JavaScript is disabled in your browser. Please enable JavaScript to view this website.
AB236074

Anti-Somatostatin Receptor 5 antibody [UMB4] - BSA and Azide free

Be the first to review this product! Submit a review

|

(1 Publication)

Rabbit Recombinant Monoclonal Somatostatin Receptor 5 antibody. Carrier free. Suitable for IHC-P, WB and reacts with Human samples. Cited in 1 publication.

View Alternative Names

Somatostatin receptor type 5, SS-5-R, SS5-R, SS5R, SST5, SSTR5

2 Images
Immunohistochemistry (Formalin/PFA-fixed paraffin-embedded sections) - Anti-Somatostatin Receptor 5 antibody [UMB4] - BSA and Azide free (AB236074)
  • IHC-P

Unknown

Immunohistochemistry (Formalin/PFA-fixed paraffin-embedded sections) - Anti-Somatostatin Receptor 5 antibody [UMB4] - BSA and Azide free (AB236074)

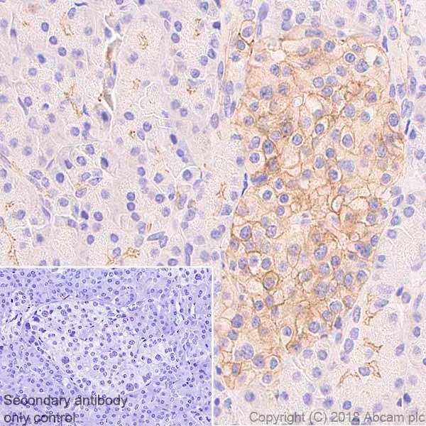
Immunohistochemistry (Formalin/PFA-fixed paraffin-embedded sections) analysis of Human pancreas tissue sections labeling Somatostatin Receptor 5 with Purified ab109495 at 1 : 50 dilution (16.3 µg/ml). Heat mediated antigen retrieval was performed with Tris/EDTA buffer (pH 9.0, epitope retrieval solution 2) for 10mins.. Performed on a Leica Biosystems BOND ® RX instrument.was used as the secondary antibody. Negative control : PBS instead of the primary antibody. Hematoxylin was used as a counterstain.This data was developed using the same antibody clone in a different buffer formulation containing PBS, BSA, glycerol, and sodium azide (ab109495).

Immunohistochemistry (Formalin/PFA-fixed paraffin-embedded sections) - Anti-Somatostatin Receptor 5 antibody [UMB4] - BSA and Azide free (AB236074)
  • IHC-P

PubMed

Immunohistochemistry (Formalin/PFA-fixed paraffin-embedded sections) - Anti-Somatostatin Receptor 5 antibody [UMB4] - BSA and Azide free (AB236074)

Somatostatin receptor 2 (SSTR2), somatostatin receptor 5 (SSTR5) and CXCR4 expression in the hepatoblastoma cell line HepG2 and in the hepatoma cell lines Hep3B and HuH-7 in comparison to the small cell lung cancer cell line NCI-H69 and the neuroendocrine tumor cell line BON-1. Immunohistochemistry (red-brown color), counterstaining with hematoxylin; scale bar : 20 μm. Representative photomicrographs of three independent batches are shown.

HepG2, Hep3B, HuH-7, NCI-H-69, and BON-1 cells (DSMZ, Braunschweig, Germany) were grown in 75 cm2 culture flasks to a confluency of 80%. Cells were washed once with phosphate-buffered saline and transferred into 10% buffered formalin (J.T.Baker, Deventer, The Netherlands) for 2 h. After centrifugation for 10 min at 3500 x g, the supernatant was removed, and 1 ml human pool plasma was added to the cell samples. After brief vortexing, 100 μl human fibrinogen (50–70% protein; ≥80% clottable) was added to each sample, and the samples were vortexed again. The resulting clots were placed for another 24 h in 10% buffered formalin and embedded in paraffin blocks.

This data was developed using the same antibody clone in a different buffer formulation containing PBS, BSA, glycerol, and sodium azide (ab109495).

Perform heat mediated antigen retrieval via the pressure cooker method before commencing with IHC staining protocol.

Kaemmerer, D. et al BMC Cancer. 2017 Dec 28;17(1):896. doi: 10.1186/s12885-017-3911-3 Reproduced under the Creative Commons license https://creativecommons.org/licenses/by/4.0/

Key facts

Host species

Rabbit

Clonality

Monoclonal

Clone number

UMB4

Isotype

IgG

Carrier free

Yes

Reacts with

Human

Applications

WB, IHC-P

applications

Immunogen

The exact immunogen used to generate this antibody is proprietary information.

Specificity

Internal WB test in PANC-1, human pancreas and human brain lysates indicates this antibody might not detect endogenous Somatostatin Receptor 5.

Reactivity data

{ "title": "Reactivity Data", "filters": { "stats": ["", "Species", "Dilution Info", "Notes"], "tabs": { "all-applications": {"fullname" : "All Applications", "shortname": "All Applications"}, "IHCP" : {"fullname" : "Immunohistochemistry (Formalin/PFA-fixed paraffin-embedded sections)", "shortname":"IHC-P"}, "FlowCyt" : {"fullname" : "Flow Cytometry", "shortname":"Flow Cyt"}, "WB" : {"fullname" : "Western blot", "shortname":"WB"}, "ICCIF" : {"fullname" : "Immunocytochemistry/ Immunofluorescence", "shortname":"ICC/IF"} }, "product-promise": { "all": "all", "testedAndGuaranteed": "tested", "guaranteed": "expected", "predicted": "predicted", "notRecommended": "not-recommended" } }, "values": { "Human": { "IHCP-species-checked": "testedAndGuaranteed", "IHCP-species-dilution-info": "", "IHCP-species-notes": "<p></p>", "FlowCyt-species-checked": "notRecommended", "FlowCyt-species-dilution-info": "", "FlowCyt-species-notes": "<p></p>", "WB-species-checked": "guaranteed", "WB-species-dilution-info": "", "WB-species-notes": "<p></p>", "ICCIF-species-checked": "notRecommended", "ICCIF-species-dilution-info": "", "ICCIF-species-notes": "<p></p>" } } }

Product details

ab236074 is the carrier-free version of ab109495.

