JavaScript is disabled in your browser. Please enable JavaScript to view this website.
AB218520

Anti-SOX2 antibody [SOX2/1791]

Be the first to review this product! Submit a review

|

(2 Publications)

Mouse Monoclonal SOX2 antibody. Suitable for WB, Protein Array, IHC-P and reacts with Human, Recombinant full length protein, Mouse, Recombinant full length protein - Human samples. Cited in 2 publications. Immunogen corresponding to Recombinant Fragment Protein within Human SOX2 aa 150 to C-terminus.

View Alternative Names

Transcription factor SOX-2, SOX2

6 Images
Immunohistochemistry (Formalin/PFA-fixed paraffin-embedded sections) - Anti-SOX2 antibody [SOX2/1791] (AB218520)
  • IHC-P

Supplier Data

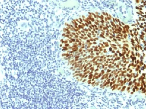
Immunohistochemistry (Formalin/PFA-fixed paraffin-embedded sections) - Anti-SOX2 antibody [SOX2/1791] (AB218520)

Immunohistochemical analysis of formalin-fixed and paraffin-embedded human cervical carcinoma tissue labeling SOX2 with ab218520 at 1 μg/mL dilution, followed by conjugation to the secondary antibody.

Immunohistochemistry (Formalin/PFA-fixed paraffin-embedded sections) - Anti-SOX2 antibody [SOX2/1791] (AB218520)
  • IHC-P

Supplier Data

Immunohistochemistry (Formalin/PFA-fixed paraffin-embedded sections) - Anti-SOX2 antibody [SOX2/1791] (AB218520)

Immunohistochemical analysis of formalin-fixed and paraffin-embedded human lung carcinoma tissue labeling SOX2 with ab218520.

Immunohistochemistry (Formalin/PFA-fixed paraffin-embedded sections) - Anti-SOX2 antibody [SOX2/1791] (AB218520)
  • IHC-P

Supplier Data

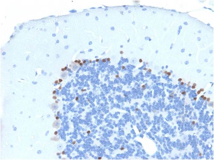
Immunohistochemistry (Formalin/PFA-fixed paraffin-embedded sections) - Anti-SOX2 antibody [SOX2/1791] (AB218520)

Immunohistochemistry (Formalin/PFA-fixed paraffin-embedded sections) analysis of mouse brain tissue labelling SOX2 with ab218520. Heat mediated antigen retrieval was performed using Tris/EDTA buffer pH 9.

Western blot - Anti-SOX2 antibody [SOX2/1791] (AB218520)
  • WB

Supplier Data

Western blot - Anti-SOX2 antibody [SOX2/1791] (AB218520)

Lanes 1 - 2:

Western blot - Anti-SOX2 antibody [SOX2/1792] (<a href='/en-us/products/primary-antibodies/sox2-antibody-sox2-1792-ab218521'>ab218521</a>)

Lanes 1 - 2:

Western blot - Anti-SOX2 antibody [SOX2/1791] (ab218520)

Lane 1:

Recombinant SOX2 protein fragment

Lane 2:

NCCIT (human pluripotent embryonic carcinoma cell line) cell lysate

Predicted band size: 34 kDa

false

Protein Array - Anti-SOX2 antibody [SOX2/1791] (AB218520)
  • Protein Array

Unknown

Protein Array - Anti-SOX2 antibody [SOX2/1791] (AB218520)

ab218520 was tested in protein array against over 19000 different full-length human proteins.
Z- and S- Score : The Z-score represents the strength of a signal that a monoclonal antibody (MAb) (in combination with a fluorescently-tagged anti-IgG secondary antibody) produces when binding to a particular protein on the HuProtTM array. Z-scores are described in units of standard deviations (SD's) above the mean value of all signals generated on that array. If targets on HuProtTM are arranged in descending order of the Z-score, the S-score is the difference (also in units of SD's) between the Z-score. S-score therefore represents the relative target specificity of a MAb to its intended target.
A MAb is specific to its intended target if the MAb has an S-score of at least 2.5. For example, if a MAb binds to protein X with a Z-score of 43 and to protein Y with a Z-score of 14, then the S-score for the binding of that MAb to protein X is equal to 29.

Western blot - Anti-SOX2 antibody [SOX2/1791] (AB218520)
  • WB

Supplier Data

Western blot - Anti-SOX2 antibody [SOX2/1791] (AB218520)

All lanes:

Western blot - Anti-SOX2 antibody [SOX2/1791] (ab218520) at 2 µg/mL

All lanes:

A549 (human lung carcinoma cell line) whole cell lysate

Predicted band size: 34 kDa

false

Key facts

Host species

Mouse

Clonality

Monoclonal

Clone number

SOX2/1791

Isotype

IgG2b

Light chain type

kappa

Carrier free

No

Reacts with

Mouse, Human

Applications

IHC-P, Protein Array, WB

applications

Immunogen

Recombinant Fragment Protein within Human SOX2 aa 150 to C-terminus. The exact immunogen used to generate this antibody is proprietary information.

