JavaScript is disabled in your browser. Please enable JavaScript to view this website.
AB263873

Anti-Sortilin/NT3 antibody [EPR23093-58] - BSA and Azide free

Be the first to review this product! Submit a review

|

(2 Publications)

Rabbit Recombinant Monoclonal Sortilin/NT3 antibody. Carrier free. Suitable for WB, IHC-P, ICC/IF, Flow Cyt (Intra) and reacts with Mouse, Rat, Human samples. Cited in 2 publications.

View Alternative Names

Sortilin, 100 kDa NT receptor, Glycoprotein 95, Neurotensin receptor 3, Gp95, NT3, NTR3, SORT1

9 Images
Immunohistochemistry (Formalin/PFA-fixed paraffin-embedded sections) - Anti-Sortilin/NT3 antibody [EPR23093-58] - BSA and Azide free (AB263873)
  • IHC-P

Unknown

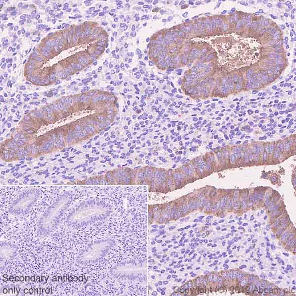
Immunohistochemistry (Formalin/PFA-fixed paraffin-embedded sections) - Anti-Sortilin/NT3 antibody [EPR23093-58] - BSA and Azide free (AB263873)

Immunohistochemical analysis of paraffin-embedded human endometrium tissue labeling Sortilin/NT3 with ab263864 at 1/5000 dilution followed by a ready to use Rabbit specific IHC polymer detection kit HRP/DAB (ab209101). Cytoplasmic staining on human endometrium (PMID : 25662808) is observed. The section was incubated with ab263864 for 10 mins at RT. The immunostaining staining was performed on a Leica Biosystems BOND® RX instrument. Counterstained with hematoxylin.

Secondary antibody only control : Secondary antibody is a ready to use Rabbit specific IHC polymer detection kit HRP/DAB (ab209101).

Heat mediated antigen retrieval with citrate buffer (pH 6.0, epitope retrieval solution 1) for 20 mins.

This data was developed using the same antibody clone in a different buffer formulation containing PBS, BSA, glycerol, and sodium azide (ab263864).

Immunocytochemistry/ Immunofluorescence - Anti-Sortilin/NT3 antibody [EPR23093-58] - BSA and Azide free (AB263873)
  • ICC/IF

Unknown

Immunocytochemistry/ Immunofluorescence - Anti-Sortilin/NT3 antibody [EPR23093-58] - BSA and Azide free (AB263873)

Immunofluorescent analysis of 100% methanol-fixed SH-SY5Y (Human neuroblastoma epithelial cell) cells labelling Sortilin/NT3 with ab263864 at 1\100 dilution, followed by ab150077 AlexaFluor®488 Goat anti-Rabbit secondary antibody at 1\1000 dilution (Green). Confocal image showing cytoplasmic staining in SH-SY5Y cell line. 100% methanol fixation is recommended. ab195889 Anti-alpha Tubulin antibody [DM1A] - Microtubule Marker (Alexa Fluor® 594) was used to counterstain tubulin at 1/200 dilution (Red). The nuclear counterstain was DAPI (Blue).

Secondary antibody only control : Secondary antibody is ab150077 AlexaFluor®488 Goat anti-Rabbit secondary at 1\1000 dilution.

This data was developed using the same antibody clone in a different buffer formulation containing PBS, BSA, glycerol, and sodium azide (ab263864).

