JavaScript is disabled in your browser. Please enable JavaScript to view this website.
AB175180

Anti-Sonic Hedgehog antibody [EP1190Y] - BSA and Azide free

Be the first to review this product! Submit a review

|

(1 Publication)

Rabbit Recombinant Monoclonal Sonic Hedgehog antibody. Carrier free. Suitable for WB, ICC/IF, Flow Cyt (Intra), IHC-P and reacts with Human samples. Cited in 1 publication.

View Alternative Names

Sonic hedgehog protein, SHH, HHG-1, Shh unprocessed N-terminal signaling and C-terminal autoprocessing domains, ShhNC

9 Images
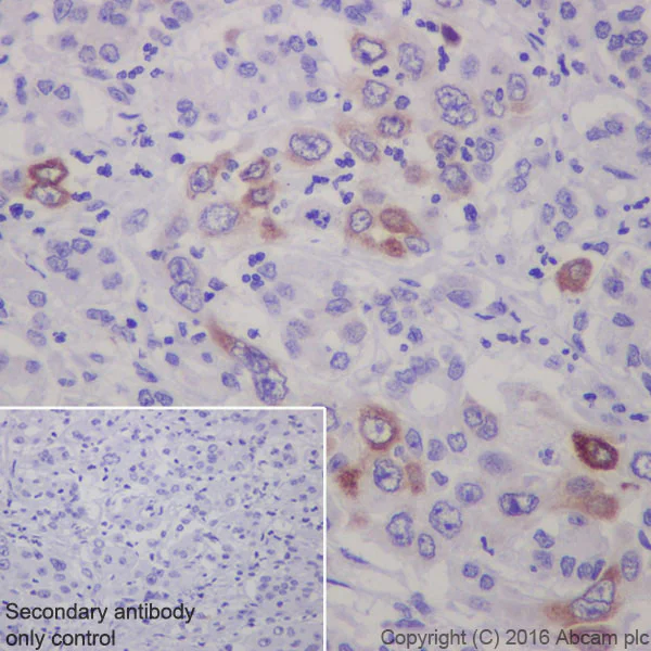
Immunohistochemistry (Formalin/PFA-fixed paraffin-embedded sections) - Anti-Sonic Hedgehog antibody [EP1190Y] - BSA and Azide free (AB175180)
  • IHC-P

Unknown

Immunohistochemistry (Formalin/PFA-fixed paraffin-embedded sections) - Anti-Sonic Hedgehog antibody [EP1190Y] - BSA and Azide free (AB175180)

Immunohistochemical analysis of Formalin fixed paraffin-embedded human kidney cancerous tissue labeling Sonic Hedgehog with unpurified ab53281 at 1/100 dilution.

This data was developed using the same antibody clone in a different buffer formulation containing PBS, BSA, glycerol, and sodium azide (ab53281).

Flow Cytometry (Intracellular) - Anti-Sonic Hedgehog antibody [EP1190Y] - BSA and Azide free (AB175180)
  • Flow Cyt (Intra)

Unknown

Flow Cytometry (Intracellular) - Anti-Sonic Hedgehog antibody [EP1190Y] - BSA and Azide free (AB175180)

Overlay histogram showing HepG2 cells stained with unpurified ab53281 (red line). The cells were fixed with 4% paraformaldehyde (10 min) and then permeabilized with 0.1% PBS-Tween for 20 min. The cells were then incubated in 1x PBS / 10% normal goat serum / 0.3M glycine to block non-specific protein-protein interactions followed by the antibody (ab53281, 1/100 dilution) for 30 min at 22°C. The secondary antibody used was DyLight® 488 goat anti-rabbit IgG (H+L) (ab96899) at 1/500 dilution for 30 min at 22°C. Isotype control antibody (black line) was rabbit IgG (monoclonal) (1μg/1x106 cells) used under the same conditions. Acquisition of >5,000 events was performed. This antibody gave a positive signal in HepG2 cells fixed with 80% methanol (5 min)/permeabilized with 0.1% PBS-Tween for 20 min used under the same conditions.

