JavaScript is disabled in your browser. Please enable JavaScript to view this website.
AB109495

Anti-Somatostatin Receptor 5 antibody [UMB4]

  • BOND RX™ Validated
  • RabMAb
  • Recombinant
  • 20ul selling size
  • What is this?

Be the first to review this product! Submit a review

|

(51 Publications)

Anti-Somatostatin Receptor 5 antibody [UMB4] (ab109495) is a rabbit monoclonal antibody detecting Somatostatin Receptor 5 in Western Blot, IHC-P. Suitable for Human.

- Biophysical QC for unrivalled batch-batch consistency
- Over 40 publications

View Alternative Names

Somatostatin receptor type 5, SS-5-R, SS5-R, SS5R, SST5, SSTR5

4 Images
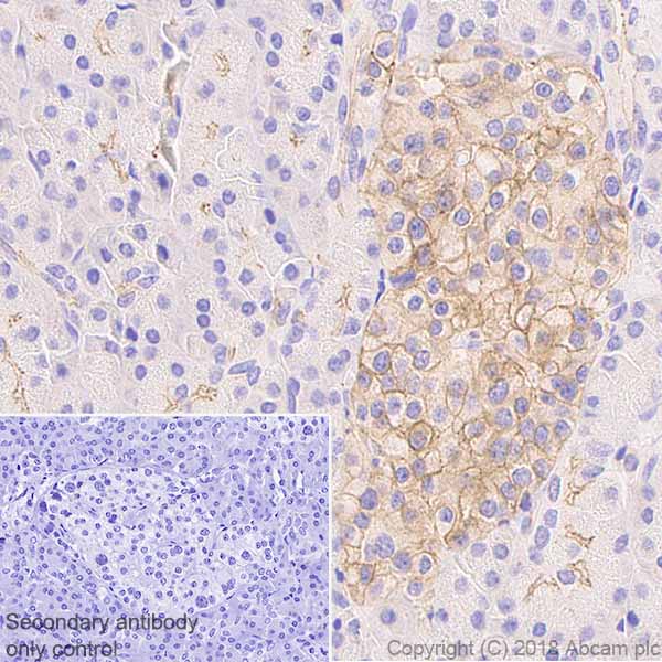
Immunohistochemistry (Formalin/PFA-fixed paraffin-embedded sections) - Anti-Somatostatin Receptor 5 antibody [UMB4] (AB109495)
  • IHC-P

Lab

Immunohistochemistry (Formalin/PFA-fixed paraffin-embedded sections) - Anti-Somatostatin Receptor 5 antibody [UMB4] (AB109495)

Immunohistochemical analysis of formalin fixed paraffin embedded human pancreas labelling Somatostatin Receptor 5 with ab109495 at a concentration of 8 μg/ml. The immunostaining was performed on a Ventana DISCOVERY ULTRA (Roche Tissue Diagnostics) instrument with a OptiView DAB IHC Detection Kit. The heat-mediated antigen retrieval was conducted with DISCOVERY cell conditioning solution (CC1) at 100 °C, pH 8.5 for 32 mins. ab109495 Anti-Somatostatin Receptor 5 antibody [UMB4] was incubated for 16 mins, at 37 °C. Sections were counterstained with Hematoxylin II. Image inset shows absence of staining in secondary antibody only control.

Customers are encouraged to optimise antigen retrieval conditions, antibody concentration, incubation times and temperature for best results in their own IHC assay workflow (automated and manual).

Immunohistochemistry (Formalin/PFA-fixed paraffin-embedded sections) - Anti-Somatostatin Receptor 5 antibody [UMB4] (AB109495)
  • IHC-P

Unknown

Immunohistochemistry (Formalin/PFA-fixed paraffin-embedded sections) - Anti-Somatostatin Receptor 5 antibody [UMB4] (AB109495)

Immunohistochemistry (Formalin/PFA-fixed paraffin-embedded sections) analysis of Human pancreas tissue sections labeling Somatostatin Receptor 5 with Purified ab109495 at 1 : 50 dilution (16.3 µg/ml). Heat mediated antigen retrieval was performed with Tris/EDTA buffer (pH 9.0, epitope retrieval solution 2) for 10mins.. Performed on a Leica Biosystems BOND ® RX instrument.was used as the secondary antibody.Negative control : PBS instead of the primary antibody.Hematoxylin was used as a counterstain.

