JavaScript is disabled in your browser. Please enable JavaScript to view this website.
AB242203

Anti-SOX11 antibody [CL0143]

Be the first to review this product! Submit a review

|

(1 Publication)

Mouse Monoclonal SOX11 antibody. Suitable for IHC-P, WB and reacts with Human samples. Cited in 1 publication. Immunogen corresponding to Recombinant Fragment Protein within Human SOX11 aa 50-200.

View Alternative Names

Transcription factor SOX-11, SOX11

3 Images
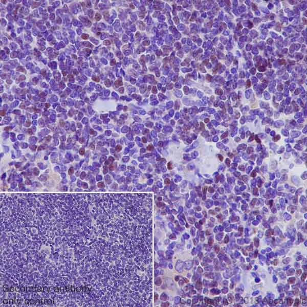
Immunohistochemistry (Formalin/PFA-fixed paraffin-embedded sections) - Anti-SOX11 antibody [CL0143] (AB242203)
  • IHC-P

Supplier Data

Immunohistochemistry (Formalin/PFA-fixed paraffin-embedded sections) - Anti-SOX11 antibody [CL0143] (AB242203)

Negative control : Formalin-fixed, paraffin-embedded human chronic lymphocytic leukemia tissue stained for SOX11 with ab242203 at a 1 : 200 dilution in immunohistochemical analysis.

Immunohistochemistry (Formalin/PFA-fixed paraffin-embedded sections) - Anti-SOX11 antibody [CL0143] (AB242203)
  • IHC-P

Supplier Data

Immunohistochemistry (Formalin/PFA-fixed paraffin-embedded sections) - Anti-SOX11 antibody [CL0143] (AB242203)

Formalin-fixed, paraffin-embedded human mantle cell lymphoma tissue stained for SOX11 with ab242203 at a 1 : 200 dilution in immunohistochemical analysis.

Western blot - Anti-SOX11 antibody [CL0143] (AB242203)
  • WB

Supplier Data

Western blot - Anti-SOX11 antibody [CL0143] (AB242203)

All lanes:

Western blot - Anti-SOX11 antibody [CL0143] (ab242203) at 1 µg/mL

Lane 1:

Negative control (vector only transfected) HEK-293T (Human epithelial cell line from embryonic kidney transformed with large T antigen) cell lysate

Lane 2:

SOX11 over-expression lysate (Co-expressed with a C-terminal myc-DDK tag (~3.1 kDa) in HEK-293T cells

Predicted band size: 47 kDa

false

Key facts

Host species

Mouse

Clonality

Monoclonal

Clone number

CL0143

Isotype

IgG2a

Carrier free

No

Reacts with

Human

Applications

WB, IHC-P

applications

Immunogen

Recombinant Fragment Protein within Human SOX11 aa 50-200. The exact immunogen used to generate this antibody is proprietary information.

P35716

Epitope

Binds to an epitope located within the peptide sequence IPFIREAERL as determined by overlapping synthetic peptides.

Reactivity data

{ "title": "Reactivity Data", "filters": { "stats": ["", "Species", "Dilution Info", "Notes"], "tabs": { "all-applications": {"fullname" : "All Applications", "shortname": "All Applications"}, "IHCP" : {"fullname" : "Immunohistochemistry (Formalin/PFA-fixed paraffin-embedded sections)", "shortname":"IHC-P"}, "WB" : {"fullname" : "Western blot", "shortname":"WB"} }, "product-promise": { "all": "all", "testedAndGuaranteed": "tested", "guaranteed": "expected", "predicted": "predicted", "notRecommended": "not-recommended" } }, "values": { "Human": { "IHCP-species-checked": "testedAndGuaranteed", "IHCP-species-dilution-info": "1/200 - 1/500", "IHCP-species-notes": "<p></p> Perform heat-mediated antigen retrieval with citrate buffer pH 6 before commencing with IHC staining protocol.", "WB-species-checked": "testedAndGuaranteed", "WB-species-dilution-info": "1 µg/mL", "WB-species-notes": "<p></p>" } } }

Properties and storage information

Form
Liquid
Purification technique
Affinity purification Protein A
Storage buffer
pH: 7.2 Preservative: 0.02% Sodium azide Constituents: PBS, 40% Glycerol (glycerin, glycerine)
Shipped at conditions
Blue Ice
Appropriate short-term storage duration
1-2 weeks
Appropriate short-term storage conditions
+4°C
Appropriate long-term storage conditions
-20°C
Aliquoting information
Upon delivery aliquot
Storage information
Avoid freeze / thaw cycle

Product protocols

For this product, it's our understanding that no specific protocols are required. You can visit:

Target data

Transcription factor that acts as a transcriptional activator (PubMed : 24886874, PubMed : 26543203). Binds cooperatively with POU3F2/BRN2 or POU3F1/OCT6 to gene promoters, which enhances transcriptional activation (By similarity). Acts as a transcriptional activator of TEAD2 by binding to its gene promoter and first intron (By similarity). Plays a redundant role with SOX4 and SOX12 in cell survival of developing tissues such as the neural tube, branchial arches and somites, thereby contributing to organogenesis (By similarity).
See full target information SOX11

Publications (1)

Recent publications for all applications. Explore the full list and refine your search

Toxicological sciences : an official journal of the Society of Toxicology 201:48-60 PubMed38830033

2024

Developmental PFOS exposure alters lung inflammation and barrier integrity in juvenile mice.

Applications

Unspecified application

Species

Unspecified reactive species

Joseph H Lucas,Qixin Wang,Jiries Meehan-Atrash,Cortney Pang,Irfan Rahman
View all publications

Product promise

We are committed to supporting your work with high-quality reagents, and we're here for you every step of the way. In the unlikely event that one of our products does not perform as expected, you're protected by our Product Promise.
For full details, please see our Terms & Conditions

Please note: All products are 'FOR RESEARCH USE ONLY. NOT FOR USE IN DIAGNOSTIC OR THERAPEUTIC PROCEDURES'.

For licensing inquiries, please contact partnerships@abcam.com