JavaScript is disabled in your browser. Please enable JavaScript to view this website.
AB171380

Anti-SOX2 antibody [20G5]

5

(1 Review)

|

(75 Publications)

Anti-SOX2 antibody [20G5] (ab171380) is a mouse monoclonal antibody detecting SOX2 in Western Blot, Flow Cytometry, IP, IHC-P, ICC/IF. Suitable for Human, Mouse.

- Over 50 publications

View Alternative Names

Transcription factor SOX-2, SOX2

7 Images
Western blot - Anti-SOX2 antibody [20G5] (AB171380)
  • WB

Supplier Data

Western blot - Anti-SOX2 antibody [20G5] (AB171380)

All lanes:

Western blot - Anti-SOX2 antibody [20G5] (ab171380) at 1/500 dilution

Lane 1:

NCCIT (Human pluripotent embryonic carcinoma cell line) cell lysate at 25 µg

Lane 2:

NTERRA cell lysate at 25 µg

Lane 3:

HeLa (Human epithelial cell line from cervix adenocarcinoma) cell lysate at 25 µg

Secondary

All lanes:

mouse IgG-HRP at 1/10000 dilution

Predicted band size: 34 kDa

true

Flow Cytometry - Anti-SOX2 antibody [20G5] (AB171380)
  • Flow Cyt

Supplier Data

Flow Cytometry - Anti-SOX2 antibody [20G5] (AB171380)

Flow cytometry analysis of HEL 11.4 induced IPS cells labeling SOX2 (blue histogram), using ab171380 at a 1/100 dilution, or a mouse IgG (green histogram) at a 1/100 dilution. A fluorescein-conjugated secondary antibody at a 1/200 dilution was used for the analysis.

Immunocytochemistry/ Immunofluorescence - Anti-SOX2 antibody [20G5] (AB171380)
  • ICC/IF

Supplier Data

Immunocytochemistry/ Immunofluorescence - Anti-SOX2 antibody [20G5] (AB171380)

Immunofluorescence analysis of formaldehyde-fixed HEL 11.4 induced IPS cells, labeling SOX2 using ab171380 (left panel) at a 1/200 dilution overnight. DAPI was used to stain the cell nuclei (central panel). Slides were washed with PBS and incubated with a fluorescein-conjugated secondary antibody at a 1/100 dilution.

Immunohistochemistry (Formalin/PFA-fixed paraffin-embedded sections) - Anti-SOX2 antibody [20G5] (AB171380)
  • IHC-P

Supplier Data

Immunohistochemistry (Formalin/PFA-fixed paraffin-embedded sections) - Anti-SOX2 antibody [20G5] (AB171380)

Immunohistochemistry analysis of SOX2 showing staining in the nucleus of paraffin-treated human lung squamous carcinoma (right) compared with a negative control without primary antibody (left).

To expose target proteins, antigen retrieval was performed using 10 mM sodium citrate (pH 6.0), microwaved for 8-15 minutes. Following antigen retrieval, tissues were blocked in 3% H2O2-methanol for 15 minutes at room temperature, washed with ddH2O and PBS, and then probed with a SOX2 monoclonal antibody (ab171380) diluted by 3% BSA-PBS at a dilution of 1 : 200 overnight at 4°C in a humidified chamber. Tissues were washed extensively in PBST and detection was performed using an HRP-conjugated secondary antibody followed by colorimetric detection using a DAB kit. Tissues were counterstained with hematoxylin and dehydrated with ethanol and xylene to prep for mounting.

Flow Cytometry - Anti-SOX2 antibody [20G5] (AB171380)
  • Flow Cyt

Supplier Data

Flow Cytometry - Anti-SOX2 antibody [20G5] (AB171380)

Flow cytometry analysis of H9 embryonic stem cells labeling SOX2 (blue histogram), using ab171380 at a 1/100 dilution, or a mouse IgG (green histogram) at a 1/100 dilution. A fluorescein-conjugated secondary antibody at a 1/200 dilution was used for the analysis.

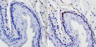
Immunohistochemistry (Formalin/PFA-fixed paraffin-embedded sections) - Anti-SOX2 antibody [20G5] (AB171380)
  • IHC-P

Supplier Data

Immunohistochemistry (Formalin/PFA-fixed paraffin-embedded sections) - Anti-SOX2 antibody [20G5] (AB171380)

Immunohistochemistry analysis of SOX2 showing staining in the nucleus of paraffin-treated mouse esophagus tissue (right) compared with a negative control without primary antibody (left).