Immunohistochemistry (Formalin/PFA-fixed paraffin-embedded sections) - Anti-Somatostatin Receptor 5 antibody [UMB4] (AB109495)
  • IHC-P

PubMed

Immunohistochemistry (Formalin/PFA-fixed paraffin-embedded sections) - Anti-Somatostatin Receptor 5 antibody [UMB4] (AB109495)

Somatostatin receptor 2 (SSTR2), somatostatin receptor 5 (SSTR5) and CXCR4 expression in the hepatoblastoma cell line HepG2 and in the hepatoma cell lines Hep3B and HuH-7 in comparison to the small cell lung cancer cell line NCI-H69 and the neuroendocrine tumor cell line BON-1. Immunohistochemistry (red-brown color), counterstaining with hematoxylin; scale bar : 20 μm. Representative photomicrographs of three independent batches are shown.

HepG2, Hep3B, HuH-7, NCI-H-69, and BON-1 cells (DSMZ, Braunschweig, Germany) were grown in 75 cm2 culture flasks to a confluency of 80%. Cells were washed once with phosphate-buffered saline and transferred into 10% buffered formalin (J.T.Baker, Deventer, The Netherlands) for 2 h. After centrifugation for 10 min at 3500 x g, the supernatant was removed, and 1 ml human pool plasma was added to the cell samples. After brief vortexing, 100 μl human fibrinogen (50–70% protein; ≥80% clottable) was added to each sample, and the samples were vortexed again. The resulting clots were placed for another 24 h in 10% buffered formalin and embedded in paraffin blocks.

Kaemmerer, D. et al BMC Cancer. 2017 Dec 28;17(1):896. doi: 10.1186/s12885-017-3911-3 Reproduced under the Creative Commons license https://creativecommons.org/licenses/by/4.0/

Western blot - Anti-Somatostatin Receptor 5 antibody [UMB4] (AB109495)
  • WB

Unknown

Western blot - Anti-Somatostatin Receptor 5 antibody [UMB4] (AB109495)

Blocking and diluting buffer : 5% NFDM/TBST

All lanes:

Western blot - Anti-Somatostatin Receptor 5 antibody [UMB4] (ab109495) at 0.08 µg/mL

All lanes:

293T (Human embryonic kidney epithelial cell) transfected with human SSTR5 expression vector, whole cell lysate at 15 µg

Secondary

All lanes:

Western blot - Goat Anti-Rabbit IgG H&L (HRP) (<a href='/en-us/products/secondary-antibodies/goat-rabbit-igg-h-l-hrp-ab97051'>ab97051</a>) at 1/20000 dilution

Predicted band size: 39 kDa

false

  • Carrier free

    Anti-Somatostatin Receptor 5 antibody [UMB4] - BSA and Azide free

Key facts

Host species

Rabbit

Clonality

Monoclonal

Clone number

UMB4

Isotype

IgG

Carrier free

No

Reacts with

Human

Applications

IHC-P, WB

applications

Immunogen

The exact immunogen used to generate this antibody is proprietary information.

Specificity

Internal WB test in PANC-1, human pancreas and human brain lysates indicates this antibody might not detect endogenous Somatostatin Receptor 5.

Reactivity data

{ "title": "Reactivity Data", "filters": { "stats": ["", "Species", "Dilution Info", "Notes"], "tabs": { "all-applications": {"fullname" : "All Applications", "shortname": "All Applications"}, "IHCP" : {"fullname" : "Immunohistochemistry (Formalin/PFA-fixed paraffin-embedded sections)", "shortname":"IHC-P"}, "FlowCyt" : {"fullname" : "Flow Cytometry", "shortname":"Flow Cyt"}, "WB" : {"fullname" : "Western blot", "shortname":"WB"}, "ICCIF" : {"fullname" : "Immunocytochemistry/ Immunofluorescence", "shortname":"ICC/IF"} }, "product-promise": { "all": "all", "testedAndGuaranteed": "tested", "guaranteed": "expected", "predicted": "predicted", "notRecommended": "not-recommended" } }, "values": { "Human": { "IHCP-species-checked": "testedAndGuaranteed", "IHCP-species-dilution-info": "1/50", "IHCP-species-notes": "<p><strong>For unpurified use at 1/100-1/250</strong></p> Perform heat-mediated antigen retrieval via the pressure cooker method before commencing with IHC staining protocol.", "FlowCyt-species-checked": "notRecommended", "FlowCyt-species-dilution-info": "", "FlowCyt-species-notes": "<p></p>", "WB-species-checked": "testedAndGuaranteed", "WB-species-dilution-info": "1/1000 - 1/10000", "WB-species-notes": "<p>Internal WB test in PANC-1, human pancreas and human brain lysates indicates this antibody might not detect endogenous Somatostatin Receptor 5.</p>", "ICCIF-species-checked": "notRecommended", "ICCIF-species-dilution-info": "", "ICCIF-species-notes": "<p></p>" } } }

Product details

What is this antibody validated in?
Anti-Somatostatin Receptor 5 antibody [UMB4] (ab109495) is a rabbit recombinant monoclonal antibody and is validated for use in Western Blot (WB), Immunohistochemistry (IHC-P) in Human samples.

