JavaScript is disabled in your browser. Please enable JavaScript to view this website.
AB212843

Anti-SOX10 antibody [SOX10/991] - BSA and Azide free

4

(5 Reviews)

|

(13 Publications)

Mouse Monoclonal SOX10 antibody. Carrier free. Suitable for IHC-P, WB, Protein Array and reacts with Mouse, Human, Recombinant fragment - Human, Recombinant full length protein - Human samples. Cited in 13 publications. Immunogen corresponding to Recombinant Fragment Protein within Human SOX10 aa 100-300.

View Alternative Names

Transcription factor SOX-10, SOX10

3 Images
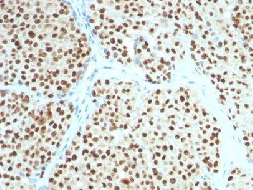
Immunohistochemistry (Formalin/PFA-fixed paraffin-embedded sections) - Anti-SOX10 antibody [SOX10/991] - BSA and Azide free (AB212843)
  • IHC-P

Supplier Data

Immunohistochemistry (Formalin/PFA-fixed paraffin-embedded sections) - Anti-SOX10 antibody [SOX10/991] - BSA and Azide free (AB212843)

Immunohistochemical analysis of formalin-fixed, paraffin-embedded human melanoma tissue labeling SOX10 with ab212843 at 1 μg/ml.

Immunohistochemistry (Formalin/PFA-fixed paraffin-embedded sections) - Anti-SOX10 antibody [SOX10/991] - BSA and Azide free (AB212843)
  • IHC-P

Supplier Data

Immunohistochemistry (Formalin/PFA-fixed paraffin-embedded sections) - Anti-SOX10 antibody [SOX10/991] - BSA and Azide free (AB212843)

Formalin-fixed, paraffin-embedded mouse brain tissue stained for SOX10 using ab212843 at 1 ug/ml in immunohistochemical analysis.

Western blot - Anti-SOX10 antibody [SOX10/991] - BSA and Azide free (AB212843)
  • WB

Supplier Data

Western blot - Anti-SOX10 antibody [SOX10/991] - BSA and Azide free (AB212843)

All lanes:

Western blot - Anti-SOX10 antibody [SOX10/991] - BSA and Azide free (ab212843) at 1 µg/mL

Lane 1:

Recombinant fragment of Human SOX10

Lane 2:

A375 cell lysate

Predicted band size: 49 kDa

false

Key facts

Host species

Mouse

Clonality

Monoclonal

Clone number

SOX10/991

Isotype

IgG2b

Light chain type

kappa

Carrier free

Yes

Reacts with

Mouse, Human

Applications

WB, Protein Array, IHC-P

applications

Immunogen

Recombinant Fragment Protein within Human SOX10 aa 100-300. The exact immunogen used to generate this antibody is proprietary information.

