JavaScript is disabled in your browser. Please enable JavaScript to view this website.
AB263864

Anti-Sortilin/NT3 antibody [EPR23093-58]

Be the first to review this product! Submit a review

|

(5 Publications)

Rabbit Recombinant Monoclonal Sortilin/NT3 antibody. Suitable for WB, IHC-P, ICC/IF, Flow Cyt (Intra) and reacts with Mouse, Rat, Human samples. Cited in 5 publications.

View Alternative Names

Sortilin, 100 kDa NT receptor, Glycoprotein 95, Neurotensin receptor 3, Gp95, NT3, NTR3, SORT1

11 Images
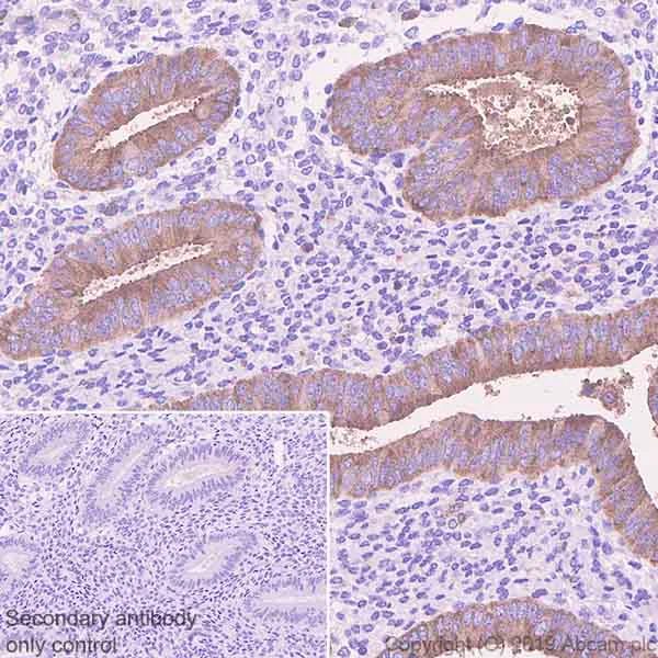
Immunohistochemistry (Formalin/PFA-fixed paraffin-embedded sections) - Anti-Sortilin/NT3 antibody [EPR23093-58] (AB263864)
  • IHC-P

Unknown

Immunohistochemistry (Formalin/PFA-fixed paraffin-embedded sections) - Anti-Sortilin/NT3 antibody [EPR23093-58] (AB263864)

Immunohistochemical analysis of paraffin-embedded human endometrium tissue labeling Sortilin/NT3 with ab263864 at 1/5000 dilution followed by a ready to use Rabbit specific IHC polymer detection kit HRP/DAB (ab209101). Cytoplasmic staining on human endometrium (PMID : 25662808) is observed. The section was incubated with ab263864 for 10 mins at RT. The immunostaining staining was performed on a Leica Biosystems BOND® RX instrument. Counterstained with hematoxylin.

Secondary antibody only control : Secondary antibody is a ready to use Rabbit specific IHC polymer detection kit HRP/DAB (ab209101).

Heat mediated antigen retrieval with citrate buffer (pH 6.0, epitope retrieval solution 1) for 20 mins.

Immunocytochemistry/ Immunofluorescence - Anti-Sortilin/NT3 antibody [EPR23093-58] (AB263864)
  • ICC/IF

Unknown

Immunocytochemistry/ Immunofluorescence - Anti-Sortilin/NT3 antibody [EPR23093-58] (AB263864)

Immunofluorescent analysis of 100% methanol-fixed SH-SY5Y (Human neuroblastoma epithelial cell) cells labelling Sortilin/NT3 with ab263864 at 1\100 dilution, followed by ab150077 AlexaFluor®488 Goat anti-Rabbit secondary antibody at 1\1000 dilution (Green). Confocal image showing cytoplasmic staining in SH-SY5Y cell line. 100% methanol fixation is recommended. ab195889 Anti-alpha Tubulin antibody [DM1A] - Microtubule Marker (Alexa Fluor® 594) was used to counterstain tubulin at 1/200 dilution (Red). The nuclear counterstain was DAPI (Blue).

