JavaScript is disabled in your browser. Please enable JavaScript to view this website.
AB245645

Anti-SOS1 antibody

Be the first to review this product! Submit a review

|

(1 Publication)

Rabbit Polyclonal SOS1 antibody. Suitable for IP, WB and reacts with Human samples. Cited in 1 publication. Immunogen corresponding to Synthetic Peptide within Human SOS1 aa 1250 to C-terminus.

View Alternative Names

Son of sevenless homolog 1, SOS-1, SOS1

3 Images
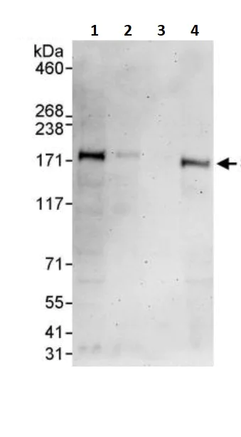
Western blot - Anti-SOS1 antibody (AB245645)
  • WB

Supplier Data

Western blot - Anti-SOS1 antibody (AB245645)

All lanes:

Western blot - Anti-SOS1 antibody (ab245645) at 0.04 µg/mL

Lane 1:

HeLa (Human epithelial cell line from cervix adenocarcinoma) whole cell lysate at 50 µg

Lane 2:

HeLa whole cell lysate at 15 µg

Lane 3:

HeLa whole cell lysate at 5 µg

Lane 4:

HEK-293T (Human epithelial cell line from embryonic kidney transformed with large T antigen) whole cell lysate at 50 µg

Predicted band size: 152 kDa

true

Exposure time: 3min

Immunoprecipitation - Anti-SOS1 antibody (AB245645)
  • IP

Supplier Data

Immunoprecipitation - Anti-SOS1 antibody (AB245645)

SOS1 was immunoprecipitated from HeLa (Human epithelial cell line from cervix adenocarcinoma) whole cell lysate (1 mg per IP reaction; 20% of IP loaded).

ab245645 used for IP at 3 μg/mg lysate. For WB 1 μg/ml.

Lane 1 : ab245645 IP in HeLa whole cell lysate.
Lane 2 : Control IgG in HeLa whole cell lysate.

Chemiluminescence detection : 30 seconds.

All lanes:

Immunoprecipitation - Anti-SOS1 antibody (ab245645)

Predicted band size: 152 kDa

false

Western blot - Anti-SOS1 antibody (AB245645)
  • WB

Lab

Western blot - Anti-SOS1 antibody (AB245645)

False colour image of Western blot : Anti-SOS1 antibody staining at 1/2000 dilution, shown in green; Mouse anti-Alpha Tubulin [DM1A] (ab7291) loading control staining at 1/20000 dilution, shown in red. In Western blot, ab245645 was shown to bind specifically to SOS1. A band was observed at 171 kDa in wild-type A431 cell lysates with no signal observed at this size in SOS1 knockout cell line ab276087 (knockout cell lysate ab283833). To generate this image, wild-type and SOS1 knockout A431 cell lysates were analysed. First, samples were run on an SDS-PAGE gel then transferred onto a nitrocellulose membrane. Membranes were blocked in 3 % milk in TBS-0.1 % Tween® 20 (TBS-T) before incubation with primary antibodies overnight at 4 °C. Blots were washed four times in TBS-T, incubated with secondary antibodies for 1 h at room temperature, washed again four times then imaged. Secondary antibodies used were Goat anti-Rabbit IgG H&L (IRDye® 800CW) preabsorbed (ab216773) and Goat anti-Mouse IgG H&L (IRDye® 680RD) preabsorbed (ab216776) at 1/20000 dilution.

