JavaScript is disabled in your browser. Please enable JavaScript to view this website.
AB245215

Anti-SOX6 antibody [EPR23564-282]

Be the first to review this product! Submit a review

|

(3 Publications)

Rabbit Recombinant Monoclonal SOX6 antibody. Suitable for IHC-P and reacts with Human samples. Cited in 3 publications.

View Alternative Names

Transcription factor SOX-6, SOX6

3 Images
Immunohistochemistry (Formalin/PFA-fixed paraffin-embedded sections) - Anti-SOX6 antibody [EPR23564-282] (AB245215)
  • IHC-P

Supplier Data

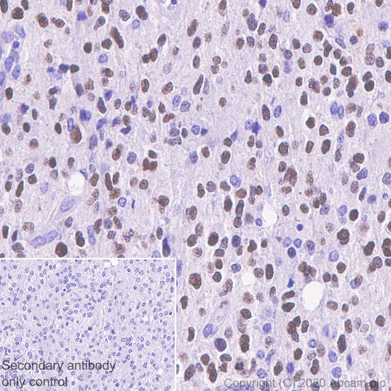
Immunohistochemistry (Formalin/PFA-fixed paraffin-embedded sections) - Anti-SOX6 antibody [EPR23564-282] (AB245215)

Immunohistochemical analysis of paraffin-embedded Human astrocytoma tissue labeling SOX6 with ab245215 at 1/500 (0.892 ug/ml) followed by a ready to use Rabbit specific IHC polymer detection kit HRP/DAB (ab209101). Nuclear staining in human astrocytoma (PMID : 14691456, PMID : 15696972). The section was incubated with ab245215 for 30 mins at room temperature. The immunostaining was performed on a Leica Biosystems BOND® RX instrument Counterstained with Hematoxylin.

Secondary antibody only control : Secondary antibody is a ready to use Rabbit specific IHC polymer detection kit HRP/DAB (ab209101).

Heat mediated antigen retrieval with Tris-EDTA buffer (pH 9.0, epitope retrieval solution2) for 20 mins.

Immunohistochemistry (Formalin/PFA-fixed paraffin-embedded sections) - Anti-SOX6 antibody [EPR23564-282] (AB245215)
  • IHC-P

Supplier Data

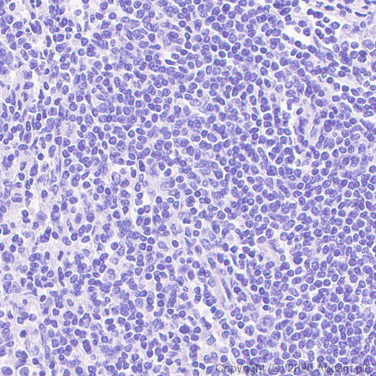
Immunohistochemistry (Formalin/PFA-fixed paraffin-embedded sections) - Anti-SOX6 antibody [EPR23564-282] (AB245215)

Immunohistochemical analysis of paraffin-embedded Human spleen tissue labeling SOX6 with ab245215 at 1/500 (0.892 ug/ml) followed by a ready to use Rabbit specific IHC polymer detection kit HRP/DAB (ab209101). Negative control : No staining in human spleen (PMID : 14691456). The section was incubated with ab245215 for 30 mins at room temperature. The immunostaining was performed on a Leica Biosystems BOND® RX instrument. Counterstained with Hematoxylin.

Secondary antibody only control : Secondary antibody is a ready to use Rabbit specific IHC polymer detection kit HRP/DAB (ab209101).

Heat mediated antigen retrieval with Tris-EDTA buffer (pH 9.0, epitope retrieval solution2) for 20 mins.

Immunohistochemistry (Formalin/PFA-fixed paraffin-embedded sections) - Anti-SOX6 antibody [EPR23564-282] (AB245215)
  • IHC-P

Supplier Data

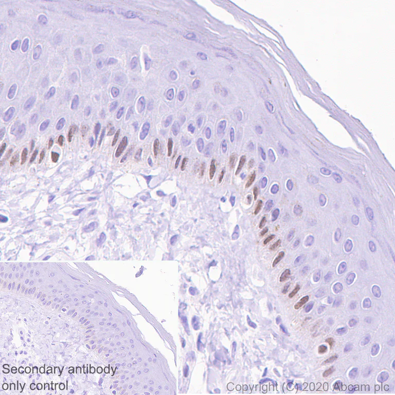
Immunohistochemistry (Formalin/PFA-fixed paraffin-embedded sections) - Anti-SOX6 antibody [EPR23564-282] (AB245215)

Immunohistochemical analysis of paraffin-embedded Human skin tissue labeling SOX6 with ab245215 at 1/500 (0.892 ug/ml) followed by a ready to use Rabbit specific IHC polymer detection kit HRP/DAB (ab209101). Nuclear staining in basal cells of human skin (PMID : 32088305). The section was incubated with ab245215 for 30 mins at room temperature. The immunostaining was performed on a Leica Biosystems BOND® RX instrument. Counterstained with Hematoxylin.