Secondary antibody only control : Secondary antibody is ab150077 AlexaFluor®488 Goat anti-Rabbit secondary at 1\1000 dilution.

Flow Cytometry (Intracellular) - Anti-Sortilin/NT3 antibody [EPR23093-58] (AB263864)
  • Flow Cyt (Intra)

Unknown

Flow Cytometry (Intracellular) - Anti-Sortilin/NT3 antibody [EPR23093-58] (AB263864)

Intracellular flow cytometric analysis of 4% paraformaldehyde fixed 90% methanol permeabilized SH-SY5Y (Human neuroblastoma epithelial cell) cells labeling Sortilin/NT3 with ab263864 at 1/600 (Red) compared with a Rabbit monoclonal IgG (ab172730) / Black isotype control and an unlabeled control (cells without incubation with primary antibody and secondary antibody) (Blue). Goat anti rabbit IgG (Alexa Fluor® 488, ab150077) at 1\2000 was used as the secondary antibody.

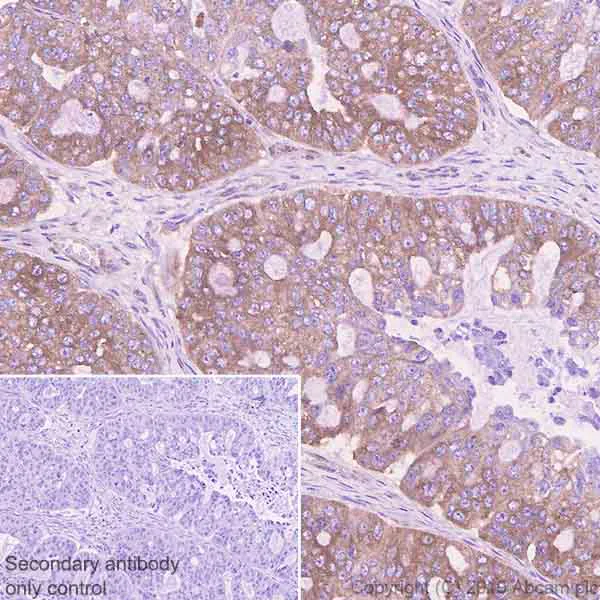
Immunohistochemistry (Formalin/PFA-fixed paraffin-embedded sections) - Anti-Sortilin/NT3 antibody [EPR23093-58] (AB263864)
  • IHC-P

Unknown

Immunohistochemistry (Formalin/PFA-fixed paraffin-embedded sections) - Anti-Sortilin/NT3 antibody [EPR23093-58] (AB263864)

Immunohistochemical analysis of paraffin-embedded human ovarian carcinoma tissue labeling Sortilin/NT3 with ab263864 at 1/5000 dilution followed by a ready to use Rabbit specific IHC polymer detection kit HRP/DAB (ab209101). Cytoplasmic staining on human ovarian carcinoma (PMID : 23407681) is observed. The section was incubated with ab263864 for 10 mins at RT. The immunostaining staining was performed on a Leica Biosystems BOND® RX instrument. Counterstained with hematoxylin.

Secondary antibody only control : Secondary antibody is a ready to use Rabbit specific IHC polymer detection kit HRP/DAB (ab209101).

Heat mediated antigen retrieval with citrate buffer (pH 6.0, epitope retrieval solution 1) for 20 mins.

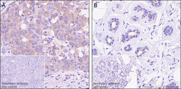
Immunohistochemistry (Formalin/PFA-fixed paraffin-embedded sections) - Anti-Sortilin/NT3 antibody [EPR23093-58] (AB263864)
  • IHC-P

Unknown

Immunohistochemistry (Formalin/PFA-fixed paraffin-embedded sections) - Anti-Sortilin/NT3 antibody [EPR23093-58] (AB263864)

Immunohistochemical analysis of paraffin-embedded human breast carcinoma and the paired adjacent breast tissue tissue labeling Sortilin/NT3 with ab263864 at 1/5000 dilution followed by a ready to use Rabbit specific IHC polymer detection kit HRP/DAB (ab209101). Cytoplasmic staining on human breast carcinoma (panel A) and weak staining on the paired adjacent breast tissue (panel B) (PMID : 25871389) is observed. The section was incubated with ab263864 for 10 mins at RT. The immunostaining staining was performed on a Leica Biosystems BOND® RX instrument. Counterstained with hematoxylin.

