JavaScript is disabled in your browser. Please enable JavaScript to view this website.
AB190684

Anti-SorLA/SORL1 antibody [EPR14670]

  • BOND RX™ Validated
  • 20ul selling size
  • RabMAb
  • Recombinant
  • What is this?

1

(1 Review)

|

(11 Publications)

Rabbit Recombinant Monoclonal SorLA/SORL1 antibody. Suitable for WB, IHC-P and reacts with Human, Rat samples. Cited in 11 publications.

View Alternative Names

C11orf32, SORL1, Sortilin-related receptor, Low-density lipoprotein receptor relative with 11 ligand-binding repeats, SorLA-1, Sorting protein-related receptor containing LDLR class A repeats, LDLR relative with 11 ligand-binding repeats, LR11, SorLA

5 Images
Immunohistochemistry (Formalin/PFA-fixed paraffin-embedded sections) - Anti-SorLA/SORL1 antibody [EPR14670] (AB190684)
  • IHC-P

Supplier Data

Immunohistochemistry (Formalin/PFA-fixed paraffin-embedded sections) - Anti-SorLA/SORL1 antibody [EPR14670] (AB190684)

Immunohistochemical analysis of paraffin-embedded Human cerebellum tissue labeling SorLA/SORL1 with ab190684 at 1/1000 dilution. The slide is counterstained with Hematoxylin.

Perform heat mediated antigen retrieval with Tris/EDTA buffer pH 9.0 before commencing with IHC staining protocol.

Immunohistochemistry (Formalin/PFA-fixed paraffin-embedded sections) - Anti-SorLA/SORL1 antibody [EPR14670] (AB190684)
  • IHC-P

Lab

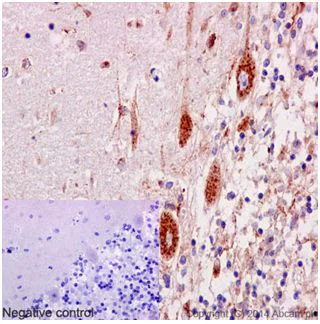
Immunohistochemistry (Formalin/PFA-fixed paraffin-embedded sections) - Anti-SorLA/SORL1 antibody [EPR14670] (AB190684)

Immunohistochemical analysis of paraffin-embedded human Alzheimer's brain tissue* labelling SORL1 with ab190684 at 1ug/ml followed by a ready to use LeicaDS9800 (Bond Polymer Refine Detection).

Positive staining in human Alzheimer's brain.

The section was incubated with ab190684 for 30 mins at room temperature. The immunostaining was performed on a Leica Biosystems BOND® RX instrument. Counterstained with Hematoxylin.

Secondary antibody only control : Secondary antibody is a ready to use LeicaDS9800 (Bond Polymer Refine Detection).

Heat mediated antigen retrieval with sodium citrate buffer (pH 6.0 epitope retrieval solution1) for 20 mins.

*Tissue obtained from the Human Research Tissue Bank, supported by the NIHR Cambridge Biomedical Research Centre.

Immunohistochemistry (Formalin/PFA-fixed paraffin-embedded sections) - Anti-SorLA/SORL1 antibody [EPR14670] (AB190684)
  • IHC-P

Supplier Data

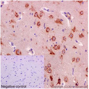
Immunohistochemistry (Formalin/PFA-fixed paraffin-embedded sections) - Anti-SorLA/SORL1 antibody [EPR14670] (AB190684)

Immunohistochemical analysis of paraffin-embedded Rat brain tissue labeling SorLA/SORL1 with ab190684 at 1/1000 dilution. The slide is counterstained with Hematoxylin.

Perform heat mediated antigen retrieval with Tris/EDTA buffer pH 9.0 before commencing with IHC staining protocol.

