JavaScript is disabled in your browser. Please enable JavaScript to view this website.
AB212845

Anti-SOX10 antibody [SOX10/1074] - BSA and Azide free

Be the first to review this product! Submit a review

|

(1 Publication)

Mouse Monoclonal SOX10 antibody. Carrier free. Suitable for IHC-P, WB, Protein Array and reacts with Mouse, Human, Recombinant fragment, Recombinant full length protein samples. Cited in 1 publication. Immunogen corresponding to Recombinant Fragment Protein within Human SOX10 aa 100-300.

View Alternative Names

Transcription factor SOX-10, SOX10

4 Images
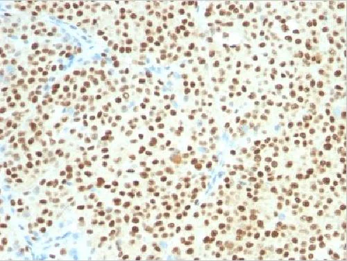
Immunohistochemistry (Formalin/PFA-fixed paraffin-embedded sections) - Anti-SOX10 antibody [SOX10/1074] - BSA and Azide free (AB212845)
  • IHC-P

Supplier Data

Immunohistochemistry (Formalin/PFA-fixed paraffin-embedded sections) - Anti-SOX10 antibody [SOX10/1074] - BSA and Azide free (AB212845)

Immunohistochemical analysis of formalin-fixed and paraffin-embedded Human melanoma tissue labeling SOX10 with ab212845 at 1 μg/ml dilution.

Protein Array - Anti-SOX10 antibody [SOX10/1074] - BSA and Azide free (AB212845)
  • Protein Array

Unknown

Protein Array - Anti-SOX10 antibody [SOX10/1074] - BSA and Azide free (AB212845)

This data was produced with ab216020, the same antibody in a different formulation with BSA and Azide.
ab216020 was tested in protein array against over 19000 different full-length human proteins.
Z- and S- Score : The Z-score represents the strength of a signal that a monoclonal antibody (MAb) (in combination with a fluorescently-tagged anti-IgG secondary antibody) produces when binding to a particular protein on the HuProtTM array. Z-scores are described in units of standard deviations (SD's) above the mean value of all signals generated on that array. If targets on HuProtTM are arranged in descending order of the Z-score, the S-score is the difference (also in units of SD's) between the Z-score. S-score therefore represents the relative target specificity of a MAb to its intended target.
A MAb is specific to its intended target if the MAb has an S-score of at least 2.5. For example, if a MAb binds to protein X with a Z-score of 43 and to protein Y with a Z-score of 14, then the S-score for the binding of that MAb to protein X is equal to 29.

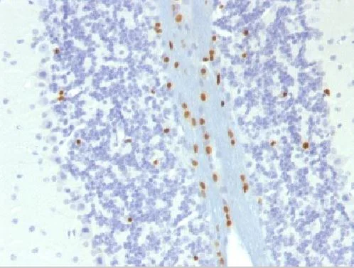
Immunohistochemistry (Formalin/PFA-fixed paraffin-embedded sections) - Anti-SOX10 antibody [SOX10/1074] - BSA and Azide free (AB212845)
  • IHC-P

Supplier Data

Immunohistochemistry (Formalin/PFA-fixed paraffin-embedded sections) - Anti-SOX10 antibody [SOX10/1074] - BSA and Azide free (AB212845)

Immunohistochemical analysis of formalin-fixed and paraffin-embedded mouse brain tissue labeling SOX10 with ab212845 at 1 μg/ml dilution.

Western blot - Anti-SOX10 antibody [SOX10/1074] - BSA and Azide free (AB212845)
  • WB

Supplier Data

Western blot - Anti-SOX10 antibody [SOX10/1074] - BSA and Azide free (AB212845)

All lanes:

Western blot - Anti-SOX10 antibody [SOX10/1074] - BSA and Azide free (ab212845) at 1 µg/mL

Lane 1:

SOX10 recombinant protein

Lane 2:

A375 cell lysate

Predicted band size: 49 kDa

false

Key facts

Host species

Mouse

Clonality

Monoclonal

Clone number

SOX10/1074

Isotype

IgG2b

Light chain type

kappa

Carrier free

Yes

Reacts with

Mouse, Human

Applications

WB, Protein Array, IHC-P

applications

Immunogen

Recombinant Fragment Protein within Human SOX10 aa 100-300. The exact immunogen used to generate this antibody is proprietary information.