This data was developed using the same antibody clone in a different buffer formulation containing PBS, BSA, glycerol, and sodium azide (ab53281).

Flow Cytometry (Intracellular) - Anti-Sonic Hedgehog antibody [EP1190Y] - BSA and Azide free (AB175180)
  • Flow Cyt (Intra)

Unknown

Flow Cytometry (Intracellular) - Anti-Sonic Hedgehog antibody [EP1190Y] - BSA and Azide free (AB175180)

Intracellular Flow Cytometry analysis of HeLa (human cervix adenocarcinoma) cells labelling Sonic Hedgehog with unpurified ab53281 at 1/20 (red). Cells were fixed with 4% paraformaldehyde and permeabilised with 90% methanol. An Alexa Fluor®488-conjugated goat anti-rabbit IgG (1/2000) was used as the secondary antibody. Black - Isotype control, rabbit monoclonal IgG. Blue - Unlabelled control, cells without incubation with primary and secondary antibodies.

This data was developed using the same antibody clone in a different buffer formulation containing PBS, BSA, glycerol, and sodium azide (ab53281).

Immunocytochemistry/ Immunofluorescence - Anti-Sonic Hedgehog antibody [EP1190Y] - BSA and Azide free (AB175180)
  • ICC/IF

Unknown

Immunocytochemistry/ Immunofluorescence - Anti-Sonic Hedgehog antibody [EP1190Y] - BSA and Azide free (AB175180)

Immunocytochemistry/Immunofluorescence analysis of HeLa (human cervix adenocarcinoma) labelling Sonic Hedgehog with purified ab53281 at 1/500. Cells were fixed with 4% Paraformaldehyde and permeabilised by 0.1% tritonX-100. An Alexa Fluor® 488-conjugated goat anti-rabbit IgG (1/1000) was used as the secondary antibody (ab150077). Nuclei counterstained with DAPI (blue).

This data was developed using the same antibody clone in a different buffer formulation containing PBS, BSA, glycerol, and sodium azide (ab53281).

Immunocytochemistry/ Immunofluorescence - Anti-Sonic Hedgehog antibody [EP1190Y] - BSA and Azide free (AB175180)
  • ICC/IF

Unknown

Immunocytochemistry/ Immunofluorescence - Anti-Sonic Hedgehog antibody [EP1190Y] - BSA and Azide free (AB175180)

Immunocytochemistry/ Immunofluorescence analysis of HeLa (Human epithelial cell line from cervix adenocarcinoma) cells labeling Sonic Hedgehog with purified  ab53281 at 1/250 dilution (0.8μg/ml). Cells were fixed in 4% Paraformaldehyde and permeabilized with 0.1% tritonX-100. Cells were counterstained with ab195889, Anti-alpha Tubulin antibody [DM1A] - Microtubule Marker (Alexa Fluor® 594) 1/200 (2.5 μg/ml). ab150077 Goat anti rabbit IgG(Alexa Fluor® 488) was used as the secondary antibody at 1/1000 dilution. DAPI nuclear counterstain. PBS instead of the primary antibody was used as the secondary antibody only control.

This data was developed using the same antibody clone in a different buffer formulation containing PBS, BSA, glycerol, and sodium azide (ab53281).

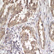
Immunohistochemistry (Formalin/PFA-fixed paraffin-embedded sections) - Anti-Sonic Hedgehog antibody [EP1190Y] - BSA and Azide free (AB175180)
  • IHC-P

Unknown

Immunohistochemistry (Formalin/PFA-fixed paraffin-embedded sections) - Anti-Sonic Hedgehog antibody [EP1190Y] - BSA and Azide free (AB175180)

Immunohistochemistry (Formalin/PFA-fixed paraffin-embedded sections) analysis of human pancreatic carcinoma tissue sections labeling Sonic Hedgehog  with purified ab53281 at 1/2000 dilution (0.097 μg/ml). Heat mediated antigen retrieval was performed using EDTA Buffer, PH9. Tissue was counterstained with Hematoxylin. ab97051 Goat Anti-Rabbit IgG H&L (HRP) secondary antibody was used at 1/500 dilution. PBS instead of the primary antibody was used as the negative control.

