JavaScript is disabled in your browser. Please enable JavaScript to view this website.
AB227680

Anti-SOX10 antibody [SP267]

5

(8 Reviews)

|

(31 Publications)

Anti-SOX10 antibody [SP267] (ab227680) is a rabbit monoclonal antibody detecting SOX10 in Western Blot, Flow Cytometry (Intra), Flow Cytometry, IHC-P, ICC/IF. Suitable for Human, Mouse, Rat.

- Biophysical QC for unrivalled batch-batch consistency
- Over 10 publications

View Alternative Names

Transcription factor SOX-10, SOX10

14 Images
Immunohistochemistry (Formalin/PFA-fixed paraffin-embedded sections) - Anti-SOX10 antibody [SP267] (AB227680)
  • IHC-P

Unknown

Immunohistochemistry (Formalin/PFA-fixed paraffin-embedded sections) - Anti-SOX10 antibody [SP267] (AB227680)

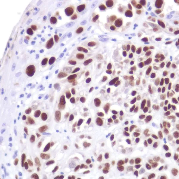
Immunohistochemistry (Formalin/PFA-fixed paraffin-embedded sections) analysis of human melanoma tissue sections labeling SOX10 with ab227680 at 1/100 dilution (0.25 μg/ml). Heat mediated antigen retrieval with Tris-EDTA buffer (pH 6.0, epitope retrieval solution 1) for 10mins. Rabbit specific IHC polymer detection kit HRP/DAB (ab209101) was used as the secondary antibody. Hematoxylin was used as a counterstain. Mainly nuclear staining on the human melanoma, performed on a Leica Biosystems BOND™ RX instrument.

The section was incubated with ab227680 for 10 mins at room temperature.

Immunohistochemistry (Formalin/PFA-fixed paraffin-embedded sections) - Anti-SOX10 antibody [SP267] (AB227680)
  • IHC-P

Supplier Data

Immunohistochemistry (Formalin/PFA-fixed paraffin-embedded sections) - Anti-SOX10 antibody [SP267] (AB227680)

Formalin-fixed, paraffin-embedded human melanoma tissue stained for SOX10 using ab227680 at 1/100 dilution in immunohistochemical analysis.

Flow Cytometry (Intracellular) - Anti-SOX10 antibody [SP267] (AB227680)
  • Flow Cyt (Intra)

Unknown

Flow Cytometry (Intracellular) - Anti-SOX10 antibody [SP267] (AB227680)

Intracellular Flow Cytometry analysis of A-375 (Human malignant melanoma epithelial cell) cells labeling SOX10 with purified ab227680 at 1/200 dilution (0.375μg/ml) Red. Cells were fixed with 4% paraformaldehyde . A Goat anti rabbit IgG (Alexa Fluor® 488, ab150077) secondary antibody was used at 1/2000 dilution. Isotype control - Rabbit monoclonal IgG (ab172730) / Black. Unlabeled control - Unlabelled cells / Blue.

Immunocytochemistry/ Immunofluorescence - Anti-SOX10 antibody [SP267] (AB227680)
  • ICC/IF

Unknown

Immunocytochemistry/ Immunofluorescence - Anti-SOX10 antibody [SP267] (AB227680)

Immunocytochemistry/ Immunofluorescence analysis of A-375 (human malignant melanoma epithelial cell) cells labeling SOX10 with purified ab227680 at 1 : 25 (3 μg/ml). Cells were fixed in 4% paraformaldehyde and permeabilized with 0.1% Triton X-100. Cells were counterstained with ab195889 Anti-alpha Tubulin antibody [DM1A] - Microtubule Marker (Alexa Fluor® 594) 1 : 200 (2.5 μg/ml). Goat anti rabbit IgG (Alexa Fluor® 488, ab150077) was used as the secondary antibody at 1 : 1000 (2 μg/ml) dilution. DAPI nuclear counterstain. PBS instead of the primary antibody was used as the secondary antibody only control.

