JavaScript is disabled in your browser. Please enable JavaScript to view this website.
AB224637

Anti-SOX17 antibody [EPR20684]

  • RabMAb
  • Recombinant
  • KO Validated
  • 20ul selling size
  • What is this?

4

(6 Reviews)

|

(19 Publications)

Anti-SOX17 antibody [EPR20684] (ab224637) is a rabbit monoclonal antibody detecting SOX17 in Western Blot, IP, IHC-P, ICC/IF. Suitable for Human, Mouse, Rat.

- KO validated for confirmed specificity
- Biophysical QC for unrivalled batch-batch consistency
- Over 10 publications

View Alternative Names

Transcription factor SOX-17, SOX17

9 Images
Immunocytochemistry/ Immunofluorescence - Anti-SOX17 antibody [EPR20684] (AB224637)
  • ICC/IF

Lab

Immunocytochemistry/ Immunofluorescence - Anti-SOX17 antibody [EPR20684] (AB224637)

ab224637 staining SOX17 in wild-type HeLa cells (top panel) and SOX17 knockout HeLa cells (ab265744) (bottom panel). The cells were fixed with 4% paraformaldehyde (10 min) then permeabilized with 0.1% Triton X-100 for 5 minutes and then blocked with 1% BSA/10% normal goat serum/0.3M glycine in 0.1% PBS-Tween for 1h. The cells were then incubated with ab224637 at 0.2μg/ml concentration and ab7291 (Mouse monoclonal to alpha Tubulin) at 1/1000 dilution overnight at 4°C followed by a further incubation at room temperature for 1h with a goat secondary antibody to rabbit IgG (Alexa Fluor® 488) (ab150081) at 2 μg/ml (shown in green) and a goat secondary antibody to mouse IgG (Alexa Fluor® 594) (ab150120) at 2 μg/ml (shown in red). Nuclear DNA was labelled in blue with DAPI.
Image was taken with a confocal microscope (Leica-Microsystems TCS SP8).

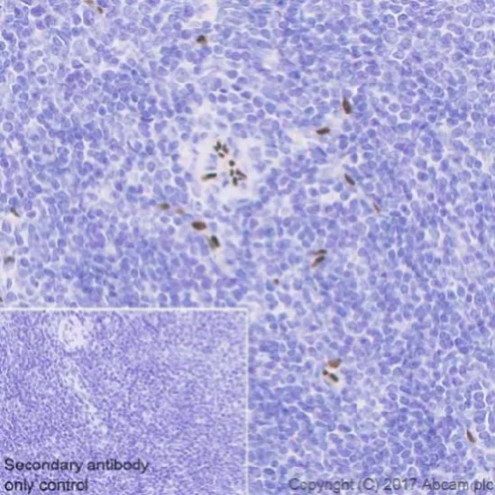
Immunohistochemistry (Formalin/PFA-fixed paraffin-embedded sections) - Anti-SOX17 antibody [EPR20684] (AB224637)
  • IHC-P

Supplier Data

Immunohistochemistry (Formalin/PFA-fixed paraffin-embedded sections) - Anti-SOX17 antibody [EPR20684] (AB224637)

Immunohistochemical analysis of paraffin-embedded human choriocarcinoma tissue labeling SOX17 with ab224637 at 1/2000 dilution, followed by Goat Anti-Rabbit IgG H&L (HRP) ready to use. Negative tissue : no staining on tumor cells of human choriocarcinoma (PMID : 19369635) is observed. Counter stained with Hematoxylin.

Secondary antibody only control : Used PBS instead of primary antibody, secondary antibody is Goat Anti-Rabbit IgG H&L (HRP) ready to use.

Perform heat mediated antigen retrieval with Tris/EDTA buffer pH 9.0 before commencing with IHC staining protocol.