This data was developed using the same antibody clone in a different buffer formulation containing PBS, BSA, glycerol, and sodium azide (ab53281).

Immunocytochemistry/ Immunofluorescence - Anti-Sonic Hedgehog antibody [EP1190Y] - BSA and Azide free (AB175180)
  • ICC/IF

Unknown

Immunocytochemistry/ Immunofluorescence - Anti-Sonic Hedgehog antibody [EP1190Y] - BSA and Azide free (AB175180)

Immunocytochemistry/Immunofluorescence analysis of HepG2 cells labelling Sonic Hedgehog with unpurified ab53281.

This data was developed using the same antibody clone in a different buffer formulation containing PBS, BSA, glycerol, and sodium azide (ab53281).

Flow Cytometry (Intracellular) - Anti-Sonic Hedgehog antibody [EP1190Y] - BSA and Azide free (AB175180)
  • Flow Cyt (Intra)

Unknown

Flow Cytometry (Intracellular) - Anti-Sonic Hedgehog antibody [EP1190Y] - BSA and Azide free (AB175180)

Intracellular Flow Cytometry analysis of HeLa (Human epithelial cell line from cervix adenocarcinoma) cells labeling Sonic Hedgehog with purified ab53281 at 1/20 dilution (10 ug/ml) (red). Cells were fixed with 4% Paraformaldehyde. A Goat anti rabbit IgG (Alexa Fluor® 488) secondary antibody was used at 1/2000 dilution. Isotype control - Rabbit monoclonal IgG (Black). Unlabeled control - cells without incubation with primary antibody and secondary antibody (Blue).

This data was developed using the same antibody clone in a different buffer formulation containing PBS, BSA, glycerol, and sodium azide (ab53281).

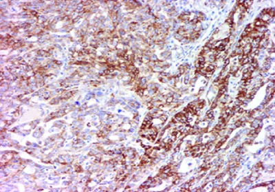
Immunohistochemistry (Formalin/PFA-fixed paraffin-embedded sections) - Anti-Sonic Hedgehog antibody [EP1190Y] - BSA and Azide free (AB175180)
  • IHC-P

PubMed

Immunohistochemistry (Formalin/PFA-fixed paraffin-embedded sections) - Anti-Sonic Hedgehog antibody [EP1190Y] - BSA and Azide free (AB175180)

Immunohistochemical analysis of Formalin fixed paraffin embedded human ovarian cancer tissue, staining Sonic Hedgehog with unpurified ab53281.

Antigen retrieval was carried out in citrate buffer using a pressure cooker for 40 minutes. Sections were blocked with blocking agent before incubating with primary antibody (1/2000) for 90 minutes at room temperature. Staining was detected using DAB.

This data was developed using the same antibody clone in a different buffer formulation containing PBS, BSA, glycerol, and sodium azide (ab53281).

Image from McCann CK et al. PLoS One. 2011;6(11):e28077. Epub 2011 Nov 29. Fig 1.; doi:10.1371/journal.pone.0028077; November 29 2011 PLoS ONE 6(11): e28077.

  • Unconjugated

    Anti-Sonic Hedgehog antibody [EP1190Y]

  • 519 Alexa Fluor® 488

    Alexa Fluor® 488 Anti-Sonic Hedgehog antibody [EP1190Y]

  • 578 PE

    PE Anti-Sonic Hedgehog antibody [EP1190Y]

  • 660 APC

    APC Anti-Sonic Hedgehog antibody [EP1190Y]

  • HRP

    HRP Anti-Sonic Hedgehog antibody [EP1190Y]

  • 665 Alexa Fluor® 647

    Alexa Fluor® 647 Anti-Sonic Hedgehog antibody [EP1190Y]

  • 565 Alexa Fluor® 555

    Alexa Fluor® 555 Anti-Sonic Hedgehog antibody [EP1190Y]

  • 603 Alexa Fluor® 568

    Alexa Fluor® 568 Anti-Sonic Hedgehog antibody [EP1190Y]

Key facts

Host species

Rabbit

Clonality

Monoclonal

Clone number

EP1190Y

Isotype

IgG

Carrier free

Yes

Reacts with

Human

Applications

Flow Cyt (Intra), WB, ICC/IF, IHC-P

applications

Immunogen

The exact immunogen used to generate this antibody is proprietary information.