Flow Cytometry (Intracellular) - Anti-Sortilin/NT3 antibody [EPR23093-58] - BSA and Azide free (AB263873)
  • Flow Cyt (Intra)

Unknown

Flow Cytometry (Intracellular) - Anti-Sortilin/NT3 antibody [EPR23093-58] - BSA and Azide free (AB263873)

Intracellular flow cytometric analysis of 4% paraformaldehyde fixed 90% methanol permeabilized SH-SY5Y (Human neuroblastoma epithelial cell) cells labeling Sortilin/NT3 with ab263864 at 1/600 (Red) compared with a Rabbit monoclonal IgG (ab172730) / Black isotype control and an unlabeled control (cells without incubation with primary antibody and secondary antibody) (Blue). Goat anti rabbit IgG (Alexa Fluor® 488, ab150077) at 1\2000 was used as the secondary antibody.

This data was developed using the same antibody clone in a different buffer formulation containing PBS, BSA, glycerol, and sodium azide (ab263864).

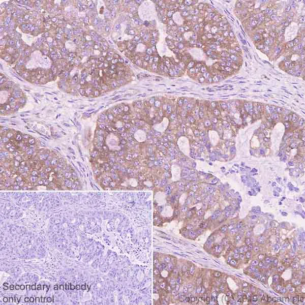
Immunohistochemistry (Formalin/PFA-fixed paraffin-embedded sections) - Anti-Sortilin/NT3 antibody [EPR23093-58] - BSA and Azide free (AB263873)
  • IHC-P

Unknown

Immunohistochemistry (Formalin/PFA-fixed paraffin-embedded sections) - Anti-Sortilin/NT3 antibody [EPR23093-58] - BSA and Azide free (AB263873)

Immunohistochemical analysis of paraffin-embedded human ovarian carcinoma tissue labeling Sortilin/NT3 with ab263864 at 1/5000 dilution followed by a ready to use Rabbit specific IHC polymer detection kit HRP/DAB (ab209101). Cytoplasmic staining on human ovarian carcinoma (PMID : 23407681) is observed. The section was incubated with ab263864 for 10 mins at RT. The immunostaining staining was performed on a Leica Biosystems BOND® RX instrument. Counterstained with hematoxylin.

Secondary antibody only control : Secondary antibody is a ready to use Rabbit specific IHC polymer detection kit HRP/DAB (ab209101).

Heat mediated antigen retrieval with citrate buffer (pH 6.0, epitope retrieval solution 1) for 20 mins.

This data was developed using the same antibody clone in a different buffer formulation containing PBS, BSA, glycerol, and sodium azide (ab263864).

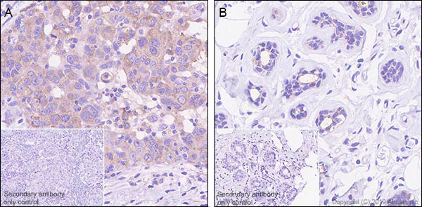
Immunohistochemistry (Formalin/PFA-fixed paraffin-embedded sections) - Anti-Sortilin/NT3 antibody [EPR23093-58] - BSA and Azide free (AB263873)
  • IHC-P

Unknown

Immunohistochemistry (Formalin/PFA-fixed paraffin-embedded sections) - Anti-Sortilin/NT3 antibody [EPR23093-58] - BSA and Azide free (AB263873)

Immunohistochemical analysis of paraffin-embedded human breast carcinoma and the paired adjacent breast tissue tissue labeling Sortilin/NT3 with ab263864 at 1/5000 dilution followed by a ready to use Rabbit specific IHC polymer detection kit HRP/DAB (ab209101). Cytoplasmic staining on human breast carcinoma (panel A) and weak staining on the paired adjacent breast tissue (panel B) (PMID : 25871389) is observed. The section was incubated with ab263864 for 10 mins at RT. The immunostaining staining was performed on a Leica Biosystems BOND® RX instrument. Counterstained with hematoxylin.

Secondary antibody only control : Secondary antibody is a ready to use Rabbit specific IHC polymer detection kit HRP/DAB (ab209101).

Heat mediated antigen retrieval with citrate buffer (pH 6.0, epitope retrieval solution 1) for 20 mins.