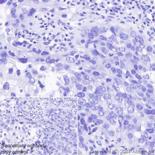
Immunohistochemistry (Formalin/PFA-fixed paraffin-embedded sections) - Anti-SOX17 antibody [EPR20684] (AB224637)
  • IHC-P

Lab

Immunohistochemistry (Formalin/PFA-fixed paraffin-embedded sections) - Anti-SOX17 antibody [EPR20684] (AB224637)

Immunohistochemical analysis of formalin fixed paraffin embedded human spleen labelling SOX17 with ab224637 at a concentration of 0.5µg/ml. The immunostaining was performed on a Ventana DISCOVERY ULTRA (Roche Tissue Diagnostics) instrument with a OptiView DAB IHC Detection Kit. Heat mediated antigen retrieval was performed with DISCOVERY cell conditioning solution (CC1) 100°C, pH8.5 for 32mins. ab224637 anti-SOX17 antibody [EPR20684] was incubated for 16mins at 37°C. Sections were counterstained with Hematoxylin II. Image inset shows absence of staining in secondary antibody only control.

Customers are encouraged to optimise antigen retrieval conditions, antibody concentration, incubation times and temperature for best results in their own IHC assay workflow (automated and manual).

Western blot - Anti-SOX17 antibody [EPR20684] (AB224637)
  • WB

Lab

Western blot - Anti-SOX17 antibody [EPR20684] (AB224637)

Exposure time :
Lanes 1-2 : 5 seconds
Lanes 3-6 : 3 minutes

Blocking and diluting buffer and concentration : 5% NFDM/TBST.

The expression profile observed is consistent with the literature (PMID : 11786926).

Negative control : HeLa.

All lanes:

Western blot - Anti-SOX17 antibody [EPR20684] (ab224637) at 1/500 dilution

Lane 1:

SK-OV-3 (Human adenocarcinoma) whole cell lysates at 20 µg

Lane 2:

NIH: OVCAR-3 (Human ovary adenocarcinoma) whole cell lysates at 20 µg

Lane 3:

HeLa (Human cervix adenocarcinoma) whole cell lysates at 20 µg

Lane 4:

Rat E14 embryo tissue lysates at 20 µg

Lane 5:

Rat E9.5 embryo tissue lysates at 20 µg

Lane 6:

Rat lung tissue lysates at 20 µg

Secondary

All lanes:

Goat Anti-Rabbit IgG (HRP), specific to the non-reduced form of IgG) at 1/2000 dilution

false

Western blot - Anti-SOX17 antibody [EPR20684] (AB224637)
  • WB

Lab

Western blot - Anti-SOX17 antibody [EPR20684] (AB224637)

Lanes 1-3 : Merged signal (red and green). Green - ab224637 observed at 51 kDa. Red - loading control ab8245 observed at 36 kDa.

ab224637 Anti-SOX17 antibody [EPR20684] was shown to specifically react with SOX17 in wild-type HeLa cells. Loss of signal was observed when knockout cell line ab265744 (knockout cell lysate ab257697) was used. Wild-type and SOX17 knockout samples were subjected to SDS-PAGE. ab224637 and Anti-GAPDH antibody [6C5] - Loading Control (ab8245) were incubated at room temperature for 2.5 hours at 1 in 1000 dilution and 1 in 20000 dilution respectively. Blots were developed with Goat anti-Rabbit IgG H&L (IRDye® 800CW) preadsorbed (ab216773) and Goat anti-Mouse IgG H&L (IRDye® 680RD) preadsorbed (ab216776) secondary antibodies at 1 in 20000 dilution for 1 hour at room temperature before imaging.