P48431

Reactivity data

{ "title": "Reactivity Data", "filters": { "stats": ["", "Species", "Dilution Info", "Notes"], "tabs": { "all-applications": {"fullname" : "All Applications", "shortname": "All Applications"}, "WB" : {"fullname" : "Western blot", "shortname":"WB"}, "ProteinArray" : {"fullname" : "Protein Array", "shortname":"Protein Array"}, "IHCP" : {"fullname" : "Immunohistochemistry (Formalin/PFA-fixed paraffin-embedded sections)", "shortname":"IHC-P"} }, "product-promise": { "all": "all", "testedAndGuaranteed": "tested", "guaranteed": "expected", "predicted": "predicted", "notRecommended": "not-recommended" } }, "values": { "Human": { "WB-species-checked": "testedAndGuaranteed", "WB-species-dilution-info": "1-2 µg/mL", "WB-species-notes": "<p></p>", "ProteinArray-species-checked": "guaranteed", "ProteinArray-species-dilution-info": "", "ProteinArray-species-notes": "", "IHCP-species-checked": "testedAndGuaranteed", "IHCP-species-dilution-info": "1-2 µg/mL", "IHCP-species-notes": "<p></p> Perform heat-mediated antigen retrieval with Tris/EDTA buffer pH 9.0 before commencing with IHC staining protocol." }, "Mouse": { "WB-species-checked": "guaranteed", "WB-species-dilution-info": "", "WB-species-notes": "", "ProteinArray-species-checked": "guaranteed", "ProteinArray-species-dilution-info": "", "ProteinArray-species-notes": "", "IHCP-species-checked": "testedAndGuaranteed", "IHCP-species-dilution-info": "1-2 µg/mL", "IHCP-species-notes": "<p></p> Perform heat-mediated antigen retrieval with Tris/EDTA buffer pH 9.0 before commencing with IHC staining protocol." }, "Recombinant full length protein": { "WB-species-checked": "testedAndGuaranteed", "WB-species-dilution-info": "1-2 µg/mL", "WB-species-notes": "<p></p>", "ProteinArray-species-checked": "notRecommended", "ProteinArray-species-dilution-info": "", "ProteinArray-species-notes": "", "IHCP-species-checked": "notRecommended", "IHCP-species-dilution-info": "", "IHCP-species-notes": "" }, "Recombinant full length protein - Human": { "WB-species-checked": "notRecommended", "WB-species-dilution-info": "", "WB-species-notes": "", "ProteinArray-species-checked": "testedAndGuaranteed", "ProteinArray-species-dilution-info": "", "ProteinArray-species-notes": "<p></p>", "IHCP-species-checked": "notRecommended", "IHCP-species-dilution-info": "", "IHCP-species-notes": "" } } }

Properties and storage information

Form
Liquid
Purification technique
Affinity purification Protein A/G
Storage buffer
pH: 7.2 - 7.4 Preservative: 0.05% Sodium azide Constituents: PBS, 0.05% BSA
Shipped at conditions
Blue Ice
Appropriate short-term storage duration
1-2 weeks
Appropriate short-term storage conditions
+4°C
Appropriate long-term storage conditions
-20°C
Aliquoting information
Upon delivery aliquot
Storage information
Avoid freeze / thaw cycle

Product protocols

For this product, it's our understanding that no specific protocols are required. You can visit:

Target data

The protein expressed by the gene SOX2 is critical for early embryogenesis and for the pluripotency of embryonic stem cells (PubMed : 18035408). This supplementary information is collated from multiple sources and compiled automatically.
See full target information SOX2

Publications (2)

Recent publications for all applications. Explore the full list and refine your search

Molecular cancer 24:16 PubMed39810191

2025

Metabolically activated and highly polyfunctional intratumoral VISTA regulatory B cells are associated with tumor recurrence in early-stage NSCLC.

Applications

Unspecified application

Species

Unspecified reactive species

Domenico Lo Tartaro,Beatrice Aramini,Valentina Masciale,Nikolaos Paschalidis,Francesco Demetrio Lofaro,Anita Neroni,Rebecca Borella,Elena Santacroce,Alin Liviu Ciobanu,Anna Valeria Samarelli,Federica Boraldi,Daniela Quaglino,Alessandra Dubini,Michele Gaudio,Gloria Manzotti,Francesca Reggiani,Federica Torricelli,Alessia Ciarrocchi,Antonino Neri,Federica Bertolini,Massimo Dominici,Pier Luigi Filosso,Franco Stella,Lara Gibellini,Sara De Biasi,Andrea Cossarizza

Nature communications 14:2586 PubMed37142563

2023

Re-convolving the compositional landscape of primary and recurrent glioblastoma reveals prognostic and targetable tissue states.

Applications

Unspecified application

Species

Unspecified reactive species

Osama Al-Dalahmah,Michael G Argenziano,Adithya Kannan,Aayushi Mahajan,Julia Furnari,Fahad Paryani,Deborah Boyett,Akshay Save,Nelson Humala,Fatima Khan,Juncheng Li,Hong Lu,Yu Sun,John F Tuddenham,Alexander R Goldberg,Athanassios Dovas,Matei A Banu,Tejaswi Sudhakar,Erin Bush,Andrew B Lassman,Guy M McKhann,Brian J A Gill,Brett Youngerman,Michael B Sisti,Jeffrey N Bruce,Peter A Sims,Vilas Menon,Peter Canoll
View all publications

Product promise

We are committed to supporting your work with high-quality reagents, and we're here for you every step of the way. In the unlikely event that one of our products does not perform as expected, you're protected by our Product Promise.
For full details, please see our Terms & Conditions

Please note: All products are 'FOR RESEARCH USE ONLY. NOT FOR USE IN DIAGNOSTIC OR THERAPEUTIC PROCEDURES'.

For licensing inquiries, please contact partnerships@abcam.com