JavaScript is disabled in your browser. Please enable JavaScript to view this website.
AB220078

Anti-SOX10 antibody [EPR4007-104] - BSA and Azide free

  • BOND RX™ Validated
  • Recombinant
  • Advanced Validation
  • RabMAb
  • What is this?

4

(3 Reviews)

|

(1 Publication)

Rabbit Recombinant Monoclonal SOX10 antibody. Carrier free. Suitable for mIHC, IHC-Fr, IHC-P and reacts with Mouse, Rat, Human samples. Cited in 1 publication.

View Alternative Names

Transcription factor SOX-10, SOX10

10 Images
Immunohistochemistry (Formalin/PFA-fixed paraffin-embedded sections) - Anti-SOX10 antibody [EPR4007-104] - BSA and Azide free (AB220078)
  • IHC-P

Supplier Data

Immunohistochemistry (Formalin/PFA-fixed paraffin-embedded sections) - Anti-SOX10 antibody [EPR4007-104] - BSA and Azide free (AB220078)

This IHC data was generated using the same anti-SOX10 antibody clone, EPR4007-104, in a different buffer formulation (cat# ab180862).

Immunohistochemical analysis of paraffin-embedded Human fetal brain tissue labeling SOX10 with ab180862 at 1/100 dilution.

Heat mediated antigen retrieval was performed before commencing with IHC staining protocol.

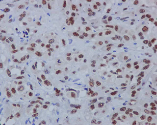
Immunohistochemistry (Formalin/PFA-fixed paraffin-embedded sections) - Anti-SOX10 antibody [EPR4007-104] - BSA and Azide free (AB220078)
  • IHC-P

Lab

Immunohistochemistry (Formalin/PFA-fixed paraffin-embedded sections) - Anti-SOX10 antibody [EPR4007-104] - BSA and Azide free (AB220078)

This IHC data was generated using the same anti-SOX10 antibody clone, EPR4007-104, in a different buffer formulation (cat# ab180862).

Immunohistochemical analysis of paraffin-embedded Human melanoma tissue labeling SOX10 with ab180862 at 1/100 dilution.

Heat mediated antigen retrieval was performed before commencing with IHC staining protocol.

Immunohistochemistry (Formalin/PFA-fixed paraffin-embedded sections) - Anti-SOX10 antibody [EPR4007-104] - BSA and Azide free (AB220078)
  • IHC-P

Lab

Immunohistochemistry (Formalin/PFA-fixed paraffin-embedded sections) - Anti-SOX10 antibody [EPR4007-104] - BSA and Azide free (AB220078)

Immunohistochemical analysis of paraffin-embedded Human melanoma tissue labeling SOX10 with ab180862 at 1/100 dilution.

This data was developed using the same antibody clone in a different buffer formulation containing PBS, BSA, glycerol, and sodium azide (ab180862).

Heat mediated antigen retrieval was performed before commencing with IHC staining protocol.

Immunohistochemistry (Frozen sections) - Anti-SOX10 antibody [EPR4007-104] - BSA and Azide free (AB220078)
  • IHC-Fr

Lab

Immunohistochemistry (Frozen sections) - Anti-SOX10 antibody [EPR4007-104] - BSA and Azide free (AB220078)

Immunohistochemistry (Frozen) analysis of mouse cerebellum tissue sections labeling SOX10 with purified ab180862 at 1/50 (2.2 μg/ml). Goat anti rabbit IgG (Alexa Fluor® 488, ab150077) at 1/1000 (2 μg/ml) was used as the secondary antibody. Sections were fixed with 4% paraformaldehyde and permeabilised with 0.2% Triton X-100. Negative control : PBS instead of the primary antibody. DAPI (blue) was used as nuclear counterstain. Heat mediated antigen retrieval using sodium citrate buffer (10mM citrate pH 6.0 + 0.05% Tween-20) was performed.
This data was developed using the same antibody clone in a different buffer formulation containing PBS, BSA, glycerol, and sodium azide ab180862).