Immunocytochemistry/ Immunofluorescence - Anti-SOX10 antibody [SP267] (AB227680)
  • ICC/IF

Lab

Immunocytochemistry/ Immunofluorescence - Anti-SOX10 antibody [SP267] (AB227680)

ab227680 staining SOX10 in A375 cells, with negative expression in HeLa cells. The cells were fixed with 4% formaldehyde (10 min), permeabilised with 0.1% Triton x-100 for 5 minutes and then blocked with 1% BSA/10% normal goat serum/0.3M glycine in 0.1% PBS-Tween for 1h. The cells were then incubated overnight at +4°C with ab227680 at 1 μg/ml and ab7291, Mouse monoclonal [DM1A] to alpha Tubulin at 0.5 μg/ml. Cells were then incubated with ab150081, Goat polyclonal Secondary Antibody to Rabbit IgG - H&L (Alexa Fluor® 488), pre-adsorbed at 1/1000 dilution (shown in green) and ab150119, Goat polyclonal Secondary Antibody to Mouse IgG - H&L (Alexa Fluor® 647), pre-adsorbed at 1/1000 dilution (shown in red). Nuclear DNA was labelled with DAPI (shown in blue).

Image was acquired with a high-content analyser (Operetta CLS, Perkin Elmer) and a maximum intensity projection of confocal sections is shown.

This product also work with 100% methanol (5 min) fixation under the same testing conditions.

Flow Cytometry (Intracellular) - Anti-SOX10 antibody [SP267] (AB227680)
  • Flow Cyt (Intra)

Lab

Flow Cytometry (Intracellular) - Anti-SOX10 antibody [SP267] (AB227680)

Flow cytometry overlay histogram showing left A-375 positive cells and right negative HeLa stained with ab227680 (red line). The cells were fixed with 4% formaldehyde (10 min) and then permeabilised with 0.1% PBS-Triton X-100 for 15 min. The cells were then incubated in 1x PBS containing 10% normal goat serum to block non-specific protein-protein interaction followed by the antibody (ab227680) (1x 106 in 100μl at 0.2μg/ml (1/10250)) for 30min at 22°C.

The secondary antibody Goat Anti-Rabbit IgG H&L (Alexa Fluor® 488) preadsorbed was incubated at 1/4000 for 30min at 22°C

Isotype control antibody (black line) was Recombinant Rabbit IgG, monoclonal [EPR25A] - Isotype Control used at the same concentration and conditions as the primary antibody. Unlabelled sample (blue line) was also used as a control.

Acquisition of >5000 events were collected using a 50 mW Blue laser (488nm) and 525/40 bandpass filter.

This antibody gave a positive signal in A-375 Fixed with 80% methanol (5 min) / permeabilised with 0.1% PBS-Triton X-100 for 15 min under the same conditions.

Flow Cytometry (Intracellular) - Anti-SOX10 antibody [SP267] (AB227680)
  • Flow Cyt (Intra)

Unknown

Flow Cytometry (Intracellular) - Anti-SOX10 antibody [SP267] (AB227680)

Intracellular Flow Cytometry analysis of C6 (Rat glial tumor glial cell) cells labeling SOX10 with purified ab227680 at 1/20 dilution (3.75μg/ml) Red. Cells were fixed with 4% paraformaldehyde . A Goat anti rabbit IgG (Alexa Fluor® 488, ab150077) secondary antibody was used at 1/2000 dilution. Isotype control - Rabbit monoclonal IgG (ab172730) / Black. Unlabeled control - Unlabelled cells / Blue.