This data was developed using the same antibody clone in a different buffer formulation containing PBS, BSA, glycerol, and sodium azide (ab263864).

Flow Cytometry (Intracellular) - Anti-Sortilin/NT3 antibody [EPR23093-58] - BSA and Azide free (AB263873)
  • Flow Cyt (Intra)

Unknown

Flow Cytometry (Intracellular) - Anti-Sortilin/NT3 antibody [EPR23093-58] - BSA and Azide free (AB263873)

Intracellular flow cytometric analysis of 4% paraformaldehyde fixed 90% methanol permeabilized Neuro-2a (Mouse neuroblastoma neuroblast) cells labeling Sortilin/NT3 with ab263864 at 1/600 (Red) compared with a Rabbit monoclonal IgG (ab172730) / Black isotype control and an unlabeled control (cells without incubation with primary antibody and secondary antibody) (Blue). Goat anti rabbit IgG (Alexa Fluor® 488, ab150077) at 1\2000 was used as the secondary antibody.

This data was developed using the same antibody clone in a different buffer formulation containing PBS, BSA, glycerol, and sodium azide (ab263864).

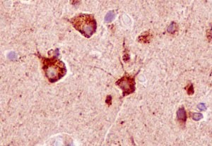
Immunohistochemistry (Formalin/PFA-fixed paraffin-embedded sections) - Anti-Sortilin/NT3 antibody [EPR23093-58] - BSA and Azide free (AB263873)
  • IHC-P

Unknown

Immunohistochemistry (Formalin/PFA-fixed paraffin-embedded sections) - Anti-Sortilin/NT3 antibody [EPR23093-58] - BSA and Azide free (AB263873)

Immunohistochemical analysis of paraffin-embedded rat cerebrum tissue labeling Sortilin/NT3 with ab263864 at 1/5000 dilution followed by a ready to use Rabbit specific IHC polymer detection kit HRP/DAB (ab209101). Cytoplasmic staining on rat cerebrum is observed. The section was incubated with ab263864 for 10 mins at RT. The immunostaining staining was performed on a Leica Biosystems BOND® RX instrument. Counterstained with hematoxylin.

Secondary antibody only control : Secondary antibody is a ready to use Rabbit specific IHC polymer detection kit HRP/DAB (ab209101).

Heat mediated antigen retrieval with citrate buffer (pH 6.0, epitope retrieval solution 1) for 20 mins.

This data was developed using the same antibody clone in a different buffer formulation containing PBS, BSA, glycerol, and sodium azide (ab263864).

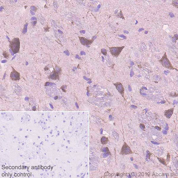
Immunohistochemistry (Formalin/PFA-fixed paraffin-embedded sections) - Anti-Sortilin/NT3 antibody [EPR23093-58] - BSA and Azide free (AB263873)
  • IHC-P

Unknown

Immunohistochemistry (Formalin/PFA-fixed paraffin-embedded sections) - Anti-Sortilin/NT3 antibody [EPR23093-58] - BSA and Azide free (AB263873)

Immunohistochemical analysis of paraffin-embedded mouse cerebrum tissue labeling Sortilin/NT3 with ab263864 at 1/5000 dilution followed by a ready to use Rabbit specific IHC polymer detection kit HRP/DAB (ab209101). Cytoplasmic staining on mouse cerebrum iso bserved. The section was incubated with ab263864 for 10 mins at RT. The immunostaining staining was performed on a Leica Biosystems BOND® RX instrument. Counterstained with hematoxylin.

Secondary antibody only control : Secondary antibody is a ready to use Rabbit specific IHC polymer detection kit HRP/DAB (ab209101).

Heat mediated antigen retrieval with citrate buffer (pH 6.0, epitope retrieval solution 1) for 20 mins.

This data was developed using the same antibody clone in a different buffer formulation containing PBS, BSA, glycerol, and sodium azide (ab263864).