All lanes:

Western blot - Anti-SOX17 antibody [EPR20684] (ab224637) at 1/1000 dilution

Lane 1:

Wild-type HeLa cell lysate at 20 µg

Lane 2:

SOX17 knockout HeLa cell lysate at 20 µg

Lane 2:

Western blot - Human SOX17 knockout HeLa cell line (<a href='/en-us/products/cell-lines/human-sox17-knockout-hela-cell-line-ab265744'>ab265744</a>)

Lane 3:

SK-OV-3 cell lysate at 20 µg

Secondary

All lanes:

Western blot - Goat anti-Rabbit IgG H&L (IRDye® 800CW) preadsorbed (<a href='/en-us/products/secondary-antibodies/goat-rabbit-igg-h-l-irdye-800cw-preadsorbed-ab216773'>ab216773</a>) at 1/10000 dilution

Predicted band size: 44 kDa

Observed band size: 51 kDa

false

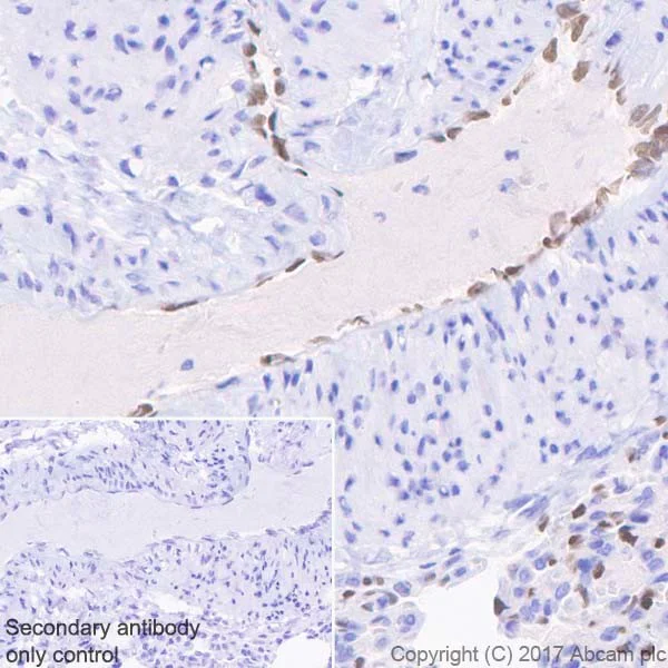
Immunohistochemistry (Formalin/PFA-fixed paraffin-embedded sections) - Anti-SOX17 antibody [EPR20684] (AB224637)
  • IHC-P

Supplier Data

Immunohistochemistry (Formalin/PFA-fixed paraffin-embedded sections) - Anti-SOX17 antibody [EPR20684] (AB224637)

Immunohistochemical analysis of paraffin-embedded rat lung tissue labeling SOX17 with ab224637 at 1/2000 dilution, followed by Goat Anti-Rabbit IgG H&L (HRP) ready to use. Nuclear staining on endothelium of rat lung (PMID : 24418654) is observed. Counter stained with Hematoxylin.

Secondary antibody only control : Used PBS instead of primary antibody, secondary antibody is Goat Anti-Rabbit IgG H&L (HRP) ready to use.

Perform heat mediated antigen retrieval with Tris/EDTA buffer pH 9.0 before commencing with IHC staining protocol.

Immunohistochemistry (Formalin/PFA-fixed paraffin-embedded sections) - Anti-SOX17 antibody [EPR20684] (AB224637)
  • IHC-P

Supplier Data

Immunohistochemistry (Formalin/PFA-fixed paraffin-embedded sections) - Anti-SOX17 antibody [EPR20684] (AB224637)

Immunohistochemical analysis of paraffin-embedded mouse spleen tissue labeling SOX17 with ab224637 at 1/2000 dilution, followed by Goat Anti-Rabbit IgG H&L (HRP) ready to use. Nuclear staining on endothelium of mouse spleen (PMID : 24418654) is observed. Counter stained with Hematoxylin.

Secondary antibody only control : Used PBS instead of primary antibody, secondary antibody is Goat Anti-Rabbit IgG H&L (HRP) ready to use.

Perform heat mediated antigen retrieval with Tris/EDTA buffer pH 9.0 before commencing with IHC staining protocol.