Immunohistochemistry (Formalin/PFA-fixed paraffin-embedded sections) - Anti-SOX10 antibody [SP267] (AB227680)
  • IHC-P

Unknown

Immunohistochemistry (Formalin/PFA-fixed paraffin-embedded sections) - Anti-SOX10 antibody [SP267] (AB227680)

Immunohistochemistry (Formalin/PFA-fixed paraffin-embedded sections) analysis of rat breast tissue sections labeling SOX10 with ab227680 at 1/100 dilution (0.25 μg/ml). Heat mediated antigen retrieval with Tris-EDTA buffer (pH 6.0, epitope retrieval solution 1) for 10mins. Rabbit specific IHC polymer detection kit HRP/DAB (ab209101) was used as the secondary antibody. Hematoxylin was used as a counterstain. Nuclear staining on the rat breast, performed on a Leica Biosystems BOND™ RX instrument.

The section was incubated with ab227680 for 10 mins at room temperature.

Immunohistochemistry (Formalin/PFA-fixed paraffin-embedded sections) - Anti-SOX10 antibody [SP267] (AB227680)
  • IHC-P

Unknown

Immunohistochemistry (Formalin/PFA-fixed paraffin-embedded sections) - Anti-SOX10 antibody [SP267] (AB227680)

Immunohistochemistry (Formalin/PFA-fixed paraffin-embedded sections) analysis of mouse breast tissue sections labeling SOX10 with ab227680 at 1/100 dilution (0.25 μg/ml). Heat mediated antigen retrieval with Tris-EDTA buffer (pH 6.0, epitope retrieval solution 1) for 10 mins. Rabbit specific IHC polymer detection kit HRP/DAB (ab209101) was used as the secondary antibody. Hematoxylin was used as a counterstain. Nuclear staining on the mouse breast, performed on a Leica Biosystems BOND™ RX instrument.

The section was incubated with ab227680 for 10 mins at room temperature.

Immunocytochemistry/ Immunofluorescence - Anti-SOX10 antibody [SP267] (AB227680)
  • ICC/IF

Unknown

Immunocytochemistry/ Immunofluorescence - Anti-SOX10 antibody [SP267] (AB227680)

Immunocytochemistry/ Immunofluorescence analysis of B16-F0 (mouse melanoma epithelial cell-like) cells labeling SOX10 with purified ab227680 at 1 : 25 (3 μg/ml). Cells were fixed in 4% paraformaldehyde and permeabilized with 0.1% Triton X-100. Cells were counterstained with ab195889 Anti-alpha Tubulin antibody [DM1A] - Microtubule Marker (Alexa Fluor® 594) 1 : 200 (2.5 μg/ml). Goat anti rabbit IgG (Alexa Fluor® 488, ab150077) was used as the secondary antibody at 1 : 1000 (2 μg/ml) dilution. DAPI nuclear counterstain. PBS instead of the primary antibody was used as the secondary antibody only control.

Immunocytochemistry/ Immunofluorescence - Anti-SOX10 antibody [SP267] (AB227680)
  • ICC/IF

Unknown

Immunocytochemistry/ Immunofluorescence - Anti-SOX10 antibody [SP267] (AB227680)

Immunocytochemistry/ Immunofluorescence analysis of C6 (rat glial tumor glial cell) cells labeling SOX10 with purified ab227680 at 1 : 25 (3 µg/ml). Cells were fixed in 4% paraformaldehyde and permeabilized with 0.1% Triton X-100. Cells were counterstained with ab195889 Anti-alpha Tubulin antibody [DM1A] - Microtubule Marker (Alexa Fluor® 594) 1 : 200 (2.5 µg/ml). Goat anti rabbit IgG (Alexa Fluor® 488, ab150077) was used as the secondary antibody at 1 : 1000 (2 µg/ml) dilution. DAPI nuclear counterstain. PBS instead of the primary antibody was used as the secondary antibody only control.

Flow Cytometry (Intracellular) - Anti-SOX10 antibody [SP267] (AB227680)
  • Flow Cyt (Intra)

Unknown

Flow Cytometry (Intracellular) - Anti-SOX10 antibody [SP267] (AB227680)

Intracellular Flow Cytometry analysis of B16-F0 (Mouse melanoma epithelial cell-like) cells labeling SOX10 with purified ab227680 at 1/200 dilution (0.375μg/ml) Red. Cells were fixed with 4% paraformaldehyde . A Goat anti rabbit IgG (Alexa Fluor® 488, ab150077) secondary antibody was used at 1/2000 dilution. Isotype control - Rabbit monoclonal IgG (ab172730) / Black. Unlabeled control - Unlabelled cells / Blue.

