JavaScript is disabled in your browser. Please enable JavaScript to view this website.
AB154138

Anti-SOX11 antibody [CL0142]

Be the first to review this product! Submit a review

|

(3 Publications)

Mouse Monoclonal SOX11 antibody. Suitable for IHC-P, ICC/IF and reacts with Mouse, Human samples. Cited in 3 publications. Immunogen corresponding to Recombinant Fragment Protein within Human SOX11 aa 50-200.

View Alternative Names

Transcription factor SOX-11, SOX11

5 Images
Immunohistochemistry (Formalin/PFA-fixed paraffin-embedded sections) - Anti-SOX11 antibody [CL0142] (AB154138)
  • IHC-P

Supplier Data

Immunohistochemistry (Formalin/PFA-fixed paraffin-embedded sections) - Anti-SOX11 antibody [CL0142] (AB154138)

Immunohistochemical anaysis of human mantle cell lymphoma labeling SOX11 with ab154138 at 1/200 dilution.

Shows moderate to strong nuclear positivity in tumor cells.

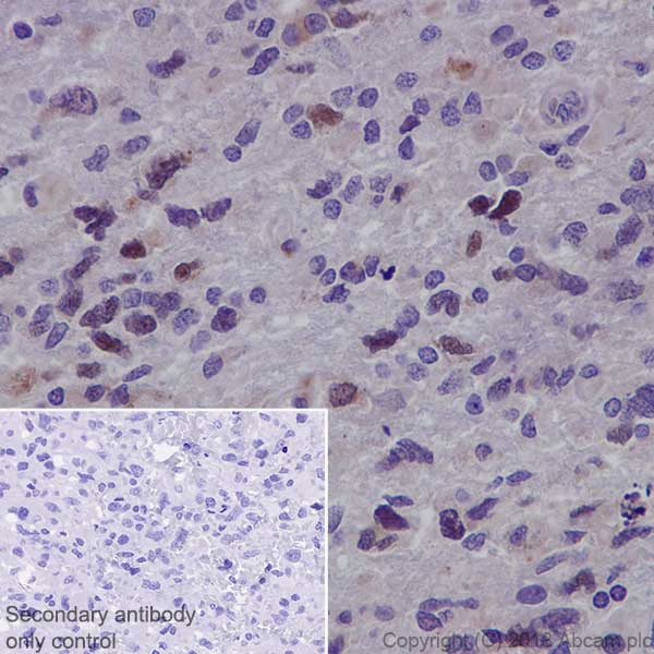
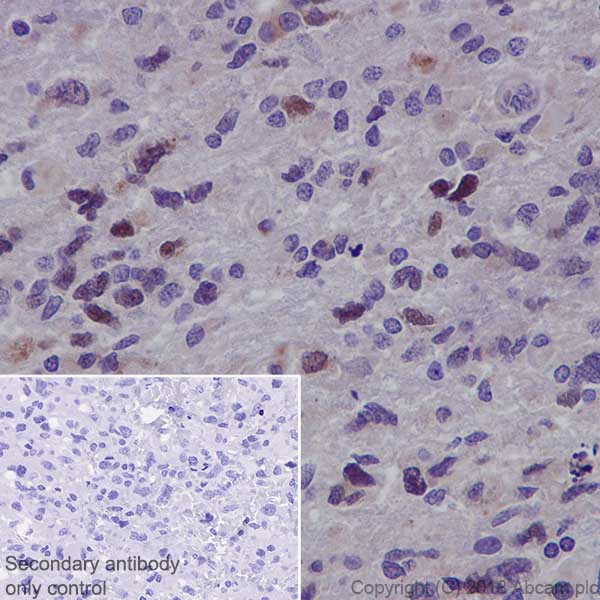
Immunohistochemistry (Formalin/PFA-fixed paraffin-embedded sections) - Anti-SOX11 antibody [CL0142] (AB154138)
  • IHC-P

Supplier Data

Immunohistochemistry (Formalin/PFA-fixed paraffin-embedded sections) - Anti-SOX11 antibody [CL0142] (AB154138)

Immunohistochemical anaysis of human chronic lymphoid leukemia tissue showing no labeling of SOX11 with ab154138 at 1/200 dilution (negative control).

Shows no nuclear positivity in tumor cells as expected.

Immunocytochemistry/ Immunofluorescence - Anti-SOX11 antibody [CL0142] (AB154138)
  • ICC/IF

Supplier Data

Immunocytochemistry/ Immunofluorescence - Anti-SOX11 antibody [CL0142] (AB154138)

Immunocytochemistry/Immunofluorescence analysis of RH-30 cells labelling SOX11 with ab154138 at 2μg/ml.

Shows specific staining in the nucleus and cytosol in green. Microtubule are visualized in red.

Immunohistochemistry (Formalin/PFA-fixed paraffin-embedded sections) - Anti-SOX11 antibody [CL0142] (AB154138)
  • IHC-P

Supplier Data

Immunohistochemistry (Formalin/PFA-fixed paraffin-embedded sections) - Anti-SOX11 antibody [CL0142] (AB154138)

Immunohistochemical anaysis of mouse embryo e14 labeling SOX11 with ab154138 at 1/200 dilution.

Shows strong nuclear positivity in the developing forebrain.

Immunohistochemistry (Formalin/PFA-fixed paraffin-embedded sections) - Anti-SOX11 antibody [CL0142] (AB154138)
  • IHC-P

Supplier Data

Immunohistochemistry (Formalin/PFA-fixed paraffin-embedded sections) - Anti-SOX11 antibody [CL0142] (AB154138)

Immunohistochemical anaysis of mouse embryo e14 retina labeling SOX11 with ab154138 at 1/200 dilution.

