JavaScript is disabled in your browser. Please enable JavaScript to view this website.
AB265587

Anti-SOX10 antibody [BLR080G]

Be the first to review this product! Submit a review

|

(1 Publication)

Rabbit Recombinant Monoclonal SOX10 antibody. Suitable for IHC-P, ICC, IP, WB and reacts with Human, Mouse samples. Cited in 1 publication. Immunogen corresponding to Synthetic Peptide within Human SOX10 aa 400 to C-terminus.

View Alternative Names

Transcription factor SOX-10, SOX10

6 Images
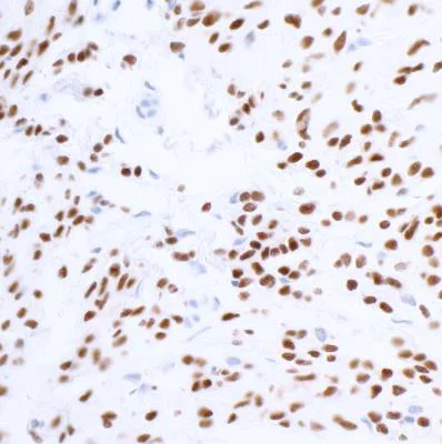
Immunohistochemistry (Formalin/PFA-fixed paraffin-embedded sections) - Anti-SOX10 antibody [BLR080G] (AB265587)
  • IHC-P

Supplier Data

Immunohistochemistry (Formalin/PFA-fixed paraffin-embedded sections) - Anti-SOX10 antibody [BLR080G] (AB265587)

Immunohistochemical analysis of formalin-fixed, paraffin-embedded human melanoma tissue labeling SOX10 with ab265587 at 1/100 dilution. Detection : DAB.

Immunocytochemistry - Anti-SOX10 antibody [BLR080G] (AB265587)
  • ICC

Supplier Data

Immunocytochemistry - Anti-SOX10 antibody [BLR080G] (AB265587)

Immunocytochemical analysis of formalin-fixed, paraffin-embedded SK-MEL-28 (Human melanoma cell line) cells labeling SOX10 with ab265587 at 1/100 dilution. Detection : DAB.

Immunohistochemistry (Formalin/PFA-fixed paraffin-embedded sections) - Anti-SOX10 antibody [BLR080G] (AB265587)
  • IHC-P

Supplier Data

Immunohistochemistry (Formalin/PFA-fixed paraffin-embedded sections) - Anti-SOX10 antibody [BLR080G] (AB265587)

Immunohistochemical analysis of formalin-fixed, paraffin-embedded human breast carcinoma tissue labeling SOX10 with ab265587 at 1/100 dilution. Detection : DAB.

Immunoprecipitation - Anti-SOX10 antibody [BLR080G] (AB265587)
  • IP

Supplier Data

Immunoprecipitation - Anti-SOX10 antibody [BLR080G] (AB265587)

SOX10 was immunoprecipitated from 1mg of MALME-3M whole cell lysate with ab265587 at 20 μl/mg lysate. Western blot was performed from the immunoprecipitate using ab265587 at a 1/1000 dilution.
Lane 1 : ab265587 IP in MALME-3M whole cell lysate.
Lane 2 : Control IgG.

Exposure time : 3 secs.

Cells prepared using NETN lysis buffer.

All lanes:

Immunoprecipitation - Anti-SOX10 antibody [BLR080G] (ab265587)

Predicted band size: 49 kDa

false

Western blot - Anti-SOX10 antibody [BLR080G] (AB265587)
  • WB

Supplier Data

Western blot - Anti-SOX10 antibody [BLR080G] (AB265587)

Cells prepared using NETN lysis buffer.

All lanes:

Western blot - Anti-SOX10 antibody [BLR080G] (ab265587) at 1/1000 dilution

Lane 1:

HEK-293T whole cell lysate at 15 µg

Lane 2:

MALME-3M whole cell lysate at 15 µg

Lane 3:

MCF7 whole cell lysate at 15 µg

Lane 4:

SK-MEL-28 whole cell lysate at 15 µg

Lane 5:

Jurkat whole cell lysate at 15 µg

Lane 6:

MDA-MB-435 whole cell lysate at 15 µg

Lane 7:

HeLa whole cell lysate at 15 µg

Lane 8:

UACC-62 whole cell lysate at 15 µg

Secondary

All lanes:

HRP-conjugated goat anti-rabbit IgG

Predicted band size: 49 kDa

false

Exposure time: 10s

Western blot - Anti-SOX10 antibody [BLR080G] (AB265587)
  • WB

Supplier Data

Western blot - Anti-SOX10 antibody [BLR080G] (AB265587)

Cells prepared using NETN lysis buffer.