Immunohistochemistry (PFA perfusion fixed frozen sections) - Anti-SOX10 antibody [SP267] (AB227680)
  • IHC-FoFr

Lab

Immunohistochemistry (PFA perfusion fixed frozen sections) - Anti-SOX10 antibody [SP267] (AB227680)

Immunohistochemistry (Frozen) analysis of mouse cerebellum tissue sections labeling SOX10 with purified ab227680 at 1/50 (1.4 μg/ml). Goat anti rabbit IgG (Alexa Fluor® 488, ab150077) at 1/1000 (2 μg/ml) was used as the secondary antibody. Sections were fixed with 4% paraformaldehyde and permeabilised with 0.2% Triton X-100. Negative control : PBS instead of the primary antibody. DAPI (blue) was used as nuclear counterstain. Heat mediated antigen retrieval using sodium citrate buffer (10mM citrate pH 6.0 + 0.05% Tween-20) was performed.

Western blot - Anti-SOX10 antibody [SP267] (AB227680)
  • WB

Supplier Data

Western blot - Anti-SOX10 antibody [SP267] (AB227680)

All lanes:

Western blot - Anti-SOX10 antibody [SP267] (ab227680) at 1/400 dilution

All lanes:

A-375 (human malignant melanoma cell line) cell lysate

Predicted band size: 49 kDa

false

Key facts

Host species

Rabbit

Clonality

Monoclonal

Clone number

SP267

Isotype

IgG

Carrier free

No

Reacts with

Mouse, Rat, Human

Applications

WB, Flow Cyt (Intra), IHC-P, ICC/IF, IHC-FoFr

applications

Immunogen

The exact immunogen used to generate this antibody is proprietary information.