Secondary antibody only control : Secondary antibody is a ready to use Rabbit specific IHC polymer detection kit HRP/DAB (ab209101).

Heat mediated antigen retrieval with citrate buffer (pH 6.0, epitope retrieval solution 1) for 20 mins.

Immunocytochemistry/ Immunofluorescence - Anti-Sortilin/NT3 antibody [EPR23093-58] (AB263864)
  • ICC/IF

Unknown

Immunocytochemistry/ Immunofluorescence - Anti-Sortilin/NT3 antibody [EPR23093-58] (AB263864)

Immunofluorescent analysis of 100% methanol-fixed Neuro-2a (Mouse neuroblastoma neuroblast) cells labeling Sortilin/NT3 with ab263864 at 1\100 dilution, followed by ab150077 AlexaFluor®488 Goat anti-Rabbit secondary antibody at 1\1000 dilution (Green). Confocal image showing golgi staining in Neuro-2a cell line. 100% methanol fixation is recommended. Counterstained with ab169276 Anti-GM130 antibody-Golgi Marker (1/500 dilution) and ab150120 AlexaFluor®594 Goat anti-Mouse secondary (1/1000 dilution, red). The nuclear counterstain was DAPI (Blue).

The negative controls are as follows :

-ve control 1 : ab263864 at 1/100 dilution, followed by Goat Anti-Mouse IgG H&L (Alexa Fluor® 594) (ab150120) secondary antibody at 1/500 dilution.

-ve control 2 : ab169276 Anti-GM130 antibody- Golgi Marker at 1/500 dilution, followed by Goat Anti-Rabbit IgG H&L (Alexa Fluor® 488) (ab150077) secondary antibody at 1/500 dilution.

Flow Cytometry (Intracellular) - Anti-Sortilin/NT3 antibody [EPR23093-58] (AB263864)
  • Flow Cyt (Intra)

Unknown

Flow Cytometry (Intracellular) - Anti-Sortilin/NT3 antibody [EPR23093-58] (AB263864)

Intracellular flow cytometric analysis of 4% paraformaldehyde fixed 90% methanol permeabilized Neuro-2a (Mouse neuroblastoma neuroblast) cells labeling Sortilin/NT3 with ab263864 at 1/600 (Red) compared with a Rabbit monoclonal IgG (ab172730) / Black isotype control and an unlabeled control (cells without incubation with primary antibody and secondary antibody) (Blue). Goat anti rabbit IgG (Alexa Fluor® 488, ab150077) at 1\2000 was used as the secondary antibody.

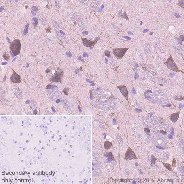
Immunohistochemistry (Formalin/PFA-fixed paraffin-embedded sections) - Anti-Sortilin/NT3 antibody [EPR23093-58] (AB263864)
  • IHC-P

Unknown

Immunohistochemistry (Formalin/PFA-fixed paraffin-embedded sections) - Anti-Sortilin/NT3 antibody [EPR23093-58] (AB263864)

Immunohistochemical analysis of paraffin-embedded rat cerebrum tissue labeling Sortilin/NT3 with ab263864 at 1/5000 dilution followed by a ready to use Rabbit specific IHC polymer detection kit HRP/DAB (ab209101). Cytoplasmic staining on rat cerebrum is observed. The section was incubated with ab263864 for 10 mins at RT. The immunostaining staining was performed on a Leica Biosystems BOND® RX instrument. Counterstained with hematoxylin.

Secondary antibody only control : Secondary antibody is a ready to use Rabbit specific IHC polymer detection kit HRP/DAB (ab209101).