Immunocytochemistry/ Immunofluorescence - Anti-Sortilin/NT3 antibody [EPR23093-58] - BSA and Azide free (AB263873)
  • ICC/IF

Unknown

Immunocytochemistry/ Immunofluorescence - Anti-Sortilin/NT3 antibody [EPR23093-58] - BSA and Azide free (AB263873)

Immunofluorescent analysis of 100% methanol-fixed Neuro-2a (Mouse neuroblastoma neuroblast) cells labeling Sortilin/NT3 with ab263864 at 1\100 dilution, followed by ab150077 AlexaFluor®488 Goat anti-Rabbit secondary antibody at 1\1000 dilution (Green). Confocal image showing golgi staining in Neuro-2a cell line. 100% methanol fixation is recommended. Counterstained with ab169276 Anti-GM130 antibody-Golgi Marker (1/500 dilution) and ab150120 AlexaFluor®594 Goat anti-Mouse secondary (1/1000 dilution, red). The nuclear counterstain was DAPI (Blue).

The negative controls are as follows :

-ve control 1 : ab263864 at 1/100 dilution, followed by Goat Anti-Mouse IgG H&L (Alexa Fluor® 594) (ab150120) secondary antibody at 1/500 dilution.

-ve control 2 : ab169276 Anti-GM130 antibody- Golgi Marker at 1/500 dilution, followed by Goat Anti-Rabbit IgG H&L (Alexa Fluor® 488) (ab150077) secondary antibody at 1/500 dilution.

This data was developed using the same antibody clone in a different buffer formulation containing PBS, BSA, glycerol, and sodium azide (ab263864).

Key facts

Host species

Rabbit

Clonality

Monoclonal

Clone number

EPR23093-58

Isotype

IgG

Carrier free

Yes

Reacts with

Mouse, Rat, Human

Applications

IHC-P, ICC/IF, Flow Cyt (Intra), WB

applications

Immunogen

The exact immunogen used to generate this antibody is proprietary information.

Reactivity data

{ "title": "Reactivity Data", "filters": { "stats": ["", "Species", "Dilution Info", "Notes"], "tabs": { "all-applications": {"fullname" : "All Applications", "shortname": "All Applications"}, "IP" : {"fullname" : "Immunoprecipitation", "shortname":"IP"}, "WB" : {"fullname" : "Western blot", "shortname":"WB"}, "IHCP" : {"fullname" : "Immunohistochemistry (Formalin/PFA-fixed paraffin-embedded sections)", "shortname":"IHC-P"}, "ICCIF" : {"fullname" : "Immunocytochemistry/ Immunofluorescence", "shortname":"ICC/IF"}, "FlowCytIntra" : {"fullname" : "Flow Cytometry (Intracellular)", "shortname":"Flow Cyt (Intra)"} }, "product-promise": { "all": "all", "testedAndGuaranteed": "tested", "guaranteed": "expected", "predicted": "predicted", "notRecommended": "not-recommended" } }, "values": { "Human": { "IP-species-checked": "notRecommended", "IP-species-dilution-info": "", "IP-species-notes": "<p></p>", "WB-species-checked": "testedAndGuaranteed", "WB-species-dilution-info": "", "WB-species-notes": "<p></p>", "IHCP-species-checked": "testedAndGuaranteed", "IHCP-species-dilution-info": "", "IHCP-species-notes": "<p></p>", "ICCIF-species-checked": "testedAndGuaranteed", "ICCIF-species-dilution-info": "", "ICCIF-species-notes": "<p></p>", "FlowCytIntra-species-checked": "testedAndGuaranteed", "FlowCytIntra-species-dilution-info": "", "FlowCytIntra-species-notes": "<p></p>" }, "Mouse": { "IP-species-checked": "notRecommended", "IP-species-dilution-info": "", "IP-species-notes": "<p></p>", "WB-species-checked": "testedAndGuaranteed", "WB-species-dilution-info": "", "WB-species-notes": "<p></p>", "IHCP-species-checked": "testedAndGuaranteed", "IHCP-species-dilution-info": "", "IHCP-species-notes": "<p></p>", "ICCIF-species-checked": "testedAndGuaranteed", "ICCIF-species-dilution-info": "", "ICCIF-species-notes": "<p></p>", "FlowCytIntra-species-checked": "testedAndGuaranteed", "FlowCytIntra-species-dilution-info": "", "FlowCytIntra-species-notes": "<p></p>" }, "Rat": { "IP-species-checked": "notRecommended", "IP-species-dilution-info": "", "IP-species-notes": "<p></p>", "WB-species-checked": "testedAndGuaranteed", "WB-species-dilution-info": "", "WB-species-notes": "<p></p>", "IHCP-species-checked": "testedAndGuaranteed", "IHCP-species-dilution-info": "", "IHCP-species-notes": "<p></p>", "ICCIF-species-checked": "guaranteed", "ICCIF-species-dilution-info": "", "ICCIF-species-notes": "", "FlowCytIntra-species-checked": "guaranteed", "FlowCytIntra-species-dilution-info": "", "FlowCytIntra-species-notes": "" } } }