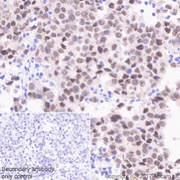
Immunohistochemistry (Formalin/PFA-fixed paraffin-embedded sections) - Anti-SOX17 antibody [EPR20684] (AB224637)
  • IHC-P

Supplier Data

Immunohistochemistry (Formalin/PFA-fixed paraffin-embedded sections) - Anti-SOX17 antibody [EPR20684] (AB224637)

Immunohistochemical analysis of paraffin-embedded human seminoma tissue labeling SOX17 with ab224637 at 1/2000 dilution, followed by Goat Anti-Rabbit IgG H&L (HRP) ready to use. Nuclear staining on tumor cells of human seminoma (PMID : 19369635; PMID : 18348160) is observed. Counter stained with Hematoxylin.

Secondary antibody only control : Used PBS instead of primary antibody, secondary antibody is Goat Anti-Rabbit IgG H&L (HRP) ready to use.

Perform heat mediated antigen retrieval with Tris/EDTA buffer pH 9.0 before commencing with IHC staining protocol.

Immunoprecipitation - Anti-SOX17 antibody [EPR20684] (AB224637)
  • IP

Supplier Data

Immunoprecipitation - Anti-SOX17 antibody [EPR20684] (AB224637)

SOX17 was immunoprecipitated from 0.35 mg of SK-OV-3 (human ovarian cancer cell line) lysate with ab224637 at 1/30 dilution. Western blot was performed from the immunoprecipitate using ab224637 at 1/500 dilution. VeriBlot for IP Detection Reagent (HRP) (ab131366), was used for detection at 1/1000 dilution.

Lane 1 : SK-OV-3 whole cell lysate 10 μg (Input).

Lane 2 : ab224637 IP in SK-OV-3 whole cell lysate.

Lane 3 : Rabbit monoclonal IgG (ab172730) instead of ab224637 in SK-OV-3 whole cell lysate.

Blocking and dilution buffer and concentration : 5% NFDM/TBST.

Exposure time : 1 second.

All lanes:

Immunoprecipitation - Anti-SOX17 antibody [EPR20684] (ab224637)

Predicted band size: 44 kDa

false

Key facts

Host species

Rabbit

Clonality

Monoclonal

Clone number

EPR20684

Isotype

IgG

Carrier free

No

Reacts with

Mouse, Rat, Human

Applications

ICC/IF, IP, IHC-P, WB

applications

Immunogen

The exact immunogen used to generate this antibody is proprietary information.