P56693

Reactivity data

{ "title": "Reactivity Data", "filters": { "stats": ["", "Species", "Dilution Info", "Notes"], "tabs": { "all-applications": {"fullname" : "All Applications", "shortname": "All Applications"}, "IHCP" : {"fullname" : "Immunohistochemistry (Formalin/PFA-fixed paraffin-embedded sections)", "shortname":"IHC-P"}, "WB" : {"fullname" : "Western blot", "shortname":"WB"}, "ProteinArray" : {"fullname" : "Protein Array", "shortname":"Protein Array"} }, "product-promise": { "all": "all", "testedAndGuaranteed": "tested", "guaranteed": "expected", "predicted": "predicted", "notRecommended": "not-recommended" } }, "values": { "Human": { "IHCP-species-checked": "testedAndGuaranteed", "IHCP-species-dilution-info": "0.5-1 µg/mL", "IHCP-species-notes": "<p>Boil tissue sections in 10mM citrate buffer, pH 6.0, for 10-20 min followed by cooling at RT for 20-30 minutes.</p> Perform heat-mediated antigen retrieval with citrate buffer pH 6 before commencing with IHC staining protocol.", "WB-species-checked": "guaranteed", "WB-species-dilution-info": "", "WB-species-notes": "", "ProteinArray-species-checked": "guaranteed", "ProteinArray-species-dilution-info": "", "ProteinArray-species-notes": "" }, "Mouse": { "IHCP-species-checked": "testedAndGuaranteed", "IHCP-species-dilution-info": "0.5-1 µg/mL", "IHCP-species-notes": "<p>Boil tissue sections in 10mM citrate buffer, pH 6.0, for 10-20 min followed by cooling at RT for 20-30 minutes.</p> Perform heat-mediated antigen retrieval with citrate buffer pH 6 before commencing with IHC staining protocol.", "WB-species-checked": "guaranteed", "WB-species-dilution-info": "", "WB-species-notes": "", "ProteinArray-species-checked": "guaranteed", "ProteinArray-species-dilution-info": "", "ProteinArray-species-notes": "" }, "Rat": { "IHCP-species-checked": "predicted", "IHCP-species-dilution-info": "", "IHCP-species-notes": "", "WB-species-checked": "predicted", "WB-species-dilution-info": "", "WB-species-notes": "", "ProteinArray-species-checked": "predicted", "ProteinArray-species-dilution-info": "", "ProteinArray-species-notes": "" }, "Pig": { "IHCP-species-checked": "predicted", "IHCP-species-dilution-info": "", "IHCP-species-notes": "", "WB-species-checked": "predicted", "WB-species-dilution-info": "", "WB-species-notes": "", "ProteinArray-species-checked": "predicted", "ProteinArray-species-dilution-info": "", "ProteinArray-species-notes": "" }, "Recombinant fragment - Human": { "IHCP-species-checked": "notRecommended", "IHCP-species-dilution-info": "", "IHCP-species-notes": "", "WB-species-checked": "testedAndGuaranteed", "WB-species-dilution-info": "0.5-1 µg/mL", "WB-species-notes": "<p></p>", "ProteinArray-species-checked": "notRecommended", "ProteinArray-species-dilution-info": "", "ProteinArray-species-notes": "" }, "Recombinant full length protein - Human": { "IHCP-species-checked": "notRecommended", "IHCP-species-dilution-info": "", "IHCP-species-notes": "", "WB-species-checked": "notRecommended", "WB-species-dilution-info": "", "WB-species-notes": "", "ProteinArray-species-checked": "testedAndGuaranteed", "ProteinArray-species-dilution-info": "", "ProteinArray-species-notes": "<p></p>" } } }

Properties and storage information

Form
Liquid
Purification technique
Affinity purification Protein A
Storage buffer
pH: 7.2 - 7.4 Constituents: PBS
Shipped at conditions
Blue Ice
Appropriate short-term storage duration
1-2 weeks
Appropriate short-term storage conditions
+4°C
Appropriate long-term storage conditions
-20°C
Aliquoting information
Upon delivery aliquot
Storage information
Avoid freeze / thaw cycle

Product protocols

For this product, it's our understanding that no specific protocols are required. You can visit:

Target data

Transcription factor that plays a central role in developing and mature glia (By similarity). Specifically activates expression of myelin genes, during oligodendrocyte (OL) maturation, such as DUSP15 and MYRF, thereby playing a central role in oligodendrocyte maturation and CNS myelination (By similarity). Once induced, MYRF cooperates with SOX10 to implement the myelination program (By similarity). Transcriptional activator of MITF, acting synergistically with PAX3 (PubMed : 21965087). Transcriptional activator of MBP, via binding to the gene promoter (By similarity).
See full target information SOX10

Publications (13)

Recent publications for all applications. Explore the full list and refine your search

International journal of molecular sciences 26: PubMed40869422

2025

Biphasic Electrical Stimulation of Schwann Cells on Conducting Polymer-Coated Carbon Microfibers.

Applications

Unspecified application

Species

Unspecified reactive species

Alexandra Alves-Sampaio,Jorge E Collazos-Castro

G3 (Bethesda, Md.) 12: PubMed36047852

2022

An SNN retrocopy insertion upstream of GPR22 is associated with dark red coat color in Poodles.