Product details

ab263873 is the carrier-free version of ab263864.

Patented technology
Our RabMAb® technology is a patented hybridoma-based technology for making rabbit monoclonal antibodies. For details on our patents, please refer to RabMAb® patents.

What are the advantages of a recombinant monoclonal antibody?
This product is a recombinant monoclonal antibody, which offers several advantages including:

  • - High batch-to-batch consistency and reproducibility
  • - Improved sensitivity and specificity
  • - Long-term security of supply
  • - Animal-free batch production

For more information, read more on recombinant antibodies.

Conjugation ready
Our carrier-free antibodies are typically supplied in a PBS-only formulation, purified and free of BSA, sodium azide and glycerol. This conjugation-ready format is designed for use with fluorochromes, metal isotopes, oligonucleotides, and enzymes, which makes them ideal for antibody labelling, functional and cell-based assays, flow-based assays (e.g. mass cytometry) and Multiplex Imaging applications.

Use our conjugation kits for antibody conjugates that are ready-to-use in as little as 20 minutes with 1 minute hands-on-time and 100% antibody recovery: available for fluorescent dyes, HRP, biotin and gold.

Compatibility
This product is compatible with the Maxpar® Antibody Labeling Kit from Fluidigm, without the need for antibody preparation. Maxpar® is a trademark of Fluidigm Canada Inc.

Properties and storage information

Form
Liquid
Purification technique
Affinity purification Protein A
Storage buffer
pH: 7.2 - 7.4 Constituents: PBS
Shipped at conditions
Blue Ice
Appropriate short-term storage conditions
+4°C
Appropriate long-term storage conditions
+4°C
Storage information
Do Not Freeze

Supplementary information

This supplementary information is collated from multiple sources and compiled automatically.

Sortilin also known as NT3 receptor is a type I membrane protein with an approximate molecular mass of 100 kDa. It is expressed in various tissues especially the central nervous system and adipose tissue. Sortilin belongs to the Vps10p domain receptor family and functions in intracellular protein sorting. Its primary role involves the transport and signaling of neurotrophins particularly NT-3 protein (neurotrophin-3) which is vital for neuronal growth and survival.
Biological function summary

NT-3 protein influences the development and differentiation of the nervous system. Sortilin serves as a receptor for NT-3 facilitating the interaction with the TrkC receptor on neuronal cells. Sortilin forms a complex with NT-3 contributing to critical cellular processes. Being part of this receptor complex Sortilin modulates neuron-related signaling pathways which are essential for neurogenesis and synaptic plasticity.