P56693

Reactivity data

{ "title": "Reactivity Data", "filters": { "stats": ["", "Species", "Dilution Info", "Notes"], "tabs": { "all-applications": {"fullname" : "All Applications", "shortname": "All Applications"}, "IHCP" : {"fullname" : "Immunohistochemistry (Formalin/PFA-fixed paraffin-embedded sections)", "shortname":"IHC-P"}, "WB" : {"fullname" : "Western blot", "shortname":"WB"}, "ProteinArray" : {"fullname" : "Protein Array", "shortname":"Protein Array"} }, "product-promise": { "all": "all", "testedAndGuaranteed": "tested", "guaranteed": "expected", "predicted": "predicted", "notRecommended": "not-recommended" } }, "values": { "Human": { "IHCP-species-checked": "testedAndGuaranteed", "IHCP-species-dilution-info": "0.5-1 µg/mL", "IHCP-species-notes": "<p></p> Perform heat-mediated antigen retrieval with citrate buffer pH 6 before commencing with IHC staining protocol.", "WB-species-checked": "guaranteed", "WB-species-dilution-info": "", "WB-species-notes": "", "ProteinArray-species-checked": "guaranteed", "ProteinArray-species-dilution-info": "", "ProteinArray-species-notes": "" }, "Mouse": { "IHCP-species-checked": "testedAndGuaranteed", "IHCP-species-dilution-info": "0.5-1 µg/mL", "IHCP-species-notes": "<p></p> Perform heat-mediated antigen retrieval with citrate buffer pH 6 before commencing with IHC staining protocol.", "WB-species-checked": "guaranteed", "WB-species-dilution-info": "", "WB-species-notes": "", "ProteinArray-species-checked": "guaranteed", "ProteinArray-species-dilution-info": "", "ProteinArray-species-notes": "" }, "Recombinant fragment": { "IHCP-species-checked": "notRecommended", "IHCP-species-dilution-info": "", "IHCP-species-notes": "", "WB-species-checked": "testedAndGuaranteed", "WB-species-dilution-info": "0.5-1 µg/mL", "WB-species-notes": "<p></p>", "ProteinArray-species-checked": "notRecommended", "ProteinArray-species-dilution-info": "", "ProteinArray-species-notes": "" }, "Recombinant full length protein": { "IHCP-species-checked": "notRecommended", "IHCP-species-dilution-info": "", "IHCP-species-notes": "", "WB-species-checked": "notRecommended", "WB-species-dilution-info": "", "WB-species-notes": "", "ProteinArray-species-checked": "testedAndGuaranteed", "ProteinArray-species-dilution-info": "", "ProteinArray-species-notes": "<p></p>" } } }

Properties and storage information

Form
Liquid
Purification technique
Affinity purification Protein A/G
Storage buffer
pH: 7.2 - 7.4 Constituents: PBS
Shipped at conditions
Blue Ice
Appropriate short-term storage duration
1-2 weeks
Appropriate short-term storage conditions
+4°C
Appropriate long-term storage conditions
-20°C
Aliquoting information
Upon delivery aliquot
Storage information
Avoid freeze / thaw cycle

Product protocols

For this product, it's our understanding that no specific protocols are required. You can visit:

Target data

Transcription factor that plays a central role in developing and mature glia (By similarity). Specifically activates expression of myelin genes, during oligodendrocyte (OL) maturation, such as DUSP15 and MYRF, thereby playing a central role in oligodendrocyte maturation and CNS myelination (By similarity). Once induced, MYRF cooperates with SOX10 to implement the myelination program (By similarity). Transcriptional activator of MITF, acting synergistically with PAX3 (PubMed : 21965087). Transcriptional activator of MBP, via binding to the gene promoter (By similarity).
See full target information SOX10

Publications (1)

Recent publications for all applications. Explore the full list and refine your search

International journal of molecular sciences 26: PubMed40869422

2025

Biphasic Electrical Stimulation of Schwann Cells on Conducting Polymer-Coated Carbon Microfibers.

Applications

Unspecified application

Species

Unspecified reactive species

Alexandra Alves-Sampaio,Jorge E Collazos-Castro
View all publications

Product promise

We are committed to supporting your work with high-quality reagents, and we're here for you every step of the way. In the unlikely event that one of our products does not perform as expected, you're protected by our Product Promise.
For full details, please see our Terms & Conditions

Please note: All products are 'FOR RESEARCH USE ONLY. NOT FOR USE IN DIAGNOSTIC OR THERAPEUTIC PROCEDURES'.

For licensing inquiries, please contact partnerships@abcam.com