Immunohistochemistry (Frozen sections) - Anti-SOX10 antibody [EPR4007-104] - BSA and Azide free (AB220078)
  • IHC-Fr

Lab

Immunohistochemistry (Frozen sections) - Anti-SOX10 antibody [EPR4007-104] - BSA and Azide free (AB220078)

Immunohistochemistry (Frozen) analysis of rat cerebellum tissue sections labeling SOX10 with purified ab180862 at 1/50 (2.2 μg/ml). Goat anti rabbit IgG (Alexa Fluor® 488, ab150077) at 1/1000 (2 μg/ml) was used as the secondary antibody. Sections were fixed with 4% paraformaldehyde and permeabilised with 0.2% Triton X-100. Negative control : PBS instead of the primary antibody. DAPI (blue) was used as nuclear counterstain. Heat mediated antigen retrieval using sodium citrate buffer (10mM citrate pH 6.0 + 0.05% Tween-20) was performed.
This data was developed using the same antibody clone in a different buffer formulation containing PBS, BSA, glycerol, and sodium azide ab180862).

Immunohistochemistry (Formalin/PFA-fixed paraffin-embedded sections) - Anti-SOX10 antibody [EPR4007-104] - BSA and Azide free (AB220078)
  • IHC-P

Unknown

Immunohistochemistry (Formalin/PFA-fixed paraffin-embedded sections) - Anti-SOX10 antibody [EPR4007-104] - BSA and Azide free (AB220078)

Immunohistochemistry (Formalin/PFA-fixed paraffin-embedded sections) analysis of mouse cerebellum tissue sections labeling SOX10 with purified ab180862 at 1/500 (0.22 μg/ml). Antigen retrieval was heat mediated with Tris-EDTA buffer (pH 9.0, epitope retrieval solution 2) for 20 minutes. Rabbit specific IHC polymer detection kit HRP/DAB (ab209101) was used as the secondary antibody. Hematoxylin was used as a counterstain.
This data was developed using the same antibody clone in a different buffer formulation containing PBS, BSA, glycerol, and sodium azide (ab180862).

Multiplex immunohistochemistry - Anti-SOX10 antibody [EPR4007-104] - BSA and Azide free (AB220078)
  • mIHC

Lab

Multiplex immunohistochemistry - Anti-SOX10 antibody [EPR4007-104] - BSA and Azide free (AB220078)

This data was developed using ab180862, the same antibody clone in a different buffer formulation.

Multiplex immunohistochemistry analysis of formalin/PFA-fixed paraffin-embedded mouse breast tissue staining Hormone sensitive lipase/HSL with ab325336 at a 1/2000 (0.248 μg/ml) dilution, ab324191 anti-E Cadherin used at a 1/500 (2.088 μg/ml) dilution and ab180862 anti-SOX10 used at a 1/4000 (0.03 μg/ml) dilution.

Panel A : anti-Hormone sensitive lipase/HSL (green; Opal™520), anti-E Cadherin (magenta; Opal™690), anti-SOX10 (gray; Opal™570) on mouse breast.

Panel B : anti-Hormone sensitive lipase/HSL staining adipocytes in mouse breast.

Panel C : anti-E Cadherin staining epithelium in mouse breast.

Panel D : anti-SOX10 staining on nucleus in mouse breast.

Nuclear DNA was labeled with DAPI (shown in blue).

The section was incubated in three rounds of staining : in the order of ab325336, ab324191 and ab180862 for 30 mins at room temperature. Each round was followed by a separate fluorescent tyramide signal amplification system.

The immunostaining was performed on a Leica Biosystems BOND® RX instrument with an Opal™ 4-color kit. Image acquisition was performed with Leica SP8 confocal microscope.

Heat mediated antigen retrieval was performed with Tris-EDTA buffer (pH 9.0, Epitope Retrieval Solution2) for 20 mins.

