JavaScript is disabled in your browser. Please enable JavaScript to view this website.
AB226862

Anti-SOX17 antibody [EPR20684] - BSA and Azide free

Be the first to review this product! Submit a review

|

(1 Publication)

Rabbit Recombinant Monoclonal SOX17 antibody. Carrier free. Suitable for ICC/IF, IP, WB, IHC-P and reacts with Human, Rat, Mouse samples. Cited in 1 publication.

View Alternative Names

Transcription factor SOX-17, SOX17

8 Images
Immunohistochemistry (Formalin/PFA-fixed paraffin-embedded sections) - Anti-SOX17 antibody [EPR20684] - BSA and Azide free (AB226862)
  • IHC-P

Supplier Data

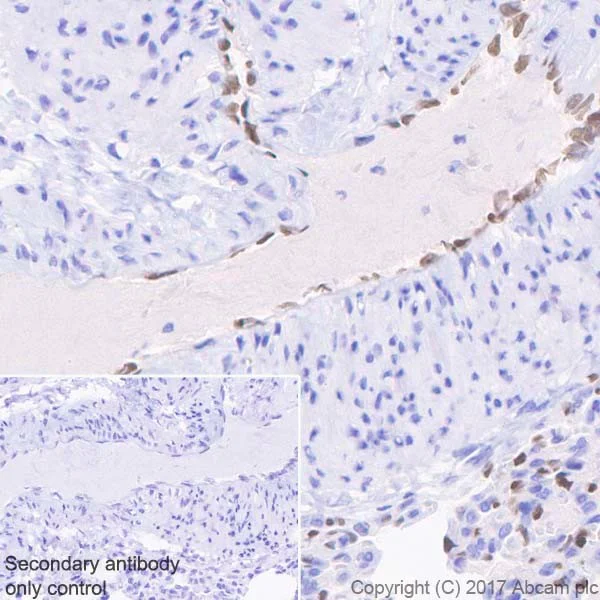
Immunohistochemistry (Formalin/PFA-fixed paraffin-embedded sections) - Anti-SOX17 antibody [EPR20684] - BSA and Azide free (AB226862)

Immunohistochemical analysis of paraffin-embedded human choriocarcinoma tissue labeling SOX17 with ab224637 at 1/2000 dilution, followed by Goat Anti-Rabbit IgG H&L (HRP) ready to use. Negative tissue : no staining on tumor cells of human choriocarcinoma (PMID : 19369635) is observed. Counter stained with Hematoxylin.

Secondary antibody only control : Used PBS instead of primary antibody, secondary antibody is Goat Anti-Rabbit IgG H&L (HRP) ready to use.

This data was developed using the same antibody clone in a different buffer formulation containing PBS, BSA, glycerol, and sodium azide (ab224637).

Perform heat mediated antigen retrieval with Tris/EDTA buffer pH 9.0 before commencing with IHC staining protocol.

Immunohistochemistry (Formalin/PFA-fixed paraffin-embedded sections) - Anti-SOX17 antibody [EPR20684] - BSA and Azide free (AB226862)
  • IHC-P

Lab

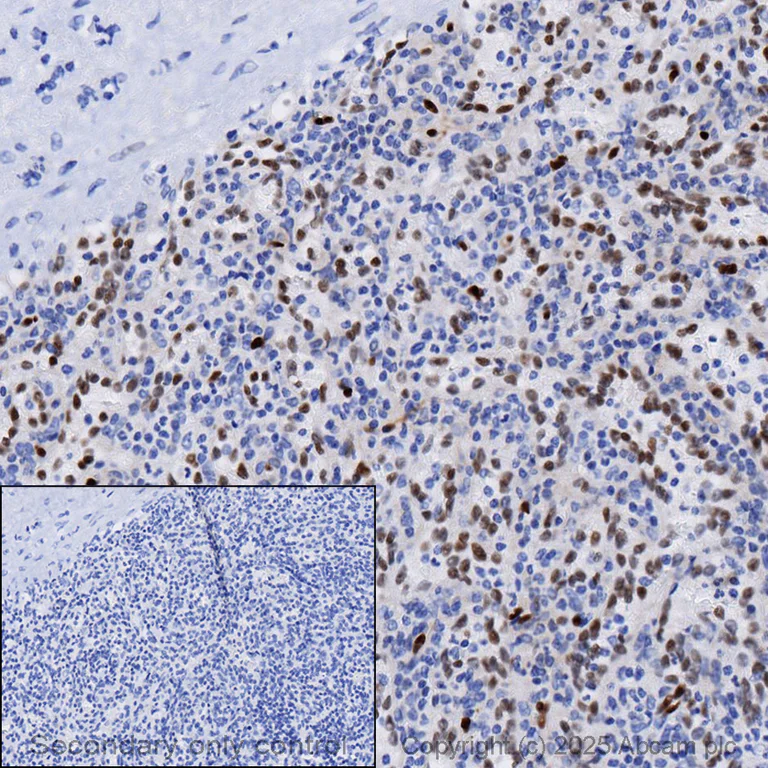
Immunohistochemistry (Formalin/PFA-fixed paraffin-embedded sections) - Anti-SOX17 antibody [EPR20684] - BSA and Azide free (AB226862)