Reactivity data

{ "title": "Reactivity Data", "filters": { "stats": ["", "Species", "Dilution Info", "Notes"], "tabs": { "all-applications": {"fullname" : "All Applications", "shortname": "All Applications"}, "ICCIF" : {"fullname" : "Immunocytochemistry/ Immunofluorescence", "shortname":"ICC/IF"}, "IP" : {"fullname" : "Immunoprecipitation", "shortname":"IP"}, "WB" : {"fullname" : "Western blot", "shortname":"WB"}, "IHCP" : {"fullname" : "Immunohistochemistry (Formalin/PFA-fixed paraffin-embedded sections)", "shortname":"IHC-P"} }, "product-promise": { "all": "all", "testedAndGuaranteed": "tested", "guaranteed": "expected", "predicted": "predicted", "notRecommended": "not-recommended" } }, "values": { "Human": { "ICCIF-species-checked": "testedAndGuaranteed", "ICCIF-species-dilution-info": "0.2 µg/mL", "ICCIF-species-notes": "<p></p>", "IP-species-checked": "testedAndGuaranteed", "IP-species-dilution-info": "1/30", "IP-species-notes": "<p></p>", "WB-species-checked": "testedAndGuaranteed", "WB-species-dilution-info": "1/500", "WB-species-notes": "<p>HeLa express low level of SOX17, it is easy to detect a negative signal in an ECL system. Protocol optimizations including increased protein loading (30-50 μg/lane), reduced primary antibody dilution (1/500), and fg-grade ECL substrates are suggested if HeLa must be tested.</p>", "IHCP-species-checked": "testedAndGuaranteed", "IHCP-species-dilution-info": "1/2000", "IHCP-species-notes": "<p></p> Perform heat-mediated antigen retrieval with Tris/EDTA buffer pH 9.0 before commencing with IHC staining protocol." }, "Mouse": { "ICCIF-species-checked": "guaranteed", "ICCIF-species-dilution-info": "", "ICCIF-species-notes": "", "IP-species-checked": "guaranteed", "IP-species-dilution-info": "", "IP-species-notes": "", "WB-species-checked": "guaranteed", "WB-species-dilution-info": "", "WB-species-notes": "", "IHCP-species-checked": "testedAndGuaranteed", "IHCP-species-dilution-info": "1/2000", "IHCP-species-notes": "<p></p> Perform heat-mediated antigen retrieval with Tris/EDTA buffer pH 9.0 before commencing with IHC staining protocol." }, "Rat": { "ICCIF-species-checked": "guaranteed", "ICCIF-species-dilution-info": "", "ICCIF-species-notes": "", "IP-species-checked": "guaranteed", "IP-species-dilution-info": "", "IP-species-notes": "", "WB-species-checked": "testedAndGuaranteed", "WB-species-dilution-info": "1/500", "WB-species-notes": "<p>HeLa express low level of SOX17, it is easy to detect a negative signal in an ECL system. Protocol optimizations including increased protein loading (30-50 μg/lane), reduced primary antibody dilution (1/500), and fg-grade ECL substrates are suggested if HeLa must be tested.</p>", "IHCP-species-checked": "testedAndGuaranteed", "IHCP-species-dilution-info": "1/2000", "IHCP-species-notes": "<p></p> Perform heat-mediated antigen retrieval with Tris/EDTA buffer pH 9.0 before commencing with IHC staining protocol." } } }

Product details

Product Specifications
Anti-SOX17 antibody [EPR20684] (ab224637) was developed by Abcam using patented rabbit monoclonal antibody technology and is validated for use in ICC/IF, IHC-P, IP, WB in human, mouse, rat samples.
Anti-SOX17 antibody [EPR20684] (ab224637) specifically detects SOX17 (UniProt ID: Q9H6I2; Molecular weight: 44kDa) and is sold in 100 µL and 1 mL selling sizes.

Quality and Validation
Abcam's high quality manufacturing and validation processes ensure Anti-SOX17 antibody [EPR20684] (ab224637) has high sensitivity and specificity alongside high lot-to-lot consistency and reproducibility.
The specificity of Anti-SOX17 antibody [EPR20684] (ab224637) has been confirmed by testing in knockout samples.
Anti-SOX17 antibody [EPR20684] (ab224637) has been cited over 14 times in peer reviewed journals and is trusted by the scientific community.
Anti-SOX17 antibody [EPR20684] (ab224637) has 6 independent reviews from customers.

Related Products
Antibody clone EPR20684 is also available pre-conjugated to a variety of labels for your convenience - Alexa Fluor® 647, Alexa Fluor® 594, Alexa Fluor® 568, Alexa Fluor® 555, Alexa Fluor® 750 (ab311117, ab311745, ab313025, ab313227, ab321416).

Patented technology
Our RabMAb® technology is a patented hybridoma-based technology for making rabbit monoclonal antibodies. For details on our patents, please refer to RabMAb® patents.

What are the advantages of a recombinant monoclonal antibody?
This product is a recombinant monoclonal antibody, which offers several advantages including:

  • - High batch-to-batch consistency and reproducibility
  • - Improved sensitivity and specificity
  • - Long-term security of supply
  • - Animal-free batch production

For more information, read more on recombinant antibodies.