What is the molecular weight of Somatostatin Receptor 5?
Anti-Somatostatin Receptor 5 [UMB4] (ab109495) specifically detects a band for Somatostatin Receptor 5 (UniProt: P35346) at a molecular weight of 39kDa.

Trusted by the scientific community
Anti-Somatostatin Receptor 5 [UMB4] (ab109495) was first used in a scientific publication in 2011 and has been cited over 40 times in peer-reviewed journals.

Trial sizes available!
Test your antibody or perform pre-screening before committing to a larger quantity. Sold in 10µl. Discover our selection of trial-size antibodies.

Other related products
We have a range of other formats of antibody clone [UMB4] also available for your convenience: ab109495, Carrier free - ab236074

Patented technology
Our RabMAb® technology is a patented hybridoma-based technology for making rabbit monoclonal antibodies. For details on our patents, please refer to RabMAb® patents.

What are the advantages of a recombinant monoclonal antibody?
This product is a recombinant monoclonal antibody, which offers several advantages including:

  • - High batch-to-batch consistency and reproducibility
  • - Improved sensitivity and specificity
  • - Long-term security of supply
  • - Animal-free batch production

For more information, read more on recombinant antibodies.

Properties and storage information

Form
Liquid
Purification technique
Affinity purification Protein A
Storage buffer
pH: 7.2 - 7.4 Preservative: 0.01% Sodium azide Constituents: PBS, 40% Glycerol (glycerin, glycerine), 0.05% BSA
Shipped at conditions
Blue Ice
Appropriate short-term storage duration
1-2 weeks
Appropriate short-term storage conditions
+4°C
Appropriate long-term storage conditions
-20°C
Aliquoting information
Upon delivery aliquot
Storage information
Stable for 12 months at -20°C

Supplementary information

This supplementary information is collated from multiple sources and compiled automatically.

Somatostatin Receptor 5 also known as SSTR5 is a G protein-coupled receptor with a molecular weight of approximately 61 kDa. Mechanically SSTR5 couples with G proteins to inhibit adenylyl cyclase activity leading to reduced cAMP levels. This receptor is expressed in different tissues including the brain pituitary gland and pancreas reflecting its diverse physiological roles. SSTR5 exhibits a distinct expression pattern compared to other somatostatin receptors providing a unique contribution to tissue-specific functions.
Biological function summary

The Somatostatin Receptor 5 regulates hormone secretion and cell proliferation. SSTR5 is not a part of a larger protein complex but it interacts with molecules such as somatostatin which is a peptide hormone that inhibits the release of several other hormones. Through these interactions SSTR5 helps control endocrine and exocrine secretions. Its role in modulating cell growth makes it an important factor in maintaining tissue homeostasis and influencing cell signaling processes.

Pathways

Somatostatin Receptor 5 is involved in the cAMP signaling pathway and the MAPK/ERK pathway. In the cAMP signaling pathway SSTR5 helps mediate the inhibitory effects on adenylyl cyclase while in the MAPK/ERK pathway it influences cell proliferation and differentiation. Related proteins in these pathways include other somatostatin receptors like SSTR2 with which SSTR5 might share regulatory effects on inhibitory processes. These pathways highlight the receptor's role in integrating multiple signaling cascades affecting both cellular metabolism and growth.

Somatostatin Receptor 5 is associated with growth hormone-related disorders such as acromegaly and certain types of cancer like pancreatic cancer. In acromegaly SSTR5 alongside SSTR2 impacts the pathological overproduction of growth hormone due to its expression in pituitary adenomas. In pancreatic cancer an altered expression of SSTR5 can influence tumor progression due to its regulatory effects on cell proliferation pathways. Understanding SSTR5's interaction with these diseases helps in developing therapeutic strategies targeting its specific signaling functions.

Product protocols

For this product, it's our understanding that no specific protocols are required. You can visit:

Target data

Receptor for somatostatin 28 and to a lesser extent for somatostatin-14. The activity of this receptor is mediated by G proteins which inhibit adenylyl cyclase. Increases cell growth inhibition activity of SSTR2 following heterodimerization.
See full target information SSTR5

Publications (51)

Recent publications for all applications. Explore the full list and refine your search

Neuroendocrinology 115:618-631 PubMed40188826

2025

Upregulation of SSTR2 Expression and Radioligand Binding of [18F]SiTATE in Neuroendocrine Tumour Cells with Combined Inhibition of Class I HDACs and LSD1.