Patented technology
Our RabMAb® technology is a patented hybridoma-based technology for making rabbit monoclonal antibodies. For details on our patents, please refer to RabMAb® patents.

What are the advantages of a recombinant monoclonal antibody?
This product is a recombinant monoclonal antibody, which offers several advantages including:

  • - High batch-to-batch consistency and reproducibility
  • - Improved sensitivity and specificity
  • - Long-term security of supply
  • - Animal-free batch production

For more information, read more on recombinant antibodies.

Conjugation ready
Our carrier-free antibodies are typically supplied in a PBS-only formulation, purified and free of BSA, sodium azide and glycerol. This conjugation-ready format is designed for use with fluorochromes, metal isotopes, oligonucleotides, and enzymes, which makes them ideal for antibody labelling, functional and cell-based assays, flow-based assays (e.g. mass cytometry) and Multiplex Imaging applications.

Use our conjugation kits for antibody conjugates that are ready-to-use in as little as 20 minutes with 1 minute hands-on-time and 100% antibody recovery: available for fluorescent dyes, HRP, biotin and gold.

Compatibility
This product is compatible with the Maxpar® Antibody Labeling Kit from Fluidigm, without the need for antibody preparation. Maxpar® is a trademark of Fluidigm Canada Inc.

Properties and storage information

Form
Liquid
Purification technique
Affinity purification Protein A
Storage buffer
pH: 7.2 - 7.4 Constituents: PBS
Shipped at conditions
Blue Ice
Appropriate short-term storage conditions
+4°C
Appropriate long-term storage conditions
+4°C
Storage information
Do Not Freeze

Supplementary information

This supplementary information is collated from multiple sources and compiled automatically.

Somatostatin Receptor 5 also known as SSTR5 is a G protein-coupled receptor with a molecular weight of approximately 61 kDa. Mechanically SSTR5 couples with G proteins to inhibit adenylyl cyclase activity leading to reduced cAMP levels. This receptor is expressed in different tissues including the brain pituitary gland and pancreas reflecting its diverse physiological roles. SSTR5 exhibits a distinct expression pattern compared to other somatostatin receptors providing a unique contribution to tissue-specific functions.
Biological function summary

The Somatostatin Receptor 5 regulates hormone secretion and cell proliferation. SSTR5 is not a part of a larger protein complex but it interacts with molecules such as somatostatin which is a peptide hormone that inhibits the release of several other hormones. Through these interactions SSTR5 helps control endocrine and exocrine secretions. Its role in modulating cell growth makes it an important factor in maintaining tissue homeostasis and influencing cell signaling processes.

Pathways

Somatostatin Receptor 5 is involved in the cAMP signaling pathway and the MAPK/ERK pathway. In the cAMP signaling pathway SSTR5 helps mediate the inhibitory effects on adenylyl cyclase while in the MAPK/ERK pathway it influences cell proliferation and differentiation. Related proteins in these pathways include other somatostatin receptors like SSTR2 with which SSTR5 might share regulatory effects on inhibitory processes. These pathways highlight the receptor's role in integrating multiple signaling cascades affecting both cellular metabolism and growth.

Somatostatin Receptor 5 is associated with growth hormone-related disorders such as acromegaly and certain types of cancer like pancreatic cancer. In acromegaly SSTR5 alongside SSTR2 impacts the pathological overproduction of growth hormone due to its expression in pituitary adenomas. In pancreatic cancer an altered expression of SSTR5 can influence tumor progression due to its regulatory effects on cell proliferation pathways. Understanding SSTR5's interaction with these diseases helps in developing therapeutic strategies targeting its specific signaling functions.

Product protocols

For this product, it's our understanding that no specific protocols are required. You can visit:

Target data

Receptor for somatostatin 28 and to a lesser extent for somatostatin-14. The activity of this receptor is mediated by G proteins which inhibit adenylyl cyclase. Increases cell growth inhibition activity of SSTR2 following heterodimerization.
See full target information SSTR5

Publications (1)

Recent publications for all applications. Explore the full list and refine your search

British journal of pharmacology 178:2246-2265 PubMed33085791

2021

Regulation of hepatic stellate cell contraction and cirrhotic portal hypertension by Wnt/β-catenin signalling via interaction with Gli1.

Applications

Unspecified application

Species

Unspecified reactive species

Feng Zhang,Feixia Wang,Jianlin He,Naqi Lian,Zhenyi Wang,Jiangjuan Shao,Hai Ding,Shanzhong Tan,Anping Chen,Zili Zhang,Shijun Wang,Shizhong Zheng
View all publications

Product promise

We are committed to supporting your work with high-quality reagents, and we're here for you every step of the way. In the unlikely event that one of our products does not perform as expected, you're protected by our Product Promise.
For full details, please see our Terms & Conditions

Please note: All products are 'FOR RESEARCH USE ONLY. NOT FOR USE IN DIAGNOSTIC OR THERAPEUTIC PROCEDURES'.

For licensing inquiries, please contact partnerships@abcam.com