Reactivity data

{ "title": "Reactivity Data", "filters": { "stats": ["", "Species", "Dilution Info", "Notes"], "tabs": { "all-applications": {"fullname" : "All Applications", "shortname": "All Applications"}, "IHCP" : {"fullname" : "Immunohistochemistry (Formalin/PFA-fixed paraffin-embedded sections)", "shortname":"IHC-P"}, "WB" : {"fullname" : "Western blot", "shortname":"WB"}, "IHCFoFr" : {"fullname" : "Immunohistochemistry (PFA perfusion fixed frozen sections)", "shortname":"IHC-FoFr"}, "ICCIF" : {"fullname" : "Immunocytochemistry/ Immunofluorescence", "shortname":"ICC/IF"}, "FlowCytIntra" : {"fullname" : "Flow Cytometry (Intracellular)", "shortname":"Flow Cyt (Intra)"} }, "product-promise": { "all": "all", "testedAndGuaranteed": "tested", "guaranteed": "expected", "predicted": "predicted", "notRecommended": "not-recommended" } }, "values": { "Human": { "IHCP-species-checked": "testedAndGuaranteed", "IHCP-species-dilution-info": "1/100", "IHCP-species-notes": "<p>Primary antibody incubation for 10 minutes at room temperature.</p> Perform heat-mediated antigen retrieval with citrate buffer pH 6 before commencing with IHC staining protocol.", "WB-species-checked": "testedAndGuaranteed", "WB-species-dilution-info": "1/400", "WB-species-notes": "<p>Primary antibody incubation for 1 hour at room temperature.</p>", "IHCFoFr-species-checked": "guaranteed", "IHCFoFr-species-dilution-info": "", "IHCFoFr-species-notes": "", "ICCIF-species-checked": "testedAndGuaranteed", "ICCIF-species-dilution-info": "1/25", "ICCIF-species-notes": "<p></p>", "FlowCytIntra-species-checked": "testedAndGuaranteed", "FlowCytIntra-species-dilution-info": "1/20 - 1/200", "FlowCytIntra-species-notes": "<p></p>" }, "Mouse": { "IHCP-species-checked": "testedAndGuaranteed", "IHCP-species-dilution-info": "1/100", "IHCP-species-notes": "<p>Primary antibody incubation for 10 minutes at room temperature.</p> Perform heat-mediated antigen retrieval with citrate buffer pH 6 before commencing with IHC staining protocol.", "WB-species-checked": "guaranteed", "WB-species-dilution-info": "", "WB-species-notes": "", "IHCFoFr-species-checked": "testedAndGuaranteed", "IHCFoFr-species-dilution-info": "1/50", "IHCFoFr-species-notes": "<p>Perform heat mediated antigen retrieval using sodium citrate buffer (10mM citrate pH 6.0 + 0.05% Tween-20).</p>", "ICCIF-species-checked": "testedAndGuaranteed", "ICCIF-species-dilution-info": "1/25", "ICCIF-species-notes": "<p></p>", "FlowCytIntra-species-checked": "testedAndGuaranteed", "FlowCytIntra-species-dilution-info": "1/20 - 1/200", "FlowCytIntra-species-notes": "<p></p>" }, "Rat": { "IHCP-species-checked": "testedAndGuaranteed", "IHCP-species-dilution-info": "1/100", "IHCP-species-notes": "<p>Primary antibody incubation for 10 minutes at room temperature.</p> Perform heat-mediated antigen retrieval with citrate buffer pH 6 before commencing with IHC staining protocol.", "WB-species-checked": "guaranteed", "WB-species-dilution-info": "", "WB-species-notes": "", "IHCFoFr-species-checked": "guaranteed", "IHCFoFr-species-dilution-info": "", "IHCFoFr-species-notes": "", "ICCIF-species-checked": "testedAndGuaranteed", "ICCIF-species-dilution-info": "1/25", "ICCIF-species-notes": "<p></p>", "FlowCytIntra-species-checked": "testedAndGuaranteed", "FlowCytIntra-species-dilution-info": "1/20 - 1/200", "FlowCytIntra-species-notes": "<p></p>" }, "Chicken": { "IHCP-species-checked": "predicted", "IHCP-species-dilution-info": "", "IHCP-species-notes": "", "WB-species-checked": "predicted", "WB-species-dilution-info": "", "WB-species-notes": "", "IHCFoFr-species-checked": "predicted", "IHCFoFr-species-dilution-info": "", "IHCFoFr-species-notes": "", "ICCIF-species-checked": "predicted", "ICCIF-species-dilution-info": "", "ICCIF-species-notes": "", "FlowCytIntra-species-checked": "predicted", "FlowCytIntra-species-dilution-info": "", "FlowCytIntra-species-notes": "" }, "Pig": { "IHCP-species-checked": "predicted", "IHCP-species-dilution-info": "", "IHCP-species-notes": "", "WB-species-checked": "predicted", "WB-species-dilution-info": "", "WB-species-notes": "", "IHCFoFr-species-checked": "predicted", "IHCFoFr-species-dilution-info": "", "IHCFoFr-species-notes": "", "ICCIF-species-checked": "predicted", "ICCIF-species-dilution-info": "", "ICCIF-species-notes": "", "FlowCytIntra-species-checked": "predicted", "FlowCytIntra-species-dilution-info": "", "FlowCytIntra-species-notes": "" } } }

Product details

Anti-SOX10 antibody [SP267] (ab227680) was developed by Abcam using patented rabbit monoclonal antibody technology and is validated for use in Flow Cyt (Intra), ICC/IF, IHC-FoFr IHC-P and WB.

Abcam's high quality manufacturing and validation processes ensure Anti-SOX10 antibody [SP267] (ab227680) has high sensitivity and specificity alongside high lot-to-lot consistency and reproducibility.