All lanes:

Western blot - Anti-SOX10 antibody [BLR080G] (ab265587) at 1/1000 dilution

Lane 1:

TCMK whole cell lysate at 50 µg

Lane 2:

B16-F10 whole cell lysate at 15 µg

Lane 3:

NIH/3T3 whole cell lysate at 50 µg

Lane 4:

MALME-3M whole cell lysate at 15 µg

Secondary

All lanes:

HRP-conjugated goat anti-rabbit IgG

Predicted band size: 49 kDa

false

Exposure time: 3s

Key facts

Host species

Rabbit

Clonality

Monoclonal

Clone number

BLR080G

Isotype

IgG

Carrier free

No

Reacts with

Mouse, Human

Applications

IP, WB, IHC-P, ICC

applications

Immunogen

Synthetic Peptide within Human SOX10 aa 400 to C-terminus. The exact immunogen used to generate this antibody is proprietary information.

P56693

Reactivity data

{ "title": "Reactivity Data", "filters": { "stats": ["", "Species", "Dilution Info", "Notes"], "tabs": { "all-applications": {"fullname" : "All Applications", "shortname": "All Applications"}, "IHCP" : {"fullname" : "Immunohistochemistry (Formalin/PFA-fixed paraffin-embedded sections)", "shortname":"IHC-P"}, "ICC" : {"fullname" : "Immunocytochemistry", "shortname":"ICC"}, "IP" : {"fullname" : "Immunoprecipitation", "shortname":"IP"}, "WB" : {"fullname" : "Western blot", "shortname":"WB"} }, "product-promise": { "all": "all", "testedAndGuaranteed": "tested", "guaranteed": "expected", "predicted": "predicted", "notRecommended": "not-recommended" } }, "values": { "Human": { "IHCP-species-checked": "testedAndGuaranteed", "IHCP-species-dilution-info": "1/100 - 1/500", "IHCP-species-notes": "<p></p>", "ICC-species-checked": "testedAndGuaranteed", "ICC-species-dilution-info": "1/100 - 1/500", "ICC-species-notes": "<p>Perform heat mediated antigen retrieval with citrate buffer pH 6 before commencing with ICC staining protocol.</p>", "IP-species-checked": "testedAndGuaranteed", "IP-species-dilution-info": "", "IP-species-notes": "<p>20 μl per mg lysate.</p>", "WB-species-checked": "testedAndGuaranteed", "WB-species-dilution-info": "1/1000", "WB-species-notes": "<p></p>" }, "Mouse": { "IHCP-species-checked": "guaranteed", "IHCP-species-dilution-info": "", "IHCP-species-notes": "", "ICC-species-checked": "guaranteed", "ICC-species-dilution-info": "", "ICC-species-notes": "", "IP-species-checked": "guaranteed", "IP-species-dilution-info": "", "IP-species-notes": "", "WB-species-checked": "testedAndGuaranteed", "WB-species-dilution-info": "1/1000", "WB-species-notes": "<p></p>" } } }

Product details

REACH authorisation
Abcam has not and does not intend to apply for the REACH Authorisation of customers' uses of products that contain European Authorisation list (Annex XIV) substances.
It is the responsibility of our customers to check the necessity of application of REACH Authorisation, and any other relevant authorisations, for their intended uses.

Properties and storage information

Form
Liquid
Purification technique
Affinity purification
Purification notes
Purified from TCS.
Storage buffer
pH: 7.8 - 8.6 Preservative: 0.09% Sodium azide Constituents: 98% Borate buffered saline, 0.1% BSA
Shipped at conditions
Blue Ice
Appropriate short-term storage duration
1-2 weeks
Appropriate short-term storage conditions
+4°C
Appropriate long-term storage conditions
+4°C
Aliquoting information
Upon delivery aliquot
Storage information
Avoid freeze / thaw cycle

Product protocols

For this product, it's our understanding that no specific protocols are required. You can visit:

Target data

Transcription factor that plays a central role in developing and mature glia (By similarity). Specifically activates expression of myelin genes, during oligodendrocyte (OL) maturation, such as DUSP15 and MYRF, thereby playing a central role in oligodendrocyte maturation and CNS myelination (By similarity). Once induced, MYRF cooperates with SOX10 to implement the myelination program (By similarity). Transcriptional activator of MITF, acting synergistically with PAX3 (PubMed : 21965087). Transcriptional activator of MBP, via binding to the gene promoter (By similarity).
See full target information SOX10

Publications (1)

Recent publications for all applications. Explore the full list and refine your search

Frontiers in molecular biosciences 8:729789 PubMed34621787

2021

Development of a Toll-Like Receptor-Based Gene Signature That Can Predict Prognosis, Tumor Microenvironment, and Chemotherapy Response for Hepatocellular Carcinoma.

Applications

Unspecified application

Species

Unspecified reactive species

Lixia Liu,Bin Liu,Jie Yu,Dongyun Zhang,Jianhong Shi,Ping Liang
View all publications

Product promise

We are committed to supporting your work with high-quality reagents, and we're here for you every step of the way. In the unlikely event that one of our products does not perform as expected, you're protected by our Product Promise.
For full details, please see our Terms & Conditions

Please note: All products are 'FOR RESEARCH USE ONLY. NOT FOR USE IN DIAGNOSTIC OR THERAPEUTIC PROCEDURES'.

For licensing inquiries, please contact partnerships@abcam.com