JavaScript is disabled in your browser. Please enable JavaScript to view this website.
AB227118

Anti-SOX1 antibody [EPR4766] - BSA and Azide free

Be the first to review this product! Submit a review

|

(3 Publications)

Rabbit Recombinant Monoclonal SOX1 antibody. Carrier free. Suitable for WB, ICC/IF, Flow Cyt (Intra) and reacts with Mouse, Rat, Human samples. Cited in 3 publications.

View Alternative Names

Transcription factor SOX-1, SOX1

3 Images
Flow Cytometry (Intracellular) - Anti-SOX1 antibody [EPR4766] - BSA and Azide free (AB227118)
  • Flow Cyt (Intra)

Lab

Flow Cytometry (Intracellular) - Anti-SOX1 antibody [EPR4766] - BSA and Azide free (AB227118)

This data was developed using ab227118, the same antibody clone in a different buffer formulation.
Flow Cytometry analysis of NCCIT (Human pluripotent embryonic carcinoma epithelial cell) cells labelling SOX1 with Purified ab227118 at 1 : 100 dilution (10 μg/ml) (Red). Cells were fixed with 4% Paraformaldehyde and permeabilised with 90% Methanol. A Goat anti rabbit IgG (Alexa Fluor® 488, ab150077) secondary antibody was used at 1 : 2000. Isotype control - Rabbit monoclonal IgG (Black). Unlabelled control - Cell without incubation with primary antibody and secondary antibody (Blue).

Immunocytochemistry/ Immunofluorescence - Anti-SOX1 antibody [EPR4766] - BSA and Azide free (AB227118)
  • ICC/IF

Lab

Immunocytochemistry/ Immunofluorescence - Anti-SOX1 antibody [EPR4766] - BSA and Azide free (AB227118)

This data was developed using ab227118, the same antibody clone in a different buffer formulation.
Immunocytochemistry analysis of NCCIT (Human pluripotent embryonic carcinoma epithelial cell) cells labeling SOX1 with Purified ab227118 at 1 : 500 dilution (2 μg/ml). Cells were fixed in 4% Paraformaldehyde and permeabilized with 0.1% tritonX-100. Cells were counterstained with ab195889 Anti-alpha Tubulin antibody [DM1A] - Microtubule Marker (Alexa Fluor® 594) 1 : 200 (2.5 μg/ml). Goat anti rabbit IgG (Alexa Fluor® 488, ab150077) was used as the secondary antibody at 1 : 1000 (2 μg/ml) dilution. DAPI (blue) was used as nuclear counterstain. PBS instead of the primary antibody was used as the secondary antibody only control.

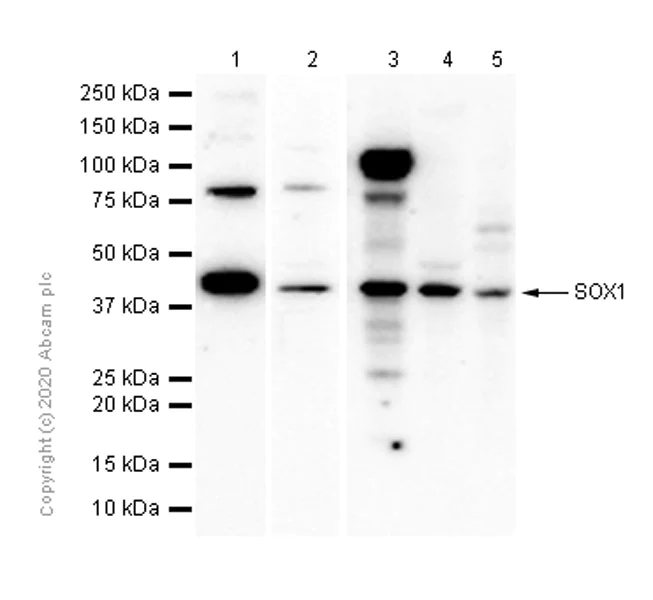
Western blot - Anti-SOX1 antibody [EPR4766] - BSA and Azide free (AB227118)
  • WB

Unknown

Western blot - Anti-SOX1 antibody [EPR4766] - BSA and Azide free (AB227118)

All lanes:

Western blot - Anti-SOX1 antibody [EPR4766] (<a href='/en-us/products/primary-antibodies/sox1-antibody-epr4766-ab109290'>ab109290</a>) at 1/1000 dilution

Lane 1:

NCCIT (Human pluripotent embryonic carcinoma epithelial cell) whole cell lysate at 20 µg

Lane 2:

Mouse brain lysate at 20 µg

Lane 3:

Neuro-2a (Mouse neuroblastoma neuroblast) whole cell lysate at 20 µg

Lane 4:

Rat cerebral cortex lysate at 20 µg

Lane 5:

C6 (Rat glial tumor glial cell) whole cell lysate at 20 µg

Secondary

All lanes:

Goat Anti-Rabbit IgG (HRP) with minimal cross-reactivity with human IgG at 1/2000 dilution

Predicted band size: 39 kDa

false

Key facts

Host species

Rabbit

Clonality

Monoclonal

Clone number

EPR4766

Isotype

IgG

Carrier free

Yes

Reacts with

Human, Mouse, Rat

Applications

Flow Cyt (Intra), WB, ICC/IF

applications

Immunogen

The exact immunogen used to generate this antibody is proprietary information.