Western blot - Anti-SorLA/SORL1 antibody [EPR14670] (AB190684)
  • WB

Supplier Data

Western blot - Anti-SorLA/SORL1 antibody [EPR14670] (AB190684)

All lanes:

Western blot - Anti-SorLA/SORL1 antibody [EPR14670] (ab190684) at 1/1000 dilution

All lanes:

Human cerebellum cell lysate at 10 µg

Secondary

All lanes:

Goat Anti-Rabbit IgG, (H+L), Peroxidase conjugated at 1/1000 dilution

Predicted band size: 248 kDa

false

Western blot - Anti-SorLA/SORL1 antibody [EPR14670] (AB190684)
  • WB

Supplier Data

Western blot - Anti-SorLA/SORL1 antibody [EPR14670] (AB190684)

All lanes:

Western blot - Anti-SorLA/SORL1 antibody [EPR14670] (ab190684) at 1/5000 dilution

All lanes:

SH-SY5Y cell lysate at 20 µg

Secondary

All lanes:

Goat Anti-Rabbit IgG, (H+L), Peroxidase conjugated at 1/1000 dilution

Predicted band size: 248 kDa

false

  • Carrier free

    Anti-SorLA/SORL1 antibody [EPR14670] - BSA and Azide free

Key facts

Host species

Rabbit

Clonality

Monoclonal

Clone number

EPR14670

Isotype

IgG

Carrier free

No

Reacts with

Rat, Human

Applications

IHC-P, WB

applications

Immunogen

The exact immunogen used to generate this antibody is proprietary information.

Reactivity data

{ "title": "Reactivity Data", "filters": { "stats": ["", "Species", "Dilution Info", "Notes"], "tabs": { "all-applications": {"fullname" : "All Applications", "shortname": "All Applications"}, "WB" : {"fullname" : "Western blot", "shortname":"WB"}, "IHCP" : {"fullname" : "Immunohistochemistry (Formalin/PFA-fixed paraffin-embedded sections)", "shortname":"IHC-P"} }, "product-promise": { "all": "all", "testedAndGuaranteed": "tested", "guaranteed": "expected", "predicted": "predicted", "notRecommended": "not-recommended" } }, "values": { "Human": { "WB-species-checked": "testedAndGuaranteed", "WB-species-dilution-info": "1/1000 - 1/10000", "WB-species-notes": "<p></p>", "IHCP-species-checked": "testedAndGuaranteed", "IHCP-species-dilution-info": "1/500 - 1/1000", "IHCP-species-notes": "<p></p> Perform heat-mediated antigen retrieval with Tris/EDTA buffer pH 9.0 before commencing with IHC staining protocol." }, "Mouse": { "WB-species-checked": "predicted", "WB-species-dilution-info": "", "WB-species-notes": "", "IHCP-species-checked": "predicted", "IHCP-species-dilution-info": "", "IHCP-species-notes": "" }, "Rat": { "WB-species-checked": "guaranteed", "WB-species-dilution-info": "", "WB-species-notes": "", "IHCP-species-checked": "testedAndGuaranteed", "IHCP-species-dilution-info": "1/500 - 1/1000", "IHCP-species-notes": "<p></p> Perform heat-mediated antigen retrieval with Tris/EDTA buffer pH 9.0 before commencing with IHC staining protocol." } } }

Product details

Patented technology
Our RabMAb® technology is a patented hybridoma-based technology for making rabbit monoclonal antibodies. For details on our patents, please refer to RabMAb® patents.

What are the advantages of a recombinant monoclonal antibody?
This product is a recombinant monoclonal antibody, which offers several advantages including:

  • - High batch-to-batch consistency and reproducibility
  • - Improved sensitivity and specificity
  • - Long-term security of supply
  • - Animal-free batch production

For more information, read more on recombinant antibodies.

Properties and storage information

Form
Liquid
Purification technique
Affinity purification Protein A
Storage buffer
pH: 7.2 - 7.4 Preservative: 0.01% Sodium azide Constituents: PBS, 40% Glycerol (glycerin, glycerine), 0.05% BSA
Shipped at conditions
Blue Ice
Appropriate short-term storage duration
1-2 weeks
Appropriate short-term storage conditions
+4°C
Appropriate long-term storage conditions
-20°C
Aliquoting information
Upon delivery aliquot
Storage information
Avoid freeze / thaw cycle

Supplementary information

This supplementary information is collated from multiple sources and compiled automatically.