To expose target proteins, antigen retrieval was performed using 10 mM sodium citrate (pH 6.0), microwaved for 8-15 minutes. Following antigen retrieval, tissues were blocked in 3% H2O2-methanol for 15 minutes at room temperature, washed with ddH2O and PBS, and then probed with a SOX2 monoclonal antibody (ab171380) diluted by 3% BSA-PBS at a dilution of 1 : 20 overnight at 4°C in a humidified chamber. Tissues were washed extensively in PBST and detection was performed using an HRP-conjugated secondary antibody followed by colorimetric detection using a DAB kit. Tissues were counterstained with hematoxylin and dehydrated with ethanol and xylene to prep for mounting.

Immunohistochemistry (Formalin/PFA-fixed paraffin-embedded sections) - Anti-SOX2 antibody [20G5] (AB171380)
  • IHC-P

PubMed

Immunohistochemistry (Formalin/PFA-fixed paraffin-embedded sections) - Anti-SOX2 antibody [20G5] (AB171380)

REST expression in N-hREST mouse brains correlates with stemness in embryonic neural stem cells. Immunofluorescence analysis of E18.5 N-hREST and LSL-hRESTcontrol littermate mouse brains with antibodies against REST (using an antibody that preferentially recognizes hREST over mouse REST) and SOX2 (using ab171380).

Mice were anesthetized and perfused with phosphate-buffered saline followed by 4% paraformaldehyde (PFA). Brain tissues were then dissected and fixed in 4% PFA overnight at 4 °C. Fixed brain tissues were processed for paraffin embedding and then cut into 5-μm sections.

Image from Lu L. et al., Sci Rep. 2018 Aug 14;8(1):12083. Fig2c. doi: 10.1038/s41598-018-29441-3. Reproduced under the Creative Commons license http://creativecommons.org/licenses/by/4.0/.

Key facts

Host species

Mouse

Clonality

Monoclonal

Clone number

20G5

Isotype

IgG1

Light chain type

kappa

Carrier free

No

Reacts with

Mouse, Human

Applications

IHC-P, Flow Cyt, ICC/IF, WB, IP

applications

Immunogen

Recombinant Full Length Protein corresponding to Mouse Sox2.

P48432

Reactivity data

{ "title": "Reactivity Data", "filters": { "stats": ["", "Species", "Dilution Info", "Notes"], "tabs": { "all-applications": {"fullname" : "All Applications", "shortname": "All Applications"}, "IP" : {"fullname" : "Immunoprecipitation", "shortname":"IP"}, "FlowCyt" : {"fullname" : "Flow Cytometry", "shortname":"Flow Cyt"}, "WB" : {"fullname" : "Western blot", "shortname":"WB"}, "IHCP" : {"fullname" : "Immunohistochemistry (Formalin/PFA-fixed paraffin-embedded sections)", "shortname":"IHC-P"}, "ICCIF" : {"fullname" : "Immunocytochemistry/ Immunofluorescence", "shortname":"ICC/IF"} }, "product-promise": { "all": "all", "testedAndGuaranteed": "tested", "guaranteed": "expected", "predicted": "predicted", "notRecommended": "not-recommended" } }, "values": { "Human": { "IP-species-checked": "guaranteed", "IP-species-dilution-info": "5 µg/mg of lysate", "IP-species-notes": "<p></p>", "FlowCyt-species-checked": "testedAndGuaranteed", "FlowCyt-species-dilution-info": "1/100", "FlowCyt-species-notes": "<p><a href='/en-us/products/primary-antibodies/mouse-igg1-kappa-monoclonal-15-6e10a7-isotype-control-ab170190'>ab170190</a> - Mouse monoclonal IgG1, is suitable for use as an isotype control with this antibody.</p>", "WB-species-checked": "testedAndGuaranteed", "WB-species-dilution-info": "1/1000 - 1/2000", "WB-species-notes": "<p></p>", "IHCP-species-checked": "testedAndGuaranteed", "IHCP-species-dilution-info": "1/20 - 1/200", "IHCP-species-notes": "<p></p>", "ICCIF-species-checked": "testedAndGuaranteed", "ICCIF-species-dilution-info": "1/200", "ICCIF-species-notes": "<p></p>" }, "Mouse": { "IP-species-checked": "predicted", "IP-species-dilution-info": "", "IP-species-notes": "", "FlowCyt-species-checked": "guaranteed", "FlowCyt-species-dilution-info": "", "FlowCyt-species-notes": "", "WB-species-checked": "guaranteed", "WB-species-dilution-info": "", "WB-species-notes": "", "IHCP-species-checked": "testedAndGuaranteed", "IHCP-species-dilution-info": "1/20 - 1/200", "IHCP-species-notes": "<p></p>", "ICCIF-species-checked": "guaranteed", "ICCIF-species-dilution-info": "", "ICCIF-species-notes": "" }, "Chicken": { "IP-species-checked": "predicted", "IP-species-dilution-info": "", "IP-species-notes": "", "FlowCyt-species-checked": "predicted", "FlowCyt-species-dilution-info": "", "FlowCyt-species-notes": "", "WB-species-checked": "predicted", "WB-species-dilution-info": "", "WB-species-notes": "", "IHCP-species-checked": "predicted", "IHCP-species-dilution-info": "", "IHCP-species-notes": "", "ICCIF-species-checked": "predicted", "ICCIF-species-dilution-info": "", "ICCIF-species-notes": "" }, "Sheep": { "IP-species-checked": "predicted", "IP-species-dilution-info": "", "IP-species-notes": "", "FlowCyt-species-checked": "predicted", "FlowCyt-species-dilution-info": "", "FlowCyt-species-notes": "", "WB-species-checked": "predicted", "WB-species-dilution-info": "", "WB-species-notes": "", "IHCP-species-checked": "predicted", "IHCP-species-dilution-info": "", "IHCP-species-notes": "", "ICCIF-species-checked": "predicted", "ICCIF-species-dilution-info": "", "ICCIF-species-notes": "" } } }