Heat mediated antigen retrieval with citrate buffer (pH 6.0, epitope retrieval solution 1) for 20 mins.

Immunohistochemistry (Formalin/PFA-fixed paraffin-embedded sections) - Anti-Sortilin/NT3 antibody [EPR23093-58] (AB263864)
  • IHC-P

Unknown

Immunohistochemistry (Formalin/PFA-fixed paraffin-embedded sections) - Anti-Sortilin/NT3 antibody [EPR23093-58] (AB263864)

Immunohistochemical analysis of paraffin-embedded mouse cerebrum tissue labeling Sortilin/NT3 with ab263864 at 1/5000 dilution followed by a ready to use Rabbit specific IHC polymer detection kit HRP/DAB (ab209101). Cytoplasmic staining on mouse cerebrum iso bserved. The section was incubated with ab263864 for 10 mins at RT. The immunostaining staining was performed on a Leica Biosystems BOND® RX instrument. Counterstained with hematoxylin.

Secondary antibody only control : Secondary antibody is a ready to use Rabbit specific IHC polymer detection kit HRP/DAB (ab209101).

Heat mediated antigen retrieval with citrate buffer (pH 6.0, epitope retrieval solution 1) for 20 mins.

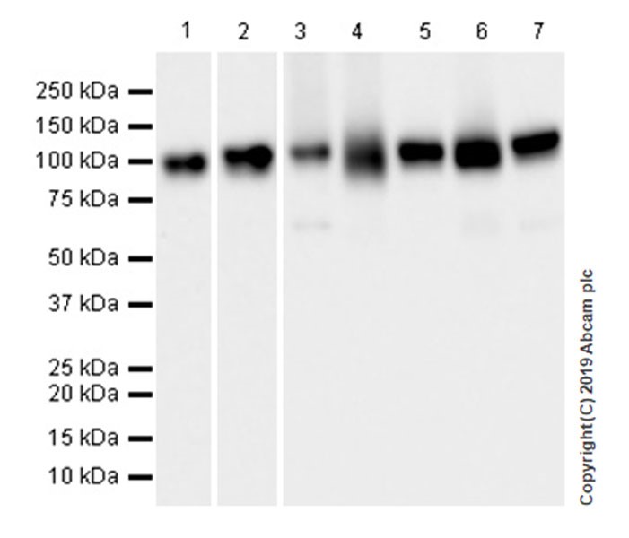
Western blot - Anti-Sortilin/NT3 antibody [EPR23093-58] (AB263864)
  • WB

Lab

Western blot - Anti-Sortilin/NT3 antibody [EPR23093-58] (AB263864)

Blocking and diluting buffer and concentration : 5% NFDM/TBST.

Exposure time : Lanes 1-2 : 48 seconds; Lanes 3-7 : 6 seconds.

All lanes:

Western blot - Anti-Sortilin/NT3 antibody [EPR23093-58] (ab263864) at 1/1000 dilution

Lane 1:

Human brain lysate at 20 µg

Lane 2:

SH-SY5Y (human neuroblastoma epithelial cell) whole cell lysate at 20 µg

Lane 3:

Mouse brain lysate at 20 µg

Lane 4:

Mouse lung lysate at 20 µg

Lane 5:

Rat brain lysate at 20 µg

Lane 6:

Rat lung lysate at 20 µg

Lane 7:

Neuro-2a (mouse neuroblastoma neuroblast) whole cell lysate at 20 µg

Secondary

Lane 1:

Western blot - VeriBlot for IP Detection Reagent (HRP) (<a href='/en-us/products/reagents/veriblot-for-ip-detection-reagent-hrp-ab131366'>ab131366</a>) at 1/1000 dilution

Lanes 2 - 7:

Western blot - Goat Anti-Rabbit IgG H&L (HRP) (<a href='/en-us/products/secondary-antibodies/goat-rabbit-igg-h-l-hrp-ab97051'>ab97051</a>) at 1/50000 dilution

Predicted band size: 92 kDa

Observed band size: 100 kDa

false

Western blot - Anti-Sortilin/NT3 antibody [EPR23093-58] (AB263864)
  • WB

Lab

Western blot - Anti-Sortilin/NT3 antibody [EPR23093-58] (AB263864)

Blocking and diluting buffer and concentration : 5% NFDM/TBST.