Specificity

Specific for both full length (51kDa) and c-product subunit (27kDa) of human Sonic Hedgehog protein

Reactivity data

{ "title": "Reactivity Data", "filters": { "stats": ["", "Species", "Dilution Info", "Notes"], "tabs": { "all-applications": {"fullname" : "All Applications", "shortname": "All Applications"}, "WB" : {"fullname" : "Western blot", "shortname":"WB"}, "ICCIF" : {"fullname" : "Immunocytochemistry/ Immunofluorescence", "shortname":"ICC/IF"}, "FlowCytIntra" : {"fullname" : "Flow Cytometry (Intracellular)", "shortname":"Flow Cyt (Intra)"}, "IHCP" : {"fullname" : "Immunohistochemistry (Formalin/PFA-fixed paraffin-embedded sections)", "shortname":"IHC-P"} }, "product-promise": { "all": "all", "testedAndGuaranteed": "tested", "guaranteed": "expected", "predicted": "predicted", "notRecommended": "not-recommended" } }, "values": { "Human": { "WB-species-checked": "guaranteed", "WB-species-dilution-info": "", "WB-species-notes": "<p>Can be blocked with Sonic Hedgehog peptide (<a href='/en-us/products/proteins-peptides/sonic-hedgehog-peptide-ab203144'>ab203144</a>).</p>", "ICCIF-species-checked": "testedAndGuaranteed", "ICCIF-species-dilution-info": "", "ICCIF-species-notes": "<p></p>", "FlowCytIntra-species-checked": "testedAndGuaranteed", "FlowCytIntra-species-dilution-info": "", "FlowCytIntra-species-notes": "<p><a href='/en-us/products/primary-antibodies/rabbit-igg-monoclonal-epr25a-isotype-control-low-endotoxin-azide-free-ab199376'>ab199376</a> - Rabbit monoclonal IgG, is suitable for use as an isotype control with this antibody.</p>", "IHCP-species-checked": "testedAndGuaranteed", "IHCP-species-dilution-info": "", "IHCP-species-notes": "<p></p>" } } }

Product details

ab175180 is the carrier-free version of ab53281.

Patented technology
Our RabMAb® technology is a patented hybridoma-based technology for making rabbit monoclonal antibodies. For details on our patents, please refer to RabMAb® patents.

What are the advantages of a recombinant monoclonal antibody?
This product is a recombinant monoclonal antibody, which offers several advantages including:

  • - High batch-to-batch consistency and reproducibility
  • - Improved sensitivity and specificity
  • - Long-term security of supply
  • - Animal-free batch production

For more information, read more on recombinant antibodies.

Conjugation ready
Our carrier-free antibodies are typically supplied in a PBS-only formulation, purified and free of BSA, sodium azide and glycerol. This conjugation-ready format is designed for use with fluorochromes, metal isotopes, oligonucleotides, and enzymes, which makes them ideal for antibody labelling, functional and cell-based assays, flow-based assays (e.g. mass cytometry) and Multiplex Imaging applications.

Use our conjugation kits for antibody conjugates that are ready-to-use in as little as 20 minutes with 1 minute hands-on-time and 100% antibody recovery: available for fluorescent dyes, HRP, biotin and gold.

Compatibility
This product is compatible with the Maxpar® Antibody Labeling Kit from Fluidigm, without the need for antibody preparation. Maxpar® is a trademark of Fluidigm Canada Inc.