Product details

What is this antibody validated in?
Anti-SOX2 antibody [20G5] (ab171380) is a mouse monoclonal antibody and is validated for use in Western Blot (WB), Flow Cytometry (Flow Cyt), Immunoprecipitation (IP), Immunohistochemistry (IHC-P), Immunocytochemistry/immunofluorescence (ICC/IF) in Human, Mouse samples.

What is the molecular weight of SOX2?
Anti-SOX2 [20G5] (ab171380) specifically detects a band for SOX2 (UniProt: P48431) at a molecular weight of 34kDa.

Trusted by the scientific community
Anti-SOX2 [20G5] (ab171380) was first used in a scientific publication in 2013 and has been cited over 50 times in peer-reviewed journals.

Properties and storage information

Form
Liquid
Purification technique
Affinity purification Protein A
Storage buffer
Preservative: 0.05% Sodium azide Constituents: PBS, 30% Glycerol (glycerin, glycerine), 0.1% BSA
Shipped at conditions
Blue Ice
Appropriate short-term storage duration
1-2 weeks
Appropriate short-term storage conditions
+4°C
Appropriate long-term storage conditions
-20°C
Aliquoting information
Upon delivery aliquot
Storage information
Avoid freeze / thaw cycle

Product protocols

For this product, it's our understanding that no specific protocols are required. You can visit:

Target data

The protein expressed by the gene SOX2 is critical for early embryogenesis and for the pluripotency of embryonic stem cells (PubMed : 18035408). This supplementary information is collated from multiple sources and compiled automatically.
See full target information SOX2

Publications (75)

Recent publications for all applications. Explore the full list and refine your search

Redox biology 83:103638 PubMed40286437

2025

iPSC-derived cardiomyocytes and engineered heart tissues reveal suppressed JAK2/STAT3 signaling in LMNA-related emery-dreifuss muscular dystrophy.

Applications

Unspecified application

Species

Unspecified reactive species

Hangping Fan,Zongkuai Yang,Hangying Ying,Jiuxiao Zhao,Xiaochen Wang,Junhao Gong,Lingying Li,Xujie Liu,Tingyu Gong,Qing Ke,Lenan Zhuang,Ping Liang

Cell reports. Medicine 6:101914 PubMed39809264

2025

High cellular plasticity state of medulloblastoma local recurrence and distant dissemination.

Applications

Unspecified application

Species

Unspecified reactive species

Hailong Liu,Jing Zhang,Ziwei Wang,Wei Wang,Dongming Han,Xuan Chen,Yu Su,Jiao Zhang,Craig Daniels,Olivier Saulnier,Zeyuan John Wang,Chunyu Gu,Fei Liu,Kaiwen Deng,Dongyang Wang,Zhaoyang Feng,Yahui Zhao,Yifei Jiang,Yu Gao,Zijia Liu,Mingxu Ma,Yanong Li,Zitong Zhao,Hongyu Yuan,Youliang Sun,Yanfeng Shi,Tao Yang,Wenxing Li,Xueling Qi,Zejun Duan,Junping Zhang,Mingshan Zhang,Chunjiang Yu,Wei Jin,Xinguang Yu,Yu Tian,Shuaicheng Li,Chunde Li,Michael D Taylor,Jiankang Li,Yong-Qiang Liu,Xiaoguang Qiu,Tao Jiang

Development (Cambridge, England) 152: PubMed39628452

2024

Her9 controls the stemness properties of hindbrain boundary cells.