Secondary antibody only control : Secondary antibody is a ready to use Rabbit specific IHC polymer detection kit HRP/DAB (ab209101).

Heat mediated antigen retrieval with Tris-EDTA buffer (pH 9.0, epitope retrieval solution2) for 20 mins.

  • Carrier free

    Anti-SOX6 antibody [EPR23564-282] - BSA and Azide free

Key facts

Host species

Rabbit

Clonality

Monoclonal

Clone number

EPR23564-282

Isotype

IgG

Carrier free

No

Reacts with

Human

Applications

IHC-P

applications

Immunogen

The exact immunogen used to generate this antibody is proprietary information.

Reactivity data

{ "title": "Reactivity Data", "filters": { "stats": ["", "Species", "Dilution Info", "Notes"], "tabs": { "all-applications": {"fullname" : "All Applications", "shortname": "All Applications"}, "ICC" : {"fullname" : "Immunocytochemistry", "shortname":"ICC"}, "IP" : {"fullname" : "Immunoprecipitation", "shortname":"IP"}, "ChIP" : {"fullname" : "ChIP", "shortname":"ChIP"}, "FlowCyt" : {"fullname" : "Flow Cytometry", "shortname":"Flow Cyt"}, "WB" : {"fullname" : "Western blot", "shortname":"WB"}, "IHCP" : {"fullname" : "Immunohistochemistry (Formalin/PFA-fixed paraffin-embedded sections)", "shortname":"IHC-P"}, "ICCIF" : {"fullname" : "Immunocytochemistry/ Immunofluorescence", "shortname":"ICC/IF"}, "IHCFr" : {"fullname" : "Immunohistochemistry (Frozen sections)", "shortname":"IHC-Fr"} }, "product-promise": { "all": "all", "testedAndGuaranteed": "tested", "guaranteed": "expected", "predicted": "predicted", "notRecommended": "not-recommended" } }, "values": { "Human": { "ICC-species-checked": "notRecommended", "ICC-species-dilution-info": "", "ICC-species-notes": "<p></p>", "IP-species-checked": "notRecommended", "IP-species-dilution-info": "", "IP-species-notes": "<p></p>", "ChIP-species-checked": "notRecommended", "ChIP-species-dilution-info": "", "ChIP-species-notes": "<p></p>", "FlowCyt-species-checked": "notRecommended", "FlowCyt-species-dilution-info": "", "FlowCyt-species-notes": "<p></p>", "WB-species-checked": "notRecommended", "WB-species-dilution-info": "", "WB-species-notes": "<p></p>", "IHCP-species-checked": "testedAndGuaranteed", "IHCP-species-dilution-info": "1/500", "IHCP-species-notes": "<p></p>", "ICCIF-species-checked": "notRecommended", "ICCIF-species-dilution-info": "", "ICCIF-species-notes": "", "IHCFr-species-checked": "notRecommended", "IHCFr-species-dilution-info": "", "IHCFr-species-notes": "" }, "Mouse": { "ICC-species-checked": "notRecommended", "ICC-species-dilution-info": "", "ICC-species-notes": "", "IP-species-checked": "notRecommended", "IP-species-dilution-info": "", "IP-species-notes": "<p></p>", "ChIP-species-checked": "notRecommended", "ChIP-species-dilution-info": "", "ChIP-species-notes": "<p></p>", "FlowCyt-species-checked": "notRecommended", "FlowCyt-species-dilution-info": "", "FlowCyt-species-notes": "", "WB-species-checked": "notRecommended", "WB-species-dilution-info": "", "WB-species-notes": "<p></p>", "IHCP-species-checked": "notRecommended", "IHCP-species-dilution-info": "1/500", "IHCP-species-notes": "<p></p>", "ICCIF-species-checked": "notRecommended", "ICCIF-species-dilution-info": "", "ICCIF-species-notes": "<p></p>", "IHCFr-species-checked": "notRecommended", "IHCFr-species-dilution-info": "", "IHCFr-species-notes": "<p></p>" }, "Rat": { "ICC-species-checked": "notRecommended", "ICC-species-dilution-info": "", "ICC-species-notes": "", "IP-species-checked": "notRecommended", "IP-species-dilution-info": "", "IP-species-notes": "", "ChIP-species-checked": "notRecommended", "ChIP-species-dilution-info": "", "ChIP-species-notes": "", "FlowCyt-species-checked": "notRecommended", "FlowCyt-species-dilution-info": "", "FlowCyt-species-notes": "", "WB-species-checked": "notRecommended", "WB-species-dilution-info": "", "WB-species-notes": "<p></p>", "IHCP-species-checked": "notRecommended", "IHCP-species-dilution-info": "1/500", "IHCP-species-notes": "<p></p>", "ICCIF-species-checked": "notRecommended", "ICCIF-species-dilution-info": "", "ICCIF-species-notes": "", "IHCFr-species-checked": "notRecommended", "IHCFr-species-dilution-info": "", "IHCFr-species-notes": "" } } }

Product details

Patented technology
Our RabMAb® technology is a patented hybridoma-based technology for making rabbit monoclonal antibodies. For details on our patents, please refer to RabMAb® patents.