Pathways

Sortilin and NT-3 play significant roles in the neurotrophin signaling pathway and influence the MAPK signaling cascade. These pathways are pivotal in neuron survival differentiation and growth. NT-3 interacts with other proteins such as TrkC and p75 to propagate these signals. Through its association with TrkC receptor Sortilin mediates critical cellular responses linked to neurotrophin signaling. The interplay between these proteins allows precise regulation of neuronal activities in various physiological states.

NT-3 and Sortilin have associations with neurodegenerative conditions such as Alzheimer's disease and metabolic disorders like obesity. Dysregulation of Sortilin can contribute to abnormal NT-3 signaling affecting neuronal homeostasis. The protein also shows links with amyloid precursor protein (APP) in Alzheimer's disease where abnormal interactions may exacerbate disease progression. Understanding the dynamics of Sortilin in these conditions can offer insights into potential therapeutic approaches.

Product protocols

For this product, it's our understanding that no specific protocols are required. You can visit:

Target data

Functions as a sorting receptor in the Golgi compartment and as a clearance receptor on the cell surface. Required for protein transport from the Golgi apparatus to the lysosomes by a pathway that is independent of the mannose-6-phosphate receptor (M6PR). Lysosomal proteins bind specifically to the receptor in the Golgi apparatus and the resulting receptor-ligand complex is transported to an acidic prelysosomal compartment where the low pH mediates the dissociation of the complex (PubMed : 16787399). The receptor is then recycled back to the Golgi for another round of trafficking through its binding to the retromer. Also required for protein transport from the Golgi apparatus to the endosomes. Promotes neuronal apoptosis by mediating endocytosis of the proapoptotic precursor forms of BDNF (proBDNF) and NGFB (proNGFB). Also acts as a receptor for neurotensin. May promote mineralization of the extracellular matrix during osteogenic differentiation by scavenging extracellular LPL. Probably required in adipocytes for the formation of specialized storage vesicles containing the glucose transporter SLC2A4/GLUT4 (GLUT4 storage vesicles, or GSVs). These vesicles provide a stable pool of SLC2A4 and confer increased responsiveness to insulin. May also mediate transport from the endoplasmic reticulum to the Golgi.
See full target information Sortilin

Publications (2)

Recent publications for all applications. Explore the full list and refine your search

Journal of experimental & clinical cancer research : CR 43:219 PubMed39107857

2024

TFEB controls sensitivity to chemotherapy and immuno-killing in non-small cell lung cancer.

Applications

Unspecified application

Species

Unspecified reactive species

Muhlis Akman,Ciro Monteleone,Gabriella Doronzo,Martina Godel,Francesca Napoli,Alessandra Merlini,Virginia Campani,Valeria Nele,Elisa Balmas,Tatiana Chontorotzea,Simona Fontana,Sabrina Digiovanni,Francesca Alice Barbu,Elena Astanina,Niloufar Jafari,Iris Chiara Salaroglio,Joanna Kopecka,Giuseppe De Rosa,Thomas Mohr,Alessandro Bertero,Luisella Righi,Silvia Novello,Giorgio Vittorio Scagliotti,Federico Bussolino,Chiara Riganti

Scientific reports 13:5374 PubMed37005468

2023

Spatial subcellular organelle networks in single cells.

Applications

Unspecified application

Species

Unspecified reactive species

Mythreye Venkatesan,Nicholas Zhang,Benoit Marteau,Yukina Yajima,Nerea Ortiz De Zarate Garcia,Zhou Fang,Thomas Hu,Shuangyi Cai,Adam Ford,Harrison Olszewski,Andrew Borst,Ahmet F Coskun
View all publications

Product promise

We are committed to supporting your work with high-quality reagents, and we're here for you every step of the way. In the unlikely event that one of our products does not perform as expected, you're protected by our Product Promise.
For full details, please see our Terms & Conditions

Please note: All products are 'FOR RESEARCH USE ONLY. NOT FOR USE IN DIAGNOSTIC OR THERAPEUTIC PROCEDURES'.

For licensing inquiries, please contact partnerships@abcam.com