Applications

Unspecified application

Species

Unspecified reactive species

Carolyn Engel-Pizcueta,Covadonga F Hevia,Adrià Voltes,Jean Livet,Cristina Pujades

Cancers 16: PubMed39272828

2024

Mitochondrial VDAC1 Silencing in Urethane-Induced Lung Cancer Inhibits Tumor Growth and Alters Cancer Oncogenic Properties.

Applications

Unspecified application

Species

Unspecified reactive species

Nataly Melnikov,Srinivas Pittala,Anna Shteinfer-Kuzmine,Varda Shoshan-Barmatz

iScience 27:110604 PubMed39252971

2024

Patient-derived tumor organoids mimic treatment-induced DNA damage response in glioblastoma.

Applications

Unspecified application

Species

Unspecified reactive species

Bernarda Majc,Anamarija Habič,Marta Malavolta,Miloš Vittori,Andrej Porčnik,Roman Bošnjak,Jernej Mlakar,Alenka Matjašič,Andrej Zupan,Marija Skoblar Vidmar,Tamara Lah Turnšek,Aleksander Sadikov,Barbara Breznik,Metka Novak

Nature communications 15:7000 PubMed39143095

2024

Lamin A/C deficiency-mediated ROS elevation contributes to pathogenic phenotypes of dilated cardiomyopathy in iPSC model.

Applications

ICC/IF

Species

Human

Hangyuan Qiu,Yaxun Sun,Xiaochen Wang,Tingyu Gong,Jun Su,Jiaxi Shen,Jingjun Zhou,Jiafeng Xia,Hao Wang,Xiangfu Meng,Guosheng Fu,Donghui Zhang,Chenyang Jiang,Ping Liang

Cell & bioscience 14:35 PubMed38494478

2024

Deubiquitinase PSMD7 facilitates pancreatic cancer progression through activating Nocth1 pathway via modifying SOX2 degradation.

Applications

Unspecified application

Species

Unspecified reactive species

Chen Luo,Yi Yu,Jinfeng Zhu,Leifeng Chen,Dan Li,Xingyu Peng,Zitao Liu,Qing Li,Qing Cao,Kai Huang,Rongfa Yuan

Cell communication and signaling : CCS 22:155 PubMed38424563

2024

Extracellular vesicles from UTX-knockout endothelial cells boost neural stem cell differentiation in spinal cord injury.

Applications

Unspecified application

Species

Unspecified reactive species

Yudong Liu,Zixiang Luo,Yong Xie,Yi Sun,Feifei Yuan,Liyuan Jiang,Hongbin Lu,Jianzhong Hu

Advanced science (Weinheim, Baden-Wurttemberg, Germany) 11:e2305620 PubMed38087889

2023

Transgelin Promotes Glioblastoma Stem Cell Hypoxic Responses and Maintenance Through p53 Acetylation.

Applications

Unspecified application

Species

Unspecified reactive species

Huan Li,Chao Song,Yang Zhang,Guohao Liu,Hailong Mi,Yachao Li,Zhiye Chen,Xiaoyu Ma,Po Zhang,Lidong Cheng,Peng Peng,Hongtao Zhu,Zirong Chen,Minhai Dong,Sui Chen,Hao Meng,QunGen Xiao,Honglian Li,Qiulian Wu,Baofeng Wang,Suojun Zhang,Kai Shu,Feng Wan,Dongsheng Guo,Wenchao Zhou,Lin Zhou,Feng Mao,Jeremy N Rich,Xingjiang Yu

EMBO molecular medicine 15:e18199 PubMed38037472

2023

Patient- and xenograft-derived organoids recapitulate pediatric brain tumor features and patient treatments.

Applications

Unspecified application

Species

Unspecified reactive species

Chiara Lago,Aniello Federico,Gloria Leva,Norman L Mack,Benjamin Schwalm,Claudio Ballabio,Matteo Gianesello,Luana Abballe,Isabella Giovannoni,Sofia Reddel,Sabrina Rossi,Nicolas Leone,Andrea Carai,Angela Mastronuzzi,Alessandra Bisio,Alessia Soldano,Concetta Quintarelli,Franco Locatelli,Marcel Kool,Evelina Miele,Luca Tiberi
View all publications

Product promise

We are committed to supporting your work with high-quality reagents, and we're here for you every step of the way. In the unlikely event that one of our products does not perform as expected, you're protected by our Product Promise.
For full details, please see our Terms & Conditions

Please note: All products are 'FOR RESEARCH USE ONLY. NOT FOR USE IN DIAGNOSTIC OR THERAPEUTIC PROCEDURES'.

For licensing inquiries, please contact partnerships@abcam.com