This data was developed using ab224637, the same antibody clone in a different buffer formulation.

Immunohistochemical analysis of formalin fixed paraffin embedded human spleen labelling SOX17 with ab224637 at a concentration of 0.5µg/ml. The immunostaining was performed on a Ventana DISCOVERY ULTRA (Roche Tissue Diagnostics) instrument with a OptiView DAB IHC Detection Kit. Heat mediated antigen retrieval was performed with DISCOVERY cell conditioning solution (CC1) 100°C, pH8.5 for 32mins. ab224637 anti-SOX17 antibody [EPR20684] was incubated for 16mins at 37°C. Sections were counterstained with Hematoxylin II. Image inset shows absence of staining in secondary antibody only control.

Customers are encouraged to optimise antigen retrieval conditions, antibody concentration, incubation times and temperature for best results in their own IHC assay workflow (automated and manual).

Western blot - Anti-SOX17 antibody [EPR20684] - BSA and Azide free (AB226862)
  • WB

Lab

Western blot - Anti-SOX17 antibody [EPR20684] - BSA and Azide free (AB226862)

This data was developed using the same antibody clone in a different buffer formulation (ab224637).

Lanes 1-3 : Merged signal (red and green). Green - ab224637 observed at 51 kDa. Red - loading control ab8245 observed at 36 kDa.

ab224637 Anti-SOX17 antibody [EPR20684] was shown to specifically react with SOX17 in wild-type HeLa cells. Loss of signal was observed when knockout cell line ab265744 (knockout cell lysate ab257697) was used. Wild-type and SOX17 knockout samples were subjected to SDS-PAGE. ab224637 and Anti-GAPDH antibody [6C5] - Loading Control (ab8245) were incubated at room temperature for 2. 5 hours at 1 in 1000 dilution and 1 in 20000 dilution respectively. Blots were developed with Goat anti-Rabbit IgG H&L (IRDye® 800CW) preadsorbed (ab216773) and Goat anti-Mouse IgG H&L (IRDye® 680RD) preadsorbed (ab216776) secondary antibodies at 1 in 20000 dilution for 1 hour at room temperature before imaging.

All lanes:

Western blot - Anti-SOX17 antibody [EPR20684] (<a href='/en-us/products/primary-antibodies/sox17-antibody-epr20684-ab224637'>ab224637</a>) at 1/1000 dilution

Lane 1:

Wild-type HeLa cell lysate at 20 µg

Lane 2:

SOX17 knockout HeLa cell lysate at 20 µg

Lane 2:

Western blot - Human SOX17 knockout HeLa cell line (<a href='/en-us/products/cell-lines/human-sox17-knockout-hela-cell-line-ab265744'>ab265744</a>)

Lane 3:

SK-OV-3 cell lysate at 20 µg

Secondary

All lanes:

Western blot - Goat anti-Rabbit IgG H&L (IRDye® 800CW) preadsorbed (<a href='/en-us/products/secondary-antibodies/goat-rabbit-igg-h-l-irdye-800cw-preadsorbed-ab216773'>ab216773</a>) at 1/10000 dilution

Predicted band size: 44 kDa

Observed band size: 51 kDa

false

Immunocytochemistry/ Immunofluorescence - Anti-SOX17 antibody [EPR20684] - BSA and Azide free (AB226862)
  • ICC/IF

Lab

Immunocytochemistry/ Immunofluorescence - Anti-SOX17 antibody [EPR20684] - BSA and Azide free (AB226862)