Multiplex immunohistochemistry - Anti-SOX10 antibody [EPR4007-104] - BSA and Azide free (AB220078)
  • mIHC

Lab

Multiplex immunohistochemistry - Anti-SOX10 antibody [EPR4007-104] - BSA and Azide free (AB220078)

Immunohistochemistry (Formalin/PFA-fixed paraffin-embedded sections) analysis of Mouse cerebellum tissue labelling SOX1 with ab242125 at 1 : 2000 (0.29 ug/ml) dilution, RoR alpha/RORA with ab256799 at 1 : 800 (0.63 ug/ml) dilution and SOX10 with ab200078 at 1 : 5000 (0.2 ug/ml) followed by a ready to use secondary antibody Opal Polymer HRP Ms + Rb.

Panel A : merged staining of anti-SOX1 (magenta; Opal690), anti-RORA (green; Opal520) and anti-SOX10 (gray; Opal570) on mouse cerebellum.
Panel B : anti-SOX1 staining Bergmann glia in mouse cerebellum.
Panel C : anti-RORA staining Pukinje cell and molecular layers in mouse cerebellum.
Panel D : anti-SOX10 staining glial cells in mouse cerebellum.
Nuclear DNA was labeled with DAPI (shown in blue).

The section was incubated in three rounds of staining : in the order of ab242125, ab256799 and ab200078 for 30 mins at room temperature. Each round was followed by a separate fluorescent tyramide signal amplification system.

The immunostaining was performed on a Leica Biosystems BOND® RX instrument with an Opal 4-color kit. Image acquisition was performed with Leica SP8 confocal microscope.

Heat mediated antigen retrieval with Tris-EDTA buffer (pH 9.0, epitope retrieval solution2) for 20 mins

Multiplex immunohistochemistry - Anti-SOX10 antibody [EPR4007-104] - BSA and Azide free (AB220078)
  • mIHC

Lab

Multiplex immunohistochemistry - Anti-SOX10 antibody [EPR4007-104] - BSA and Azide free (AB220078)

This data was developed using ab180862, the same antibody clone in a different buffer formulation.

Multiplex immunohistochemistry analysis of formalin/PFA-fixed paraffin-embedded mouse breast tissue staining PNPLA3 with ab324436 at a 1/200 dilution, ab324191 anti-E Cadherin used at 1/500 dilution and ab180862 anti-SOX10 used at a 1/4000 dilution.

Panel A : anti-PNPLA3 (green; Opal™520), anti-E Cadherin (magenta; Opal™690) and anti-SOX10 (gray; Opal™570) on mouse breast.

Panel B : anti-PNPLA3 staining white adipose tissue in mouse breast.

Panel C : anti-E Cadherin staining membrane of epithelium in mouse breast.

Panel D : anti-SOX10 staining nucleus of epithelium in mouse breast.

Nuclear DNA was labeled with DAPI (shown in blue).

The section was incubated in three rounds of staining : in the order of ab324436, ab324191 and ab180862 for 30 mins at room temperature. Each round was followed by a separate fluorescent tyramide signal amplification system.

The immunostaining was performed on a Leica Biosystems BOND® RX instrument with an Opal™ 4-color kit. Image acquisition was performed with Leica SP8 confocal microscope.

Heat mediated antigen retrieval was performed with Tris-EDTA buffer (pH 9.0, Epitope Retrieval Solution2) for 20 mins.

