenylate cyclase and phospholipase C. Another important pathway includes the regulation of the MAPK pathway serving to modulate cell proliferation and survival reiterating its regulatory function within endocrine signaling and cellular communication.

Somatostatin receptor 2 demonstrates significant involvement in neuroendocrine tumors and acromegaly. The overexpression of SSTR2 in neuroendocrine tumors provides a valuable target for diagnostic imaging and therapeutic interventions using somatostatin analogs. In acromegaly where excess growth hormone production occurs SSTR2's modulation of growth hormone release becomes important; it often works alongside growth hormone receptors and IGF-1 to limit abnormal growth. Therefore the receptor's targeting offers therapeutic potential and advances disease understanding.

Product protocols

For this product, it's our understanding that no specific protocols are required. You can visit:

Target data

Receptor for somatostatin-14 and -28. This receptor is coupled via pertussis toxin sensitive G proteins to inhibition of adenylyl cyclase. In addition it stimulates phosphotyrosine phosphatase and PLC via pertussis toxin insensitive as well as sensitive G proteins. Inhibits calcium entry by suppressing voltage-dependent calcium channels. Acts as the functionally dominant somatostatin receptor in pancreatic alpha- and beta-cells where it mediates the inhibitory effect of somatostatin-14 on hormone secretion. Inhibits cell growth through enhancement of MAPK1 and MAPK2 phosphorylation and subsequent up-regulation of CDKN1B. Stimulates neuronal migration and axon outgrowth and may participate in neuron development and maturation during brain development. Mediates negative regulation of insulin receptor signaling through PTPN6. Inactivates SSTR3 receptor function following heterodimerization.
See full target information SSTR2

Publications (3)

Recent publications for all applications. Explore the full list and refine your search

Clinical case reports 12:e9390 PubMed39507000

2024

Insulinoma with suspected mutant somatostatin receptor expression according to histological examination.

Applications

Unspecified application

Species

Unspecified reactive species

Shunichiro Onish,Aki Takada-Watanabe,Robert Y Osamura,Takayuki Shiomi,Hiroyuki Kusano,Yoshiro Maezawa,Hiroyuki Murai,Makoto Miyabayashi,Sakutaro Koike,Tomohiko Yoshida,Minoru Takemoto

Research in veterinary science 119:61-66 PubMed29864631

2018

Protein expression of somatostatin receptor 2, somatostatin receptor 5 and dopamine D2 receptor in normal pituitary gland and ACTH-secreting pituitary adenoma in dogs.

Applications

IHC-P

Species

Dog

Asaka Sato,Yasushi Hara

International journal of clinical and experimental 8:13185-92 PubMed26722517

2015

Expression of somatostatin receptors (SSTR1-SSTR5) in meningiomas and its clinicopathological significance.

Applications

Unspecified application

Species

Unspecified reactive species

Camila Batista de Oliveira Silva,Bárbara Roberta Ongaratti,Geraldine Trott,Taiana Haag,Nelson Pires Ferreira,Carolina Garcia Soares Leães,Julia Fernanda Semmelmann Pereira-Lima,Miriam da Costa Oliveira
View all publications

Product promise

We are committed to supporting your work with high-quality reagents, and we're here for you every step of the way. In the unlikely event that one of our products does not perform as expected, you're protected by our Product Promise.
For full details, please see our Terms & Conditions

Please note: All products are 'FOR RESEARCH USE ONLY. NOT FOR USE IN DIAGNOSTIC OR THERAPEUTIC PROCEDURES'.

For licensing inquiries, please contact partnerships@abcam.com