This data was developed using the same antibody clone in a different buffer formulation (ab224637). ab224637 staining SOX17 in wild-type HeLa cells (top panel) and SOX17 knockout HeLa cells (ab265744) (bottom panel). The cells were fixed with 4% paraformaldehyde (10 min) then permeabilized with 0.1% Triton X-100 for 5 minutes and then blocked with 1% BSA/10% normal goat serum/0.3M glycine in 0.1% PBS-Tween for 1h. The cells were then incubated with ab224637 at 0.2μg/ml concentration and ab7291 (Mouse monoclonal to alpha Tubulin) at 1/1000 dilution overnight at 4°C followed by a further incubation at room temperature for 1h with a goat secondary antibody to rabbit IgG (Alexa Fluor® 488) (ab150081) at 2 μg/ml (shown in green) and a goat secondary antibody to mouse IgG (Alexa Fluor® 594) (ab150120) at 2 μg/ml (shown in red). Nuclear DNA was labelled in blue with DAPI.
Image was taken with a confocal microscope (Leica-Microsystems TCS SP8).

Immunohistochemistry (Formalin/PFA-fixed paraffin-embedded sections) - Anti-SOX17 antibody [EPR20684] - BSA and Azide free (AB226862)
  • IHC-P

Supplier Data

Immunohistochemistry (Formalin/PFA-fixed paraffin-embedded sections) - Anti-SOX17 antibody [EPR20684] - BSA and Azide free (AB226862)

Immunohistochemical analysis of paraffin-embedded rat lung tissue labeling SOX17 with ab224637 at 1/2000 dilution, followed by Goat Anti-Rabbit IgG H&L (HRP) ready to use. Nuclear staining on endothelium of rat lung (PMID : 24418654) is observed. Counter stained with Hematoxylin.

Secondary antibody only control : Used PBS instead of primary antibody, secondary antibody is Goat Anti-Rabbit IgG H&L (HRP) ready to use.

This data was developed using the same antibody clone in a different buffer formulation containing PBS, BSA, glycerol, and sodium azide (ab224637).

Perform heat mediated antigen retrieval with Tris/EDTA buffer pH 9.0 before commencing with IHC staining protocol.

Immunohistochemistry (Formalin/PFA-fixed paraffin-embedded sections) - Anti-SOX17 antibody [EPR20684] - BSA and Azide free (AB226862)
  • IHC-P

Supplier Data

Immunohistochemistry (Formalin/PFA-fixed paraffin-embedded sections) - Anti-SOX17 antibody [EPR20684] - BSA and Azide free (AB226862)

Immunohistochemical analysis of paraffin-embedded mouse spleen tissue labeling SOX17 with ab224637 at 1/2000 dilution, followed by Goat Anti-Rabbit IgG H&L (HRP) ready to use. Nuclear staining on endothelium of mouse spleen (PMID : 24418654) is observed. Counter stained with Hematoxylin.

Secondary antibody only control : Used PBS instead of primary antibody, secondary antibody is Goat Anti-Rabbit IgG H&L (HRP) ready to use.

This data was developed using the same antibody clone in a different buffer formulation containing PBS, BSA, glycerol, and sodium azide (ab224637).

Perform heat mediated antigen retrieval with Tris/EDTA buffer pH 9.0 before commencing with IHC staining protocol.

Immunohistochemistry (Formalin/PFA-fixed paraffin-embedded sections) - Anti-SOX17 antibody [EPR20684] - BSA and Azide free (AB226862)
  • IHC-P

Supplier Data

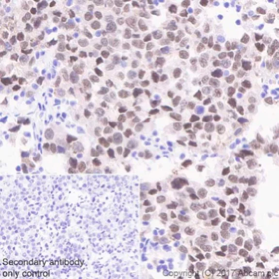
Immunohistochemistry (Formalin/PFA-fixed paraffin-embedded sections) - Anti-SOX17 antibody [EPR20684] - BSA and Azide free (AB226862)

Immunohistochemical analysis of paraffin-embedded human seminoma tissue labeling SOX17 with ab224637 at 1/2000 dilution, followed by Goat Anti-Rabbit IgG H&L (HRP) ready to use. Nuclear staining on tumor cells of human seminoma (PMID : 19369635; PMID : 18348160) is observed. Counter stained with Hematoxylin.

Secondary antibody only control : Used PBS instead of primary antibody, secondary antibody is Goat Anti-Rabbit IgG H&L (HRP) ready to use.