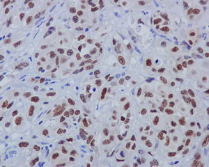
Immunohistochemistry (Formalin/PFA-fixed paraffin-embedded sections) - Anti-SOX10 antibody [EPR4007-104] - BSA and Azide free (AB220078)
  • IHC-P

Unknown

Immunohistochemistry (Formalin/PFA-fixed paraffin-embedded sections) - Anti-SOX10 antibody [EPR4007-104] - BSA and Azide free (AB220078)

Immunohistochemistry (Formalin/PFA-fixed paraffin-embedded sections) analysis of mouse breast tissue sections labeling SOX10 with purified ab180862 at 1/500 (0.22 μg/ml). Antigen retrieval was heat mediated with Tris-EDTA buffer (pH 9.0, epitope retrieval solution 2) for 20 minutes. Rabbit specific IHC polymer detection kit HRP/DAB (ab209101) was used as the secondary antibody. Hematoxylin was used as a counterstain.
This data was developed using the same antibody clone in a different buffer formulation containing PBS, BSA, glycerol, and sodium azide (ab180862).

Key facts

Host species

Rabbit

Clonality

Monoclonal

Clone number

EPR4007-104

Isotype

IgG

Carrier free

Yes

Reacts with

Mouse, Rat, Human

Applications

IHC-Fr, mIHC, IHC-P

applications

Immunogen

The exact immunogen used to generate this antibody is proprietary information.

Reactivity data

{ "title": "Reactivity Data", "filters": { "stats": ["", "Species", "Dilution Info", "Notes"], "tabs": { "all-applications": {"fullname" : "All Applications", "shortname": "All Applications"}, "mIHC" : {"fullname" : "Multiplex immunohistochemistry", "shortname":"mIHC"}, "IHCFr" : {"fullname" : "Immunohistochemistry (Frozen sections)", "shortname":"IHC-Fr"}, "IHCP" : {"fullname" : "Immunohistochemistry (Formalin/PFA-fixed paraffin-embedded sections)", "shortname":"IHC-P"}, "ICCIF" : {"fullname" : "Immunocytochemistry/ Immunofluorescence", "shortname":"ICC/IF"}, "IP" : {"fullname" : "Immunoprecipitation", "shortname":"IP"}, "WB" : {"fullname" : "Western blot", "shortname":"WB"} }, "product-promise": { "all": "all", "testedAndGuaranteed": "tested", "guaranteed": "expected", "predicted": "predicted", "notRecommended": "not-recommended" } }, "values": { "Human": { "mIHC-species-checked": "guaranteed", "mIHC-species-dilution-info": "", "mIHC-species-notes": "", "IHCFr-species-checked": "guaranteed", "IHCFr-species-dilution-info": "", "IHCFr-species-notes": "", "IHCP-species-checked": "testedAndGuaranteed", "IHCP-species-dilution-info": "", "IHCP-species-notes": "<p></p>", "ICCIF-species-checked": "notRecommended", "ICCIF-species-dilution-info": "", "ICCIF-species-notes": "<p></p>", "IP-species-checked": "notRecommended", "IP-species-dilution-info": "", "IP-species-notes": "<p></p>", "WB-species-checked": "notRecommended", "WB-species-dilution-info": "", "WB-species-notes": "" }, "Mouse": { "mIHC-species-checked": "testedAndGuaranteed", "mIHC-species-dilution-info": "", "mIHC-species-notes": "<p></p>", "IHCFr-species-checked": "testedAndGuaranteed", "IHCFr-species-dilution-info": "", "IHCFr-species-notes": "<p></p>", "IHCP-species-checked": "testedAndGuaranteed", "IHCP-species-dilution-info": "", "IHCP-species-notes": "<p></p>", "ICCIF-species-checked": "notRecommended", "ICCIF-species-dilution-info": "", "ICCIF-species-notes": "<p></p>", "IP-species-checked": "notRecommended", "IP-species-dilution-info": "", "IP-species-notes": "<p></p>", "WB-species-checked": "notRecommended", "WB-species-dilution-info": "", "WB-species-notes": "<p></p>" }, "Rat": { "mIHC-species-checked": "guaranteed", "mIHC-species-dilution-info": "", "mIHC-species-notes": "", "IHCFr-species-checked": "testedAndGuaranteed", "IHCFr-species-dilution-info": "", "IHCFr-species-notes": "<p></p>", "IHCP-species-checked": "guaranteed", "IHCP-species-dilution-info": "", "IHCP-species-notes": "", "ICCIF-species-checked": "notRecommended", "ICCIF-species-dilution-info": "", "ICCIF-species-notes": "<p></p>", "IP-species-checked": "notRecommended", "IP-species-dilution-info": "", "IP-species-notes": "<p></p>", "WB-species-checked": "notRecommended", "WB-species-dilution-info": "", "WB-species-notes": "<p></p>" } } }