Exposure time : 48 seconds.

All lanes:

Western blot - Anti-Sortilin/NT3 antibody [EPR23093-58] (ab263864) at 1/1000 dilution

Lane 1:

C6 (rat glial tumor glial cell) whole cell lysate at 10 µg

Lane 2:

RAW 264.7 (mouse abelson murine leukemia virus-induced tumor macrophage) whole cell lysate at 10 µg

Lane 3:

PC-12 (rat adrenal gland pheochromocytoma) whole cell lysate at 10 µg

Lane 4:

NIH/3T3 (mouse embryonic fibroblast) whole cell lysate at 10 µg

Secondary

All lanes:

Western blot - Goat Anti-Rabbit IgG H&L (HRP) (<a href='/en-us/products/secondary-antibodies/goat-rabbit-igg-h-l-hrp-ab97051'>ab97051</a>) at 1/50000 dilution

Predicted band size: 92 kDa

Observed band size: 100 kDa

false

  • Carrier free

    Anti-Sortilin/NT3 antibody [EPR23093-58] - BSA and Azide free

Key facts

Host species

Rabbit

Clonality

Monoclonal

Clone number

EPR23093-58

Isotype

IgG

Carrier free

No

Reacts with

Mouse, Rat, Human

Applications

ICC/IF, WB, IHC-P, Flow Cyt (Intra)

applications

Immunogen

The exact immunogen used to generate this antibody is proprietary information.

Reactivity data

{ "title": "Reactivity Data", "filters": { "stats": ["", "Species", "Dilution Info", "Notes"], "tabs": { "all-applications": {"fullname" : "All Applications", "shortname": "All Applications"}, "IP" : {"fullname" : "Immunoprecipitation", "shortname":"IP"}, "WB" : {"fullname" : "Western blot", "shortname":"WB"}, "IHCP" : {"fullname" : "Immunohistochemistry (Formalin/PFA-fixed paraffin-embedded sections)", "shortname":"IHC-P"}, "ICCIF" : {"fullname" : "Immunocytochemistry/ Immunofluorescence", "shortname":"ICC/IF"}, "FlowCytIntra" : {"fullname" : "Flow Cytometry (Intracellular)", "shortname":"Flow Cyt (Intra)"} }, "product-promise": { "all": "all", "testedAndGuaranteed": "tested", "guaranteed": "expected", "predicted": "predicted", "notRecommended": "not-recommended" } }, "values": { "Human": { "IP-species-checked": "notRecommended", "IP-species-dilution-info": "", "IP-species-notes": "<p></p>", "WB-species-checked": "testedAndGuaranteed", "WB-species-dilution-info": "1/1000", "WB-species-notes": "<p></p>", "IHCP-species-checked": "testedAndGuaranteed", "IHCP-species-dilution-info": "1/5000", "IHCP-species-notes": "<p></p>", "ICCIF-species-checked": "testedAndGuaranteed", "ICCIF-species-dilution-info": "1/100", "ICCIF-species-notes": "<p></p>", "FlowCytIntra-species-checked": "testedAndGuaranteed", "FlowCytIntra-species-dilution-info": "1/600", "FlowCytIntra-species-notes": "<p></p>" }, "Mouse": { "IP-species-checked": "notRecommended", "IP-species-dilution-info": "", "IP-species-notes": "<p></p>", "WB-species-checked": "testedAndGuaranteed", "WB-species-dilution-info": "1/1000", "WB-species-notes": "<p></p>", "IHCP-species-checked": "testedAndGuaranteed", "IHCP-species-dilution-info": "1/5000", "IHCP-species-notes": "<p></p>", "ICCIF-species-checked": "testedAndGuaranteed", "ICCIF-species-dilution-info": "1/100", "ICCIF-species-notes": "<p></p>", "FlowCytIntra-species-checked": "testedAndGuaranteed", "FlowCytIntra-species-dilution-info": "1/600", "FlowCytIntra-species-notes": "<p></p>" }, "Rat": { "IP-species-checked": "notRecommended", "IP-species-dilution-info": "", "IP-species-notes": "", "WB-species-checked": "testedAndGuaranteed", "WB-species-dilution-info": "1/1000", "WB-species-notes": "<p></p>", "IHCP-species-checked": "testedAndGuaranteed", "IHCP-species-dilution-info": "1/5000", "IHCP-species-notes": "<p></p>", "ICCIF-species-checked": "guaranteed", "ICCIF-species-dilution-info": "", "ICCIF-species-notes": "", "FlowCytIntra-species-checked": "guaranteed", "FlowCytIntra-species-dilution-info": "", "FlowCytIntra-species-notes": "" } } }