This data was developed using the same antibody clone in a different buffer formulation containing PBS, BSA, glycerol, and sodium azide (ab224637).

Perform heat mediated antigen retrieval with Tris/EDTA buffer pH 9.0 before commencing with IHC staining protocol.

Immunoprecipitation - Anti-SOX17 antibody [EPR20684] - BSA and Azide free (AB226862)
  • IP

Supplier Data

Immunoprecipitation - Anti-SOX17 antibody [EPR20684] - BSA and Azide free (AB226862)

SOX17 was immunoprecipitated from 0.35 mg of SK-OV-3 (human ovarian cancer cell line) lysate with ab224637 at 1/30 dilution. Western blot was performed from the immunoprecipitate using ab224637 at 1/500 dilution. VeriBlot for IP Detection Reagent (HRP) (ab131366), was used for detection at 1/1000 dilution.

Lane 1 : SK-OV-3 whole cell lysate 10 μg (Input).

Lane 2 : ab224637 IP in SK-OV-3 whole cell lysate.

Lane 3 : Rabbit monoclonal IgG (ab172730) instead of ab224637 in SK-OV-3 whole cell lysate.

Blocking and dilution buffer and concentration : 5% NFDM/TBST.

Exposure time : 1 second.

This data was developed using the same antibody clone in a different buffer formulation containing PBS, BSA, glycerol, and sodium azide (ab224637).

All lanes:

Immunoprecipitation - Anti-SOX17 antibody [EPR20684] (<a href='/en-us/products/primary-antibodies/sox17-antibody-epr20684-ab224637'>ab224637</a>)

Predicted band size: 44 kDa

false

Key facts

Host species

Rabbit

Clonality

Monoclonal

Clone number

EPR20684

Isotype

IgG

Carrier free

Yes

Reacts with

Mouse, Rat, Human

Applications

ICC/IF, IP, WB, IHC-P

applications

Immunogen

The exact immunogen used to generate this antibody is proprietary information.

Reactivity data

{ "title": "Reactivity Data", "filters": { "stats": ["", "Species", "Dilution Info", "Notes"], "tabs": { "all-applications": {"fullname" : "All Applications", "shortname": "All Applications"}, "ICCIF" : {"fullname" : "Immunocytochemistry/ Immunofluorescence", "shortname":"ICC/IF"}, "IP" : {"fullname" : "Immunoprecipitation", "shortname":"IP"}, "WB" : {"fullname" : "Western blot", "shortname":"WB"}, "IHCP" : {"fullname" : "Immunohistochemistry (Formalin/PFA-fixed paraffin-embedded sections)", "shortname":"IHC-P"} }, "product-promise": { "all": "all", "testedAndGuaranteed": "tested", "guaranteed": "expected", "predicted": "predicted", "notRecommended": "not-recommended" } }, "values": { "Human": { "ICCIF-species-checked": "testedAndGuaranteed", "ICCIF-species-dilution-info": "", "ICCIF-species-notes": "<p></p>", "IP-species-checked": "testedAndGuaranteed", "IP-species-dilution-info": "", "IP-species-notes": "<p></p>", "WB-species-checked": "testedAndGuaranteed", "WB-species-dilution-info": "", "WB-species-notes": "<p>HeLa express low level of SOX17, it is easy to detect a negative signal in an ECL system. Protocol optimizations including increased protein loading (30-50 μg/lane), reduced primary antibody dilution (1/500), and fg-grade ECL substrates are suggested if HeLa must be tested.</p>", "IHCP-species-checked": "testedAndGuaranteed", "IHCP-species-dilution-info": "", "IHCP-species-notes": "<p></p> Perform heat-mediated antigen retrieval with Tris/EDTA buffer pH 9.0 before commencing with IHC staining protocol." }, "Mouse": { "ICCIF-species-checked": "guaranteed", "ICCIF-species-dilution-info": "", "ICCIF-species-notes": "", "IP-species-checked": "guaranteed", "IP-species-dilution-info": "", "IP-species-notes": "", "WB-species-checked": "guaranteed", "WB-species-dilution-info": "", "WB-species-notes": "", "IHCP-species-checked": "testedAndGuaranteed", "IHCP-species-dilution-info": "", "IHCP-species-notes": "<p></p> Perform heat-mediated antigen retrieval with Tris/EDTA buffer pH 9.0 before commencing with IHC staining protocol." }, "Rat": { "ICCIF-species-checked": "guaranteed", "ICCIF-species-dilution-info": "", "ICCIF-species-notes": "", "IP-species-checked": "guaranteed", "IP-species-dilution-info": "", "IP-species-notes": "", "WB-species-checked": "testedAndGuaranteed", "WB-species-dilution-info": "", "WB-species-notes": "<p>HeLa express low level of SOX17, it is easy to detect a negative signal in an ECL system. Protocol optimizations including increased protein loading (30-50 μg/lane), reduced primary antibody dilution (1/500), and fg-grade ECL substrates are suggested if HeLa must be tested.</p>", "IHCP-species-checked": "testedAndGuaranteed", "IHCP-species-dilution-info": "", "IHCP-species-notes": "<p></p> Perform heat-mediated antigen retrieval with Tris/EDTA buffer pH 9.0 before commencing with IHC staining protocol." } } }