All lanes:

Western blot - Anti-SOS1 antibody (ab245645) at 1/2000 dilution

Lane 1:

Wild-type A431 cell lysate at 20 µg

Lane 2:

SOS1 knockout A431 cell lysate at 20 µg

Lane 2:

Western blot - Human SOS1 knockout A-431 cell line (<a href='/en-us/products/cell-lines/human-sos1-knockout-a-431-cell-line-ab276087'>ab276087</a>)

Lane 3:

HEK-293 cell lysate at 20 µg

Lane 4:

SK-OV-3 cell lysate at 20 µg

Predicted band size: 152 kDa

Observed band size: 171 kDa

false

Key facts

Host species

Rabbit

Clonality

Polyclonal

Isotype

IgG

Carrier free

No

Reacts with

Human

Applications

IP, WB

applications

Immunogen

Synthetic Peptide within Human SOS1 aa 1250 to C-terminus. The exact immunogen used to generate this antibody is proprietary information.

Q07889

Reactivity data

{ "title": "Reactivity Data", "filters": { "stats": ["", "Species", "Dilution Info", "Notes"], "tabs": { "all-applications": {"fullname" : "All Applications", "shortname": "All Applications"}, "IP" : {"fullname" : "Immunoprecipitation", "shortname":"IP"}, "WB" : {"fullname" : "Western blot", "shortname":"WB"} }, "product-promise": { "all": "all", "testedAndGuaranteed": "tested", "guaranteed": "expected", "predicted": "predicted", "notRecommended": "not-recommended" } }, "values": { "Human": { "IP-species-checked": "testedAndGuaranteed", "IP-species-dilution-info": "2-5 µg/mg of lysate", "IP-species-notes": "<p></p>", "WB-species-checked": "testedAndGuaranteed", "WB-species-dilution-info": "1/2000 - 1/10000", "WB-species-notes": "<p></p>" }, "Mouse": { "IP-species-checked": "predicted", "IP-species-dilution-info": "", "IP-species-notes": "", "WB-species-checked": "predicted", "WB-species-dilution-info": "", "WB-species-notes": "" } } }

Properties and storage information

Form
Liquid
Purification technique
Affinity purification Immunogen
Purification notes
ab245645 was affinity purified using an epitope specific to SOS1 immobilized on solid support.
Storage buffer
pH: 6.8 - 7.4 Preservative: 0.09% Sodium azide Constituents: Tris buffered saline, 0.1% BSA
Shipped at conditions
Blue Ice
Appropriate short-term storage duration
1-2 weeks
Appropriate short-term storage conditions
+4°C
Appropriate long-term storage conditions
-20°C
Aliquoting information
Upon delivery aliquot
Storage information
Avoid freeze / thaw cycle

Product protocols

For this product, it's our understanding that no specific protocols are required. You can visit:

Target data

Promotes the exchange of Ras-bound GDP by GTP (PubMed : 8493579). Probably by promoting Ras activation, regulates phosphorylation of MAP kinase MAPK3 in response to EGF (PubMed : 17339331). Catalytic component of a trimeric complex that participates in transduction of signals from Ras to Rac by promoting the Rac-specific guanine nucleotide exchange factor (GEF) activity (By similarity).
See full target information SOS1

Publications (1)

Recent publications for all applications. Explore the full list and refine your search

Nature 591:E28 PubMed33707632

2021

Author Correction: The necrosome promotes pancreatic oncogenesis via CXCL1 and Mincle-induced immune suppression.

Applications

Unspecified application

Species

Unspecified reactive species

Lena Seifert,Gregor Werba,Shaun Tiwari,Nancy Ngoc Giao Ly,Sara Alothman,Dalia Alqunaibit,Antonina Avanzi,Rocky Barilla,Donnele Daley,Stephanie H Greco,Alejandro Torres-Hernandez,Matthew Pergamo,Atsuo Ochi,Constantinos P Zambirinis,Mridul Pansari,Mauricio Rendon,Daniel Tippens,Mautin Hundeyin,Vishnu R Mani,Cristina Hajdu,Dannielle Engle,George Miller
View all publications

Product promise

We are committed to supporting your work with high-quality reagents, and we're here for you every step of the way. In the unlikely event that one of our products does not perform as expected, you're protected by our Product Promise.
For full details, please see our Terms & Conditions

Please note: All products are 'FOR RESEARCH USE ONLY. NOT FOR USE IN DIAGNOSTIC OR THERAPEUTIC PROCEDURES'.

For licensing inquiries, please contact partnerships@abcam.com