Product details

Patented technology
Our RabMAb® technology is a patented hybridoma-based technology for making rabbit monoclonal antibodies. For details on our patents, please refer to RabMAb® patents.

What are the advantages of a recombinant monoclonal antibody?
This product is a recombinant monoclonal antibody, which offers several advantages including:

  • - High batch-to-batch consistency and reproducibility
  • - Improved sensitivity and specificity
  • - Long-term security of supply
  • - Animal-free batch production

For more information, read more on recombinant antibodies.

Properties and storage information

Form
Liquid
Purification technique
Affinity purification Protein A
Storage buffer
pH: 7.2 - 7.4 Preservative: 0.01% Sodium azide Constituents: PBS, 40% Glycerol (glycerin, glycerine), 0.05% BSA
Shipped at conditions
Blue Ice
Appropriate short-term storage duration
1-2 weeks
Appropriate short-term storage conditions
+4°C
Appropriate long-term storage conditions
-20°C
Aliquoting information
Upon delivery aliquot
Storage information
Avoid freeze / thaw cycle

Supplementary information

This supplementary information is collated from multiple sources and compiled automatically.

Sortilin also known as NT3 receptor is a type I membrane protein with an approximate molecular mass of 100 kDa. It is expressed in various tissues especially the central nervous system and adipose tissue. Sortilin belongs to the Vps10p domain receptor family and functions in intracellular protein sorting. Its primary role involves the transport and signaling of neurotrophins particularly NT-3 protein (neurotrophin-3) which is vital for neuronal growth and survival.
Biological function summary

NT-3 protein influences the development and differentiation of the nervous system. Sortilin serves as a receptor for NT-3 facilitating the interaction with the TrkC receptor on neuronal cells. Sortilin forms a complex with NT-3 contributing to critical cellular processes. Being part of this receptor complex Sortilin modulates neuron-related signaling pathways which are essential for neurogenesis and synaptic plasticity.

Pathways

Sortilin and NT-3 play significant roles in the neurotrophin signaling pathway and influence the MAPK signaling cascade. These pathways are pivotal in neuron survival differentiation and growth. NT-3 interacts with other proteins such as TrkC and p75 to propagate these signals. Through its association with TrkC receptor Sortilin mediates critical cellular responses linked to neurotrophin signaling. The interplay between these proteins allows precise regulation of neuronal activities in various physiological states.

NT-3 and Sortilin have associations with neurodegenerative conditions such as Alzheimer's disease and metabolic disorders like obesity. Dysregulation of Sortilin can contribute to abnormal NT-3 signaling affecting neuronal homeostasis. The protein also shows links with amyloid precursor protein (APP) in Alzheimer's disease where abnormal interactions may exacerbate disease progression. Understanding the dynamics of Sortilin in these conditions can offer insights into potential therapeutic approaches.