Product details

ab226862 is the carrier-free version of ab224637.

Patented technology
Our RabMAb® technology is a patented hybridoma-based technology for making rabbit monoclonal antibodies. For details on our patents, please refer to RabMAb® patents.

What are the advantages of a recombinant monoclonal antibody?
This product is a recombinant monoclonal antibody, which offers several advantages including:

  • - High batch-to-batch consistency and reproducibility
  • - Improved sensitivity and specificity
  • - Long-term security of supply
  • - Animal-free batch production

For more information, read more on recombinant antibodies.

Conjugation ready
Our carrier-free antibodies are typically supplied in a PBS-only formulation, purified and free of BSA, sodium azide and glycerol. This conjugation-ready format is designed for use with fluorochromes, metal isotopes, oligonucleotides, and enzymes, which makes them ideal for antibody labelling, functional and cell-based assays, flow-based assays (e.g. mass cytometry) and Multiplex Imaging applications.

Use our conjugation kits for antibody conjugates that are ready-to-use in as little as 20 minutes with 1 minute hands-on-time and 100% antibody recovery: available for fluorescent dyes, HRP, biotin and gold.

Compatibility
This product is compatible with the Maxpar® Antibody Labeling Kit from Fluidigm, without the need for antibody preparation. Maxpar® is a trademark of Fluidigm Canada Inc.

Properties and storage information

Form
Liquid
Purification technique
Affinity purification Protein A
Storage buffer
pH: 7.2 - 7.4 Constituents: PBS
Shipped at conditions
Blue Ice
Appropriate short-term storage conditions
+4°C
Appropriate long-term storage conditions
+4°C
Storage information
Do Not Freeze

Product protocols

For this product, it's our understanding that no specific protocols are required. You can visit:

Target data

Acts as a transcription regulator that binds target promoter DNA and bends the DNA. Binds to the sequences 5'-AACAAT-'3 or 5'-AACAAAG-3'. Modulates transcriptional regulation via WNT3A. Inhibits Wnt signaling. Promotes degradation of activated CTNNB1. Plays a key role in the regulation of embryonic development. Required for normal development of the definitive gut endoderm. Required for normal looping of the embryonic heart tube. Plays an important role in embryonic and postnatal vascular development, including development of arteries. Plays an important role in postnatal angiogenesis, where it is functionally redundant with SOX18. Required for the generation and maintenance of fetal hematopoietic stem cells, and for fetal hematopoiesis. Probable transcriptional activator in the premeiotic germ cells.
See full target information SOX17

Publications (1)

Recent publications for all applications. Explore the full list and refine your search

Proceedings of the National Academy of Sciences of the United States of America 118: PubMed34417304

2021

A recombinant herpes virus expressing influenza hemagglutinin confers protection and induces antibody-dependent cellular cytotoxicity.

Applications

Unspecified application

Species

Unspecified reactive species

Katherine Kaugars,Joseph Dardick,Anna Paula de Oliveira,Kayla A Weiss,Regy Lukose,John Kim,Lawrence Leung,Saranathan Rajagopalan,Sydney Wolin,Leor Akabas,David M Knipe,Goran Bajic,William R Jacobs
View all publications

Product promise

We are committed to supporting your work with high-quality reagents, and we're here for you every step of the way. In the unlikely event that one of our products does not perform as expected, you're protected by our Product Promise.
For full details, please see our Terms & Conditions

Please note: All products are 'FOR RESEARCH USE ONLY. NOT FOR USE IN DIAGNOSTIC OR THERAPEUTIC PROCEDURES'.

For licensing inquiries, please contact partnerships@abcam.com