Shows moderate nuclear positivity in developing retina.

Key facts

Host species

Mouse

Clonality

Monoclonal

Clone number

CL0142

Isotype

IgG2a

Carrier free

No

Reacts with

Mouse, Human

Applications

IHC-P, ICC/IF

applications

Immunogen

Recombinant Fragment Protein within Human SOX11 aa 50-200. The exact immunogen used to generate this antibody is proprietary information.

P35716

Reactivity data

{ "title": "Reactivity Data", "filters": { "stats": ["", "Species", "Dilution Info", "Notes"], "tabs": { "all-applications": {"fullname" : "All Applications", "shortname": "All Applications"}, "IHCP" : {"fullname" : "Immunohistochemistry (Formalin/PFA-fixed paraffin-embedded sections)", "shortname":"IHC-P"}, "ICCIF" : {"fullname" : "Immunocytochemistry/ Immunofluorescence", "shortname":"ICC/IF"} }, "product-promise": { "all": "all", "testedAndGuaranteed": "tested", "guaranteed": "expected", "predicted": "predicted", "notRecommended": "not-recommended" } }, "values": { "Human": { "IHCP-species-checked": "testedAndGuaranteed", "IHCP-species-dilution-info": "1/200 - 1/500", "IHCP-species-notes": "<p></p> Perform heat-mediated antigen retrieval with citrate buffer pH 6 before commencing with IHC staining protocol.", "ICCIF-species-checked": "testedAndGuaranteed", "ICCIF-species-dilution-info": "2-10 µg/mL", "ICCIF-species-notes": "<p>Fixation/Permeabilization: PFA/Triton X-100.</p>" }, "Mouse": { "IHCP-species-checked": "testedAndGuaranteed", "IHCP-species-dilution-info": "1/200 - 1/500", "IHCP-species-notes": "<p></p> Perform heat-mediated antigen retrieval with citrate buffer pH 6 before commencing with IHC staining protocol.", "ICCIF-species-checked": "guaranteed", "ICCIF-species-dilution-info": "", "ICCIF-species-notes": "" }, "Pig": { "IHCP-species-checked": "predicted", "IHCP-species-dilution-info": "", "IHCP-species-notes": "", "ICCIF-species-checked": "predicted", "ICCIF-species-dilution-info": "", "ICCIF-species-notes": "" } } }

Product details

The antibody solution should be gently mixed before use.

Properties and storage information

Form
Liquid
Purification technique
Affinity purification Protein A
Storage buffer
pH: 7.2 Preservative: 0.02% Sodium azide Constituents: PBS, 40% Glycerol (glycerin, glycerine)
Shipped at conditions
Blue Ice
Appropriate short-term storage conditions
+4°C
Appropriate long-term storage conditions
-20°C
Aliquoting information
Upon delivery aliquot
Storage information
Avoid freeze / thaw cycle

Product protocols

For this product, it's our understanding that no specific protocols are required. You can visit:

Target data

Transcription factor that acts as a transcriptional activator (PubMed : 24886874, PubMed : 26543203). Binds cooperatively with POU3F2/BRN2 or POU3F1/OCT6 to gene promoters, which enhances transcriptional activation (By similarity). Acts as a transcriptional activator of TEAD2 by binding to its gene promoter and first intron (By similarity). Plays a redundant role with SOX4 and SOX12 in cell survival of developing tissues such as the neural tube, branchial arches and somites, thereby contributing to organogenesis (By similarity).
See full target information SOX11

Publications (3)

Recent publications for all applications. Explore the full list and refine your search

Beijing da xue xue bao. Yi xue ban = Journal of Peking University. Health sciences 55:575-581 PubMed37534634

2023

[Expression and significance of INSM1 and SOX11 in pancreatic neuroendocrine tumor and solid pseudopapillary neoplasm].

Applications

Unspecified application

Species

Unspecified reactive species

Z Cao,H B Cen,J H Zhao,J Mei,L Z Qin,W Liao,Q L Ao

Translational pediatrics 11:1040-1049 PubMed35800288

2022

A paediatric dysembryoplastic neuroepithelial tumour (DNET) with deregulated stem cell markers: a case report.

Applications

Unspecified application

Species

Unspecified reactive species

Deema Hussein,Alazouf Alhowity,Rinad Algehani,Abdulla Ahmed A Salwati,Ashraf Dallol,Hans-Juergen Schulten,Saleh Baeesa,Mohammed Bangash,Fahad Alghamdi,Mohamad Saka,Adeel Chaudhary,Adel Abuzenadah

American journal of cancer research 7:2305-2317 PubMed29218252

2017

miR-145 targets the 3'UTR to suppress endometrial cancer growth.

Applications

Unspecified application

Species

Unspecified reactive species

Lei Chang,Zhongfu Yuan,Huirong Shi,Yangyang Bian,Ruixia Guo
View all publications

Product promise

We are committed to supporting your work with high-quality reagents, and we're here for you every step of the way. In the unlikely event that one of our products does not perform as expected, you're protected by our Product Promise.
For full details, please see our Terms & Conditions

Please note: All products are 'FOR RESEARCH USE ONLY. NOT FOR USE IN DIAGNOSTIC OR THERAPEUTIC PROCEDURES'.

For licensing inquiries, please contact partnerships@abcam.com