Reactivity data

{ "title": "Reactivity Data", "filters": { "stats": ["", "Species", "Dilution Info", "Notes"], "tabs": { "all-applications": {"fullname" : "All Applications", "shortname": "All Applications"}, "IP" : {"fullname" : "Immunoprecipitation", "shortname":"IP"}, "WB" : {"fullname" : "Western blot", "shortname":"WB"}, "ICCIF" : {"fullname" : "Immunocytochemistry/ Immunofluorescence", "shortname":"ICC/IF"}, "FlowCytIntra" : {"fullname" : "Flow Cytometry (Intracellular)", "shortname":"Flow Cyt (Intra)"} }, "product-promise": { "all": "all", "testedAndGuaranteed": "tested", "guaranteed": "expected", "predicted": "predicted", "notRecommended": "not-recommended" } }, "values": { "Human": { "IP-species-checked": "notRecommended", "IP-species-dilution-info": "", "IP-species-notes": "<p></p>", "WB-species-checked": "testedAndGuaranteed", "WB-species-dilution-info": "", "WB-species-notes": "<p></p>", "ICCIF-species-checked": "testedAndGuaranteed", "ICCIF-species-dilution-info": "", "ICCIF-species-notes": "<p></p>", "FlowCytIntra-species-checked": "testedAndGuaranteed", "FlowCytIntra-species-dilution-info": "", "FlowCytIntra-species-notes": "<p><a href='/en-us/products/primary-antibodies/rabbit-igg-monoclonal-epr25a-isotype-control-low-endotoxin-azide-free-ab199376'>ab199376</a> - Rabbit monoclonal (Low endotoxin, Azide free), is suitable for use as an isotype control with this antibody.</p>" }, "Mouse": { "IP-species-checked": "notRecommended", "IP-species-dilution-info": "", "IP-species-notes": "<p></p>", "WB-species-checked": "testedAndGuaranteed", "WB-species-dilution-info": "", "WB-species-notes": "<p></p>", "ICCIF-species-checked": "guaranteed", "ICCIF-species-dilution-info": "", "ICCIF-species-notes": "", "FlowCytIntra-species-checked": "guaranteed", "FlowCytIntra-species-dilution-info": "", "FlowCytIntra-species-notes": "" }, "Rat": { "IP-species-checked": "notRecommended", "IP-species-dilution-info": "", "IP-species-notes": "<p></p>", "WB-species-checked": "testedAndGuaranteed", "WB-species-dilution-info": "", "WB-species-notes": "<p></p>", "ICCIF-species-checked": "guaranteed", "ICCIF-species-dilution-info": "", "ICCIF-species-notes": "", "FlowCytIntra-species-checked": "guaranteed", "FlowCytIntra-species-dilution-info": "", "FlowCytIntra-species-notes": "" } } }

Product details

ab227118 is the carrier-free version of ab109290.

Conjugation ready
Our carrier-free antibodies are typically supplied in a PBS-only formulation, purified and free of BSA, sodium azide and glycerol. This conjugation-ready format is designed for use with fluorochromes, metal isotopes, oligonucleotides, and enzymes, which makes them ideal for antibody labelling, functional and cell-based assays, flow-based assays (e.g. mass cytometry) and Multiplex Imaging applications.

Use our conjugation kits for antibody conjugates that are ready-to-use in as little as 20 minutes with 1 minute hands-on-time and 100% antibody recovery: available for fluorescent dyes, HRP, biotin and gold.

Compatibility
This product is compatible with the Maxpar® Antibody Labeling Kit from Fluidigm, without the need for antibody preparation. Maxpar® is a trademark of Fluidigm Canada Inc.

Properties and storage information

Form
Liquid
Purification technique
Affinity purification Protein A
Storage buffer
pH: 7.2 - 7.4 Constituents: PBS
Shipped at conditions
Blue Ice
Appropriate short-term storage conditions
+4°C
Appropriate long-term storage conditions
+4°C
Storage information
Do Not Freeze

Product protocols

For this product, it's our understanding that no specific protocols are required. You can visit:

Target data

Transcriptional activator. May function as a switch in neuronal development. Keeps neural cells undifferentiated by counteracting the activity of proneural proteins and suppresses neuronal differentiation (By similarity).
See full target information SOX1

Publications (3)

Recent publications for all applications. Explore the full list and refine your search

Development (Cambridge, England) 145: PubMed29784672

2018

Genetic screening and multipotency in rhesus monkey haploid neural progenitor cells.

Applications

Unspecified application

Species

Unspecified reactive species

Haisong Wang,Wenhao Zhang,Jian Yu,Congyu Wu,Qian Gao,Xu Li,Yanni Li,Jinxin Zhang,Yaru Tian,Tao Tan,Weizhi Ji,Luyuan Li,Yang Yu,Ling Shuai

PloS one 9:e91852 PubMed24637840

2014

Expression analysis of SOX14 during retinoic acid induced neural differentiation of embryonal carcinoma cells and assessment of the effect of its ectopic expression on SOXB members in HeLa cells.

Applications

WB

Species

Human

Jelena Popovic,Danijela Stanisavljevic,Marija Schwirtlich,Andrijana Klajn,Jelena Marjanovic,Milena Stevanovic

Neuroscience letters 548:44-9 PubMed23684982

2013

Cell type-selective expression of the zinc finger-containing gene Nolz-1/Zfp503 in the developing mouse striatum.

Applications

ICC/IF

Species

Mouse

Hsin-An Ko,Shih-Yun Chen,Huei-Ying Chen,Hsin-Jou Hao,Fu-Chin Liu
View all publications

Product promise

We are committed to supporting your work with high-quality reagents, and we're here for you every step of the way. In the unlikely event that one of our products does not perform as expected, you're protected by our Product Promise.
For full details, please see our Terms & Conditions

Please note: All products are 'FOR RESEARCH USE ONLY. NOT FOR USE IN DIAGNOSTIC OR THERAPEUTIC PROCEDURES'.

For licensing inquiries, please contact partnerships@abcam.com