Product protocols

For this product, it's our understanding that no specific protocols are required. You can visit:

Target data

Functions as a sorting receptor in the Golgi compartment and as a clearance receptor on the cell surface. Required for protein transport from the Golgi apparatus to the lysosomes by a pathway that is independent of the mannose-6-phosphate receptor (M6PR). Lysosomal proteins bind specifically to the receptor in the Golgi apparatus and the resulting receptor-ligand complex is transported to an acidic prelysosomal compartment where the low pH mediates the dissociation of the complex (PubMed : 16787399). The receptor is then recycled back to the Golgi for another round of trafficking through its binding to the retromer. Also required for protein transport from the Golgi apparatus to the endosomes. Promotes neuronal apoptosis by mediating endocytosis of the proapoptotic precursor forms of BDNF (proBDNF) and NGFB (proNGFB). Also acts as a receptor for neurotensin. May promote mineralization of the extracellular matrix during osteogenic differentiation by scavenging extracellular LPL. Probably required in adipocytes for the formation of specialized storage vesicles containing the glucose transporter SLC2A4/GLUT4 (GLUT4 storage vesicles, or GSVs). These vesicles provide a stable pool of SLC2A4 and confer increased responsiveness to insulin. May also mediate transport from the endoplasmic reticulum to the Golgi.
See full target information Sortilin

Publications (5)

Recent publications for all applications. Explore the full list and refine your search

Human cell 37:1394-1404 PubMed38907140

2024

Adipose-derived stem cells modified by TWIST1 silencing accelerates rat sciatic nerve repair and functional recovery.

Applications

Unspecified application

Species

Unspecified reactive species

Bo Chen,Leining Wang,Xiaogui Pan,Shuai Jiang,Yihe Hu

International journal of molecular sciences 24: PubMed37958809

2023

mRNA and Protein Expression in Human Fetal Membrane Cells: Potential Biomarkers for Preterm Prelabor Rupture of the Fetal Membranes?

Applications

Unspecified application

Species

Unspecified reactive species

Emmeli Mikkelsen,Berthold Huppertz,Ripudaman Singh,Katarina Ravn,Lotte Hatt,Mogens Kruhøffer,Rheanna Urrabaz-Garza,Niels Uldbjerg,Ramkumar Menon,Torben Steiniche

Proceedings of the National Academy of Sciences of the United States of America 119:e2118755119 PubMed35749364

2022

Retromer dysfunction in amyotrophic lateral sclerosis.

Applications

Unspecified application

Species

Unspecified reactive species

Eduardo J Pérez-Torres,Irina Utkina-Sosunova,Vartika Mishra,Peter Barbuti,Mariangels De Planell-Saguer,Georgia Dermentzaki,Heather Geiger,Anna O Basile,Nicolas Robine,Delphine Fagegaltier,Kristin A Politi,Paola Rinchetti,Vernice Jackson-Lewis,Matthew Harms,Hemali Phatnani,Francesco Lotti,Serge Przedborski

CNS neuroscience & therapeutics 28:1081-1092 PubMed35481944

2022

Downregulation of microRNA-124-3p promotes subventricular zone neural stem cell activation by enhancing the function of BDNF downstream pathways after traumatic brain injury in adult rats.

Applications

Unspecified application

Species

Unspecified reactive species

En-Ming Kang,Yi-Bin Jia,Jia-You Wang,Guan-Yi Wang,Hui-Jun Chen,Xiao-Yan Chen,Yu-Qin Ye,Xin Zhang,Xin-Hong Su,Jing-Yu Wang,Xiao-Sheng He

Neural regeneration research 17:185-193 PubMed34100455

2021

Neuroprotective effects of Alda-1 mitigate spinal cord injury in mice: involvement of Alda-1-induced ALDH2 activation-mediated suppression of reactive aldehyde mechanisms.

Applications

Unspecified application

Species

Unspecified reactive species

Mushfiquddin Khan,Fei Qiao,Pavan Kumar,S M Touhidul Islam,Avtar K Singh,Jeseong Won,Inderjit Singh
View all publications

Product promise

We are committed to supporting your work with high-quality reagents, and we're here for you every step of the way. In the unlikely event that one of our products does not perform as expected, you're protected by our Product Promise.
For full details, please see our Terms & Conditions

Please note: All products are 'FOR RESEARCH USE ONLY. NOT FOR USE IN DIAGNOSTIC OR THERAPEUTIC PROCEDURES'.

For licensing inquiries, please contact partnerships@abcam.com