Applications

Unspecified application

Species

Unspecified reactive species

Kevin Batcher,Scarlett Varney,Verena K Affolter,Steven G Friedenberg,Danika Bannasch

Cell reports 40:111147 PubMed35926467

2022

AP-1 transcription factor network explains diverse patterns of cellular plasticity in melanoma cells.

Applications

Unspecified application

Species

Unspecified reactive species

Natacha Comandante-Lou,Douglas G Baumann,Mohammad Fallahi-Sichani

International journal of molecular sciences 23: PubMed35806005

2022

Human IL12p80 Promotes Murine Oligodendrocyte Differentiation to Repair Nerve Injury.

Applications

Unspecified application

Species

Unspecified reactive species

Yu-Fen Chung,Jong-Hang Chen,Ching-Wen Li,Hui-Yu Hsu,Ya-Ping Chen,Chiao-Chan Wang,Ing-Ming Chiu

Nature communications 12:1536 PubMed33750776

2021

Epigenetic modulation reveals differentiation state specificity of oncogene addiction.

Applications

Unspecified application

Species

Unspecified reactive species

Mehwish Khaliq,Mohan Manikkam,Elisabeth D Martinez,Mohammad Fallahi-Sichani

Veterinary and comparative oncology 19:463-472 PubMed32892513

2020

Evaluation of accuracy for F-FDG positron emission tomography and computed tomography for detection of lymph node metastasis in canine oral malignant melanoma.

Applications

Unspecified application

Species

Unspecified reactive species

Jennifer L Willcox,Mathieu Spriet,Allison L Zwingenberger,Kathryn L Phillips,Jenna H Burton,Katherine A Skorupski,Katherine S Hansen,Verena K Affolter,Kevin D Woolard,David Beylin,Michelle A Giuffrida

Frontiers in oncology 10:1601 PubMed32984024

2020

Schwann Cell Stimulation of Pancreatic Cancer Cells: A Proteomic Analysis.

Applications

Unspecified application

Species

Unspecified reactive species

Aysha Ferdoushi,Xiang Li,Nathan Griffin,Sam Faulkner,M Fairuz B Jamaluddin,Fangfang Gao,Chen Chen Jiang,Dirk F van Helden,Pradeep S Tanwar,Phillip Jobling,Hubert Hondermarck

STAR protocols 1:100004 PubMed33111066

2020

Generation of Human iMelanocytes from Induced Pluripotent Stem Cells through a Suspension Culture System.

Applications

Unspecified application

Species

Unspecified reactive species

Li-Ping Liu,Ning-Ning Guo,Yu-Mei Li,Yun-Wen Zheng

Brain and behavior 10:e01623 PubMed32363773

2020

Effect of Sox10 on remyelination of the hippocampus in cuprizone-induced demyelinated mice.

Applications

Unspecified application

Species

Unspecified reactive species

Yu Shao,Juan Ding,Qian-Xiong He,Quan-Rui Ma,Qiang Liu,Chun Zhang,Hao-Wen Lv,Juan Liu

The Journal of investigative dermatology 140:878-890.e5 PubMed31622599

2019

Inhibition of p38/MK2 Signaling Prevents Vascular Invasion of Melanoma.

Applications

Unspecified application

Species

Unspecified reactive species

Judith Wenzina,Silvio Holzner,Emmi Puujalka,Phil F Cheng,Agnes Forsthuber,Karin Neumüller,Klaudia Schossleitner,Beate M Lichtenberger,Mitchell P Levesque,Peter Petzelbauer
View all publications

Product promise

We are committed to supporting your work with high-quality reagents, and we're here for you every step of the way. In the unlikely event that one of our products does not perform as expected, you're protected by our Product Promise.
For full details, please see our Terms & Conditions

Please note: All products are 'FOR RESEARCH USE ONLY. NOT FOR USE IN DIAGNOSTIC OR THERAPEUTIC PROCEDURES'.

For licensing inquiries, please contact partnerships@abcam.com