Anti-SOX10 antibody [SP267] (ab227680) has 5 independent reviews from customers.

Anti-SOX10 antibody [SP267] (ab227680) specifically detects SOX10 (UniProt ID: P56693; Molecular weight: 50kDa) and is sold in 100 µL, 500 µL and 1 mL selling sizes.

Conjugation-ready, carrier free format available for antibody clone SP267 - ab239752.

Antibody clone SP267 is also available pre-conjugated to a variety of labels for your convenience - Alexa Fluor® 488, Alexa Fluor® 647, PE, Alexa Fluor® 555, APC, Alexa Fluor® 594, Alexa Fluor® 568 (ab270150, ab270151, ab270152, ab307763, ab310845, ab311668, ab313897).

Anti-SOX10 antibody [SP267] (ab227680) is a clone from the portfolio of Spring Bioscience (Roche) SP clones which have been optimised for immunohistochemistry (IHC).

SOX10 is a crucial transcription factor in neuro research, particularly for its role in the development and differentiation of neural crest cells and glial cells. It is essential for the formation of Schwann cells and oligodendrocytes, which are vital for myelination in the peripheral and central nervous systems. Researchers use SOX10 to study neural crest cell fate, myelination processes and related disorders, making it vital for understanding neurodevelopmental diseases and demyelinating conditions.Additionally, SOX10 plays a significant role in melanoma, an aggressive form of skin cancer. It is highly expressed in melanoma cells and is essential for their proliferation and survival. Altered SOX10 expression can influence melanoma progression and drug resistance, making it a critical target for understanding and potentially treating melanoma.

Patented technology
Our RabMAb® technology is a patented hybridoma-based technology for making rabbit monoclonal antibodies. For details on our patents, please refer to RabMAb® patents.

What are the advantages of a recombinant monoclonal antibody?
This product is a recombinant monoclonal antibody, which offers several advantages including:

  • - High batch-to-batch consistency and reproducibility
  • - Improved sensitivity and specificity
  • - Long-term security of supply
  • - Animal-free batch production

For more information, read more on recombinant antibodies.

Properties and storage information

Form
Liquid
Purification technique
Affinity purification Protein A
Storage buffer
pH: 7.2 - 7.4 Preservative: 0.1% Sodium azide Constituents: PBS, 1% BSA
Shipped at conditions
Blue Ice
Appropriate short-term storage duration
1-2 weeks
Appropriate short-term storage conditions
+4°C
Appropriate long-term storage conditions
-20°C
Aliquoting information
Upon delivery aliquot
Storage information
Avoid freeze / thaw cycle

Product protocols

For this product, it's our understanding that no specific protocols are required. You can visit:

Target data

Transcription factor that plays a central role in developing and mature glia (By similarity). Specifically activates expression of myelin genes, during oligodendrocyte (OL) maturation, such as DUSP15 and MYRF, thereby playing a central role in oligodendrocyte maturation and CNS myelination (By similarity). Once induced, MYRF cooperates with SOX10 to implement the myelination program (By similarity). Transcriptional activator of MITF, acting synergistically with PAX3 (PubMed : 21965087). Transcriptional activator of MBP, via binding to the gene promoter (By similarity).
See full target information SOX10

Publications (31)

Recent publications for all applications. Explore the full list and refine your search

eNeuro 12: PubMed40701803

2025

Is Required for Peripheral Nerve Function and the Injury Response.

Applications

Unspecified application

Species

Unspecified reactive species

Lauren Belfiore,Anjali Balakrishnan,Yohannes Soenjaya,Hussein Ghazale,Alexandra Moffat,Dawn Zinyk,Lakshmy Vasan,Yacine Touahri,Yutaka Amemiya,Tak-Ho Chu,Morgan G Stykel,Arun Seth,Satoshi Okawa,Christine E M Demore,Rajiv Midha,Jeff Biernaskie,Carol Schuurmans

Nature communications 16:5433 PubMed40595635

2025

SEMA3B switches axon-axon to axon-glia interactions required for unmyelinated axon envelopment and integrity.