Shipping conditions update: ambient shipping

This product will be delivered at ambient temperature instead of chilled – this is by design. Extensive stability testing confirmed that our products are suitable for shipment under ambient conditions and maintain expected quality.

Why the change?

It’s part of our commitment to more sustainable packaging solutions, with ambient deliveries using eco-friendly materials such as recyclable cardboard instead of polystyrene.

What you need to know

  • Ambient shipments come with a flyer explaining the below.
  • No ice will be included in ambient shipments, but mixed orders (ambient and cold-chain items) will still arrive with ice packs to protect temperature-sensitive products.
  • Warranty coverage remains fully valid, aligned with our validated shipping method.
  • Please store the product as per the datasheet instructions upon receipt.

Find out more - https://www.abcam.com/en-us/support/shipping-storage-support/ambient-shipping

Properties and storage information

Form
Liquid
Purification technique
Affinity purification Protein A
Storage buffer
pH: 7.2 - 7.4 Preservative: 0.01% Sodium azide Constituents: PBS, 40% Glycerol (glycerin, glycerine), 0.05% BSA
Shipped at conditions
Conditional Ambient
Appropriate short-term storage duration
1-2 weeks
Appropriate short-term storage conditions
+4°C
Appropriate long-term storage conditions
-20°C
Aliquoting information
Upon delivery aliquot
Storage information
Avoid freeze / thaw cycle

Product protocols

For this product, it's our understanding that no specific protocols are required. You can visit:

Target data

Acts as a transcription regulator that binds target promoter DNA and bends the DNA. Binds to the sequences 5'-AACAAT-'3 or 5'-AACAAAG-3'. Modulates transcriptional regulation via WNT3A. Inhibits Wnt signaling. Promotes degradation of activated CTNNB1. Plays a key role in the regulation of embryonic development. Required for normal development of the definitive gut endoderm. Required for normal looping of the embryonic heart tube. Plays an important role in embryonic and postnatal vascular development, including development of arteries. Plays an important role in postnatal angiogenesis, where it is functionally redundant with SOX18. Required for the generation and maintenance of fetal hematopoietic stem cells, and for fetal hematopoiesis. Probable transcriptional activator in the premeiotic germ cells.
See full target information SOX17

Publications (19)

Recent publications for all applications. Explore the full list and refine your search

Bioactive materials 45:181-200 PubMed39651397

2024

Engineering aortic valves via transdifferentiating fibroblasts into valvular endothelial cells without using viruses or iPS cells.

Applications

Unspecified application

Species

Unspecified reactive species

Peng Tang,Fuxiang Wei,Weihua Qiao,Xing Chen,Chenyang Ji,Wanzhi Yang,Xinyu Zhang,Sihan Chen,Yanyan Wu,Mingxing Jiang,Chenyu Ma,Weiqiang Shen,Qi Dong,Hong Cao,Minghui Xie,Ziwen Cai,Li Xu,Jiawei Shi,Nianguo Dong,Junwei Chen,Ning Wang

Nature communications 14:5435 PubMed37669989

2023

Placental growth factor exerts a dual function for cardiomyogenesis and vasculogenesis during heart development.

Applications

Unspecified application

Species

Unspecified reactive species

Nevin Witman,Chikai Zhou,Timm Häneke,Yao Xiao,Xiaoting Huang,Eduarde Rohner,Jesper Sohlmér,Niels Grote Beverborg,Miia L Lehtinen,Kenneth R Chien,Makoto Sahara

International journal of molecular sciences 24: PubMed37511076

2023

Targeting SOX18 Transcription Factor Activity by Small-Molecule Inhibitor Sm4 in Non-Small Lung Cancer Cell Lines.

Applications

Unspecified application

Species

Unspecified reactive species

Olga Rodak,Monika Mrozowska,Agnieszka Rusak,Agnieszka Gomułkiewicz,Aleksandra Piotrowska,Mateusz Olbromski,Marzenna Podhorska-Okołów,Maciej Ugorski,Piotr Dzięgiel

Circulation 147:1606-1621 PubMed37066790

2023

Enhancer Variants Disrupt Transcription Factor Binding And Enhancer Inactivity Drives Pulmonary Hypertension.