Applications

Unspecified application

Species

Unspecified reactive species

Christoph J Auernhammer,Kathrin Zitzmann,Simon Lindner,Harun Ilhan,Peter Bartenstein,Umberto Maccio,Michael Orth,Lea Peischer,Julian Maurer,Gerald Spoettl,Katharina Wang,Christine Spitzweg,Alessa Fischer,Constanze Hantel,Ashley B Grossman,Felix Beuschlein,Karel Pacak,Svenja Nölting

Clinical case reports 12:e9390 PubMed39507000

2024

Insulinoma with suspected mutant somatostatin receptor expression according to histological examination.

Applications

Unspecified application

Species

Unspecified reactive species

Shunichiro Onish,Aki Takada-Watanabe,Robert Y Osamura,Takayuki Shiomi,Hiroyuki Kusano,Yoshiro Maezawa,Hiroyuki Murai,Makoto Miyabayashi,Sakutaro Koike,Tomohiko Yoshida,Minoru Takemoto

Endocrine journal 72:93-102 PubMed39443112

2024

Mutual associations among responsiveness to differential diagnostic tests for Cushing's disease, tumor size, and somatostatin receptor 5 expression in corticotroph tumors.

Applications

Unspecified application

Species

Unspecified reactive species

Karolina Budzen,Kosuke Mukai,Yuto Mitsui,Michio Otsuki,Atsunori Fukuhara,Satoru Oshino,Youichi Saitoh,Masaharu Kohara,Eiichi Morii,Iichiro Shimomura

International journal of molecular sciences 25: PubMed39201352

2024

Predicting Response to Medical Treatment in Acromegaly via Granulation Pattern, Expression of Somatostatin Receptors Type 2 and 5 and E-Cadherin.

Applications

Unspecified application

Species

Unspecified reactive species

Maximilian Cosma Gliga,Laura Chinezu,Ionela Maria Pascanu

Pituitary 27:527-536 PubMed38954291

2024

Growth hormone increase by luteinizing hormone-releasing hormone reflects gonadotroph-related characteristics in acromegaly.

Applications

Unspecified application

Species

Unspecified reactive species

Yuto Mitsui,Kosuke Mukai,Michio Otsuki,Satoru Oshino,Youichi Saitoh,Masaharu Kohara,Eiichi Morii,Atsunori Fukuhara,Iichiro Shimomura

Endocrine connections 12: PubMed37851558

2023

Somatostatin receptor expression and clinical outcome of multilineage pituitary tumours expressing PIT1 and SF1.

Applications

Unspecified application

Species

Unspecified reactive species

Prishila Fookeerah,Winny Varikatt,Meena Shingde,Mark A J Dexter,Mark McLean

Endocrine connections : PubMed37751411

2023

Somatostatin receptor expression and clinical outcome of multilineage PIT1 and SF1 pituitary tumours.

Applications

Unspecified application

Species

Unspecified reactive species

Prishila Fookeerah,Winny Varikatt,Meena Shingde,Mark A J Dexter,Mark McLean

APMIS : acta pathologica, microbiologica, et immunologica Scandinavica 131:152-160 PubMed36680557

2023

Immunohistochemical somatostatin receptor expression in insulinomas.

Applications

Unspecified application

Species

Unspecified reactive species

Elina Peltola,Tiina Vesterinen,Helena Leijon,Päivi Hannula,Heini Huhtala,Markus Mäkinen,Lasse Nieminen,Elina Pirinen,Mikko Rönty,Mirva Söderström,Johanna Arola,Pia Jaatinen

Pathology oncology research : POR 28:1610824 PubMed36699621

2023

Clinicopathologic features of gastric glomus tumor: A report of 15 cases and literature review.

Applications

Unspecified application

Species

Unspecified reactive species

Minying Deng,Rongkui Luo,Jie Huang,Yuanlong Luo,Qi Song,Huaiyu Liang,Chen Xu,Wei Yuan,Yingyong Hou

Cellular oncology (Dordrecht) 45:1401-1419 PubMed36269546

2022

Novel preclinical gastroenteropancreatic neuroendocrine neoplasia models demonstrate the feasibility of mutation-based targeted therapy.

Applications

Unspecified application

Species

Unspecified reactive species

Fabrice Viol,Bence Sipos,Martina Fahl,Till S Clauditz,Tania Amin,Malte Kriegs,Maike Nieser,Jakob R Izbicki,Samuel Huber,Ansgar W Lohse,Jörg Schrader
View all publications

Product promise

We are committed to supporting your work with high-quality reagents, and we're here for you every step of the way. In the unlikely event that one of our products does not perform as expected, you're protected by our Product Promise.
For full details, please see our Terms & Conditions

Please note: All products are 'FOR RESEARCH USE ONLY. NOT FOR USE IN DIAGNOSTIC OR THERAPEUTIC PROCEDURES'.

For licensing inquiries, please contact partnerships@abcam.com