Applications

Unspecified application

Species

Unspecified reactive species

Li Liu,Zhigang Gao,Xueyuan Niu,Hong Yu,Xiaolong Xin,Yanlan Gu,Genghai Ma,Yan Gu,Yijun Liu,Sanhua Fang,Till Marquardt,Liang Wang

British journal of pharmacology 182:2897-2913 PubMed40097259

2025

TLR2 activates AP-1 to facilitate CTGF transcription and stimulate doxorubicin-induced myocardial injury.

Applications

Unspecified application

Species

Unspecified reactive species

Lang Hong,Xinyong Cai,Yuliang Zhan,Songtao Liu,Pengtao Zou,Yanmei Chen,Liang Shao

American journal of translational research 17:913-926 PubMed40092108

2025

The role of SOX18 in nasopharyngeal carcinoma: implications for prognosis and therapy.

Applications

Unspecified application

Species

Unspecified reactive species

Guoqian Ni,Wenbin Wang,Yuan Dang,Cui Cheng,Qiaowen Wang

Journal of neurochemistry 169:e16298 PubMed39871627

2025

Interactions of Oligodendrocyte Precursor Cells and Dopaminergic Neurons in the Mouse Substantia Nigra.

Applications

Unspecified application

Species

Unspecified reactive species

Julia C Fitzgerald,Ying Sun,Frederek Reinecke,Elisabeth Bauer,Olga Garaschuk,Philipp J Kahle,Friederike Pfeiffer

Biomedical reports 22:27 PubMed39720298

2024

Typical presentation of neurofibromatosis type I in a patient with giant cutaneous neoplasm and café au lait spots: A case report.

Applications

Unspecified application

Species

Unspecified reactive species

Chenguang Zhang,Yilina Saibaidula,Yulou Luo,Jianghua Ou

BMC neuroscience 25:73 PubMed39609737

2024

A rat model establishment of bronchopulmonary dysplasia-related lung & brain injury within 28 days after birth.

Applications

Unspecified application

Species

Unspecified reactive species

Xin Lin,Meicen Zhou,Hua Wang

Scientific reports 14:24843 PubMed39438602

2024

Matched three-dimensional organoids and two-dimensional cell lines of melanoma brain metastases mirror response to targeted molecular therapy.

Applications

Unspecified application

Species

Unspecified reactive species

William H Hicks,Lauren C Gattie,Mohamad El Shami,Jeffrey I Traylor,Diwakar Davar,Yana G Najjar,Timothy E Richardson,Samuel K McBrayer,Kalil G Abdullah

Nature protocols 20:407-439 PubMed39363108

2024

High-confidence and high-throughput quantification of synapse engulfment by oligodendrocyte precursor cells.

Applications

Unspecified application

Species

Unspecified reactive species

Jessica A Kahng,Andre M Xavier,Austin Ferro,Samantha X Tang,Yohan S S Auguste,Lucas Cheadle

iScience 27:110464 PubMed39104416

2024

Respiratory infection with influenza A virus delays remyelination and alters oligodendrocyte metabolism.

Applications

Unspecified application

Species

Unspecified reactive species

Allison Y Louie,Jenny Drnevich,Jennifer L Johnson,Meagan Woodard,Anna V Kukekova,Rodney W Johnson,Andrew J Steelman
View all publications

Product promise

We are committed to supporting your work with high-quality reagents, and we're here for you every step of the way. In the unlikely event that one of our products does not perform as expected, you're protected by our Product Promise.
For full details, please see our Terms & Conditions

Please note: All products are 'FOR RESEARCH USE ONLY. NOT FOR USE IN DIAGNOSTIC OR THERAPEUTIC PROCEDURES'.

For licensing inquiries, please contact partnerships@abcam.com