SorLA also known as SORL1 or sortilin-related receptor 1 plays a mechanical role in intracellular transport processes. This multi-domain protein with a molecular weight of approximately 250 kDa assists in the trafficking of proteins between the Golgi apparatus endosomes and the cell surface. SorLA expresses most abundantly in neurons but also shows presence in other tissues like the heart and kidney. Its functional expression in these areas indicates a broad role in cellular logistics particularly in neurons where it impacts synaptic functioning.
Biological function summary

SorLA acts as a sorting receptor and contributes significantly to the regulation of protein sorting and signaling pathways within the cell. SorLA interacts with various ligands and forms complexes including lipid transport proteins and neuropeptides. The protein also plays a role in the sorting of the amyloid precursor protein (APP) assisting in the regulation of its processing and reducing the production of amyloid-beta a component significant in neurodegenerative processes.

Pathways

SorLA participates actively in the cellular pathways associated with protein trafficking and processing. It is integral to pathways involving endocytosis and the regulation of APP processing. SorLA interacts with important proteins such as APP and the low-density lipoprotein receptor-related protein 1 (LRP1). These interactions exemplify SorLA’s critical involvement in the cellular maintenance of protein homeostasis and in mitigating the production of potentially pathogenic peptides therefore interfacing with wider neurobiological functions.

SorLA’s role connects with neurodegenerative conditions with a notable focus on Alzheimer’s disease. The protein's interaction with APP processing places it in a central position in the pathology of Alzheimer’s disease as dysregulation can lead to increased amyloid-beta production and plaque formation. Additionally SorLA exhibits relevance in some cardiovascular diseases through its modulation of lipoprotein metabolism linking it with the functioning of proteins like apolipoproteins which when disrupted can contribute to the progression of atherosclerosis.

Product protocols

For this product, it's our understanding that no specific protocols are required. You can visit:

Target data

Sorting receptor that directs several proteins to their correct location within the cell (Probable). Along with AP-1 complex, involved Golgi apparatus - endosome sorting (PubMed : 17646382). Sorting receptor for APP, regulating its intracellular trafficking and processing into amyloidogenic-beta peptides. Retains APP in the trans-Golgi network, hence preventing its transit through late endosomes where amyloid beta peptides Abeta40 and Abeta42 are generated (PubMed : 16174740, PubMed : 16407538, PubMed : 17855360, PubMed : 24523320). May also sort newly produced amyloid-beta peptides to lysosomes for catabolism (PubMed : 24523320). Does not affect APP trafficking from the endoplasmic reticulum to Golgi compartments (PubMed : 17855360). Sorting receptor for the BDNF receptor NTRK2/TRKB that facilitates NTRK2 trafficking between synaptic plasma membranes, postsynaptic densities and cell soma, hence positively regulates BDNF signaling by controlling the intracellular location of its receptor (PubMed : 23977241). Sorting receptor for GDNF that promotes GDNF regulated, but not constitutive secretion (PubMed : 21994944). Sorting receptor for the GDNF-GFRA1 complex, directing it from the cell surface to endosomes. GDNF is then targeted to lysosomes and degraded, while its receptor GFRA1 recycles back to the cell membrane, resulting in a GDNF clearance pathway. The SORL1-GFRA1 complex further targets RET for endocytosis, but not for degradation, affecting GDNF-induced neurotrophic activities (PubMed : 23333276). Sorting receptor for ERBB2/HER2. Regulates ERBB2 subcellular distribution by promoting its recycling after internalization from endosomes back to the plasma membrane, hence stimulating phosphoinositide 3-kinase (PI3K)-dependent ERBB2 signaling. In ERBB2-dependent cancer cells, promotes cell proliferation (PubMed : 31138794). Sorting receptor for lipoprotein lipase LPL. Promotes LPL localization to endosomes and later to the lysosomes, leading to degradation of newly synthesized LPL (PubMed : 21385844). Potential sorting receptor for APOA5, inducing APOA5 internalization to early endosomes, then to late endosomes, wherefrom a portion is sent to lysosomes and degradation, another portion is sorted to the trans-Golgi network (PubMed : 18603531). Sorting receptor for the insulin receptor INSR. Promotes recycling of internalized INSR via the Golgi apparatus back to the cell surface, thereby preventing lysosomal INSR catabolism, increasing INSR cell surface expression and strengthening insulin signal reception in adipose tissue. Does not affect INSR internalization (PubMed : 27322061). Plays a role in renal ion homeostasis, controlling the phospho-regulation of SLC12A1/NKCC2 by STK39/SPAK kinase and PPP3CB/calcineurin A beta phosphatase, possibly through intracellular sorting of STK39 and PPP3CB (By similarity). Stimulates, via the N-terminal ectodomain, the proliferation and migration of smooth muscle cells, possibly by increasing cell surface expression of the urokinase receptor uPAR/PLAUR. This may promote extracellular matrix proteolysis and hence facilitate cell migration (PubMed : 14764453). By acting on the migration of intimal smooth muscle cells, may accelerate intimal thickening following vascular injury (PubMed : 14764453). Promotes adhesion of monocytes (PubMed : 23486467). Stimulates proliferation and migration of monocytes/macrophages (By similarity). Through its action on intimal smooth muscle cells and macrophages, may accelerate intimal thickening and macrophage foam cell formation in the process of atherosclerosis (By similarity). Regulates hypoxia-enhanced adhesion of hematopoietic stem and progenitor cells to the bone marrow stromal cells via a PLAUR-mediated pathway. This function is mediated by the N-terminal ectodomain (PubMed : 23486467). Metabolic regulator, which functions to maintain the adequate balance between lipid storage and oxidation in response to changing environmental conditions, such as temperature and diet. The N-terminal ectodomain negatively regulates adipose tissue energy expenditure, acting through the inhibition the BMP/Smad pathway (By similarity). May regulate signaling by the heterodimeric neurotrophic cytokine CLCF1-CRLF1 bound to the CNTFR receptor by promoting the endocytosis of the tripartite complex CLCF1-CRLF1-CNTFR and lysosomal degradation (PubMed : 26858303). May regulate IL6 signaling, decreasing cis signaling, possibly by interfering with IL6-binding to membrane-bound IL6R, while up-regulating trans signaling via soluble IL6R (PubMed : 28265003).
See full target information SORL1

Publications (11)

Recent publications for all applications. Explore the full list and refine your search

JCI insight 10: PubMed40299646

2025

PAI-1 interaction with sortilin-related receptor 1 is required for lung fibrosis.

Applications

Unspecified application

Species

Unspecified reactive species

Thomas H Sisson,John J Osterholzer,Lisa Leung,Venkatesha Basrur,Alexey Nesvizhskii,Natalya Subbotina,Mark Warnock,Daniel Torrente,Ammara Q Virk,Sergey S Gutor,Jeffrey C Horowitz,Mary Migliorini,Dudley K Strickland,Kevin K Kim,Steven K Huang,Daniel A Lawrence

Nature communications 15:2594 PubMed38519490

2024

The aldehyde dehydrogenase 2 rs671 variant enhances amyloid β pathology.

Applications

Unspecified application

Species

Unspecified reactive species

Xia Wang,Jiayu Wang,Yashuang Chen,Xiaojing Qian,Shiqi Luo,Xue Wang,Chao Ma,Wei Ge

Neural regeneration research 19:1602-1607 PubMed38051905

2023

Sorl1 knockout inhibits expression of brain-derived neurotrophic factor: involvement in the development of late-onset Alzheimer's disease.

Applications

Unspecified application

Species

Unspecified reactive species

Mingri Zhao,Xun Chen,Jiangfeng Liu,Yanjin Feng,Chen Wang,Ting Xu,Wanxi Liu,Xionghao Liu,Mujun Liu,Deren Hou

International journal of molecular sciences 23: PubMed35457051

2022

Heterozygous and Homozygous Variants in Gene in Alzheimer's Disease Patients: Clinical, Neuroimaging and Neuropathological Findings.