Product details

ab220078 is the carrier-free version of ab180862.

Species reactivity
Mouse: We have preliminary internal testing data to indicate this antibody may not react with this species.
Please contact us for more information.

Patented technology
Our RabMAb® technology is a patented hybridoma-based technology for making rabbit monoclonal antibodies. For details on our patents, please refer to RabMAb® patents.

Conjugation ready
Our carrier-free antibodies are typically supplied in a PBS-only formulation, purified and free of BSA, sodium azide and glycerol. This conjugation-ready format is designed for use with fluorochromes, metal isotopes, oligonucleotides, and enzymes, which makes them ideal for antibody labelling, functional and cell-based assays, flow-based assays (e.g. mass cytometry) and Multiplex Imaging applications.

Use our conjugation kits for antibody conjugates that are ready-to-use in as little as 20 minutes with 1 minute hands-on-time and 100% antibody recovery: available for fluorescent dyes, HRP, biotin and gold.

Compatibility
This product is compatible with the Maxpar® Antibody Labeling Kit from Fluidigm, without the need for antibody preparation. Maxpar® is a trademark of Fluidigm Canada Inc.

Properties and storage information

Form
Liquid
Purification technique
Affinity purification Protein A
Storage buffer
pH: 7.2 - 7.4 Constituents: PBS
Shipped at conditions
Blue Ice
Appropriate short-term storage conditions
+4°C
Appropriate long-term storage conditions
+4°C
Storage information
Do Not Freeze

Product protocols

For this product, it's our understanding that no specific protocols are required. You can visit:

Target data

Transcription factor that plays a central role in developing and mature glia (By similarity). Specifically activates expression of myelin genes, during oligodendrocyte (OL) maturation, such as DUSP15 and MYRF, thereby playing a central role in oligodendrocyte maturation and CNS myelination (By similarity). Once induced, MYRF cooperates with SOX10 to implement the myelination program (By similarity). Transcriptional activator of MITF, acting synergistically with PAX3 (PubMed : 21965087). Transcriptional activator of MBP, via binding to the gene promoter (By similarity).
See full target information SOX10

Publications (1)

Recent publications for all applications. Explore the full list and refine your search

Cell reports 43:114848 PubMed39392753

2024

Post-stroke hippocampal neurogenesis is impaired by microvascular dysfunction and PI3K signaling in cerebral amyloid angiopathy.

Applications

Unspecified application

Species

Unspecified reactive species

Olivia M Osborne,Manav Daftari,Oandy Naranjo,Adarsh N Johar,Samantha Brooks,Brett M Colbert,Silvia Torices,Elizabeth Lewis,Jet Sendaydiego,Gillian Drexler,Malek Bashti,Alexander V Margetts,Luis M Tuesta,Christian Mason,Daniel Bilbao,Regina Vontell,Anthony J Griswold,Derek M Dykxhoorn,Michal Toborek
View all publications

Product promise

We are committed to supporting your work with high-quality reagents, and we're here for you every step of the way. In the unlikely event that one of our products does not perform as expected, you're protected by our Product Promise.
For full details, please see our Terms & Conditions

Please note: All products are 'FOR RESEARCH USE ONLY. NOT FOR USE IN DIAGNOSTIC OR THERAPEUTIC PROCEDURES'.

For licensing inquiries, please contact partnerships@abcam.com