What are the advantages of a recombinant monoclonal antibody?
This product is a recombinant monoclonal antibody, which offers several advantages including:

  • - High batch-to-batch consistency and reproducibility
  • - Improved sensitivity and specificity
  • - Long-term security of supply
  • - Animal-free batch production

For more information, read more on recombinant antibodies.

Properties and storage information

Form
Liquid
Purification technique
Affinity purification Protein A
Storage buffer
Preservative: 0.01% Sodium azide Constituents: PBS, 40% Glycerol (glycerin, glycerine), 0.05% BSA
Shipped at conditions
Blue Ice
Appropriate short-term storage duration
1-2 weeks
Appropriate short-term storage conditions
+4°C
Appropriate long-term storage conditions
-20°C
Aliquoting information
Upon delivery aliquot
Storage information
Avoid freeze / thaw cycle

Product protocols

For this product, it's our understanding that no specific protocols are required. You can visit:

Target data

Transcription factor that plays a key role in several developmental processes, including neurogenesis, chondrocytes differentiation and cartilage formation (Probable). Specifically binds the 5'-AACAAT-3' DNA motif present in enhancers and super-enhancers and promotes expression of genes important for chondrogenesis. Required for overt chondrogenesis when condensed prechondrocytes differentiate into early stage chondrocytes : SOX5 and SOX6 cooperatively bind with SOX9 on active enhancers and super-enhancers associated with cartilage-specific genes, and thereby potentiate SOX9's ability to transactivate. Not involved in precartilaginous condensation, the first step in chondrogenesis, during which skeletal progenitors differentiate into prechondrocytes. Together with SOX5, required to form and maintain a pool of highly proliferating chondroblasts between epiphyses and metaphyses, to form columnar chondroblasts, delay chondrocyte prehypertrophy but promote hypertrophy, and to delay terminal differentiation of chondrocytes on contact with ossification fronts. Binds to the proximal promoter region of the myelin protein MPZ gene, and is thereby involved in the differentiation of oligodendroglia in the developing spinal tube. Binds to the gene promoter of MBP and acts as a transcriptional repressor (By similarity).
See full target information SOX6

Publications (3)

Recent publications for all applications. Explore the full list and refine your search

JCI insight 10: PubMed40626359

2025

Macrophage-derived Spp1 promotes intramuscular fat in dystrophic muscle.

Applications

Unspecified application

Species

Unspecified reactive species

Philip K Farahat,Chino Kumagai-Cresse,Raquel L Aragón,Feiyang Ma,Justin K Amakor,Alejandro Espinoza,Irina Kramerova,Robert J Jimenez,Bradley M Smith,Jesus Perez,Rachelle H Crosbie,Apoorva H Nagendra,Jackie McCourt-Towner,Gerald Coulis,Oluwatayo F Ikotun,April D Pyle,Matteo Pellegrini,Elizabeth M McNally,S Armando Villalta,Melissa J Spencer

Kidney & blood pressure research 47:177-184 PubMed35038705

2022

LncRNA Dlx6os1 Accelerates Diabetic Nephropathy Progression by Epigenetically Repressing SOX6 via Recruiting EZH2.

Applications

Unspecified application

Species

Unspecified reactive species

Yan-Xia Chen,Shu-Ying Zhu,Chong Huang,Cheng-Yun Xu,Xiang-Dong Fang,Wei-Ping Tu

Endocrine journal 69:511-522 PubMed34911869

2021

lncRNA KCNQ1OT1 regulated high glucose-induced proliferation, oxidative stress, extracellular matrix accumulation, and inflammation by miR-147a/SOX6 in diabetic nephropathy (DN).

Applications

Unspecified application

Species

Unspecified reactive species

Ying Xu,Xiaolin Zhan
View all publications

Product promise

We are committed to supporting your work with high-quality reagents, and we're here for you every step of the way. In the unlikely event that one of our products does not perform as expected, you're protected by our Product Promise.
For full details, please see our Terms & Conditions

Please note: All products are 'FOR RESEARCH USE ONLY. NOT FOR USE IN DIAGNOSTIC OR THERAPEUTIC PROCEDURES'.

For licensing inquiries, please contact partnerships@abcam.com