Applications

Unspecified application

Species

Unspecified reactive species

Maria Isabel Alvarez-Mora,Victor Antonio Blanco-Palmero,Juan Francisco Quesada-Espinosa,Ana Rosa Arteche-Lopez,Sara Llamas-Velasco,Carmen Palma Milla,Jose Miguel Lezana Rosales,Irene Gomez-Manjon,Aurelio Hernandez-Lain,Justino Jimenez Almonacid,Belén Gil-Fournier,Soraya Ramiro-León,Marta González-Sánchez,Alejandro Octavio Herrero-San Martín,David Andrés Pérez-Martínez,Estrella Gómez-Tortosa,Eva Carro,Fernando Bartolomé,Maria Jose Gomez-Rodriguez,María Teresa Sanchez-Calvin,Alberto Villarejo-Galende,Marta Moreno-Garcia

Frontiers in immunology 13:861459 PubMed35464477

2022

Upregulated of ANXA3, SORL1, and Neutrophils May Be Key Factors in the Progressionof Ankylosing Spondylitis.

Applications

Unspecified application

Species

Unspecified reactive species

Jie Jiang,Xinli Zhan,Haishun Qu,Tuo Liang,Hao Li,Liyi Chen,Shengsheng Huang,Xuhua Sun,Wenyong Jiang,Jiarui Chen,Tianyou Chen,Yuanlin Yao,Shaofeng Wu,Jichong Zhu,Chong Liu

Cell reports 35:109259 PubMed34133918

2021

SORL1 deficiency in human excitatory neurons causes APP-dependent defects in the endolysosome-autophagy network.

Applications

Unspecified application

Species

Unspecified reactive species

Christy Hung,Eleanor Tuck,Victoria Stubbs,Sven J van der Lee,Cora Aalfs,Resie van Spaendonk,Philip Scheltens,John Hardy,Henne Holstege,Frederick J Livesey

Aging 13:12552-12564 PubMed33902009

2021

LncRNA NONMMUT055714 acts as the sponge of microRNA-7684-5p to protect against postoperative cognitive dysfunction.

Applications

Unspecified application

Species

Unspecified reactive species

Changwei Wei,Yi Sun,Jing Wang,Dandan Lin,Victoria Cui,Hui Shi,Anshi Wu

Cell reports 31:107719 PubMed32492427

2020

Depletion of the AD Risk Gene SORL1 Selectively Impairs Neuronal Endosomal Traffic Independent of Amyloidogenic APP Processing.

Applications

Unspecified application

Species

Unspecified reactive species

Allison Knupp,Swati Mishra,Refugio Martinez,Jacquelyn E Braggin,Marcell Szabo,Chizuru Kinoshita,Dale W Hailey,Scott A Small,Suman Jayadev,Jessica E Young

Annals of vascular surgery 54:200-204 PubMed30103052

2018

Association of Serum SorLA with Intimal Hyperplasia after Carotid Endarterectomy Operation: A Retrospective Analysis.

Applications

Unspecified application

Species

Unspecified reactive species

Chao Jiang,Rong Zeng,Xiao-Jun Song,Weiwei Wu,Changwei Liu,Wei Ye

Acta neuropathologica communications 5:43 PubMed28595629

2017

Identification and description of three families with familial Alzheimer disease that segregate variants in the SORL1 gene.

Applications

Unspecified application

Species

Unspecified reactive species

Håkan Thonberg,Huei-Hsin Chiang,Lena Lilius,Charlotte Forsell,Anna-Karin Lindström,Charlotte Johansson,Jenny Björkström,Steinunn Thordardottir,Kristel Sleegers,Christine Van Broeckhoven,Annica Rönnbäck,Caroline Graff
View all publications

Product promise

We are committed to supporting your work with high-quality reagents, and we're here for you every step of the way. In the unlikely event that one of our products does not perform as expected, you're protected by our Product Promise.
For full details, please see our Terms & Conditions

Please note: All products are 'FOR RESEARCH USE ONLY. NOT FOR USE IN DIAGNOSTIC OR THERAPEUTIC PROCEDURES'.

For licensing inquiries, please contact partnerships@abcam.com