JavaScript is disabled in your browser. Please enable JavaScript to view this website.
AB237903

Anti-SOX4 antibody [SOX4/2540] - BSA and Azide free

4

(2 Reviews)

|

(2 Publications)

Mouse Monoclonal SOX4 antibody. Carrier free. Suitable for IHC-P and reacts with Human samples. Cited in 2 publications. Immunogen corresponding to Recombinant Full Length Protein corresponding to Human SOX4.

View Alternative Names

Transcription factor SOX-4, SOX4

2 Images
Immunohistochemistry (Formalin/PFA-fixed paraffin-embedded sections) - Anti-SOX4 antibody [SOX4/2540] - BSA and Azide free (AB237903)
  • IHC-P

Supplier Data

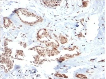
Immunohistochemistry (Formalin/PFA-fixed paraffin-embedded sections) - Anti-SOX4 antibody [SOX4/2540] - BSA and Azide free (AB237903)

Formalin-fixed, paraffin-embedded human breast carcinoma tissue stained for SOX4 using ab237903 at 2 μg/mL dilution in immunohistochemical analysis.

Immunohistochemistry (Formalin/PFA-fixed paraffin-embedded sections) - Anti-SOX4 antibody [SOX4/2540] - BSA and Azide free (AB237903)
  • IHC-P

Supplier Data

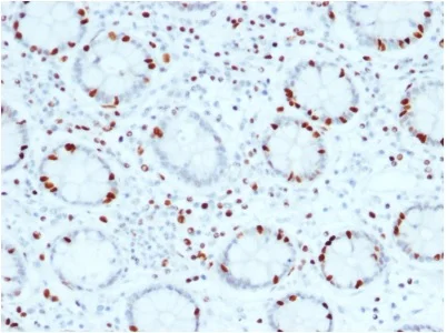
Immunohistochemistry (Formalin/PFA-fixed paraffin-embedded sections) - Anti-SOX4 antibody [SOX4/2540] - BSA and Azide free (AB237903)

Formalin-fixed, paraffin-embedded human colon carcinoma tissue stained for SOX4 using ab237903 at 2 μg/mL dilution in immunohistochemical analysis.

Key facts

Host species

Mouse

Clonality

Monoclonal

Clone number

SOX4/2540

Isotype

IgG2b

Light chain type

kappa

Carrier free

Yes

Reacts with

Human

Applications

IHC-P

applications

Immunogen

Recombinant Full Length Protein corresponding to Human SOX4.

Q06945

Reactivity data

{ "title": "Reactivity Data", "filters": { "stats": ["", "Species", "Dilution Info", "Notes"], "tabs": { "all-applications": {"fullname" : "All Applications", "shortname": "All Applications"}, "IHCP" : {"fullname" : "Immunohistochemistry (Formalin/PFA-fixed paraffin-embedded sections)", "shortname":"IHC-P"} }, "product-promise": { "all": "all", "testedAndGuaranteed": "tested", "guaranteed": "expected", "predicted": "predicted", "notRecommended": "not-recommended" } }, "values": { "Human": { "IHCP-species-checked": "testedAndGuaranteed", "IHCP-species-dilution-info": "1-2 µg/mL", "IHCP-species-notes": "<p>Incubate with primary ab for 30 minutes at RT</p>" } } }

Properties and storage information

Form
Liquid
Purification technique
Affinity purification Protein A/G
Purification notes
Purified from Bioreactor Concentrate by Protein A/G.
Storage buffer
pH: 7.2 - 7.4 Constituents: PBS
Shipped at conditions
Blue Ice
Appropriate short-term storage duration
1-2 weeks
Appropriate short-term storage conditions
+4°C
Appropriate long-term storage conditions
-20°C
Aliquoting information
Upon delivery aliquot
Storage information
Avoid freeze / thaw cycle

Product protocols

For this product, it's our understanding that no specific protocols are required. You can visit:

Target data

Transcriptional activator that binds with high affinity to the T-cell enhancer motif 5'-AACAAAG-3' motif (PubMed : 30661772). Required for IL17A-producing Vgamma2-positive gamma-delta T-cell maturation and development, via binding to regulator loci of RORC to modulate expression (By similarity). Involved in skeletal myoblast differentiation by promoting gene expression of CALD1 (PubMed : 26291311).
See full target information SOX4

Publications (2)

Recent publications for all applications. Explore the full list and refine your search

Scientific reports 14:23074 PubMed39367100

2024

Quercetin as a therapeutic agent activate the Nrf2/Keap1 pathway to alleviate lung ischemia-reperfusion injury.

Applications

Unspecified application

Species

Unspecified reactive species

Mohammad Yousefi Zardak,Fatemeh Keshavarz,Ali Mahyaei,Morteza Gholami,Fatemeh Sadat Moosavi,Elham Abbasloo,Farzaneh Abdollahi,Maryam Hossein Rezaei,Elham Madadizadeh,Nasrin Soltani,Fatemeh Bejeshk,Niyan Salehi,Fahimeh Rostamabadi,Fatemeh Bagheri,Mahla Jafaraghae,Mahdiyeh Ranjbar Zeydabadi,Meraj Baghgoli,Gholamreza Sepehri,Mohammad Abbas Bejeshk

Cancer cell international 20:468 PubMed33005101

2020

SOX4 promotes the growth and metastasis of breast cancer.

Applications

Unspecified application

Species

Unspecified reactive species

Jing Zhang,Chunhua Xiao,Zhenbo Feng,Yun Gong,Baohua Sun,Zhongqi Li,Yimin Lu,Xiaojie Fei,Weizhu Wu,Xiaoping Sun,Lisong Teng
View all publications

Product promise

We are committed to supporting your work with high-quality reagents, and we're here for you every step of the way. In the unlikely event that one of our products does not perform as expected, you're protected by our Product Promise.
For full details, please see our Terms & Conditions

Please note: All products are 'FOR RESEARCH USE ONLY. NOT FOR USE IN DIAGNOSTIC OR THERAPEUTIC PROCEDURES'.

For licensing inquiries, please contact partnerships@abcam.com