Properties and storage information

Form
Liquid
Purification technique
Affinity purification Protein A
Storage buffer
Constituents: PBS
Shipped at conditions
Blue Ice
Appropriate short-term storage conditions
+4°C
Appropriate long-term storage conditions
+4°C
Storage information
Do Not Freeze

Supplementary information

This supplementary information is collated from multiple sources and compiled automatically.

Sonic Hedgehog also known as SHH is a protein that plays an important role in cell signaling during embryonic development. It has alternative names like 'HHG-1' and '5h4'. The Sonic Hedgehog protein is about 45 kDa in mass. Scientists find SHH expression in various tissues including the brain lungs and limb buds. Its activity plays a role in the organization of several tissue structures during development helping to regulate cellular growth and differentiation processes.
Biological function summary

Sonic Hedgehog is critical for the vertebrate embryonic patterning and organogenesis. It functions as a signaling molecule and is part of the Hedgehog signaling complex. The protein acts by binding to the Patched receptor further influencing the Smoothened transducer in cellular signaling cascades. This signaling contributes to the proper formation of limbs central nervous system structures and other vital organs in early development stages.

Pathways

Sonic Hedgehog participates in essential signaling pathways such as the Hedgehog pathway and the Wnt signaling pathway. It interacts with proteins including the Patched and Smoothened to facilitate downstream genetic transcription regulation. Through these pathways Sonic Hedgehog influences the transcription of specific genes that control cell growth. These interactions contribute to the regulation of different cell types and the organization of distinct tissue areas.

Sonic Hedgehog connects to issues like cancer and congenital malformations. Aberrations in its signaling can lead to conditions such as basal cell carcinoma and holoprosencephaly. Sonic Hedgehog through its influence on the Hedgehog signaling pathway implicates interactions with other proteins like GLI transcription factors and Patched. These interactions can dysregulate cellular processes and result in disease states when not functioning correctly.

Product protocols

For this product, it's our understanding that no specific protocols are required. You can visit:

Target data

Sonic hedgehog protein. The C-terminal part of the sonic hedgehog protein precursor displays an autoproteolysis and a cholesterol transferase activity (By similarity). Both activities result in the cleavage of the full-length protein into two parts (ShhN and ShhC) followed by the covalent attachment of a cholesterol moiety to the C-terminal of the newly generated ShhN (By similarity). Both activities occur in the reticulum endoplasmic (By similarity). Once cleaved, ShhC is degraded in the endoplasmic reticulum (By similarity).. Sonic hedgehog protein N-product. The dually lipidated sonic hedgehog protein N-product (ShhNp) is a morphogen which is essential for a variety of patterning events during development. Induces ventral cell fate in the neural tube and somites (PubMed : 24863049). Involved in the patterning of the anterior-posterior axis of the developing limb bud (By similarity). Essential for axon guidance (By similarity). Binds to the patched (PTCH1) receptor, which functions in association with smoothened (SMO), to activate the transcription of target genes (PubMed : 10753901). In the absence of SHH, PTCH1 represses the constitutive signaling activity of SMO (PubMed : 10753901).
See full target information SHH

Publications (1)

Recent publications for all applications. Explore the full list and refine your search

The European journal of neuroscience 44:2226-35 PubMed27306299

2016

Brain BDNF levels are dependent on cerebrovascular endothelium-derived nitric oxide.

Applications

Unspecified application

Species

Unspecified reactive species

Hayat Banoujaafar,Alice Monnier,Nicolas Pernet,Aurore Quirié,Philippe Garnier,Anne Prigent-Tessier,Christine Marie
View all publications

Product promise

We are committed to supporting your work with high-quality reagents, and we're here for you every step of the way. In the unlikely event that one of our products does not perform as expected, you're protected by our Product Promise.
For full details, please see our Terms & Conditions

Please note: All products are 'FOR RESEARCH USE ONLY. NOT FOR USE IN DIAGNOSTIC OR THERAPEUTIC PROCEDURES'.

For licensing inquiries, please contact partnerships@abcam.com