Applications

Unspecified application

Species

Unspecified reactive species

Rachel Walters,Eleni Vasilaki,Jurjan Aman,Chien-Nien Chen,Yukyee Wu,Olin D Liang,Ali Ashek,Olivier Dubois,Lin Zhao,Farah Sabrin,Inês Cebola,Jorge Ferrer,Nicholas W Morrell,James R Klinger,Martin R Wilkins,Lan Zhao,Christopher J Rhodes

Molecular & cellular proteomics : MCP 22:100526 PubMed36889440

2023

Integrated MicroRNA and Secretome Analysis of Human Endometrial Organoids Reveal the miR-3194-5p/Aquaporin/S100A9 Module in Regulating Trophoblast Functions.

Applications

Unspecified application

Species

Unspecified reactive species

Yang Dong,Jianlin Li,Dandan Cao,Jiangming Zhong,Xiaofeng Liu,Yong-Gang Duan,Kai-Fai Lee,William S B Yeung,Cheuk-Lun Lee,Philip C N Chiu

Scientific data 10:93 PubMed36788249

2023

A dataset of definitive endoderm and hepatocyte differentiations from human induced pluripotent stem cells.

Applications

Unspecified application

Species

Unspecified reactive species

Yuki Tanaka,Erina Furuhata,Shiori Maeda,Mami Kishima,Harukazu Suzuki,Takahiro Suzuki

Cell cycle (Georgetown, Tex.) 22:331-346 PubMed36200131

2022

Upregulated miR-194-5p suppresses retinal microvascular endothelial cell dysfunction and mitigates the symptoms of hypertensive retinopathy in mice by targeting SOX17 and VEGF signaling.

Applications

Unspecified application

Species

Unspecified reactive species

Qianqian Wan,Heting Liu,Yuxin Xu,Qing Zhang,Liming Tao

Cells 11: PubMed36231094

2022

Direct Differentiation of Human Embryonic Stem Cells to 3D Functional Hepatocyte-like Cells in Alginate Microencapsulation Sphere.

Applications

Unspecified application

Species

Unspecified reactive species

Xiaoling Xie,Xiaoling Zhou,Tingdang Liu,Zhiqian Zhong,Qi Zhou,Waqas Iqbal,Qingdong Xie,Chiju Wei,Xin Zhang,Thomas Ming Swi Chang,Pingnan Sun

Journal of oncology 2022:8915503 PubMed36072972

2022

The Biomarker Like the Correlation between Vasculogenic Mimicry, Vascular Endothelial Cadherin, Sex-DeterminingRegion on Y-Box Transcription Factor 17, and Cyclin D1 in Oesophageal Squamous Cell Carcinoma.

Applications

Unspecified application

Species

Unspecified reactive species

Yanzi Qin,Wenjun Zhao,Zhaogeng Cai,Qi Wang,Jin Gao,Hongfei Ci,Zhenzhong Feng,Li Ma

The journal of gene medicine 24:e3376 PubMed34191363

2022

Inhibition of circ_0081234 reduces prostate cancer tumor growth and metastasis via the miR-1/MAP 3 K1 axis.

Applications

Unspecified application

Species

Unspecified reactive species

Guangyao Zhang,Yibin Liu,Jianhui Yang,Haiming Wang,Zhengwei Xing
View all publications

Product promise

We are committed to supporting your work with high-quality reagents, and we're here for you every step of the way. In the unlikely event that one of our products does not perform as expected, you're protected by our Product Promise.
For full details, please see our Terms & Conditions

Please note: All products are 'FOR RESEARCH USE ONLY. NOT FOR USE IN DIAGNOSTIC OR THERAPEUTIC PROCEDURES'.

For licensing inquiries, please contact partnerships@abcam.com